RECEIVE 25% OFF PUBLISHED ANTIBODIES WITH CODE "PUB25"! Offer valid for US customers and available internationally through distributors.

MSH2 Recombinant Antibody

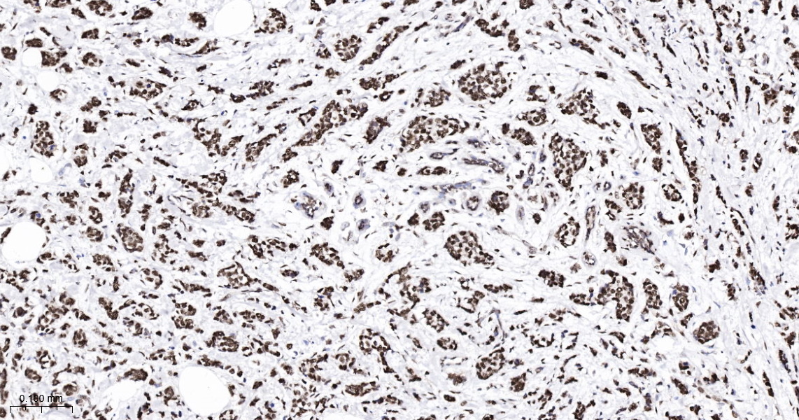
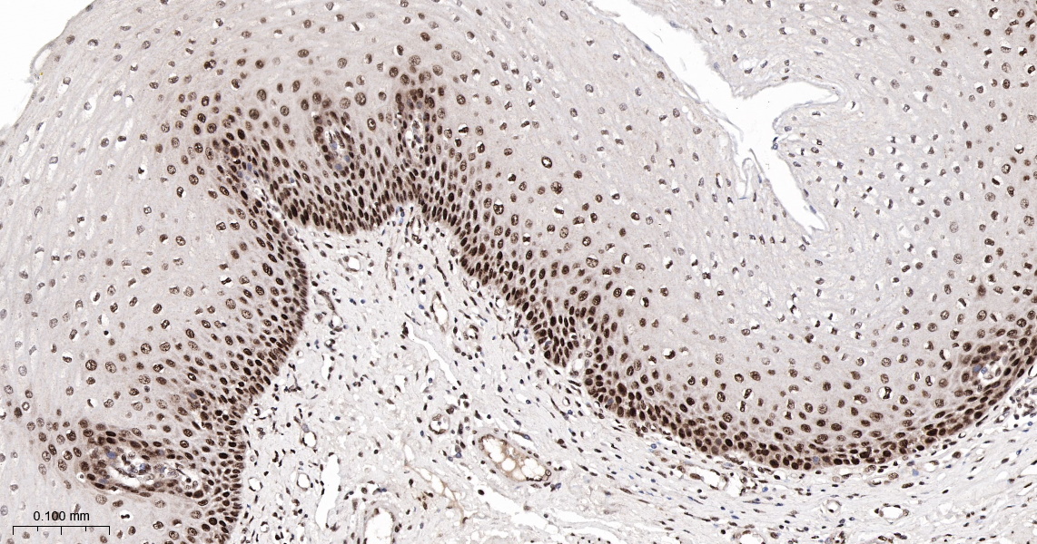
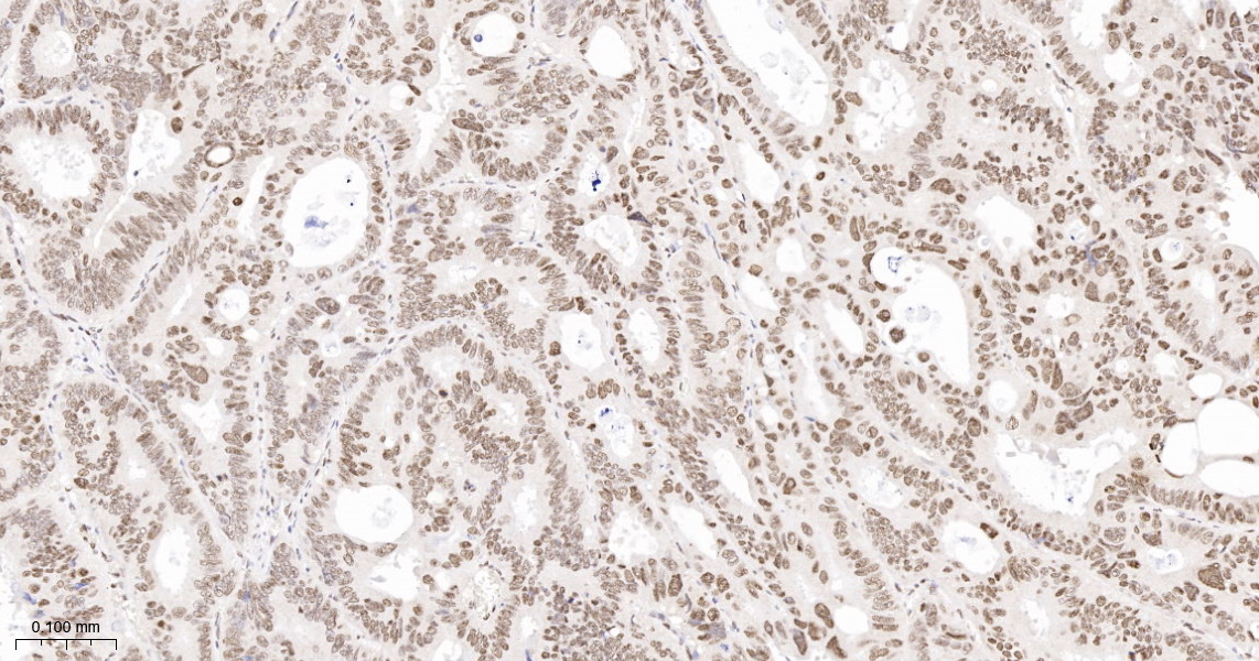
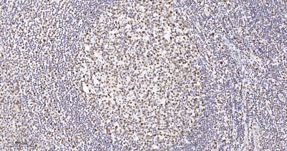
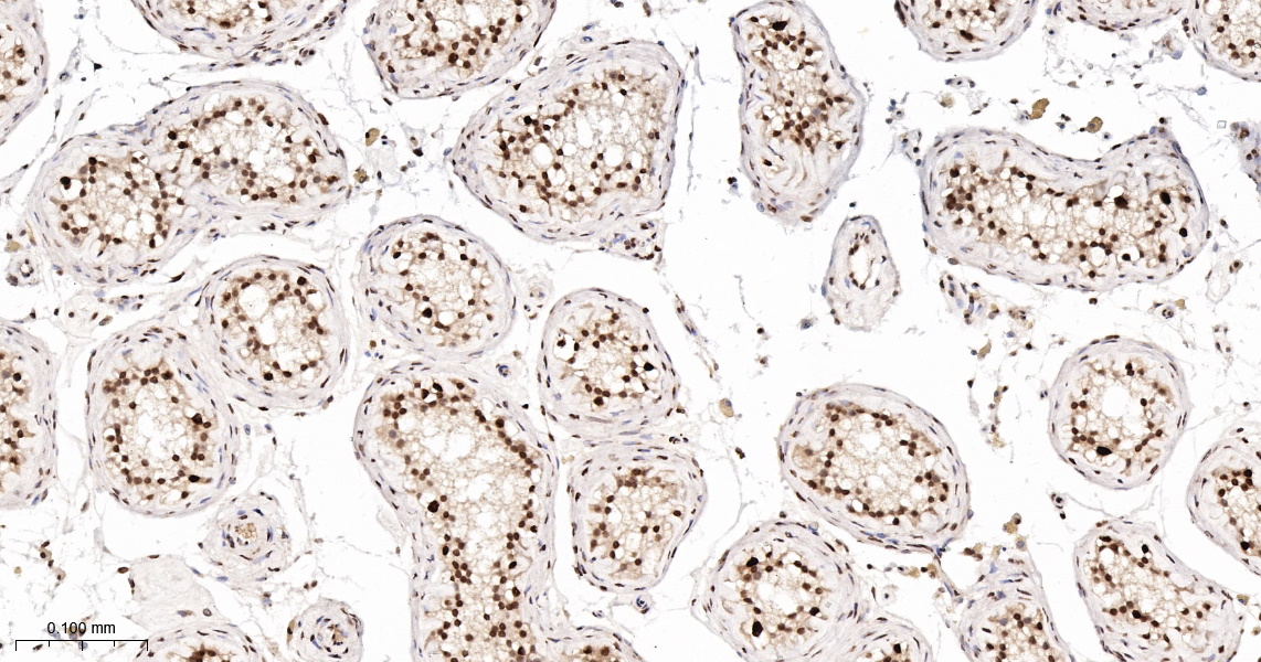
ATP exchange, resulting in a discernible conformational transition that converts MutS alpha into a sliding clamp capable of hydrolysis-independent diffusion along the DNA backbone. This transition is crucial for mismatch repair. MutS alpha may also play a role in DNA homologous recombination repair. In melanocytes may modulate both UV-B-induced cell cycle regulation and apoptosis.", "Category"=>"Primary Antibody", "Clonality"=>"Recombinant", "Concentration"=>"Lot dependent", "Conjugation"=>"Unconjugated", "Cross Reactive Species"=>"Human", "Datasheet URL"=>"https://www.biossusa.com/store/datasheets/bsm-60222R", "Gene ID"=>"4436", "Gene ID Link"=>"Entrez Gene: 4436", "Host"=>"Rabbit", "images"=>"[{\"id\":49158,\"status\":\"active\",\"visibility\":\"public\",\"origin_id\":1,\"origin_notes\":\"\",\"product_id\":20433,\"productconjugation_id\":null,\"application_id\":4,\"application_note\":\"\",\"dilution\":\"1\\/200\",\"cross_reactive_species_id\":1,\"cross_reactive_species_note\":\"\",\"description\":\"Paraformaldehyde-fixed, paraffin embedded Human Colon Cancer; Antigen retrieval by boiling in sodium citrate buffer (pH6.0) for 15 min; Antibody incubation with MSH2 Monoclonal Antibody, Unconjugated(bsm-60222R) at 1:200 overnight at 4\\u00b0C, followed by conjugation to the SP Kit (Rabbit, SP-0023) and DAB (C-0010) staining.\",\"sample_type_id\":2,\"sample_details\":null,\"rating\":4,\"disease_id\":1,\"sample_tissue_id\":6,\"cell_line_id\":null,\"protocols_used\":\"\",\"additional_notes\":\"\",\"filepath_raw\":\"20433\\/49158_raw.jpg\",\"filepath_med\":\"20433\\/49158_med.jpg\",\"filepath_thumb\":\"20433\\/49158_thumb.jpg\",\"display_order\":6,\"lock_version\":3,\"created_at\":\"2024-09-26 04:06:35\",\"updated_at\":\"2025-08-25 