RECEIVE 25% OFF PUBLISHED ANTIBODIES WITH CODE "PUB25"! Offer valid for US customers and available internationally through distributors.

STMN1 Recombinant Antibody

Applications

  • WB
  • FCM
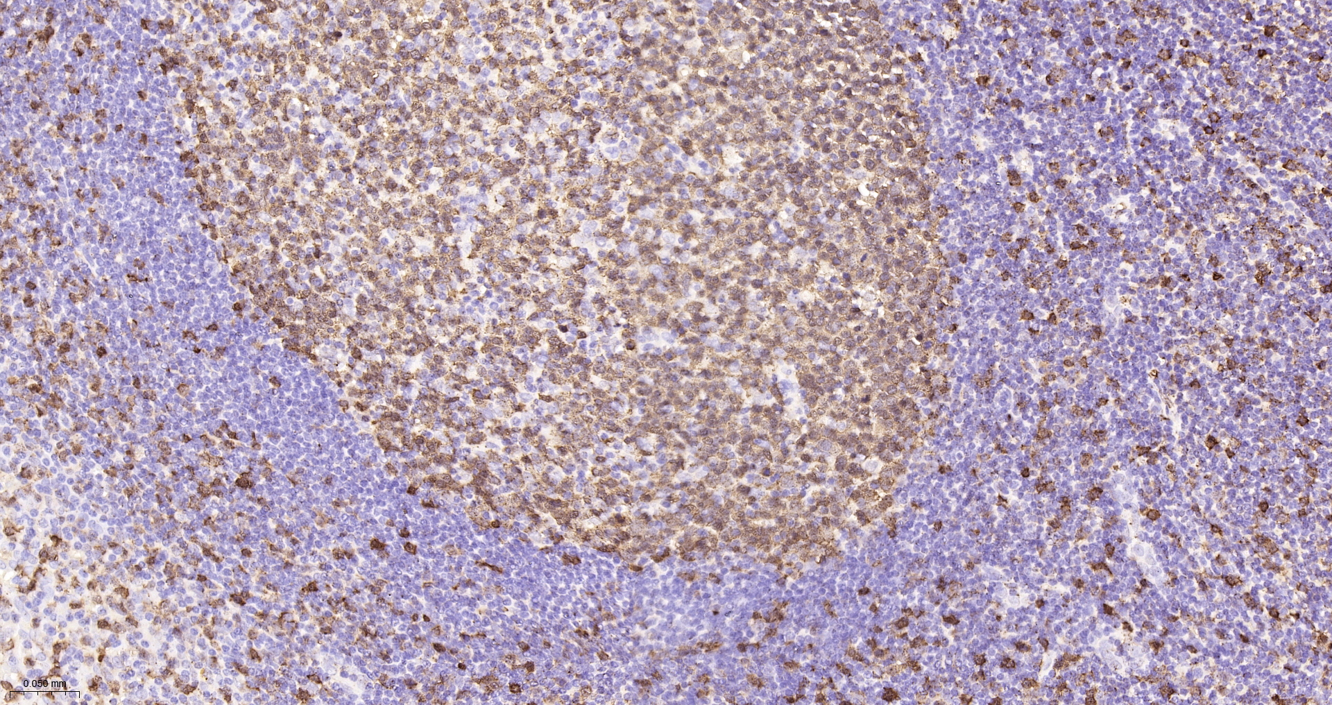
