RECEIVE 25% OFF PUBLISHED ANTIBODIES WITH CODE "PUB25"! Offer valid for US customers and available internationally through distributors.

Mesothelin Recombinant Antibody

Applications

  • WB
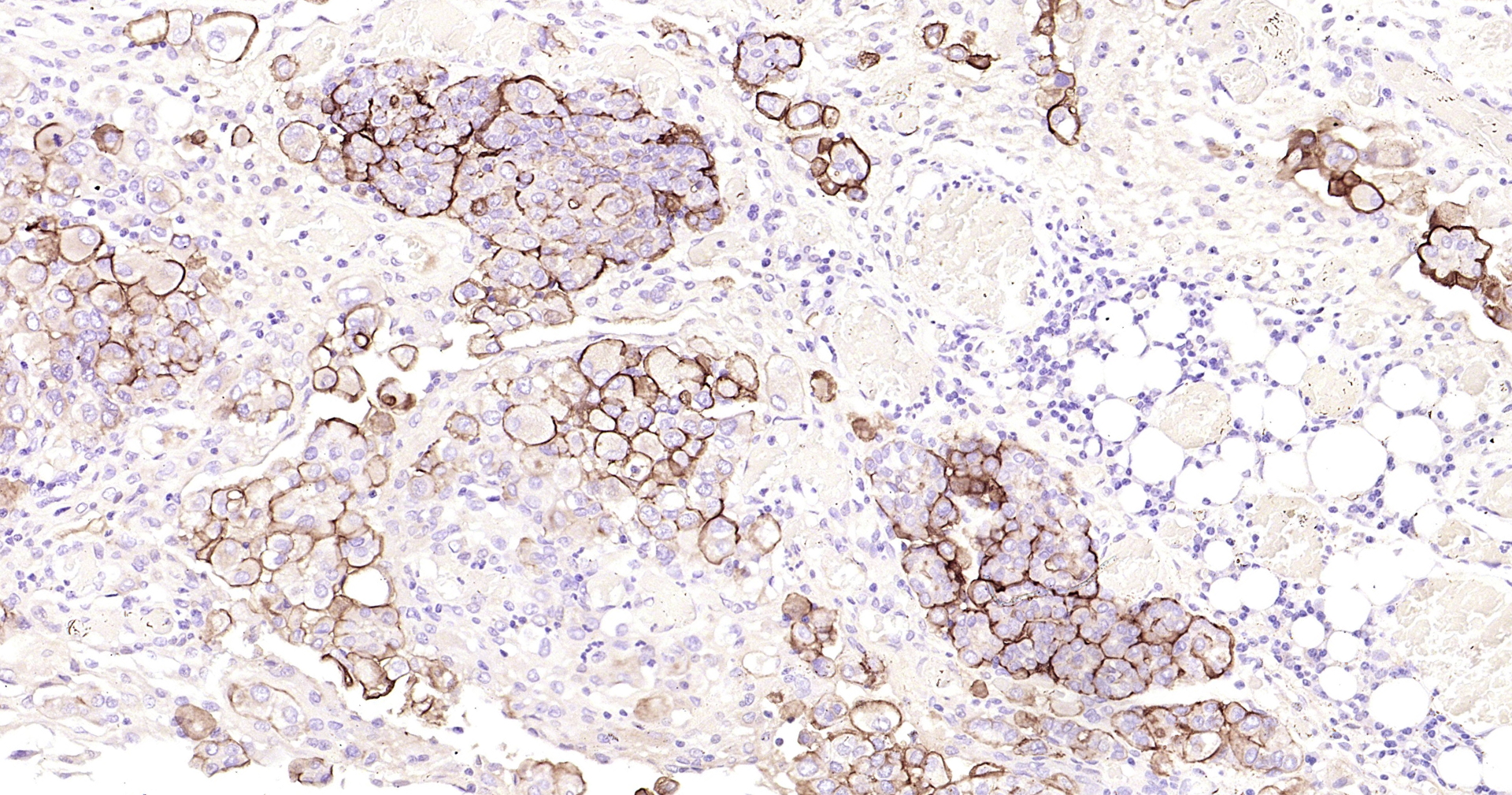
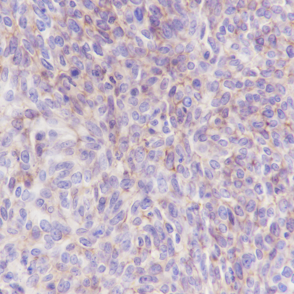
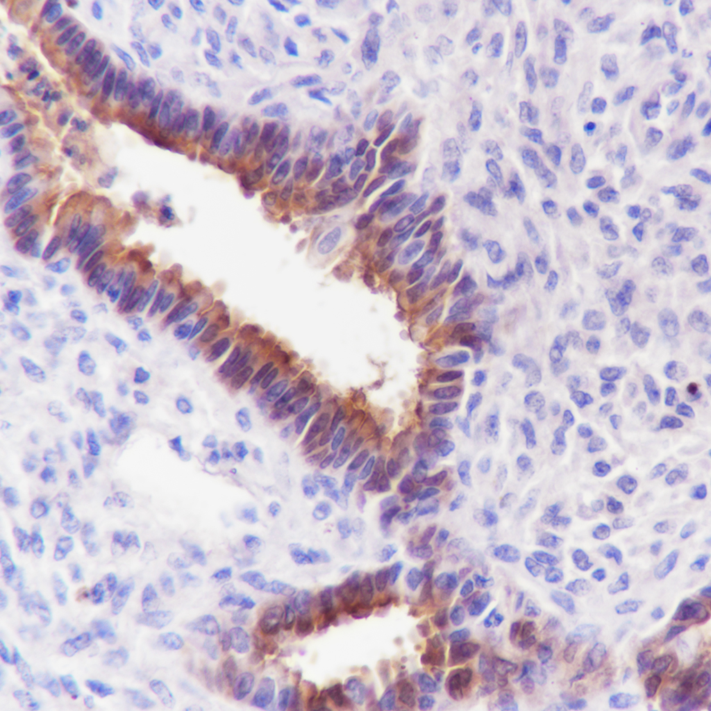
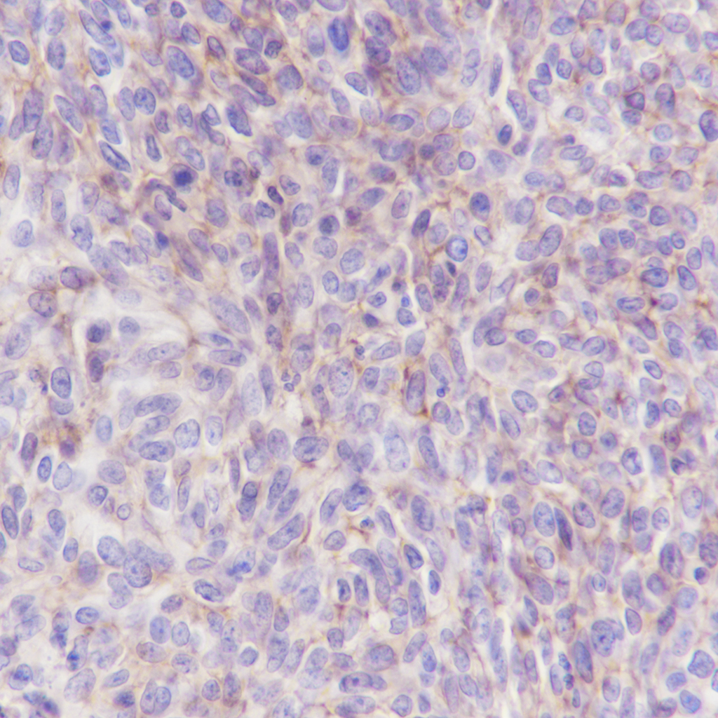
  • IHC-P
  • IHC-F
  • IF(IHC-P)