03:52:48\",\"image_url\":\"http:\\/\\/biossantibodies.com\\/image-raw\\/49158\"},{\"id\":49159,\"status\":\"active\",\"visibility\":\"public\",\"origin_id\":1,\"origin_notes\":\"\",\"product_id\":20433,\"productconjugation_id\":null,\"application_id\":4,\"application_note\":\"\",\"dilution\":\"1\\/200\",\"cross_reactive_species_id\":1,\"cross_reactive_species_note\":\"\",\"description\":\"Paraformaldehyde-fixed, paraffin embedded Human Tonsil; Antigen retrieval by boiling in sodium citrate buffer (pH6.0) for 15 min; Antibody incubation with MSH2 Monoclonal Antibody, Unconjugated(bsm-60222R) at 1:200 overnight at 4\\u00b0C, followed by conjugation to the SP Kit (Rabbit, SP-0023) and DAB (C-0010) staining.\",\"sample_type_id\":2,\"sample_details\":null,\"rating\":4,\"disease_id\":2,\"sample_tissue_id\":22,\"cell_line_id\":null,\"protocols_used\":\"\",\"additional_notes\":\"\",\"filepath_raw\":\"20433\\/49159_raw.jpg\",\"filepath_med\":\"20433\\/49159_med.jpg\",\"filepath_thumb\":\"20433\\/49159_thumb.jpg\",\"display_order\":7,\"lock_version\":2,\"created_at\":\"2024-09-26 04:07:11\",\"updated_at\":\"2025-08-25 03:54:19\",\"image_url\":\"http:\\/\\/biossantibodies.com\\/image-raw\\/49159\"},{\"id\":49160,\"status\":\"active\",\"visibility\":\"public\",\"origin_id\":1,\"origin_notes\":\"\",\"product_id\":20433,\"productconjugation_id\":null,\"application_id\":4,\"application_note\":\"\",\"dilution\":\"1\\/200\",\"cross_reactive_species_id\":1,\"cross_reactive_species_note\":\"\",\"description\":\"Paraformaldehyde-fixed, paraffin embedded Human Testicles; Antigen retrieval by boiling in sodium citrate buffer (pH6.0) for 15 min; Antibody incubation with MSH2 Monoclonal Antibody, Unconjugated(bsm-60222R) at 1:200 overnight at 4\\u00b0C, followed by conjugation to the SP Kit (Rabbit, SP-0023) and DAB (C-0010) staining.\",\"sample_type_id\":2,\"sample_details\":null,\"rating\":4,\"disease_id\":2,\"sample_tissue_id\":20,\"cell_line_id\":null,\"protocols_used\":\"\",\"additional_notes\":\"\",\"filepath_raw\":\"20433\\/49160_raw.jpg\",\"filepath_med\":\"20433\\/49160_med.jpg\",\"filepath_thumb\":\"20433\\/49160_thumb.jpg\",\"display_order\":8,\"lock_version\":3,\"created_at\":\"2024-09-26 04:07:53\",\"updated_at\":\"2025-08-25 