| Overview |
| bsm-60231r |
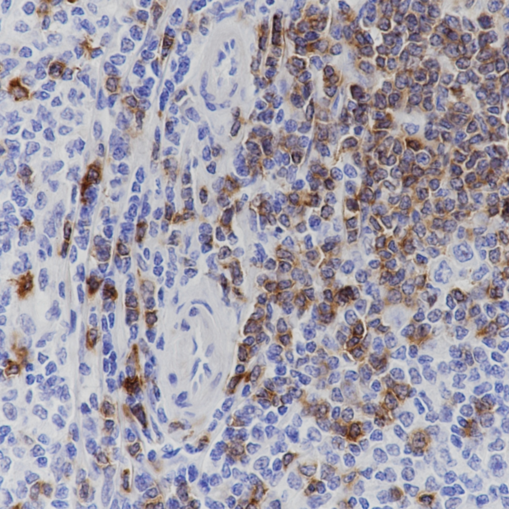
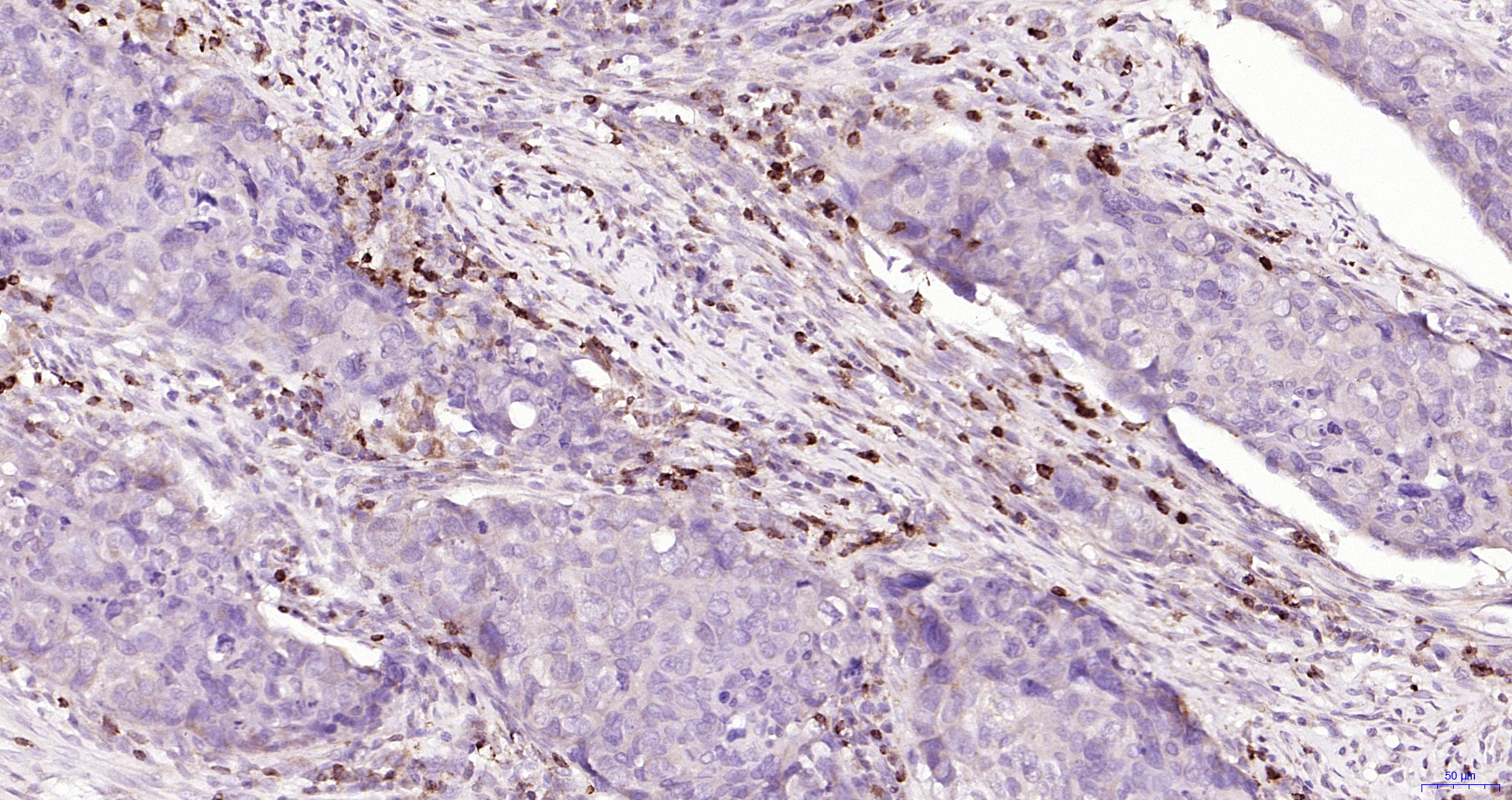
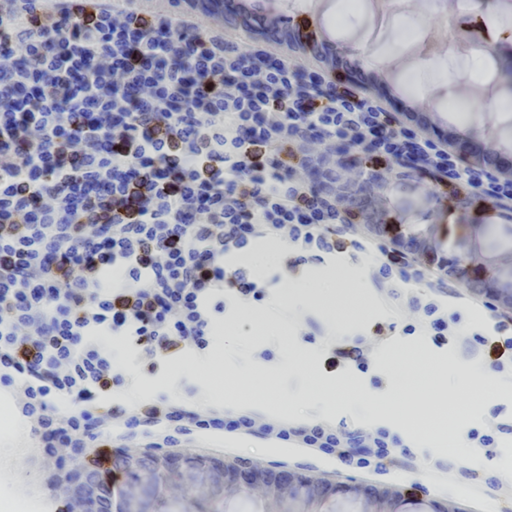
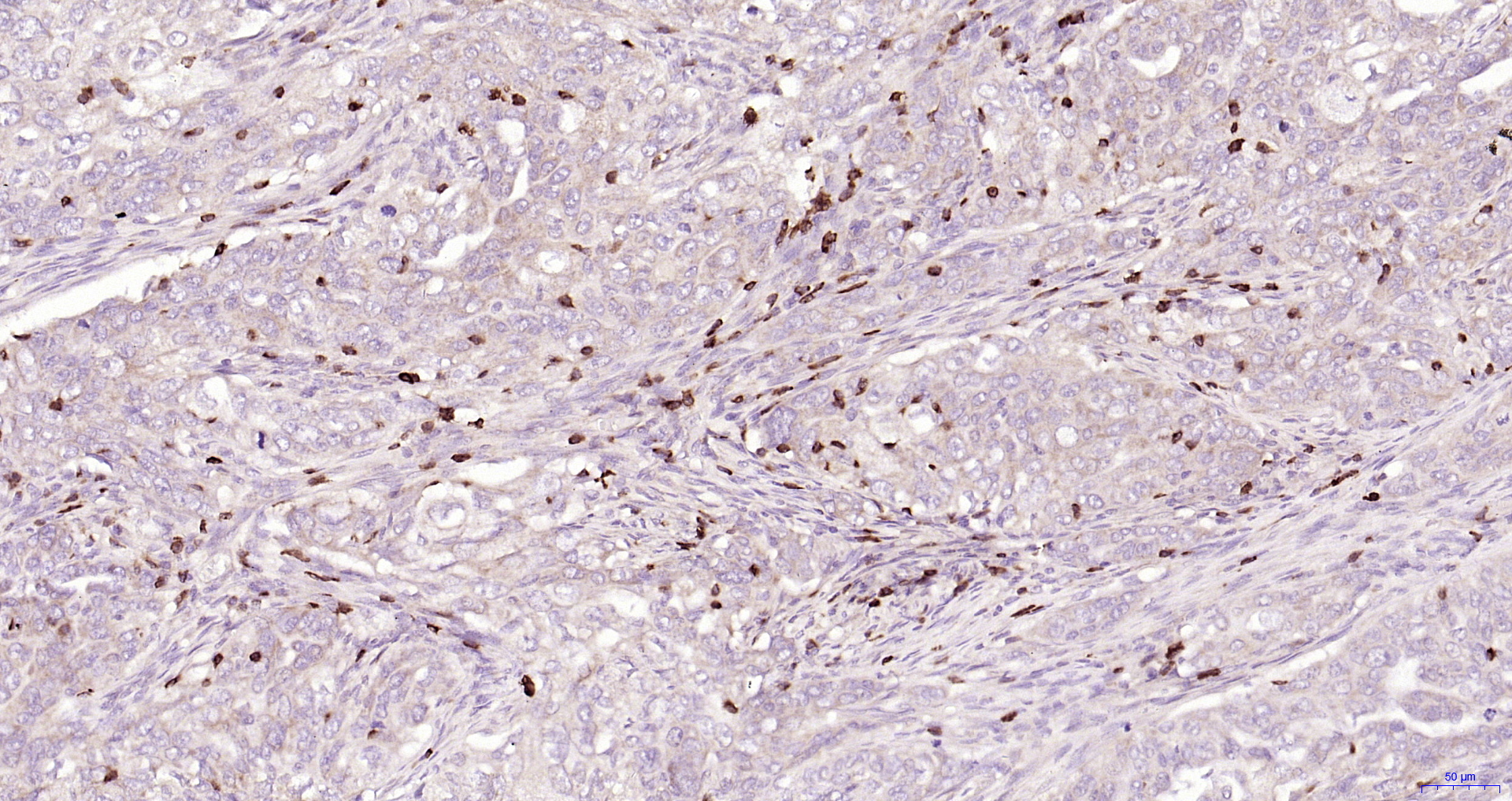
