RECEIVE 25% OFF PUBLISHED ANTIBODIES WITH CODE "PUB25"! Offer valid for US customers and available internationally through distributors.

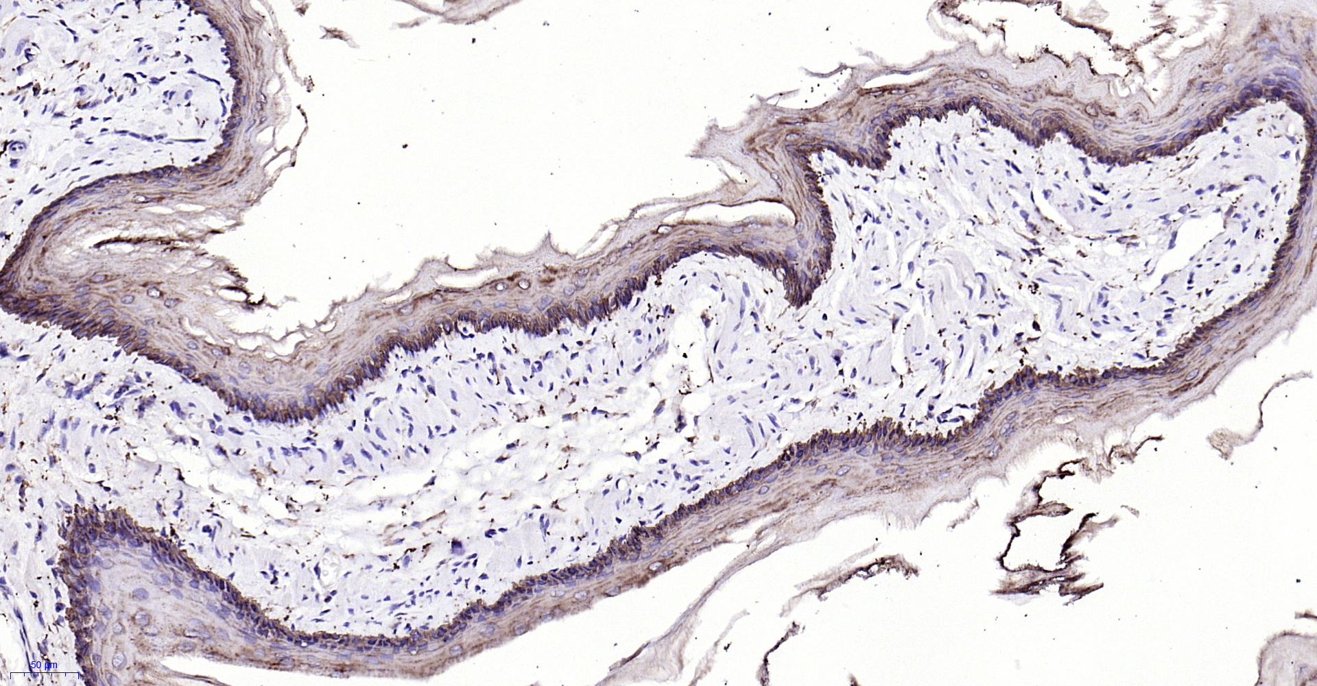
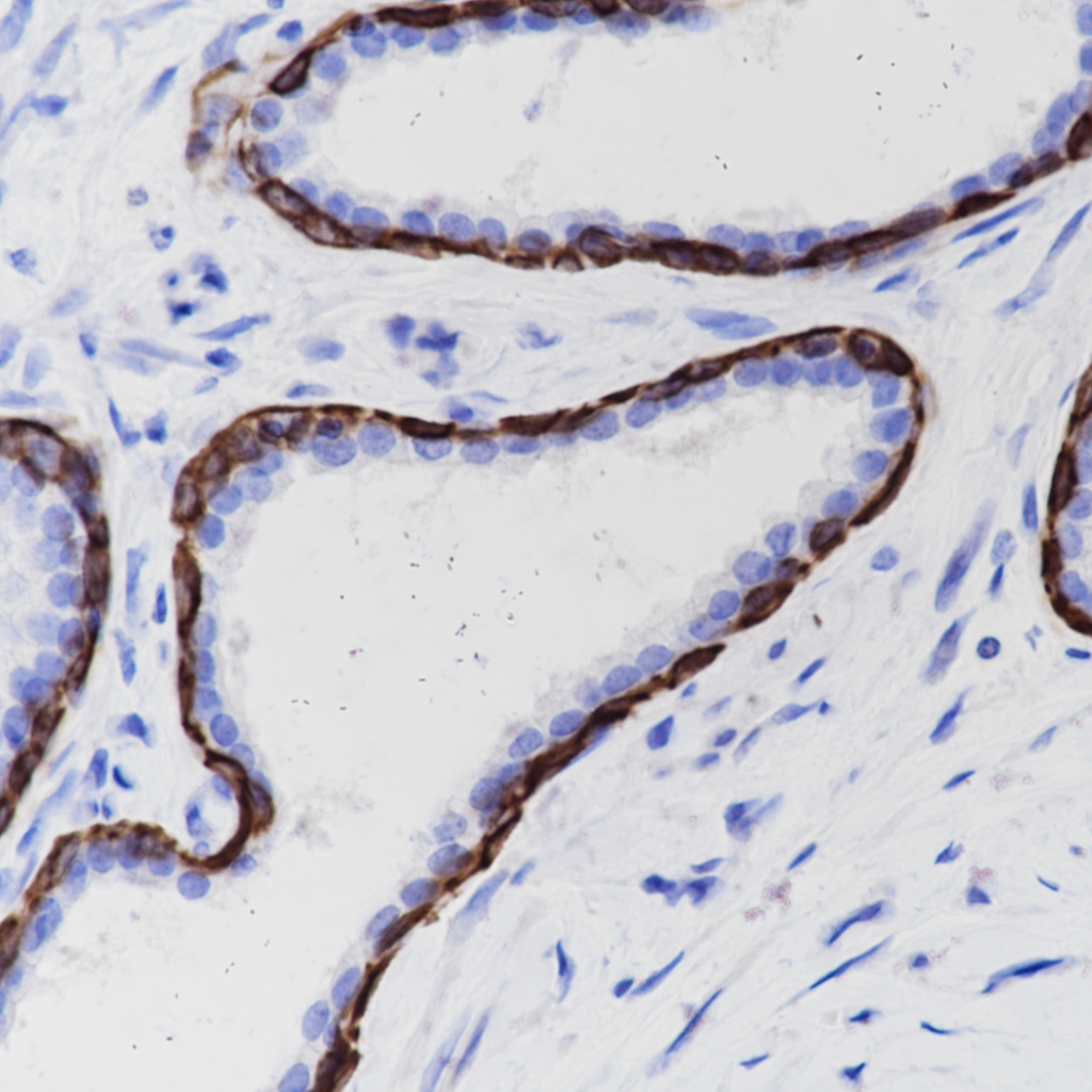
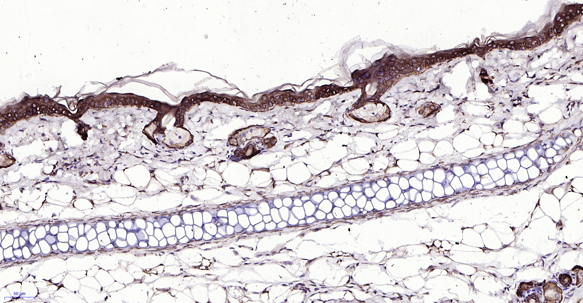
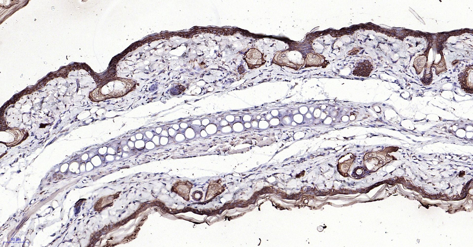
Keratin 6 Recombinant Antibody

Applications

  • WB