03:57:29\",\"image_url\":\"http:\\/\\/biossantibodies.com\\/image-raw\\/49160\"},{\"id\":49161,\"status\":\"active\",\"visibility\":\"public\",\"origin_id\":1,\"origin_notes\":\"\",\"product_id\":20433,\"productconjugation_id\":null,\"application_id\":4,\"application_note\":\"\",\"dilution\":\"1\\/200\",\"cross_reactive_species_id\":1,\"cross_reactive_species_note\":\"\",\"description\":\"Paraformaldehyde-fixed, paraffin embedded Human Thyroid Gland; Antigen retrieval by boiling in sodium citrate buffer (pH6.0) for 15 min; Antibody incubation with MSH2 Monoclonal Antibody, Unconjugated(bsm-60222R) at 1:200 overnight at 4\\u00b0C, followed by conjugation to the SP Kit (Rabbit, SP-0023) and DAB (C-0010) staining.\",\"sample_type_id\":2,\"sample_details\":null,\"rating\":4,\"disease_id\":2,\"sample_tissue_id\":22,\"cell_line_id\":null,\"protocols_used\":\"\",\"additional_notes\":\"\",\"filepath_raw\":\"20433\\/49161_raw.jpg\",\"filepath_med\":\"20433\\/49161_med.jpg\",\"filepath_thumb\":\"20433\\/49161_thumb.jpg\",\"display_order\":9,\"lock_version\":3,\"created_at\":\"2024-09-26 04:08:40\",\"updated_at\":\"2025-08-25 03:58:36\",\"image_url\":\"http:\\/\\/biossantibodies.com\\/image-raw\\/49161\"},{\"id\":49162,\"status\":\"active\",\"visibility\":\"public\",\"origin_id\":1,\"origin_notes\":\"\",\"product_id\":20433,\"productconjugation_id\":null,\"application_id\":4,\"application_note\":\"\",\"dilution\":\"1\\/200\",\"cross_reactive_species_id\":1,\"cross_reactive_species_note\":\"\",\"description\":\"Paraformaldehyde-fixed, paraffin embedded Human Colon; Antigen retrieval by boiling in sodium citrate buffer (pH6.0) for 15 min; Antibody incubation with MSH2 Monoclonal Antibody, Unconjugated(bsm-60222R) at 1:200 overnight at 4\\u00b0C, followed by conjugation to the SP Kit (Rabbit, SP-0023) and DAB (C-0010) staining.