| Overview |
| bsm-55531m-100ul |
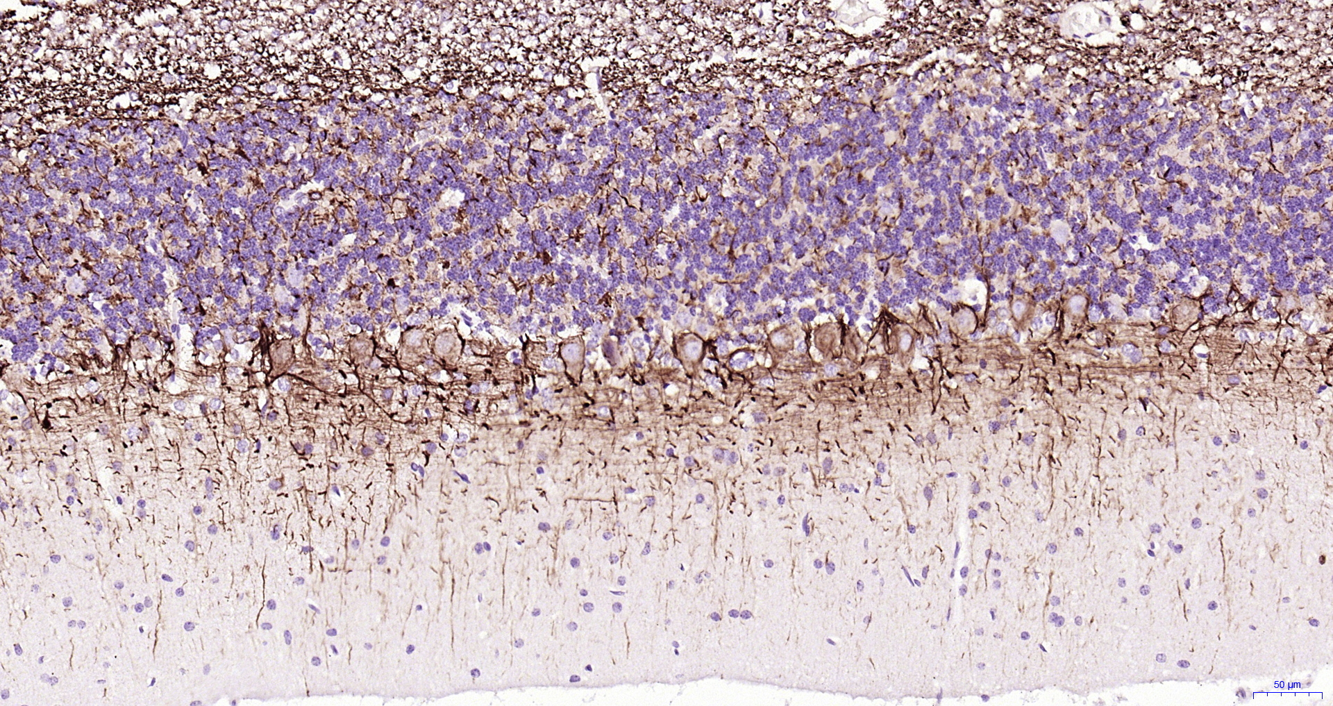
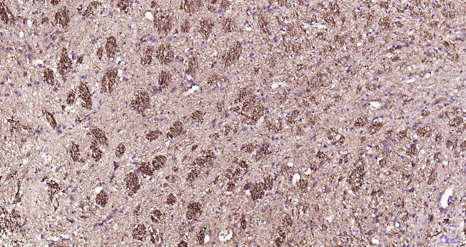
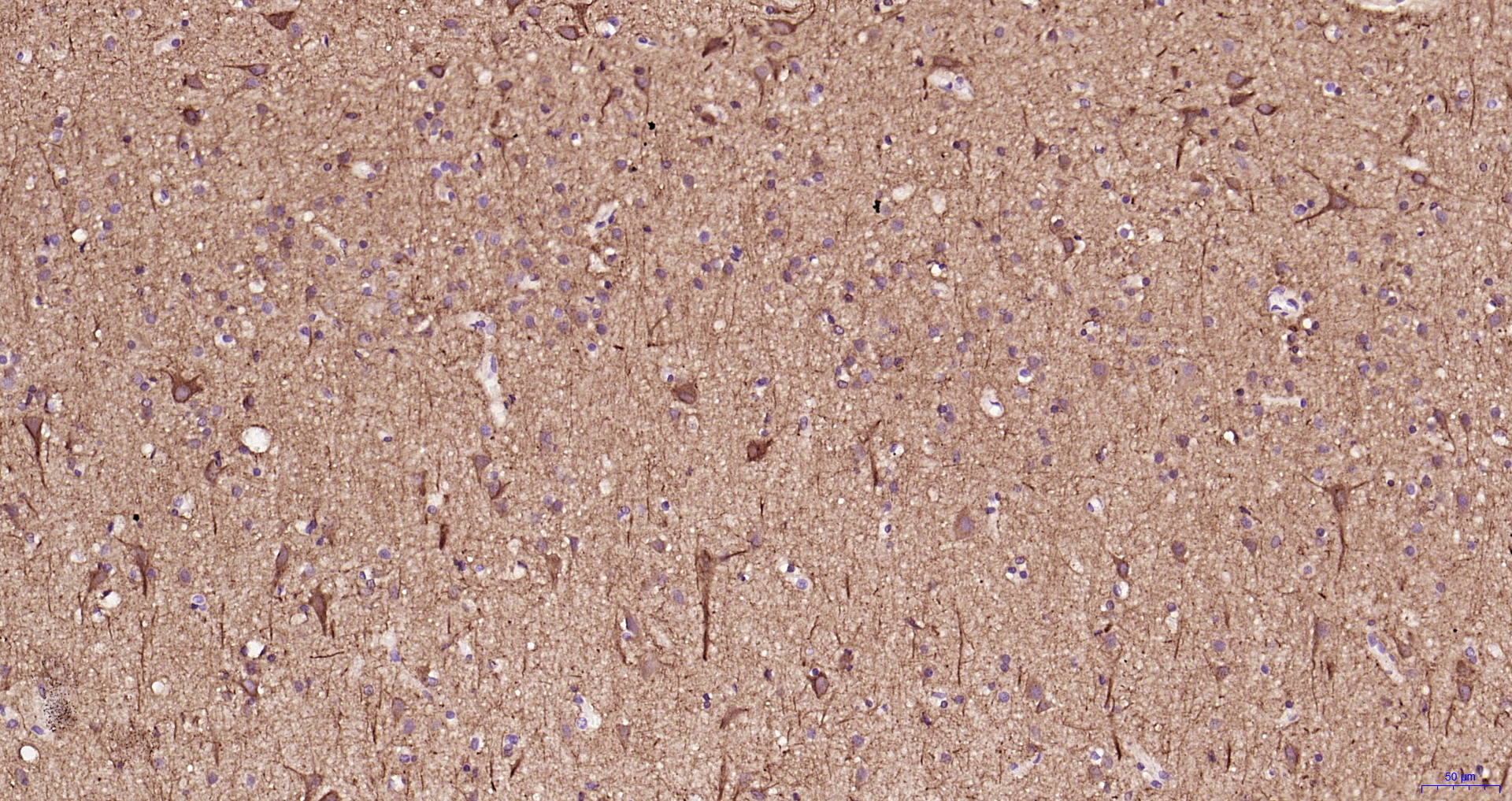
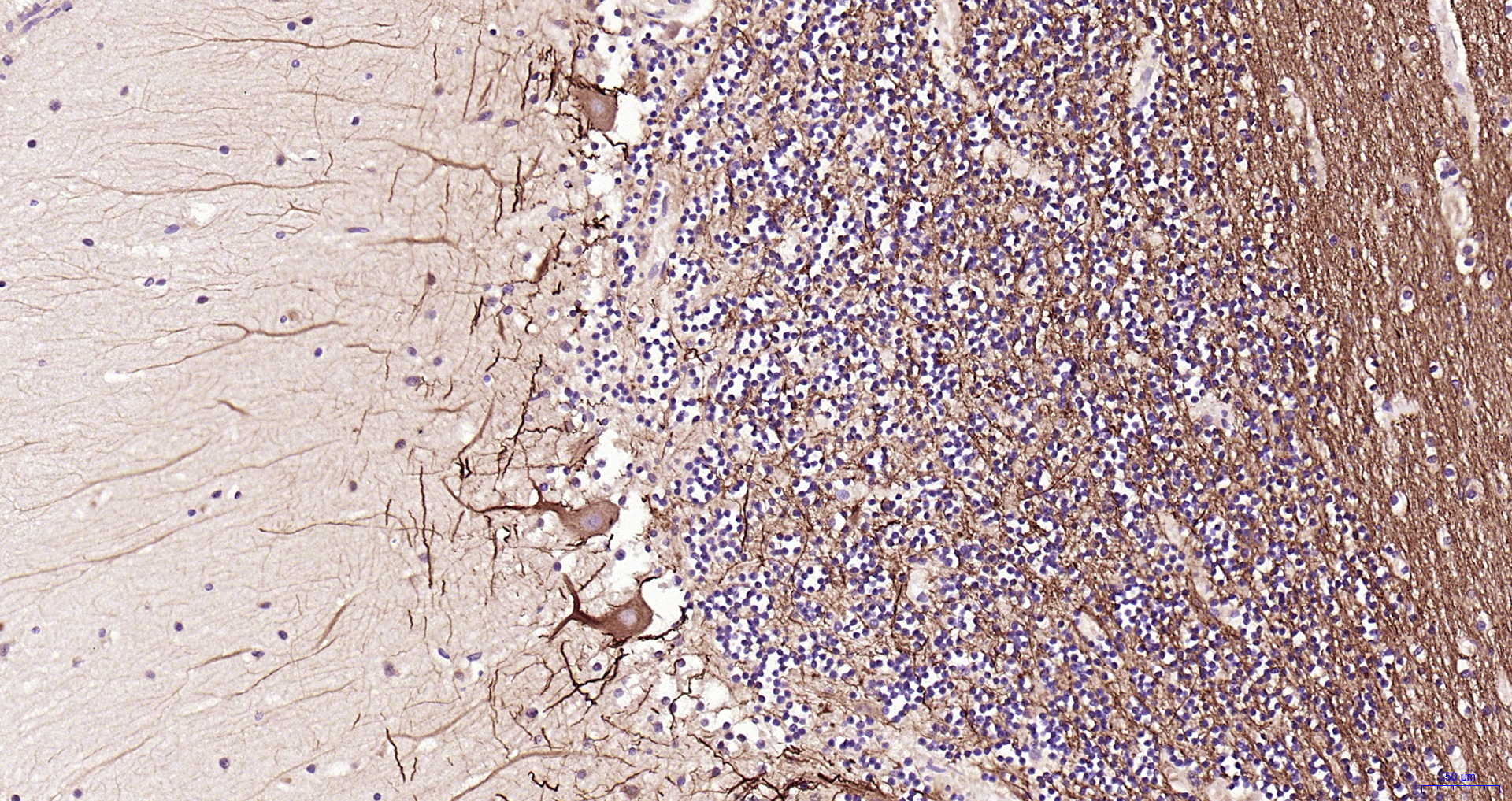
| NEFM Recombinant Antibody |
| WB, IHC-P, IHC-F, IF(IHC-P) |
| Human, Mouse, Rat |
| Specifications |
| Unconjugated |
| Rabbit |
| Recombinant Mouse NF-M protein |
| Recombinant |
| IgG1 |
| 1ug/ul |
| Purified by Protein G. |
| 0.01M TBS (pH 7.4), 1% BSA, 0.02% Proclin 300, and 50% Glycerol |
| Store at 4°C for short term. Store at -20°C for long term. Avoid repeated freeze/thaw cycles. |
| Target |
| 160 kDa neurofilament protein, Neurofilament 3, Neurofilament triplet M protein, Nef3, Nefm, NF-M, Nfm, 150kDa medium |
| Application Dilution |
| WB |
1: 500- 2000 |
| IHC-P |
IHC-P1: 200-500 |
| IHC-F |
IHC-F1: 200-500 |
| IF(IHC-P) |
IFIHC-P1: 200-500 |