  • IHC-P
  • IHC-F
  • IF
  • ICC/IF

Reactivity

  • Human
  • Mouse
  • Rat
Overview
Catalog # bsm-60235r
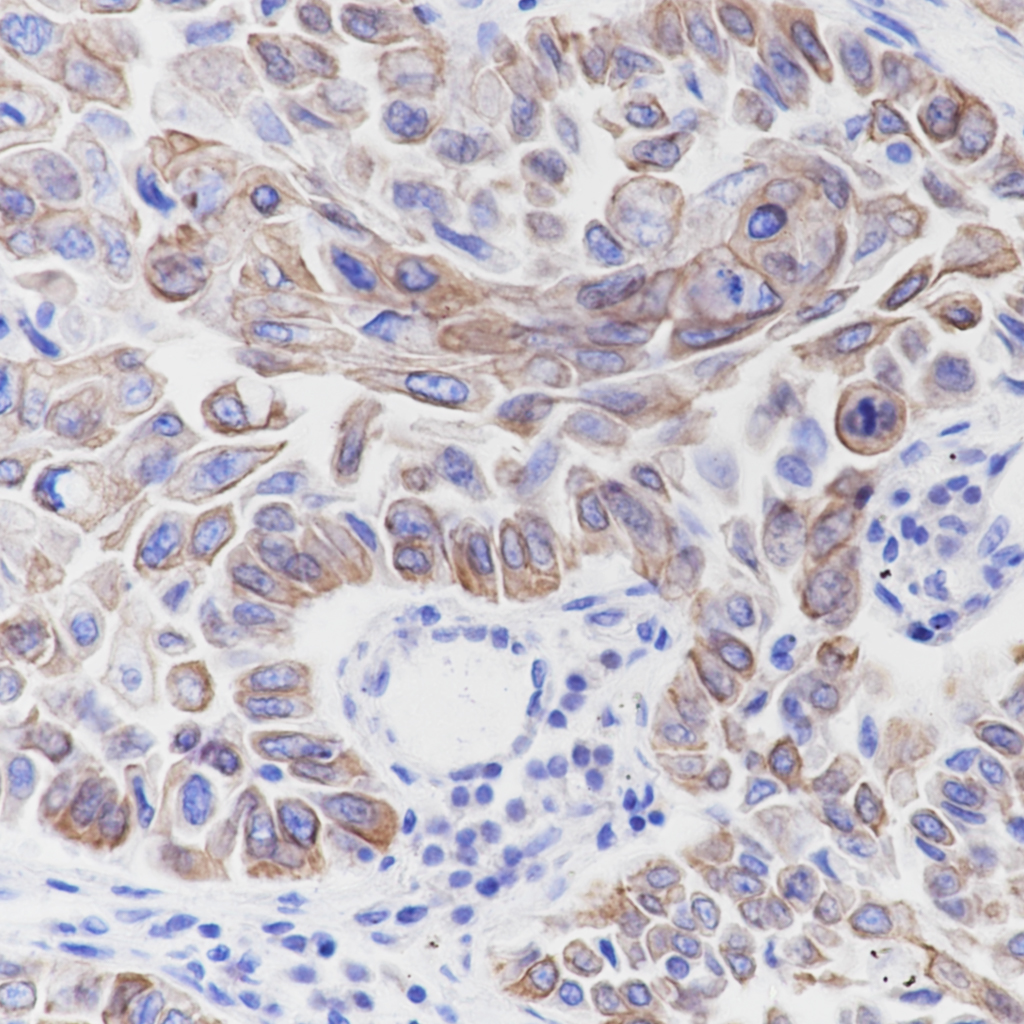
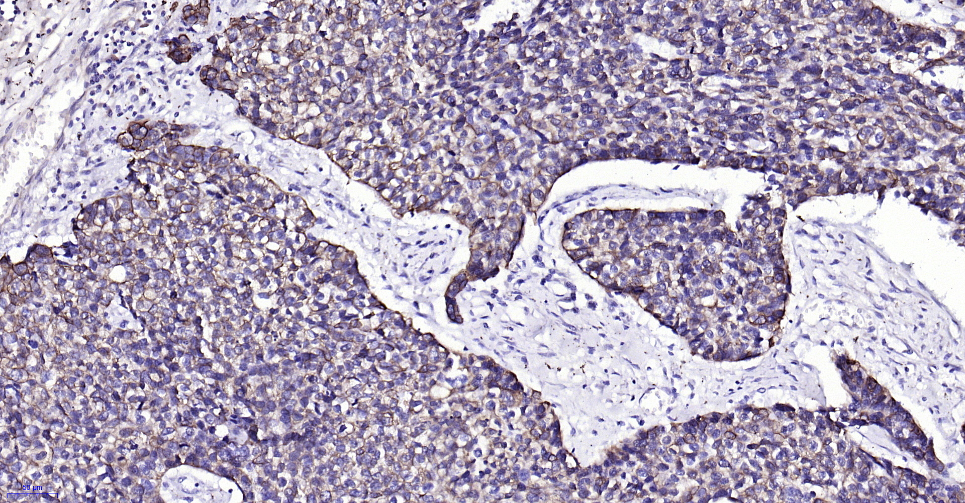
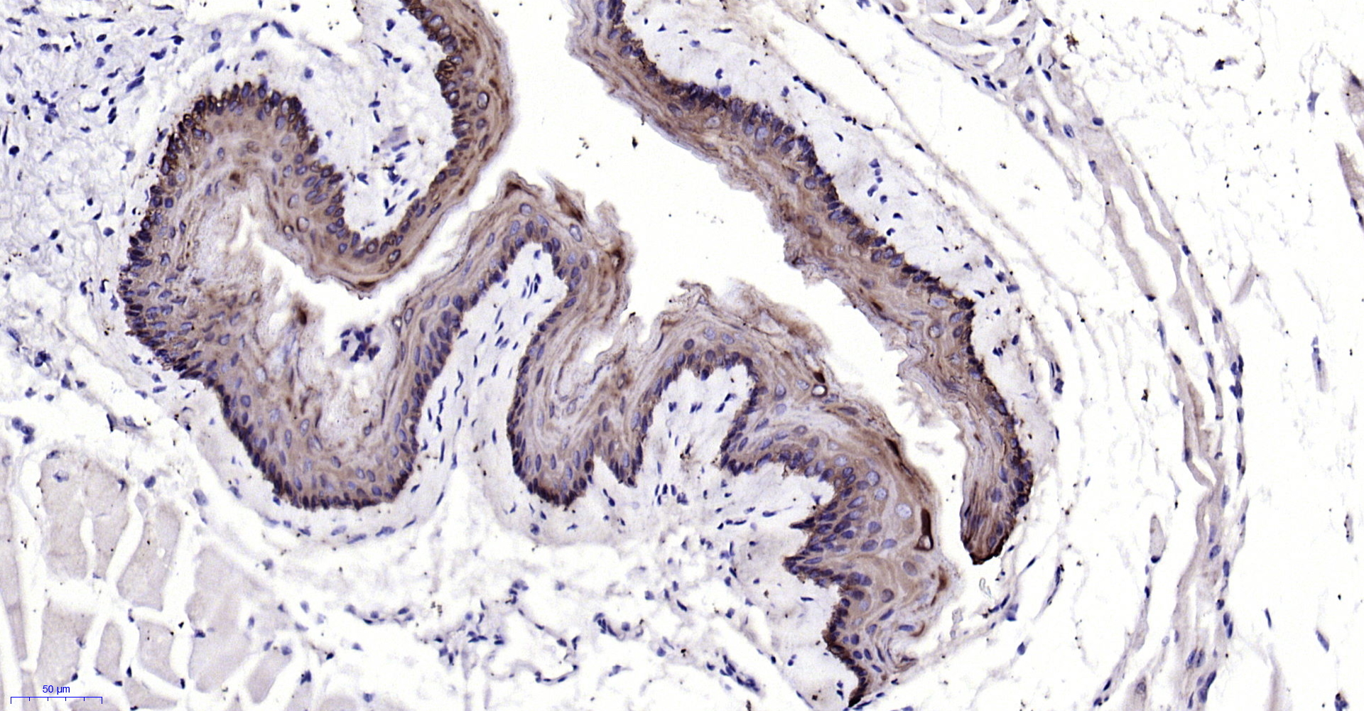
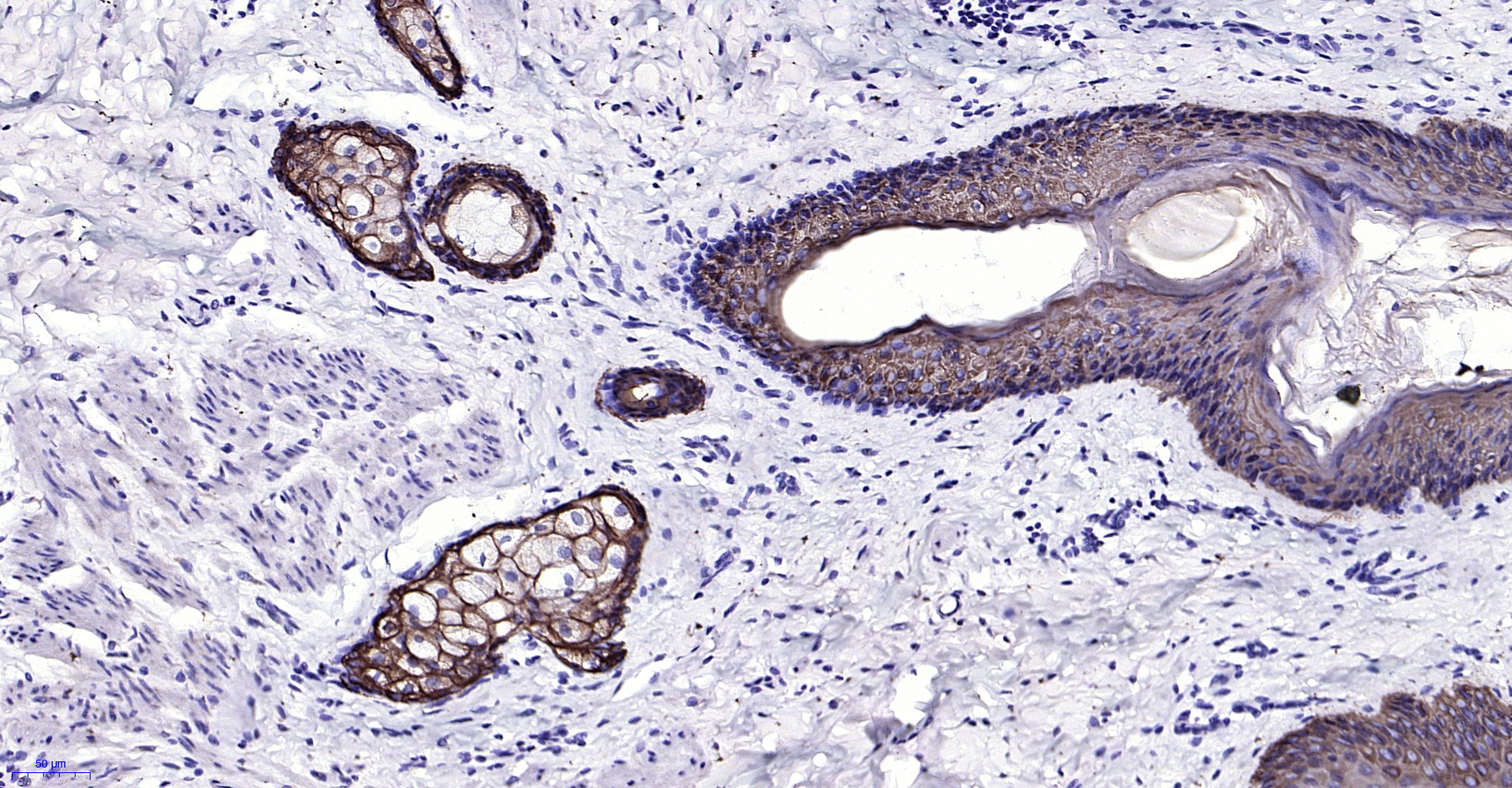
Product Name Keratin 6 Recombinant Antibody
Applications WB, IHC-P, IHC-F, IF, ICC/IF