\",\"sample_type_id\":2,\"sample_details\":null,\"rating\":4,\"disease_id\":2,\"sample_tissue_id\":6,\"cell_line_id\":null,\"protocols_used\":\"\",\"additional_notes\":\"\",\"filepath_raw\":\"20433\\/49162_raw.jpg\",\"filepath_med\":\"20433\\/49162_med.jpg\",\"filepath_thumb\":\"20433\\/49162_thumb.jpg\",\"display_order\":10,\"lock_version\":3,\"created_at\":\"2024-09-26 04:09:06\",\"updated_at\":\"2025-08-25 04:01:02\",\"image_url\":\"http:\\/\\/biossantibodies.com\\/image-raw\\/49162\"},{\"id\":49163,\"status\":\"active\",\"visibility\":\"public\",\"origin_id\":1,\"origin_notes\":\"\",\"product_id\":20433,\"productconjugation_id\":null,\"application_id\":4,\"application_note\":\"\",\"dilution\":\"1\\/200\",\"cross_reactive_species_id\":1,\"cross_reactive_species_note\":\"\",\"description\":\"Paraformaldehyde-fixed, paraffin embedded Human Esophagus; Antigen retrieval by boiling in sodium citrate buffer (pH6.0) for 15 min; Antibody incubation with MSH2 Monoclonal Antibody, Unconjugated(bsm-60222R) at 1:200 overnight at 4\\u00b0C, followed by conjugation to the SP Kit (Rabbit, SP-0023) and DAB (C-0010) staining.\",\"sample_type_id\":2,\"sample_details\":null,\"rating\":3,\"disease_id\":2,\"sample_tissue_id\":28,\"cell_line_id\":null,\"protocols_used\":\"\",\"additional_notes\":\"\",\"filepath_raw\":\"20433\\/49163_raw.jpg\",\"filepath_med\":\"20433\\/49163_med.jpg\",\"filepath_thumb\":\"20433\\/49163_thumb.jpg\",\"display_order\":11,\"lock_version\":3,\"created_at\":\"2024-09-26 04:09:34\",\"updated_at\":\"2025-08-25 04:02:56\",\"image_url\":\"http:\\/\\/biossantibodies.com\\/image-raw\\/49163\"},{\"id\":49164,\"status\":\"active\",\"visibility\":\"public\",\"origin_id\":1,\"origin_notes\":\"\",\"product_id\":20433,\"productconjugation_id\":null,\"application_id\":4,\"application_note\":\"\",\"dilution\":\"1\\/200\",\"cross_reactive_species_id\":1,\"cross_reactive_species_note\":\"\",\"description\":\"Paraformaldehyde-fixed, paraffin embedded Human Endometrial ; Antigen retrieval by boiling in sodium citrate buffer (pH6.0) for 15 min; Antibody incubation with MSH2 Monoclonal Antibody, Unconjugated(bsm-60222R) at 1:200 overnight at 4\\u00b0C, followed by conjugation to the SP Kit (Rabbit, SP-0023) and DAB (C-0010) staining.