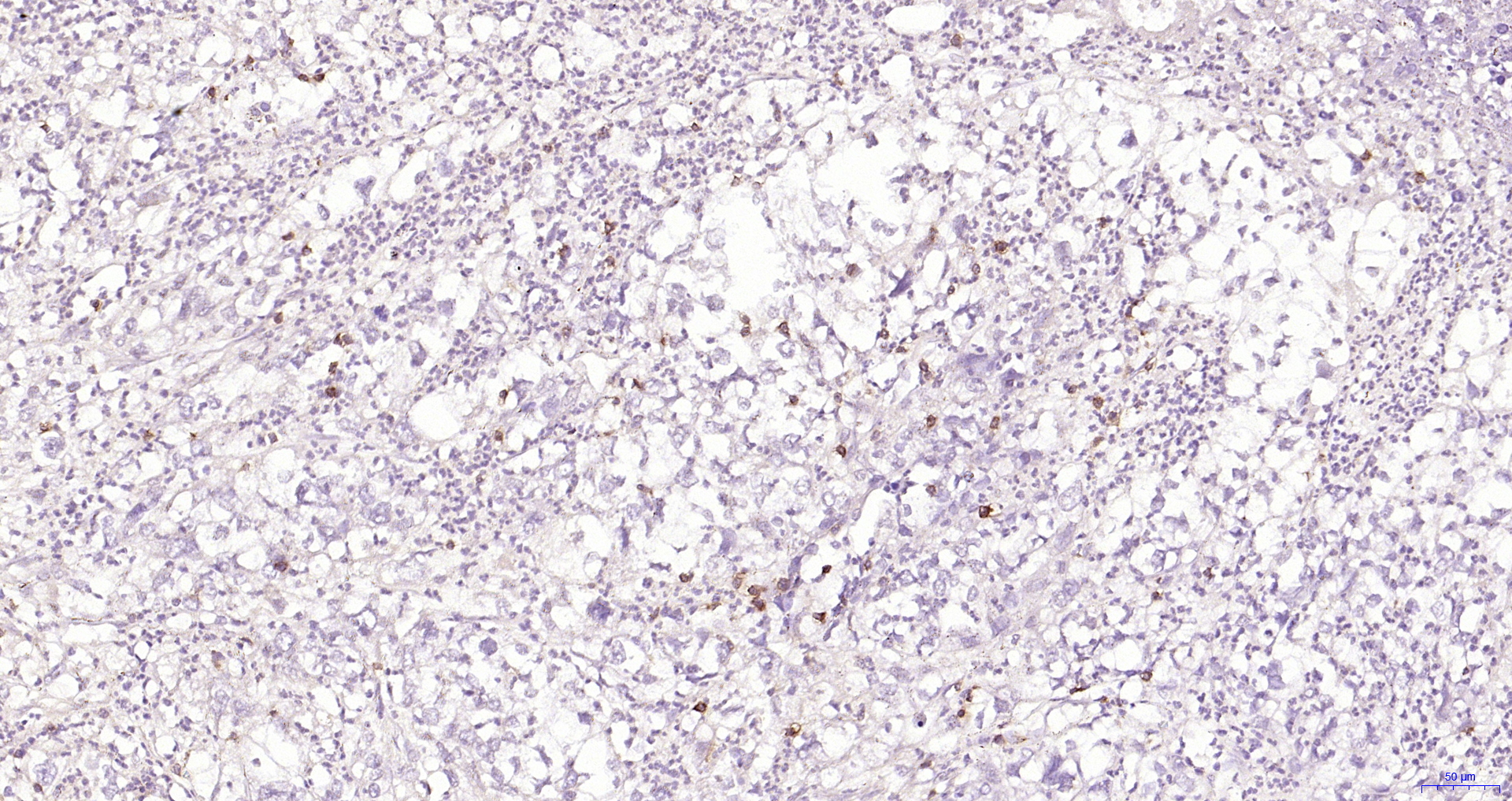
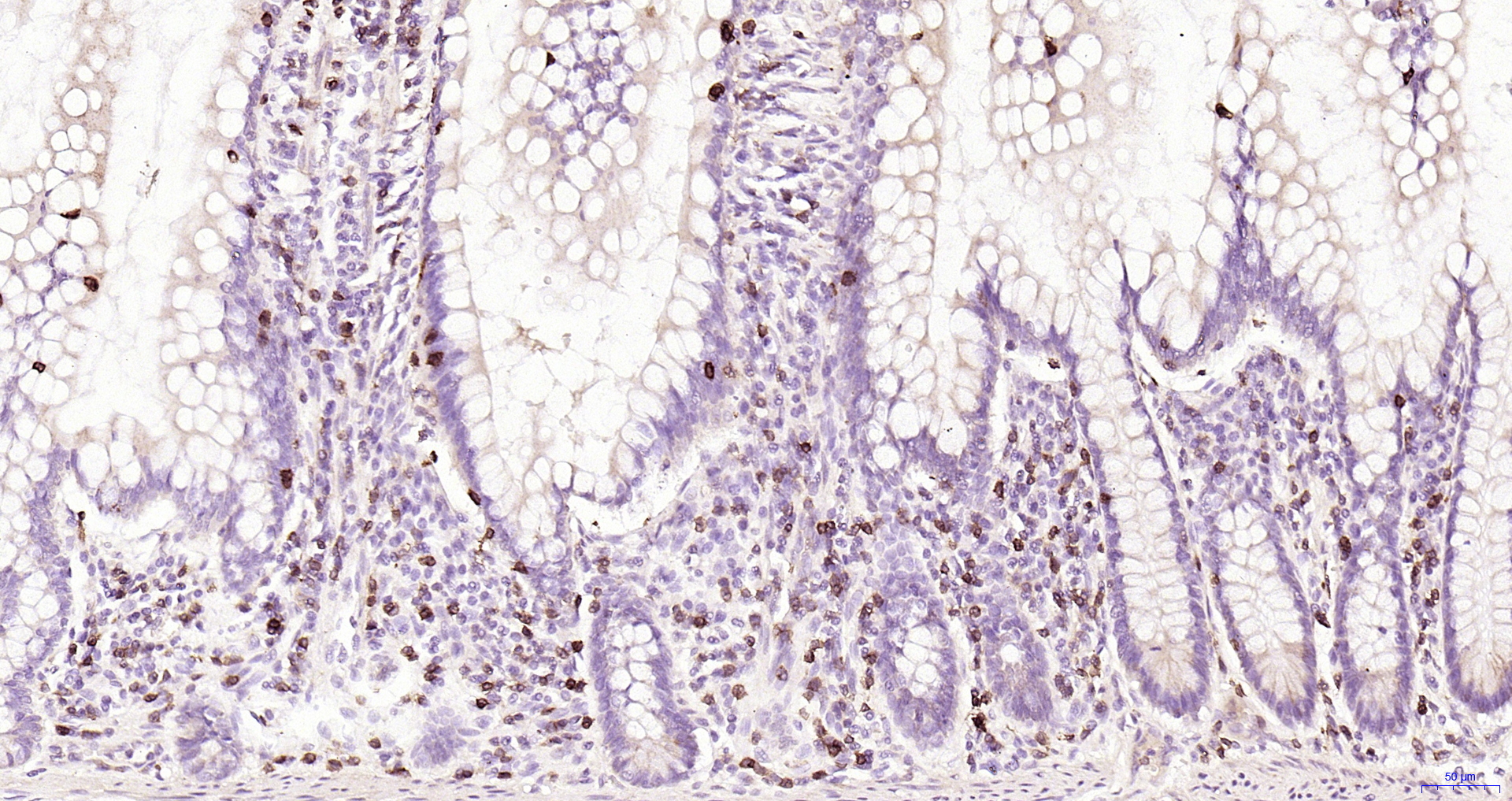
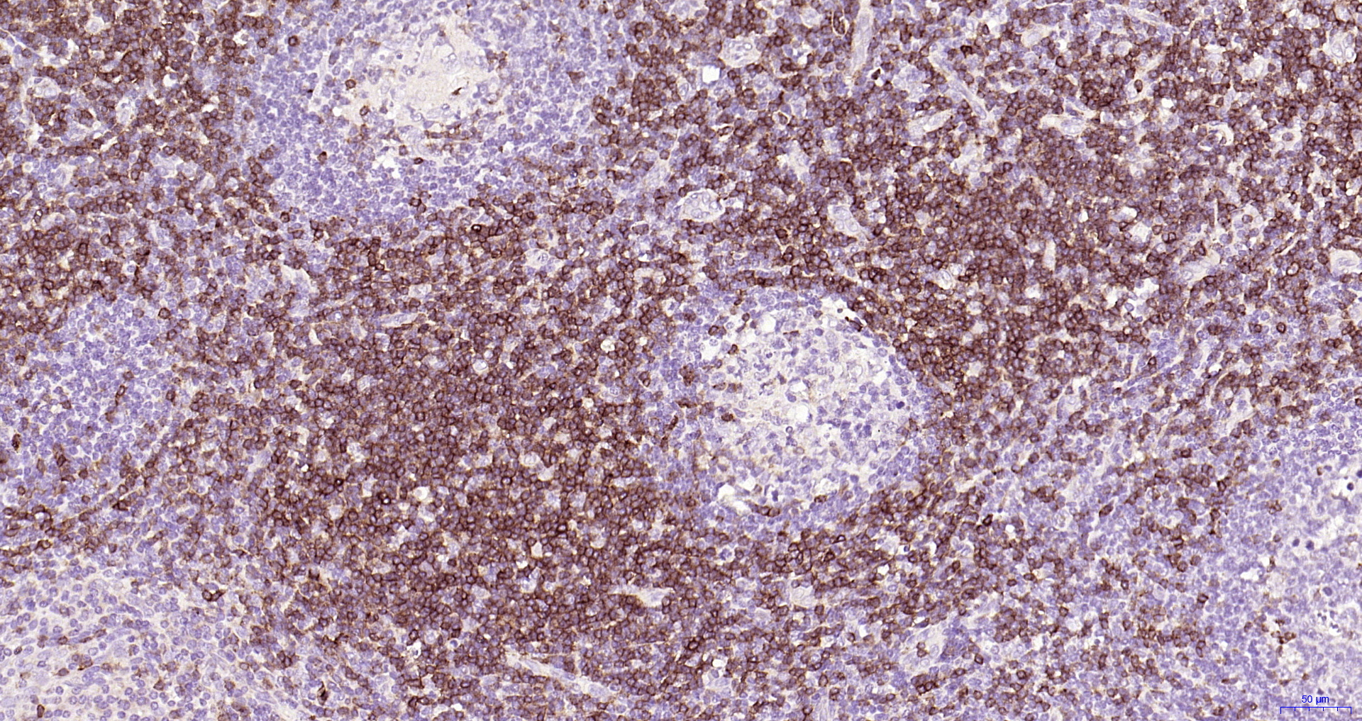
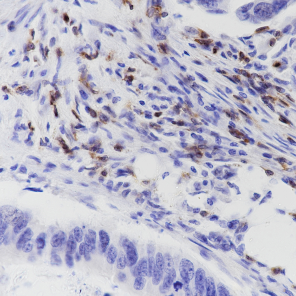
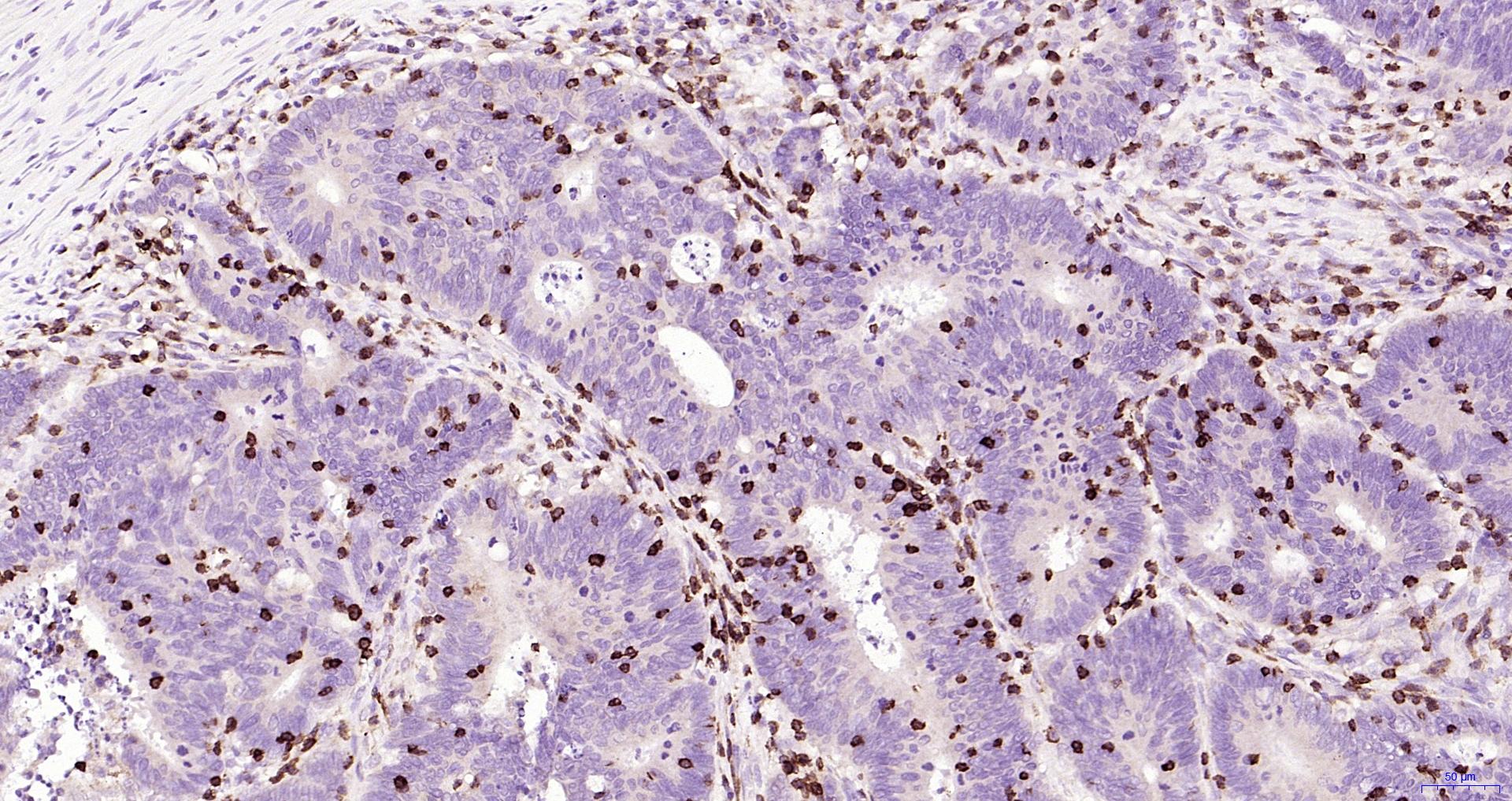