Reactivity

  • Human
Overview
Catalog # bsm-60005r-100ul
Product Name Mesothelin Recombinant Antibody
Applications WB, IHC-P, IHC-F, IF(IHC-P)
Reactivity Human
Specifications
Conjugation Unconjugated
Host Rabbit
Source KLH conjugated synthetic peptide derived from human Mesothelin
Clonality Recombinant
Isotype IgG
Concentration Lot dependent
Purification Purified by Protein A.
Storage Buffer 0.01M TBS (pH 7.4), 1% BSA, 0.02% Proclin 300, and 50% Glycerol
Storage Condition Shipped at 4C. Store at -20C for one year. Avoid repeated freeze/thaw cycles.
Target
Gene ID 10232
Swiss Prot Q13421
Subcellular location Secreted, Cell membrane
Synonyms MSLN; MES; CAK 1; CAK1; CAK1 antigen; Megakaryocyte potentiating factor; Mesothelin isoform 1 precursor; MPF; Pre pro megakaryocyte potentiating factor; SMR; SMRP; Soluble MPF mesothelin related protein; MSLN_HUMAN.
Background Mesothelin(MSLN)may play a role in cell adhesion and cell shape dynamics; human homolog highly expressed in renal cell carcinoma. malignant tumors, such as a skin lump, ovary cancer and the pancreas cancer...etc..Mainly used for the research of the malignant tumor.
Application Dilution
WB 1:500-2000
IHC-P IHC-P1:100-500
IHC-F IHC-F1:100-500
IF(IHC-P) IFIHC-P1:100-500