\",\"sample_type_id\":2,\"sample_details\":null,\"rating\":4,\"disease_id\":2,\"sample_tissue_id\":22,\"cell_line_id\":null,\"protocols_used\":\"\",\"additional_notes\":\"\",\"filepath_raw\":\"20433\\/49164_raw.jpg\",\"filepath_med\":\"20433\\/49164_med.jpg\",\"filepath_thumb\":\"20433\\/49164_thumb.jpg\",\"display_order\":12,\"lock_version\":3,\"created_at\":\"2024-09-26 04:10:03\",\"updated_at\":\"2025-08-25 04:04:20\",\"image_url\":\"http:\\/\\/biossantibodies.com\\/image-raw\\/49164\"},{\"id\":49165,\"status\":\"active\",\"visibility\":\"public\",\"origin_id\":1,\"origin_notes\":\"\",\"product_id\":20433,\"productconjugation_id\":null,\"application_id\":4,\"application_note\":\"\",\"dilution\":\"1\\/200\",\"cross_reactive_species_id\":1,\"cross_reactive_species_note\":\"\",\"description\":\"Paraformaldehyde-fixed, paraffin embedded Human Breast Cancer ; Antigen retrieval by boiling in sodium citrate buffer (pH6.0) for 15 min; Antibody incubation with MSH2 Monoclonal Antibody, Unconjugated(bsm-60222R) at 1:200 overnight at 4\\u00b0C, followed by conjugation to the SP Kit (Rabbit, SP-0023) and DAB (C-0010) staining.\",\"sample_type_id\":2,\"sample_details\":null,\"rating\":4,\"disease_id\":1,\"sample_tissue_id\":3,\"cell_line_id\":null,\"protocols_used\":\"\",\"additional_notes\":\"\",\"filepath_raw\":\"20433\\/49165_raw.jpg\",\"filepath_med\":\"20433\\/49165_med.jpg\",\"filepath_thumb\":\"20433\\/49165_thumb.jpg\",\"display_order\":13,\"lock_version\":3,\"created_at\":\"2024-09-26 04:10:29\",\"updated_at\":\"2025-08-25 04:05:24\",\"image_url\":\"http:\\/\\/biossantibodies.com\\/image-raw\\/49165\"},{\"id\":60896,\"status\":\"active\",\"visibility\":\"public\",\"origin_id\":1,\"origin_notes\":\"\",\"product_id\":20433,\"productconjugation_id\":null,\"application_id\":1,\"application_note\":\"\",\"dilution\":\"1:1000\",\"cross_reactive_species_id\":1,\"cross_reactive_species_note\":\"\",\"description\":\"25 ug total protein per lane of various lysates (see on figure) probed with MSH2 monoclonal antibody, unconjugated (bsm-60222R) at 1:1000 dilution and 4\\u00b0C overnight incubation. Followed by conjugated secondary antibody incubation at r.t. for 60 min. \",\"sample_type_id\":1,\"sample_details\":null,\"rating\":3,\"disease_id\":null,\"sample_tissue_id\":null,\"cell_line_id\":13,\"protocols_used\":\"\",\"additional_notes\":\"\",\"filepath_raw\":\"20433\\/60896_raw.jpg\",\"filepath_med\":\"20433\\/60896_med.jpg\",\"filepath_thumb\":\"20433\\/60896_thumb.jpg\",\"display_order\":14,\"lock_version\":3,\"created_at\":\"2025-08-21 