| Overview |
| bsm-60002r |
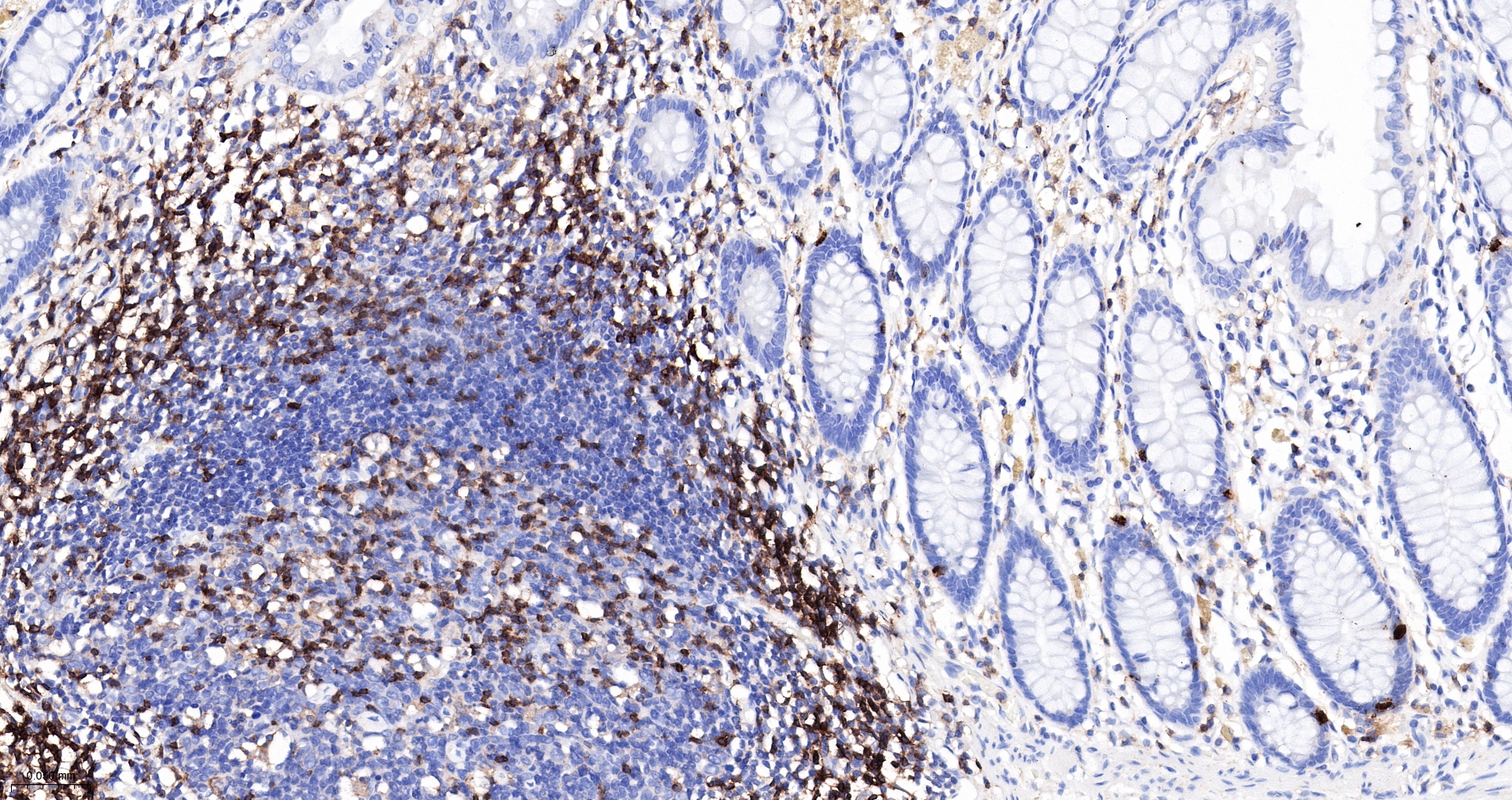
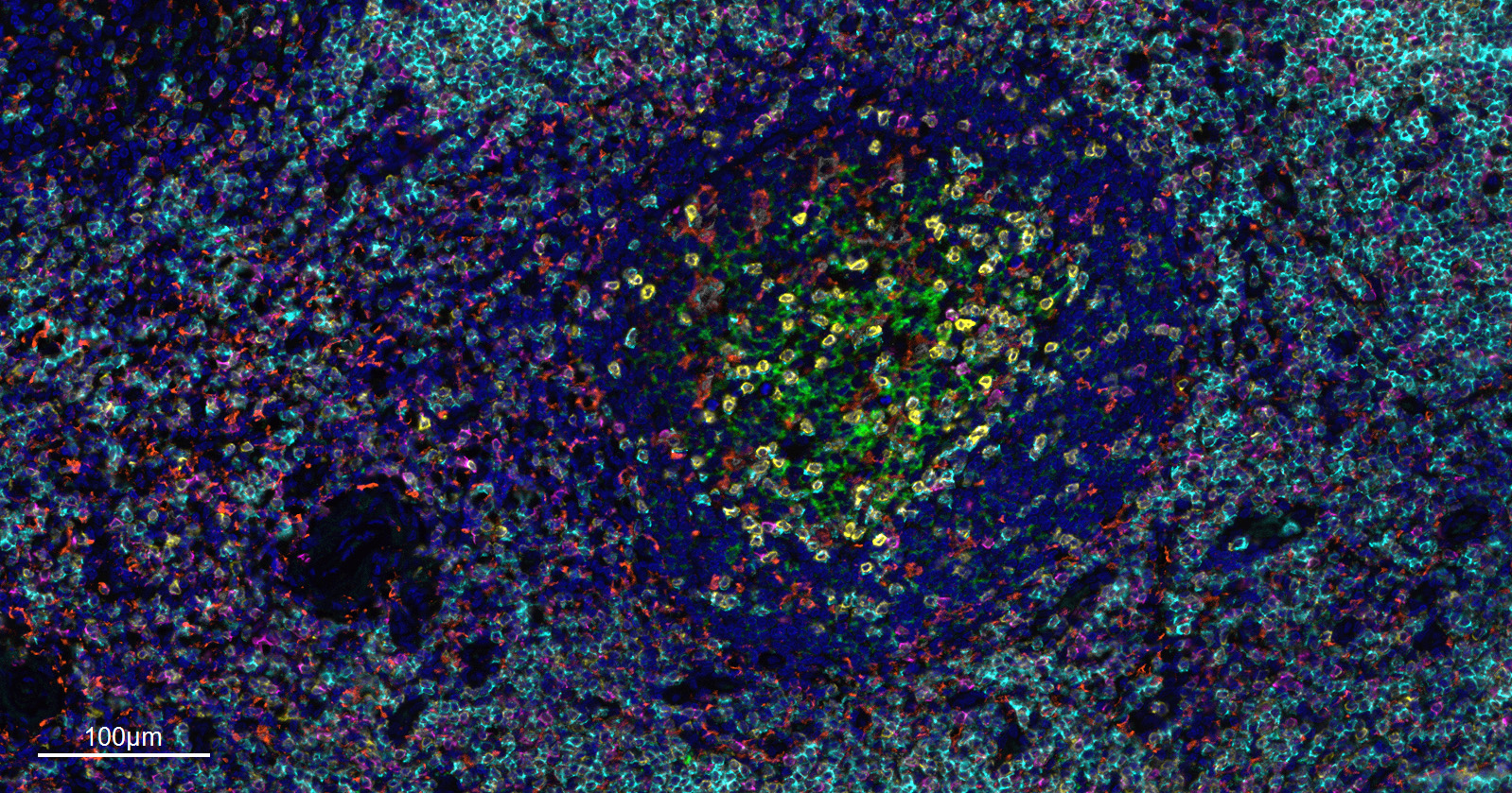
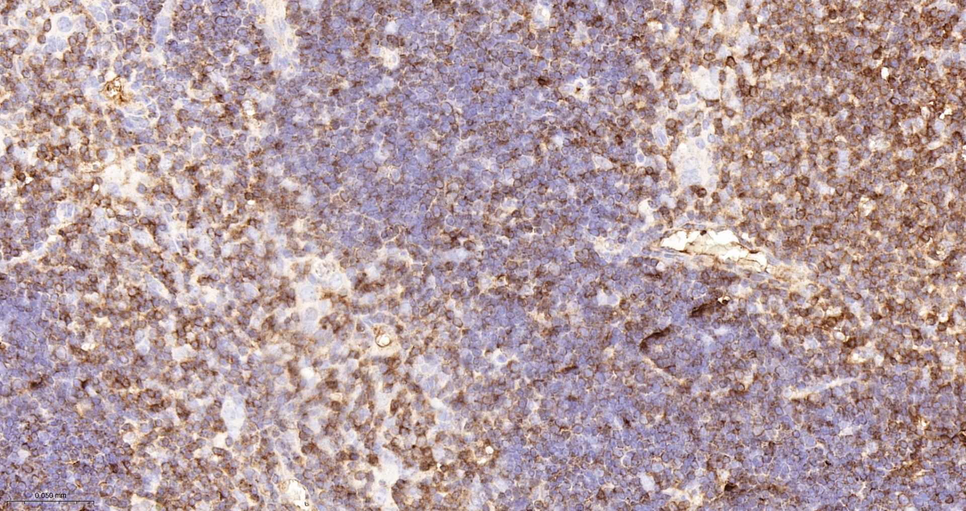
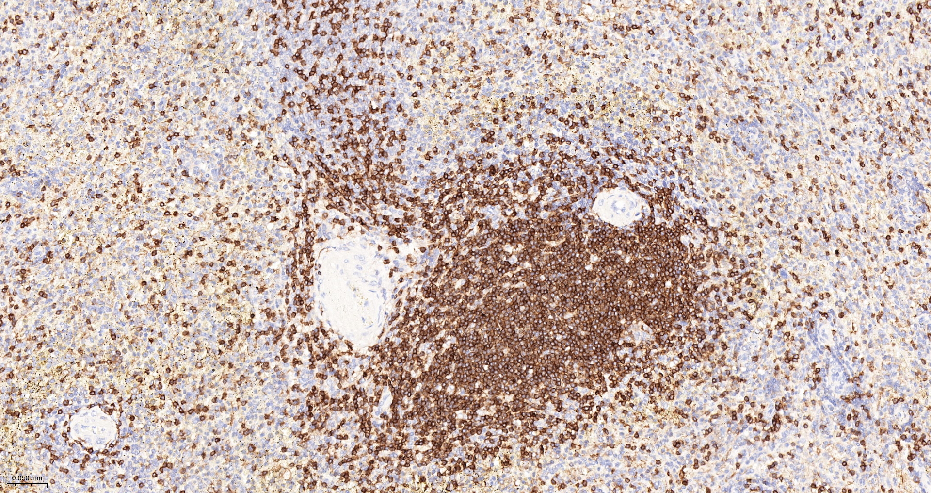
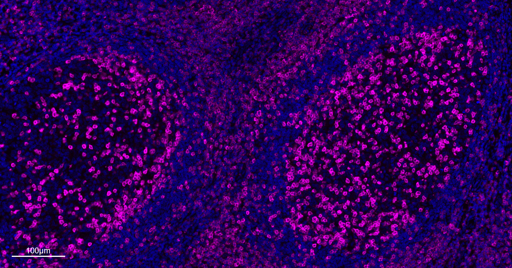
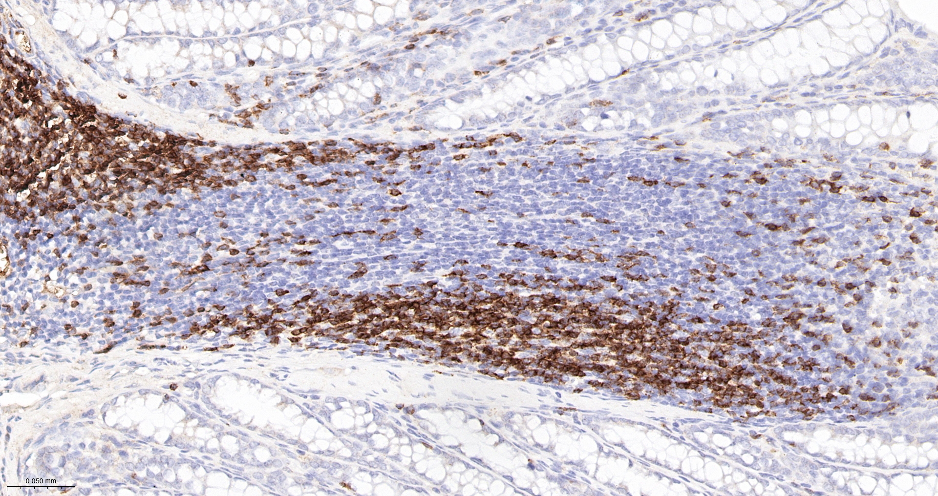
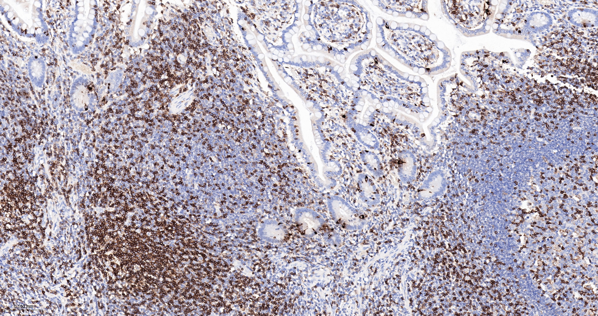
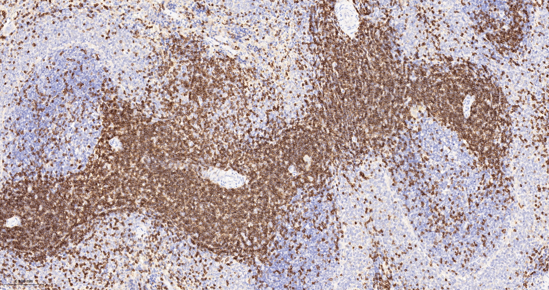