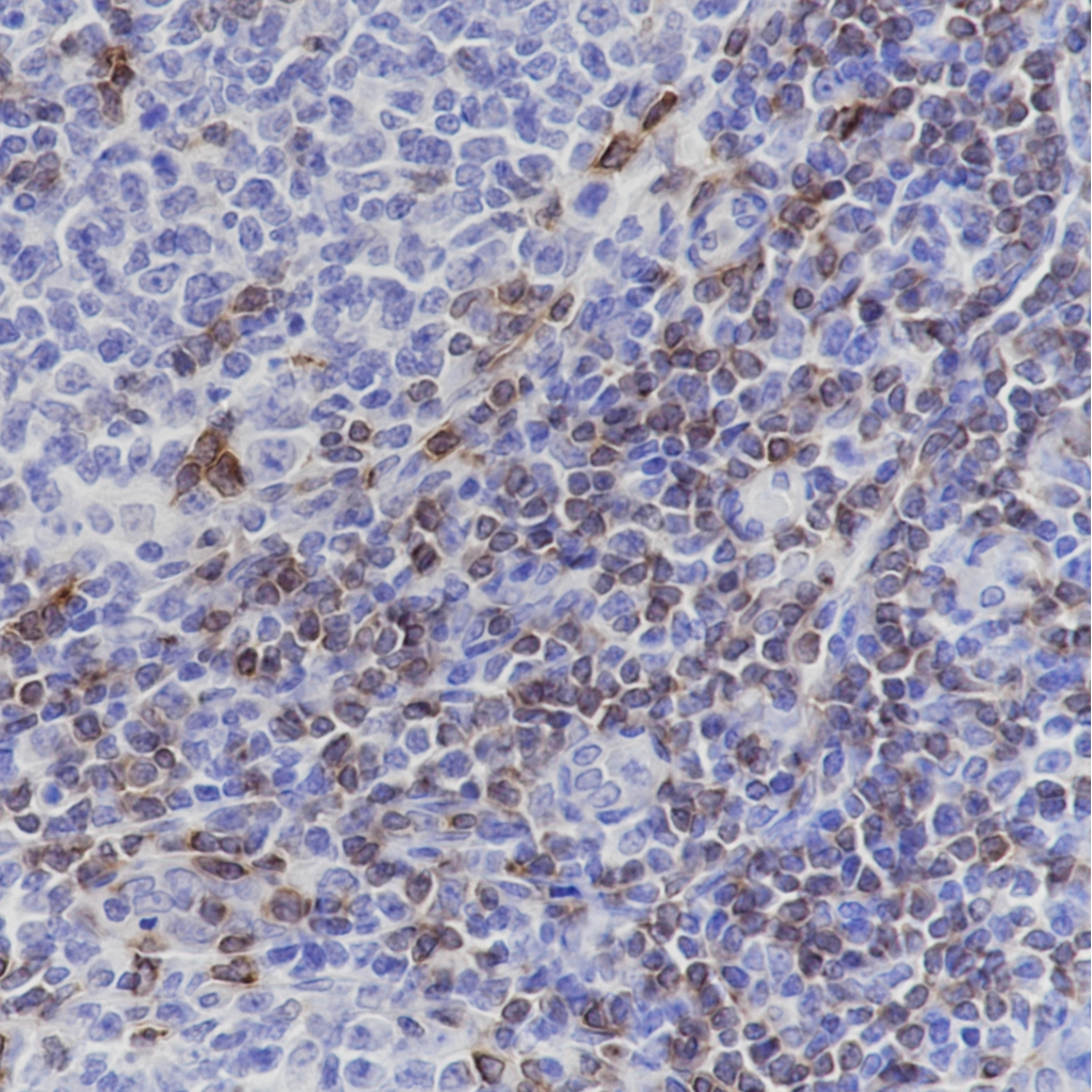
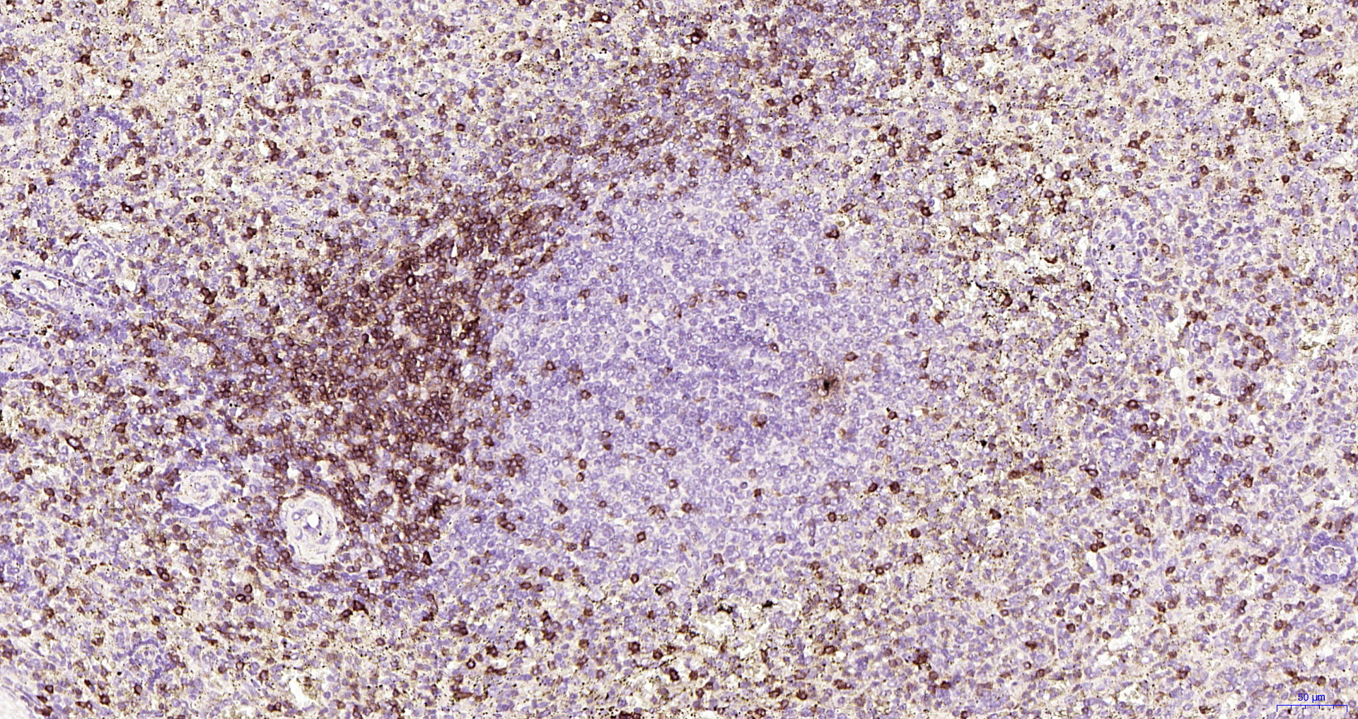
| CD7 Recombinant Antibody |
| WB, IHC-P, IHC-F, IF |
| Human |
| Specifications |
| Unconjugated |
| Rabbit |
