RECEIVE 25% OFF PUBLISHED ANTIBODIES WITH CODE "PUB25"! Offer valid for US customers and available internationally through distributors.

IL18 Recombinant Antibody

Applications

  • WB
  • FCM
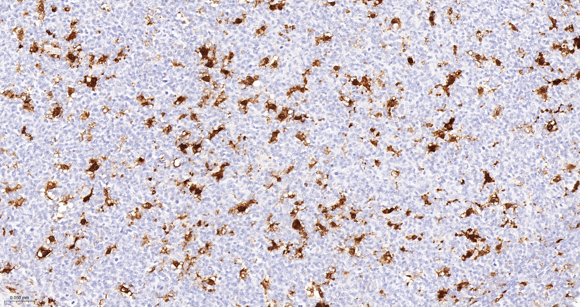
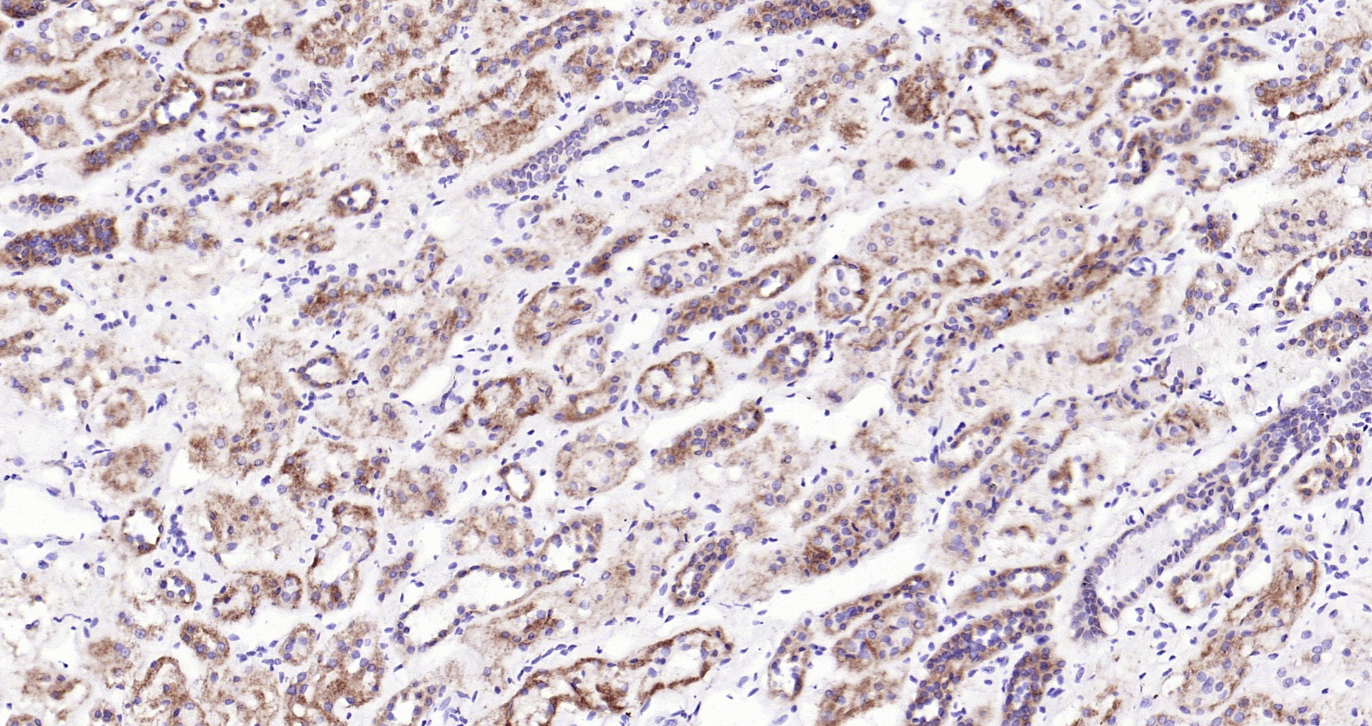
  • IHC-P
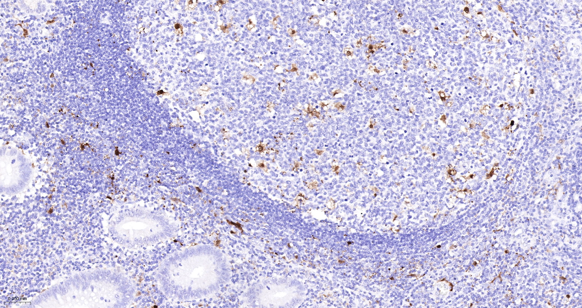
  • IHC-F
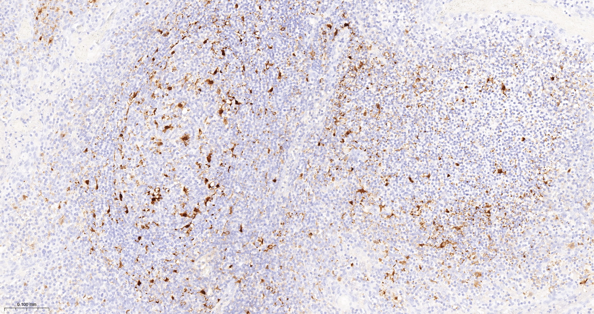
  • IF(IHC-P)

Reactivity

  • Human
Overview
Catalog # bsm-56205r-100ul
Product Name IL18 Recombinant Antibody
Applications WB, FCM, IHC-P, IHC-F, IF(IHC-P)
Reactivity Human
Specifications
Conjugation Unconjugated
Host Rabbit
Source Recombinant human IL18 protein
Immunogen Range 1-192/192
Clonality Recombinant
Isotype IgG
Concentration 1ug/ul
Purification Purified by Protein A.
Storage Buffer 0.01M TBS (pH 7.4), 1% BSA, 0.02% Proclin 300, and 50% Glycerol
Storage Condition Store at -20°C for 12 months.
Target
Gene ID 3606
Swiss Prot Q14116
Subcellular location Secreted
Synonyms Interleukin-18; interferon gamma-inducing factor IGIF; Interferon gamma-inducing factor; IFN-gamma-inducing factor; Interleukin-1 gamma; Iboctadekin; IFN gamma inducing factor; IGIF; IL 1 gamma; IL 18; IL-18; IL 1g; IL1 gamma; IL18 protein; IL1F4; IL1g; IL1gamma; ILIF4; Interferon gamma inducing factor; Interleukin 1 gamma; Interleukin18; MGC12320; IL18_HUMAN.
Background IL18 (IFN-gamma-inducing factor, IGIF) is a novel pro-inflammatory cytokine that augments natural killer (NK) activity in spleen cells. This cytokine can induce the IFN-gamma production of T cells. The combination of this cytokine and IL12 has been shown to inhibit IL4 dependent IgE and IgG1 production, and enhance IgG2a production of B cells. IL18 binding protein (IL18BP) can specifically interact with this cytokine, and thus negatively regulate its biological activity.
Application Dilution
WB 1:1000-2000
FCM FCM1ug/Test
IHC-P IHC-P1:200-800
IHC-F IHC-F1:200-800
IF(IHC-P) IFIHC-P1:200-800