RECEIVE 25% OFF PUBLISHED ANTIBODIES WITH CODE "PUB25"! Offer valid for US customers and available internationally through distributors.

HLA-DPB1 Recombinant Antibody

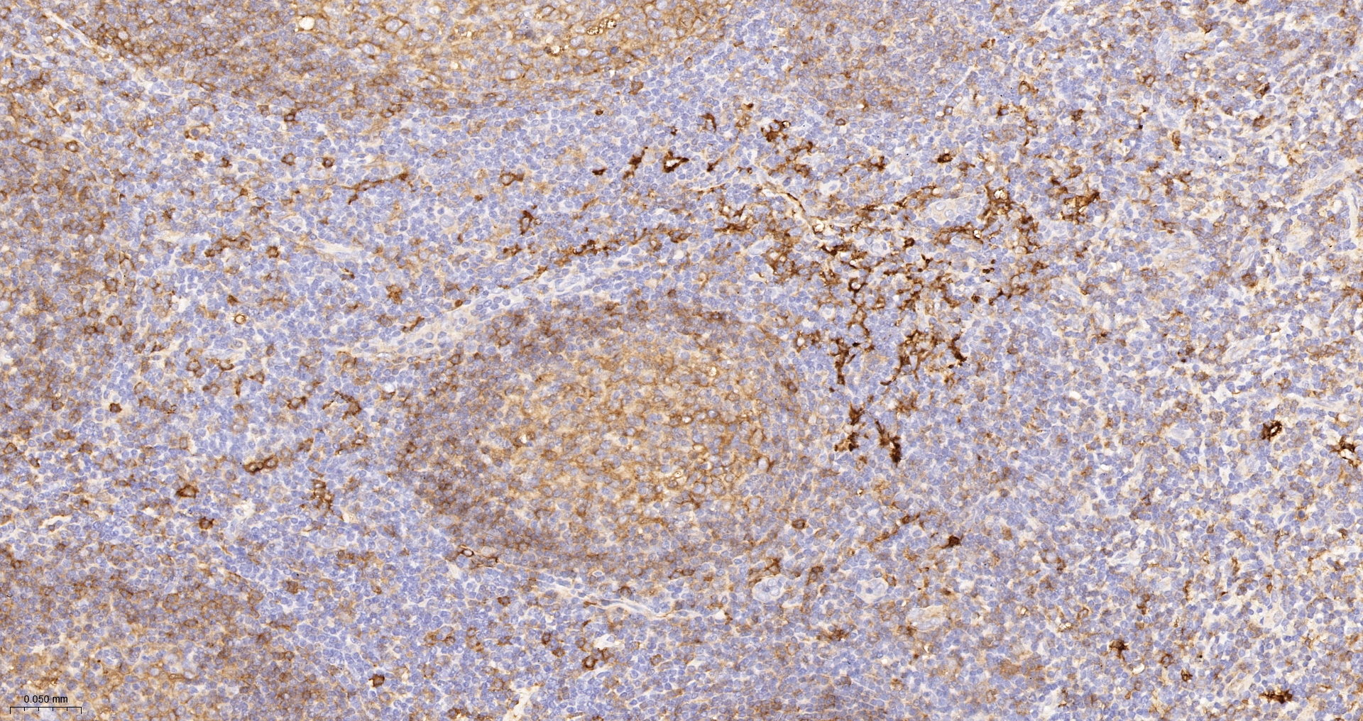
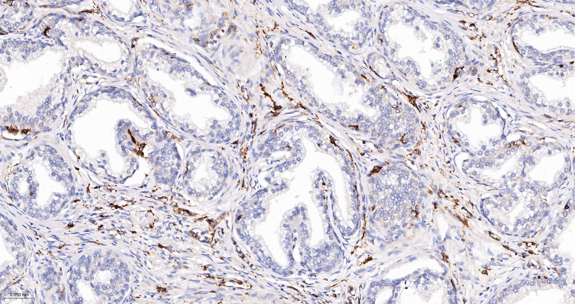
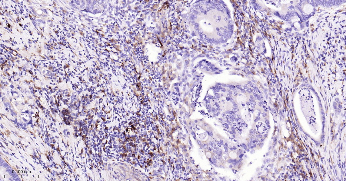
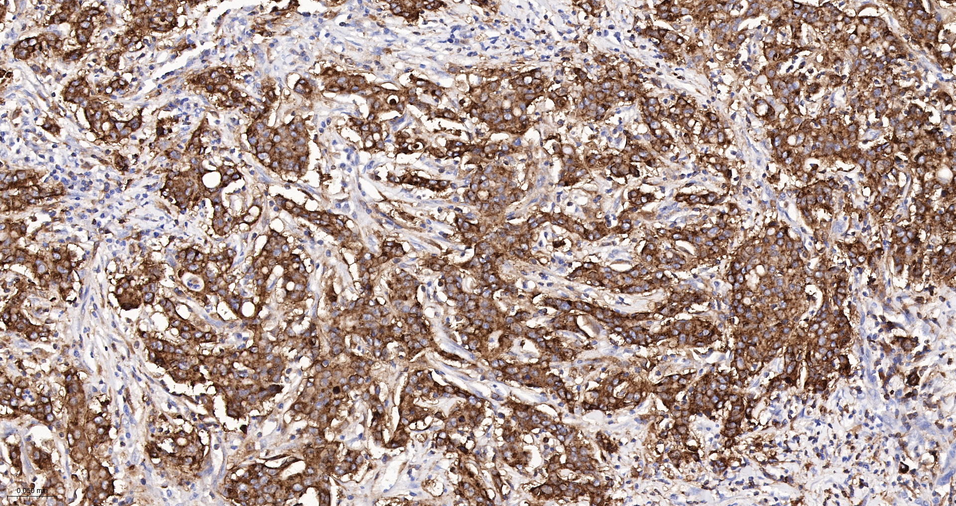
Applications

  • WB
  • IHC-P
  • IHC-F
  • IF(IHC-P)
  • IF(ICC)

Reactivity

  • Human
Overview
Catalog # bsm-60291r-100ul
Product Name HLA-DPB1 Recombinant Antibody
Applications WB, IHC-P, IHC-F, IF(IHC-P), IF(ICC)
Reactivity Human
Specifications
Conjugation Unconjugated
Host Rabbit
Source A synthesized peptide derived from human HLA DPB1
Clonality Recombinant
Isotype IgG
Concentration 1mg/ml
Purification Purified by Protein A.
Storage Buffer 0.01M TBS(pH7.4) with 1% BSA, 0.02% Proclin300 and 50% Glycerol.
Storage Condition Shipped at 4C. Store at -20C for one year. Avoid repeated freeze/thaw cycles.
Target
Gene ID 3115
Swiss Prot P04440
Subcellular location Cytoplasm, Cell membrane
Synonyms HLA-DP beta1; MHC-2; MHC2; MHC 2; DMA; DMB; DP beta 1; DPB 1; DPB1; DRB; HLA class II histocompatibility antigen DM beta chain; HLA DMB; HLA DPB1; HLADM; HLADP1B; Major histocompatibility complex class II; Major histocompatibility complex class II DP beta 1; MHC class II antigen DMB; MHC Class II; MHC DPB1; RING6; RING7; DPB1_HUMAN; HLA class II histocompatibility antigen, DP beta 1 chain.
Application Dilution
WB 1:2000-20000
IHC-P IHC-P1:200-1000
IHC-F IHC-F1:200-1000
IF(IHC-P) IFIHC-P1:200-1000
IF(ICC) IFICC1:100-500