| KLH conjugated synthetic peptide derived from human CD7 |
| Recombinant |
| IgG |
| Lot dependent |
| Purified by Protein A. |
| 0.01M TBS (pH 7.4), 1% BSA, 0.02% Proclin 300, and 50% Glycerol |
| Shipped at 4C. Store at -20C for one year. Avoid repeated freeze/thaw cycles. |
| Target |
| 924 |
| P09564 |
| Cell membrane |
| CD7 antigen (p41); CD7 molecule; CD7_HUMAN; T-cell antigen CD7; T-cell leukemia antigen; T-cell surface antigen Leu-9; CD 7; CD7 antigen; CD7 antigen p41; CD7 molecule; GP 40; GP40; LEU 9; LEU9; p41; p41 protein; T cell antigen CD7; T cell antigen CD7 precursor; T cell leukemia antigen; Tp 40; TP 41; Tp40; TP41. |
| This gene encodes a transmembrane protein which is a member of the immunoglobulin superfamily. This protein is found on thymocytes and mature T cells. It plays an essential role in T-cell interactions and also in T-cell/B-cell interaction during early lymphoid development. [provided by RefSeq, Jul 2008] |
| Application Dilution |
| WB |
IHC-P1:200-1000 |
| IHC-P |
1:200-400 |
| IHC-F |
1:100-500 |
| IF |
|