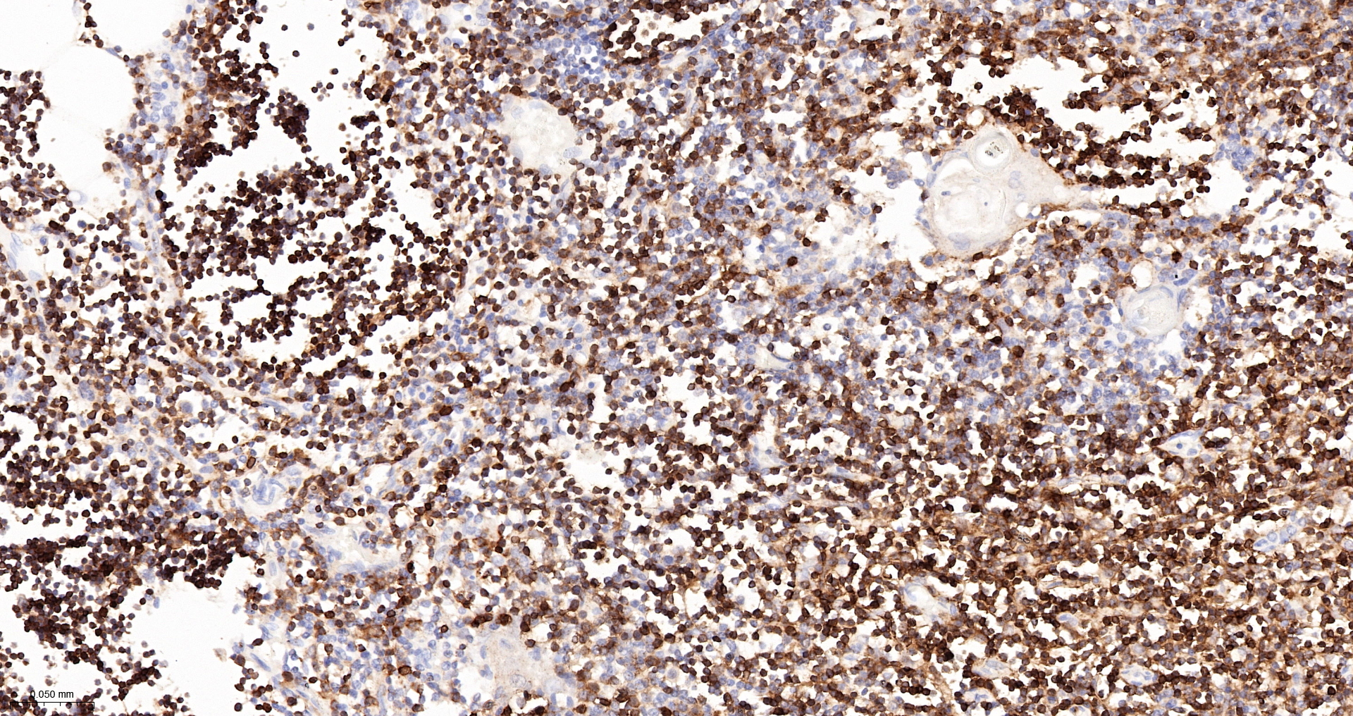
| CD3E Recombinant Antibody |
| WB, IHC-P, IHC-F, IF |
| Human, Mouse, Rat |
| Specifications |
| Unconjugated |
| Rabbit |
| KLH conjugated synthetic peptide derived from human CD3E |
| Recombinant |
| IgG |
| 1mg/ml |
| Purified by Protein A. |
| 0.01M TBS(pH7.4) with 1% BSA, 0.02% Proclin300 and 50% Glycerol. |
| Shipped at 4C. Store at -20C for one year. Avoid repeated freeze/thaw cycles. |
| Target |
| 916 |
| P07766 |
| Cell membrane |
| CD3 epsilon; CD3e antigen epsilon polypeptide(TiT3 complex); CD3E antigen epsilon polypeptide; CD3E antigen, epsilon subunit; CD3e molecule epsilon; CD3e molecule, epsilon(CD3 TCR complex); CD3e molecule, epsilon(CD3-TCR complex); CD3E_HUMAN; IMD18; T cell antigen receptor complex epsilon subunit of T3; T cell surface antigen T3/Leu 4 epsilon chain; T cell surface glycoprotein CD3 epsilon chain; T-cell surface antigen T3/Leu-4 epsilon chain; T-cell surface glycoprotein CD3 epsilon chain; T3E; TCRE. |
| Application Dilution |
| WB |
1:1000-5000 |
| IHC-P |
1:500-1000 |
| IHC-F |
1:500-1000 |
| IF |
1:200-1000 |