04:29:05\",\"updated_at\":\"2025-08-25 21:47:05\",\"image_url\":\"http:\\/\\/biossantibodies.com\\/image-raw\\/60896\"},{\"id\":61013,\"status\":\"active\",\"visibility\":\"public\",\"origin_id\":1,\"origin_notes\":\"\",\"product_id\":20433,\"productconjugation_id\":null,\"application_id\":3,\"application_note\":\"\",\"dilution\":\"1:100\",\"cross_reactive_species_id\":1,\"cross_reactive_species_note\":\"\",\"description\":\"The Hela (H) cells were fixed with 4% PFA (10 min at r.t.) and then permeabilized with 90% ice-cold methanol for 20 min at -20\\u2103,the cells then were incubated in 5%BSA to block non-specific protein-protein interactions (30 min at r.t.), followed by secondary antibody incubation for 40 min at room temperature. Primary Antibody (green):Rabbit Anti-MSH2 antibody (bsm-60222R): 1 \\u03bcg\\/10^6 cells; Isotype Control (orange): Rabbit IgG (bs-0295P). Blank control (black): PBS. Acquisition of 20,000 events was performed.\",\"sample_type_id\":1,\"sample_details\":null,\"rating\":5,\"disease_id\":null,\"sample_tissue_id\":null,\"cell_line_id\":13,\"protocols_used\":\"\",\"additional_notes\":\"\",\"filepath_raw\":\"20433\\/61013_raw.jpg\",\"filepath_med\":\"20433\\/61013_med.jpg\",\"filepath_thumb\":\"20433\\/61013_thumb.jpg\",\"display_order\":15,\"lock_version\":1,\"created_at\":\"2025-08-25 05:04:59\",\"updated_at\":\"2025-08-25 05:04:59\",\"image_url\":\"http:\\/\\/biossantibodies.com\\/image-raw\\/61013\"},{\"id\":64551,\"status\":\"active\",\"visibility\":\"public\",\"origin_id\":1,\"origin_notes\":\"\",\"product_id\":20433,\"productconjugation_id\":null,\"application_id\":8,\"application_note\":\"\",\"dilution\":\"1:100\",\"cross_reactive_species_id\":1,\"cross_reactive_species_note\":\"\",\"description\":\"4% Paraformaldehyde-fixed Hela (H) cell; Triton X-100 at r.t. for 20 min; Antibody incubation with (MSH2) monoclonal Antibody, unconjugated (bsm-60222R) 1:100, 90 min at 37\\u00b0C; followed by BF488 conjugated Goat Anti-Rabbit IgG antibody (green, bs-60295G-BF488) at 37\\u00b0C for 90 min, DAPI (blue, C02-04002) was used to stain the cell nuclei. PBS instead of the primary antibody was used as the blank control.