RECEIVE 25% OFF PUBLISHED ANTIBODIES WITH CODE "PUB25"! Offer valid for US customers and available internationally through distributors.

CD62p Recombinant Antibody

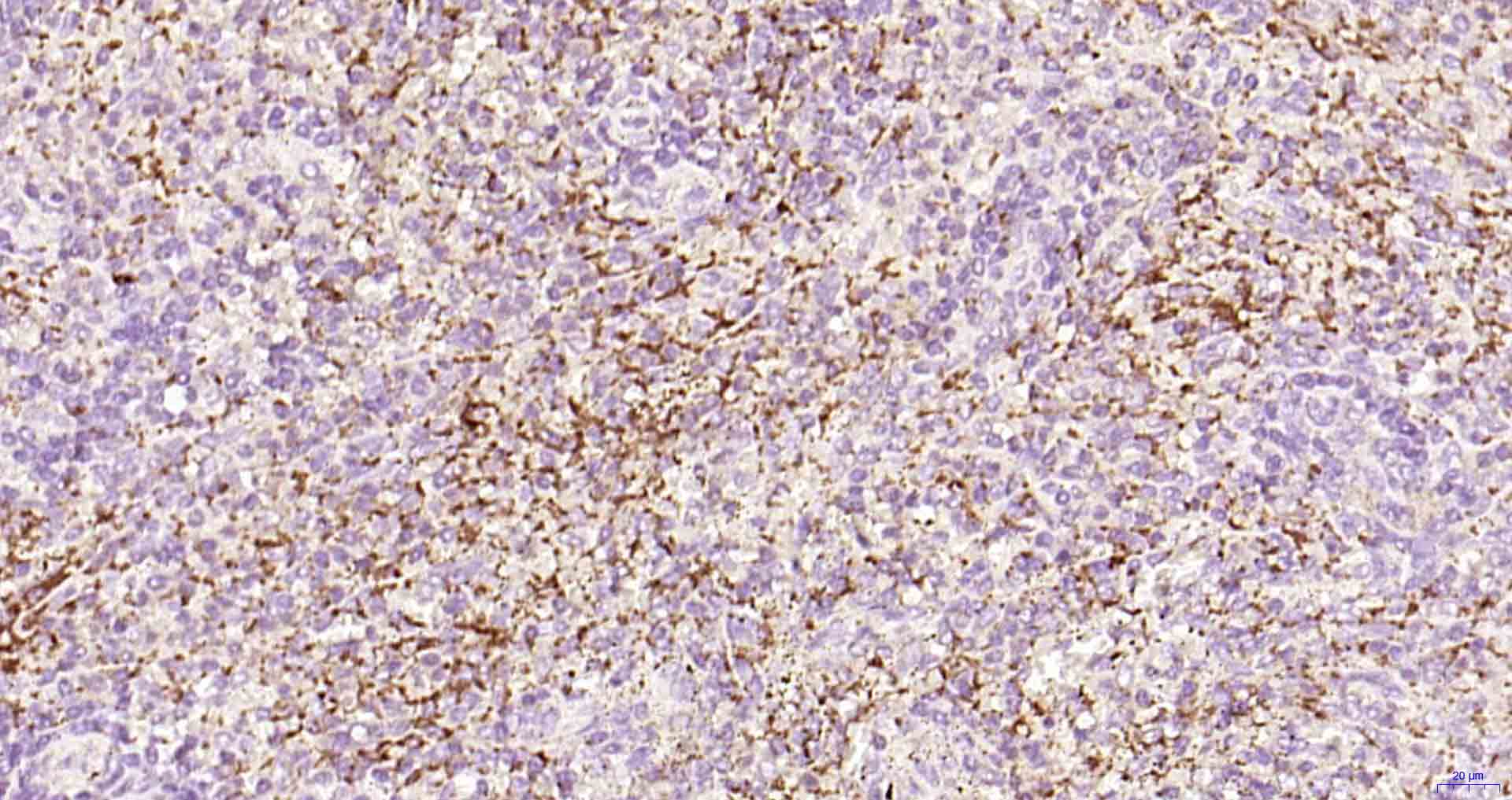
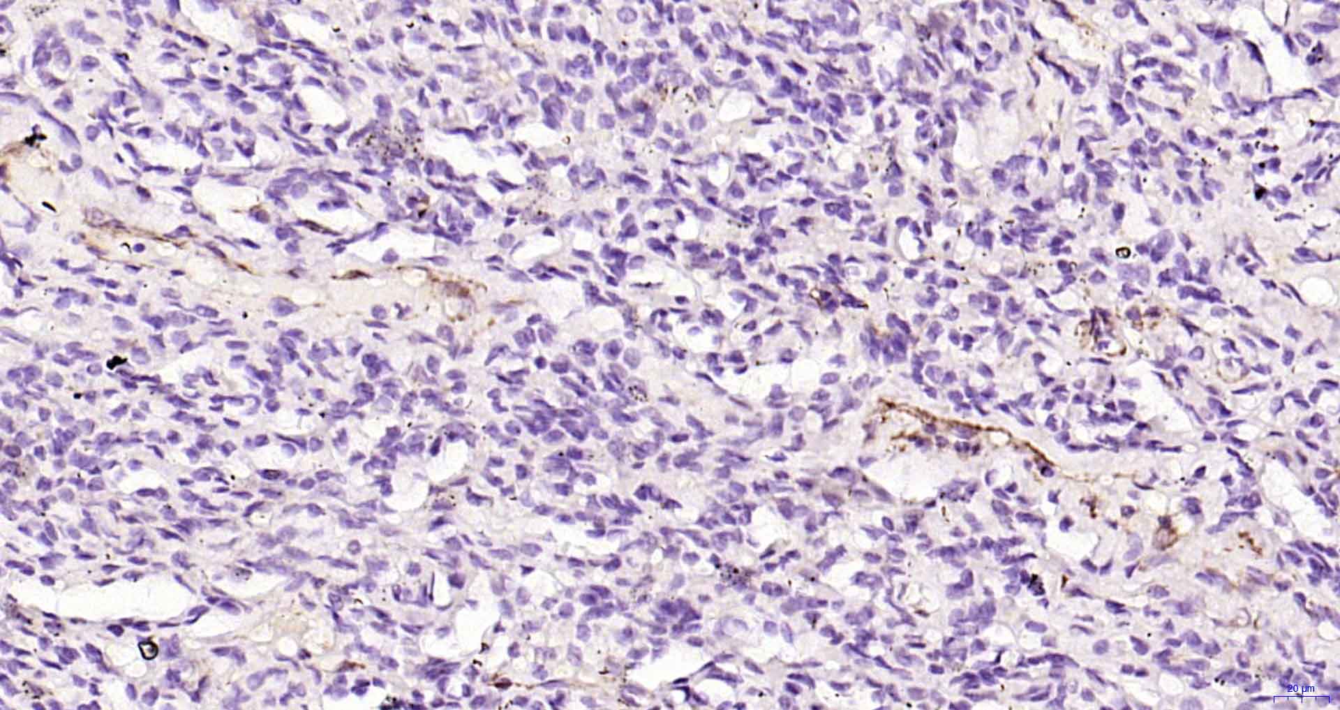
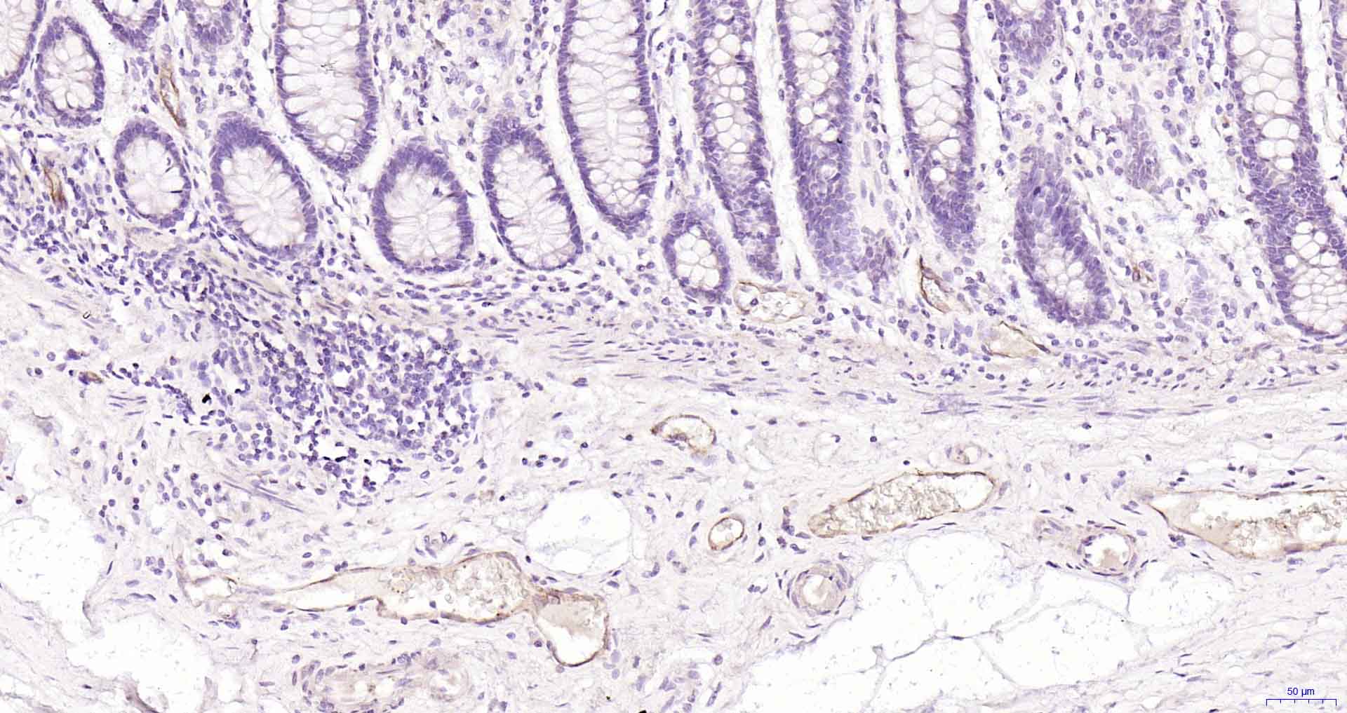
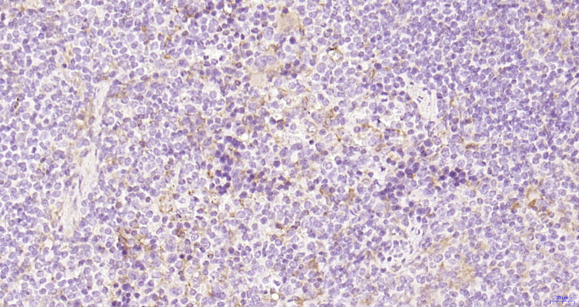
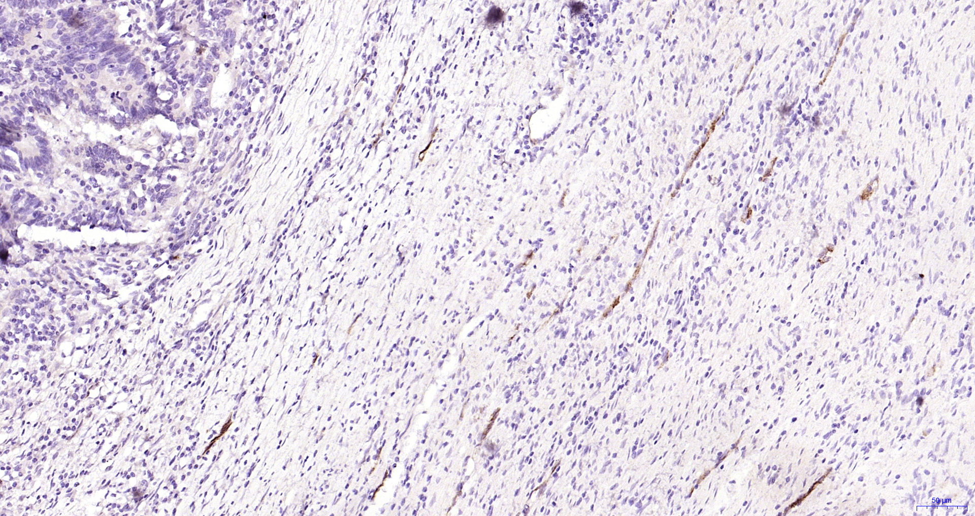
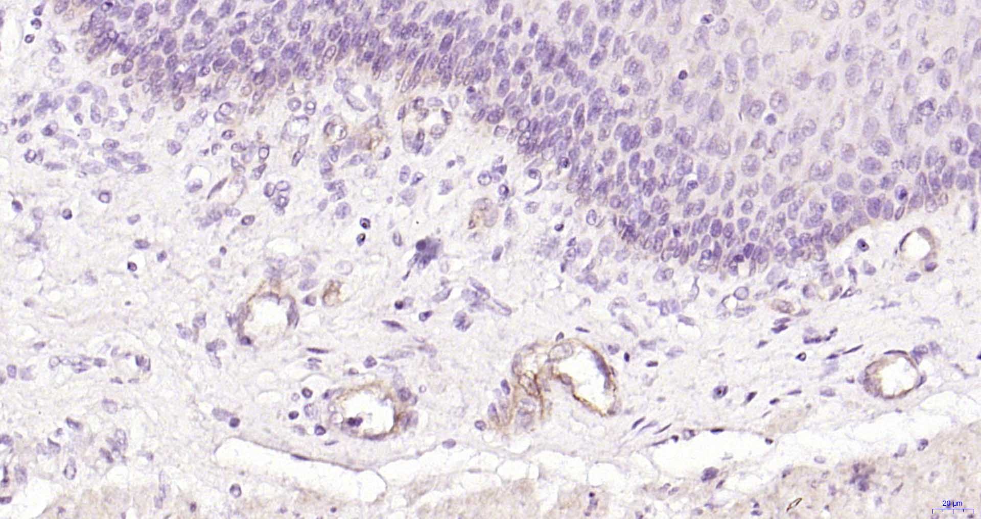
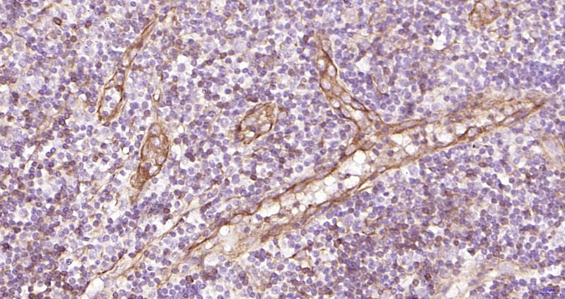
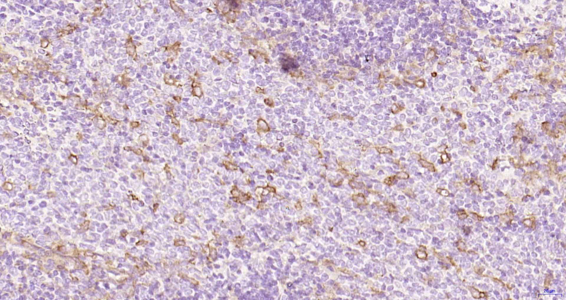
Applications

  • IHC-P
  • IHC-F
  • IF(IHC-P)

Reactivity

  • Human
Overview
