RECEIVE 25% OFF PUBLISHED ANTIBODIES WITH CODE "PUB25"! Offer valid for US customers and available internationally through distributors.

EZH2 Recombinant Antibody

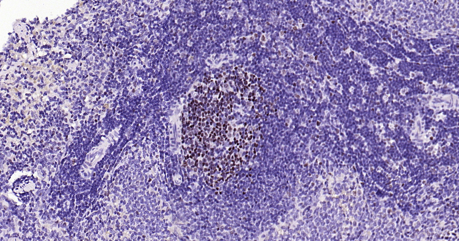
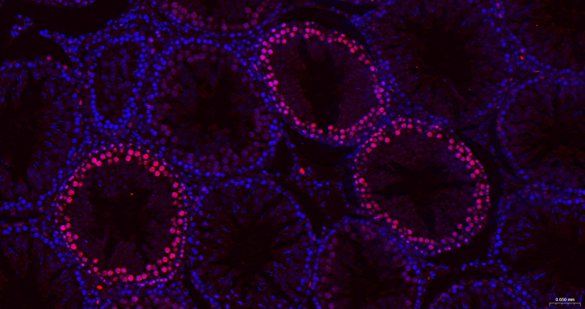
Applications

  • WB
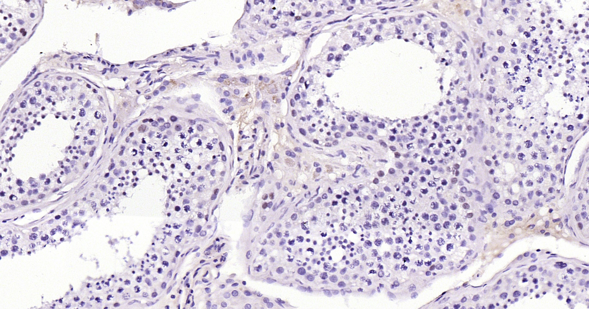
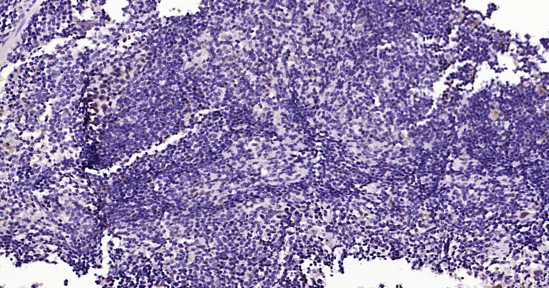
  • IHC-P
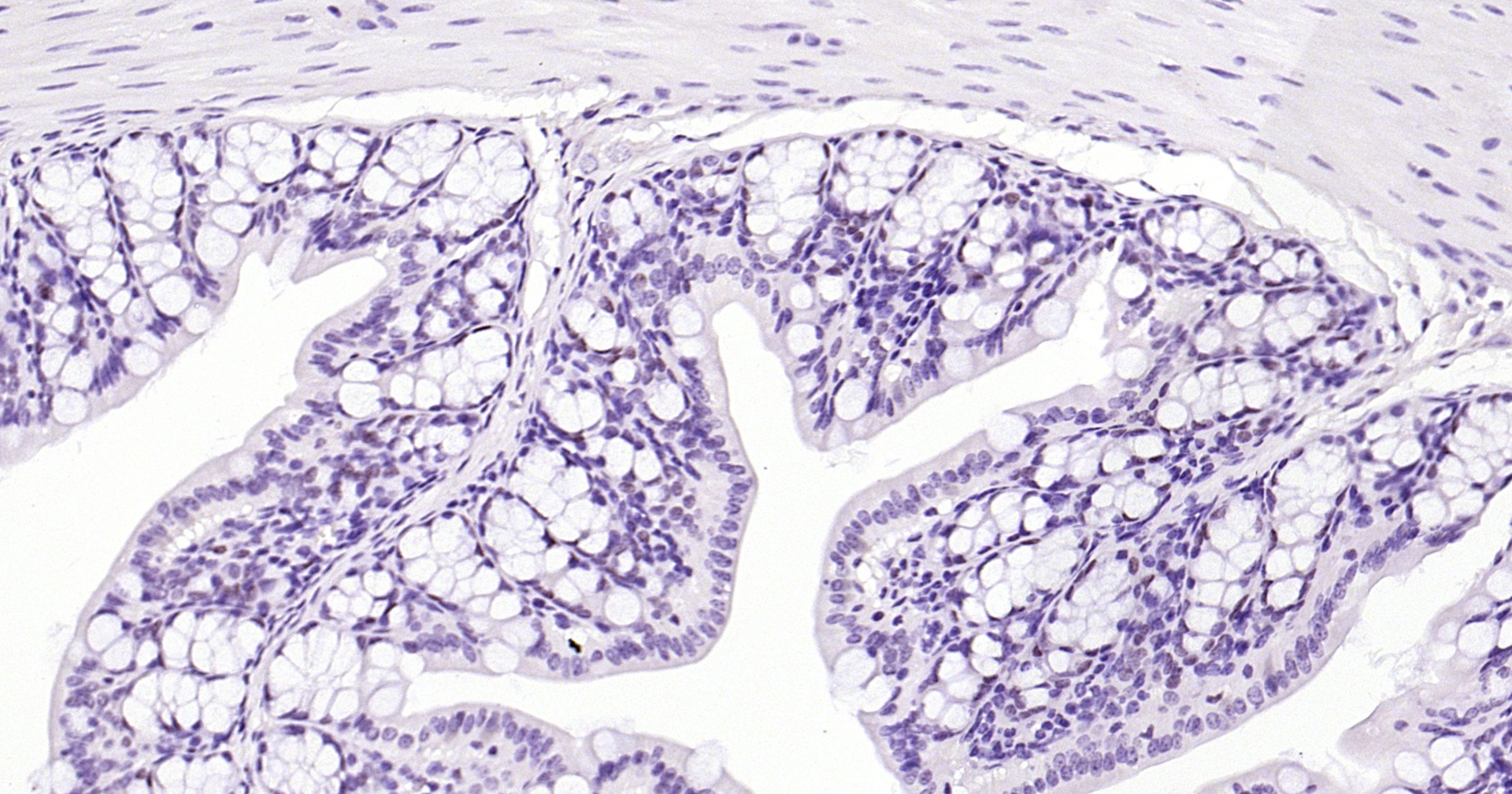
  • IHC-F
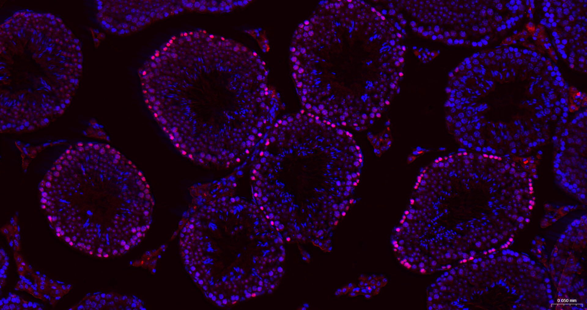
  • IF(IHC-P)