\",\"sample_type_id\":1,\"sample_details\":null,\"rating\":3,\"disease_id\":null,\"sample_tissue_id\":null,\"cell_line_id\":13,\"protocols_used\":\"\",\"additional_notes\":\"\",\"filepath_raw\":\"20433\\/64551_raw.jpg\",\"filepath_med\":\"20433\\/64551_med.jpg\",\"filepath_thumb\":\"20433\\/64551_thumb.jpg\",\"display_order\":16,\"lock_version\":1,\"created_at\":\"2025-12-01 21:27:54\",\"updated_at\":\"2025-12-01 21:27:54\",\"image_url\":\"http:\\/\\/biossantibodies.com\\/image-raw\\/64551\"}]", "Isotype"=>"IgG", "Lead Time"=>"3 to 5 business days.", "Modification"=>"Unmodified", "Product URL"=>"https://www.biossusa.com/products/bsm-60222R", "Promo"=>"Promo.RCAB", "Purification"=>"Purified by Protein A.", "Size"=>"100µL", "Source"=>"KLH conjugated synthetic peptide derived from human MSH2", "Storage"=>"0.01M TBS (pH 7.4), 1% BSA, 0.02% Proclin 300, and 50% Glycerol Store at 4°C for up to 2 weeks. For long term storage, store at -20°C in small aliquots to prevent freeze-thaw cycles.", "Storage Buffer"=>"0.01M TBS (pH 7.4), 1% BSA, 0.02% Proclin 300, and 50% Glycerol", "Storage Condition"=>"Store at 4°C for up to 2 weeks. For long term storage, store at -20°C in small aliquots to prevent freeze-thaw cycles.", "Subcellular Locations"=>"Nucleus", "Swiss Prot"=>"P43246", "Swiss Prot Link"=>"Swiss Prot: P43246", "Synonyms"=>"MSH-2; BAT26; DNA mismatch repair protein Msh2; FCC1; COCA1; HNPCC; LCFS2; HNPCC1; BAT26; COCA 1; COCA1; DNA mismatch repair protein Msh2; FCC 1; FCC1; hMSH2; HNPCC 1; HNPCC; HNPCC1; LCFS2; MSH 2; Msh2; MSH2_HUMAN; MutS homolog 2; MutS homolog 2 colon cancer nonpolyposis type 1; MutS protein homolog 2.", "Target Protein"=>"MSH2"} -->

Applications

  • WB
  • FCM
  • IHC-P
  • IHC-F
  • IF(IHC-P)
  • IF(ICC)

Reactivity

  • Human
Overview
Catalog # bsm-60222r-TR
Product Name MSH2 Recombinant Antibody
Applications WB, FCM, IHC-P, IHC-F, IF(IHC-P), IF(ICC)
Reactivity Human
Specifications
Conjugation Unconjugated
Host Rabbit
Source KLH conjugated synthetic peptide derived from human MSH2