Catalog # bsm-60008r-TR
Product Name CD62p Recombinant Antibody
Applications IHC-P, IHC-F, IF(IHC-P)
Reactivity Human
Specifications
Conjugation Unconjugated
Host Rabbit
Source KLH conjugated synthetic peptide derived from human CD62p
Clonality Recombinant
Isotype IgG/Kappa
Concentration Lot dependent
Purification Purified by Protein A.
Storage Buffer 0.01M TBS (pH 7.4), 1% BSA, 0.02% Proclin 300, and 50% Glycerol
Storage Condition Store at 4°C for up to 2 weeks. For long term storage, store at -20°C in small aliquots to prevent freeze-thaw cycles.
Target
Gene ID 6403
Swiss Prot Q01102
Subcellular location Cell membrane
Synonyms CD62P Rabbit mAb; P-selectin; CD_antigen: CD62P; CD62 antigen-like family member P; GMP 140; GMP-140; GMRP; Granule membrane protein 140; Granulocyte membrane protein; GRMP; LECAM 3; LECAM3; Leukocyte endothelial cell adhesion molecule 3; Leukocyte-endothelial cell adhesion molecule 3; P Selectin; PADGEM; Platelet activation dependent granule-external membrane protein; PSEL; sp-selectin; LYAM3_HUMAN.
Background This gene encodes a 140 kDa protein that is stored in the alpha-granules of platelets and Weibel-Palade bodies of endothelial cells. This protein redistributes to the plasma membrane during platelet activation and degranulation and mediates the interaction of activated endothelial cells or platelets with leukocytes. The membrane protein is a calcium-dependent receptor that binds to sialylated forms of Lewis blood group carbohydrate antigens on neutrophils and monocytes. Alternative splice variants may occur but are not well documented. [provided by RefSeq, Jul 2008]
Application Dilution
IHC-P 1:100-500
IHC-F IHC-F1:100-500
IF(IHC-P) IFIHC-P1:100-500