Reactivity

  • Human

Predicted Reactivity

  • Mouse
  • Rat
Overview
Catalog # bsm-60001r-100ul
Product Name EZH2 Recombinant Antibody
Applications WB, IHC-P, IHC-F, IF(IHC-P)
Reactivity Human
Predicted Reactivity Mouse, Rat
Specifications
Conjugation Unconjugated
Host Rabbit
Source KLH conjugated synthetic peptide derived from human EZH2
Clonality Recombinant
Isotype IgG
Concentration 1mg/ml
Purification Purified by Protein A.
Storage Buffer 0.01M TBS (pH 7.4), 1% BSA, 0.02% Proclin 300, and 50% Glycerol
Storage Condition Shipped at 4C. Store at -20C for one year. Avoid repeated freeze/thaw cycles.
Target
Gene ID 2146
Swiss Prot Q15910
Subcellular location Nucleus
Synonyms Enhancer of zeste homolog 2; Enx1h; MGC9169; Enhancer of zeste 2; ENX-1; ENX 1; ENX1; EZH 2; EZH2_HUMAN; Histone-lysine N-methyltransferase EZH2; KMT6A; Lysine N-methyltransferase 6; Enhancer of zeste homolog 2 (Drosophila); Enhancer of zeste, Drosophila, homolog 2; KMT 6;KMT6A; KMT6; WVS2.
Background This gene encodes a member of the Polycomb-group (PcG) family. PcG family members form multimeric protein complexes, which are involved in maintaining the transcriptional repressive state of genes over successive cell generations. This protein associates with the embryonic ectoderm development protein, the VAV1 oncoprotein, and the X-linked nuclear protein. This protein may play a role in the hematopoietic and central nervous systems. Multiple alternatively splcied transcript variants encoding distinct isoforms have been identified for this gene. [provided by RefSeq, Feb 2011].
Application Dilution
WB 1:500-2000
IHC-P IHC-P1:50-200
IHC-F IHC-F1:50-200
IF(IHC-P) IFIHC-P1:50-200