Clonality Recombinant
Isotype IgG
Concentration Lot dependent
Purification Purified by Protein A.
Storage Buffer 0.01M TBS (pH 7.4), 1% BSA, 0.02% Proclin 300, and 50% Glycerol
Storage Condition Store at 4°C for up to 2 weeks. For long term storage, store at -20°C in small aliquots to prevent freeze-thaw cycles.
Target
Gene ID 4436
Swiss Prot P43246
Subcellular location Nucleus
Synonyms MSH-2; BAT26; DNA mismatch repair protein Msh2; FCC1; COCA1; HNPCC; LCFS2; HNPCC1; BAT26; COCA 1; COCA1; DNA mismatch repair protein Msh2; FCC 1; FCC1; hMSH2; HNPCC 1; HNPCC; HNPCC1; LCFS2; MSH 2; Msh2; MSH2_HUMAN; MutS homolog 2; MutS homolog 2 colon cancer nonpolyposis type 1; MutS protein homolog 2.
Background Component of the post-replicative DNA mismatch repair system (MMR). Forms two different heterodimers: MutS alpha (MSH2-MSH6 heterodimer) and MutS beta (MSH2-MSH3 heterodimer) which binds to DNA mismatches thereby initiating DNA repair. When bound, heterodimers bend the DNA helix and shields approximately 20 base pairs. MutS alpha recognizes single base mismatches and dinucleotide insertion-deletion loops (IDL) in the DNA. MutS beta recognizes larger insertion-deletion loops up to 13 nucleotides long. After mismatch binding, MutS alpha or beta forms a ternary complex with the MutL alpha heterodimer, which is thought to be responsible for directing the downstream MMR events, including strand discrimination, excision, and resynthesis. ATP binding and hydrolysis play a pivotal role in mismatch repair functions. The ATPase activity associated with MutS alpha regulates binding similar to a molecular switch: mismatched DNA provokes ADP-->ATP exchange, resulting in a discernible conformational transition that converts MutS alpha into a sliding clamp capable of hydrolysis-independent diffusion along the DNA backbone. This transition is crucial for mismatch repair. MutS alpha may also play a role in DNA homologous recombination repair. In melanocytes may modulate both UV-B-induced cell cycle regulation and apoptosis.
Application Dilution
WB 1:1000-5000
FCM FCM1:50-100
IHC-P IHC-P1:200-1000
IHC-F IHC-F1:200-1000
IF(IHC-P) IFIHC-P1:200-1000
IF(ICC) IFICC1:50-200