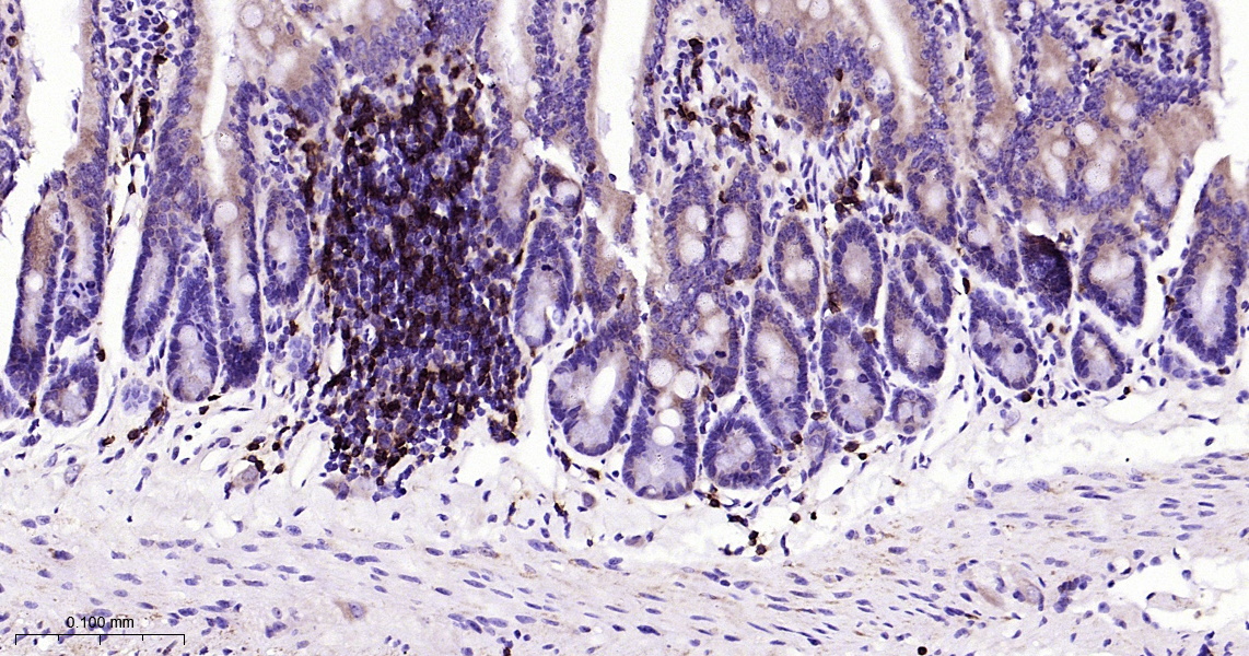
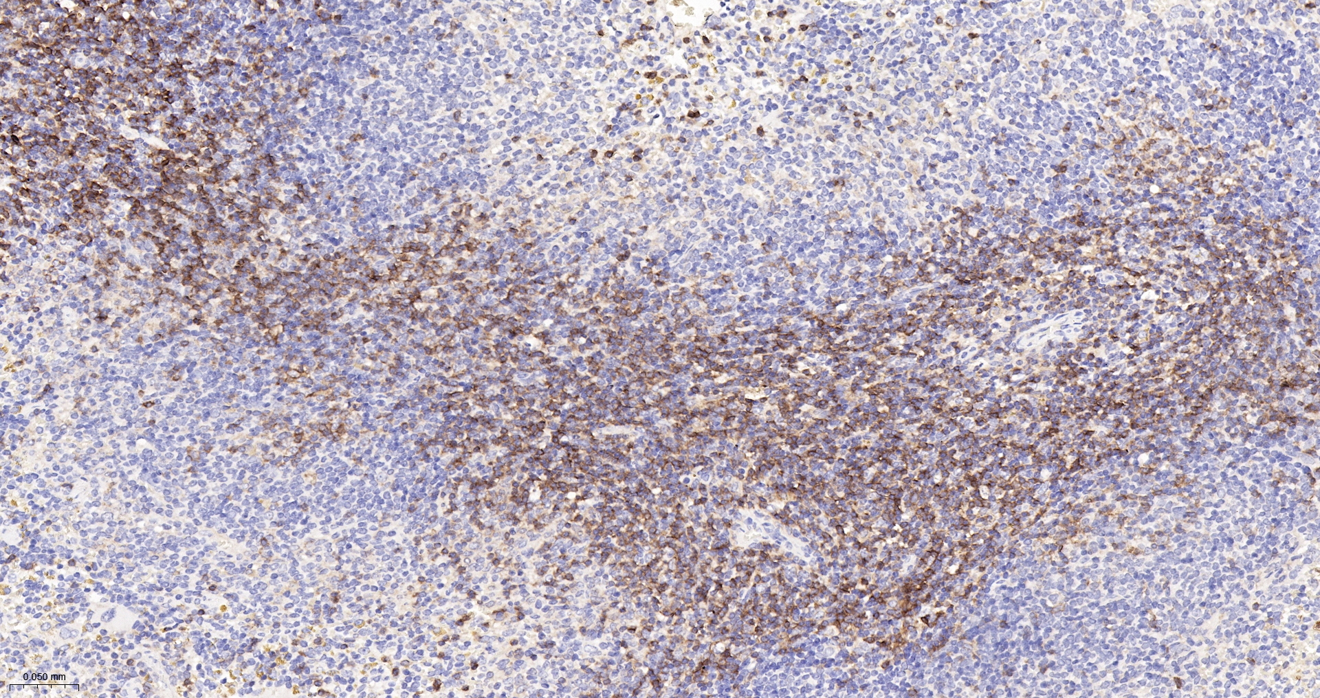
CD4 Recombinant Antibody
Applications
Reactivity
| Overview | |
| Catalog # | bsm-55558r |
| Product Name | CD4 Recombinant Antibody |
| Applications | WB, IHC-P, IHC-F, IF |
| Reactivity | Mouse |
| Specifications | |
| Conjugation | Unconjugated |
| Host | Rabbit |
| Source | KLH conjugated synthetic peptide derived from mouse CD4 |
| Clonality | Recombinant |
| Isotype | IgG |
| Concentration | 1mg/ml |
| Purification | Purified by Protein A. |
| Storage Buffer | PBS with 0.02% Proclin300,100 μg/ml BSA and 50% glycerol. |
| Storage Condition | Shipped at 4C. Store at -20C for one year. Avoid repeated freeze/thaw cycles. |
| Target | |
| Gene ID | 920 |
| Swiss Prot | P06332 |
| Subcellular location | Cell membrane |
| Synonyms | CD4 (L3T4); CD4 antigen (p55); CD4 Antigen ; CD4 molecule; CD4 Receptor; CD4+ Lymphocyte deficiency, included; CD4mut; L3T4; Leu3; Ly-4; Lymphocyte antigen CD4; MGC165891; p55; T Cell Antigen T4 ; T cell antigen T4/LEU3; T cell differentiation antigen L3T4; T cell OKT4 deficiency, included; T cell surface antigen T4/Leu 3 ; T cell surface antigen T4/Leu3; T Cell Surface Glycoprotein CD4; W3/25; W3/25 antigen; T-cell surface glycoprotein CD4 isoform 1 precursor; CD4_Human. |
| Application Dilution | |
| WB | 1:300-5000 |
| IHC-P | 1:200-400 |
| IHC-F | 1:100-500 |
| IF | |