Reactivity Human, Mouse, Rat
Specifications
Conjugation Unconjugated
Host Rabbit
Source KLH conjugated synthetic peptide derived from human Keratin 6
Clonality Monoclonal
Clone # #REF!
Isotype IgG
Concentration 1mg/ml
Purification Purified by Protein A.
Storage Buffer 0.01M TBS(pH7.4) with 1% BSA, 0.02% Proclin300 and 50% Glycerol.
Storage Condition Shipped at 4_. Store at -20_ for one year. Avoid repeated freeze/thaw cycles.
Target
Gene ID 286887
Swiss Prot P48668
Subcellular location Cytoplasm
Synonyms Keratin, type II cytoskeletal 6C; KRT6C; Cytokeratin-6C; CK-6C; Cytokeratin-6E; CK-6E; Keratin K6h; Keratin-6C; K6C; Type-II keratin Kb12; KRT6E; K2C6C_HUMAN
Background Keratins are intermediate filament proteins responsible for the structural integrity of epithelial cells and are subdivided into epithelial keratins and hair keratins. The type II keratins are clustered in a region of chromosome 12q13. [provided by RefSeq, Jul 2009]
Application Dilution
WB =1:500-2000
IHC-P IHC-P=1:100-500
IHC-F IHC-F=1:400-800
IF IF=1:50
ICC/IF ICC/IF=1:20-100