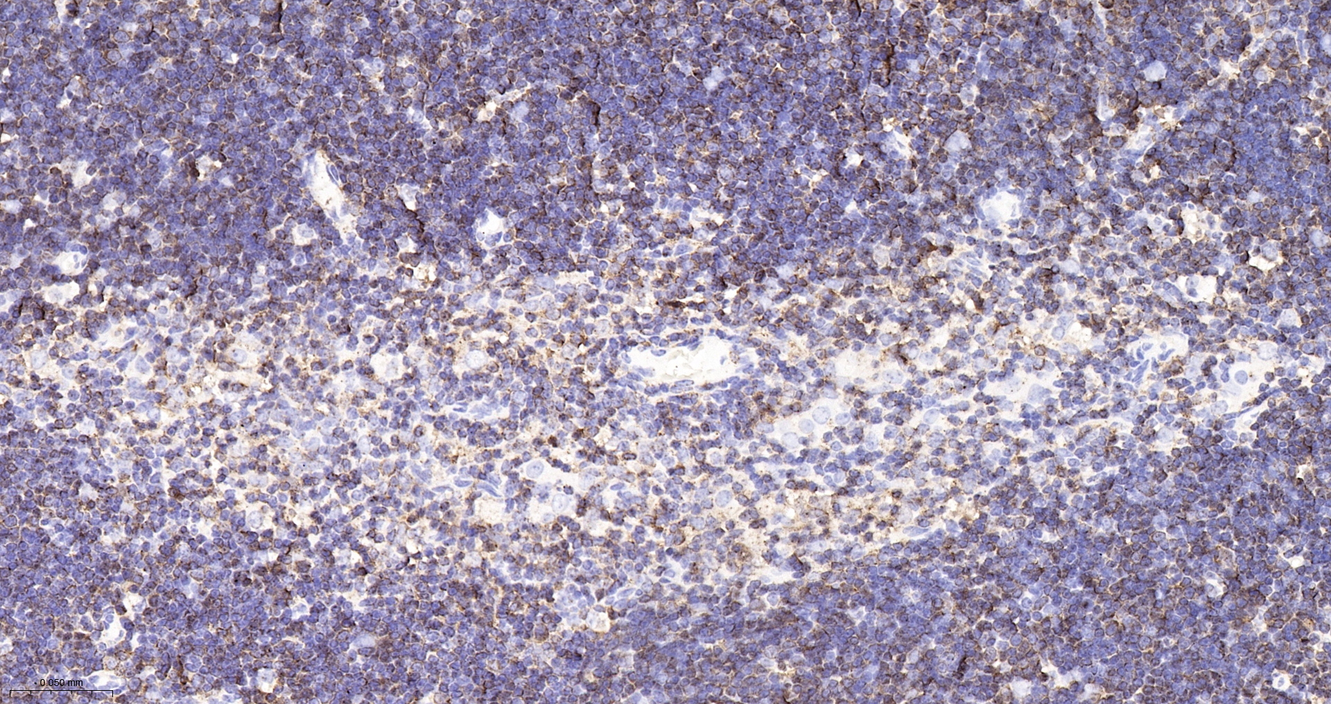
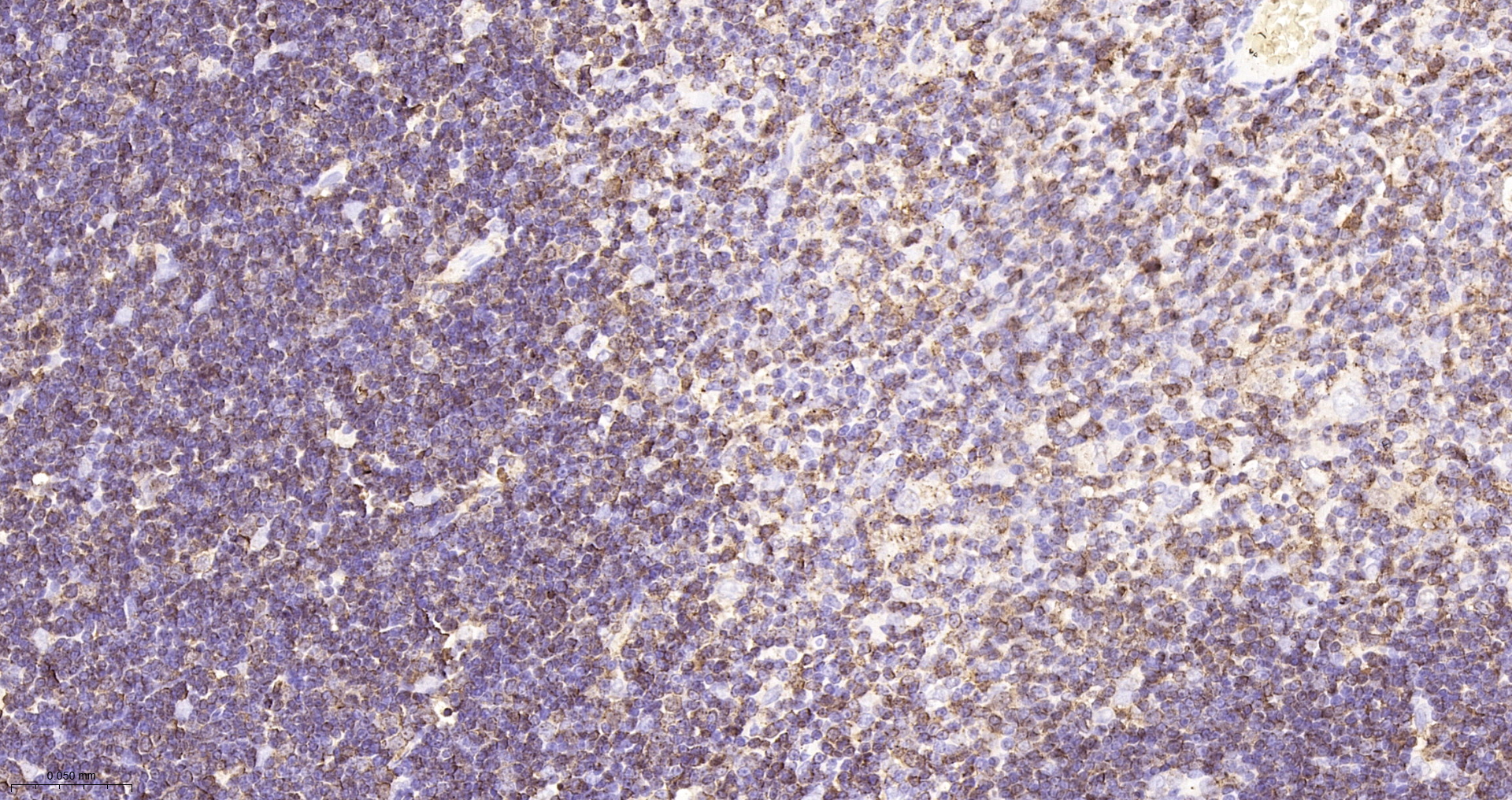
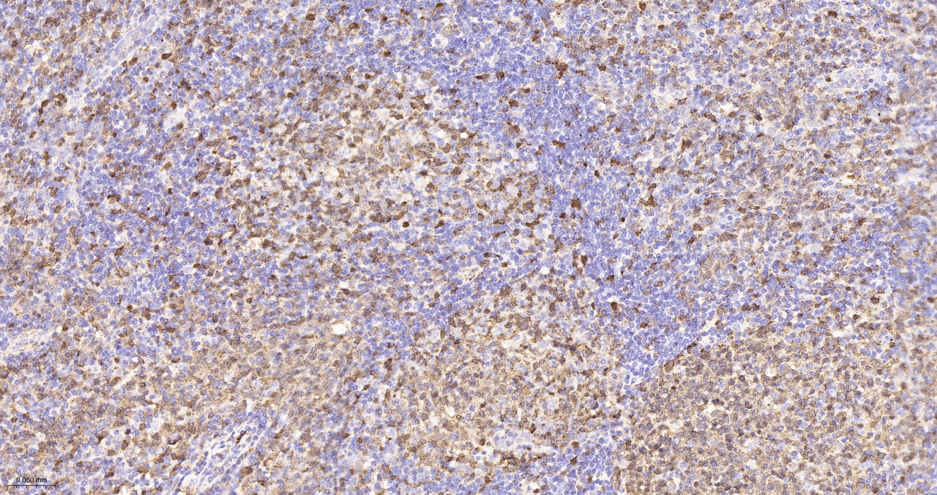
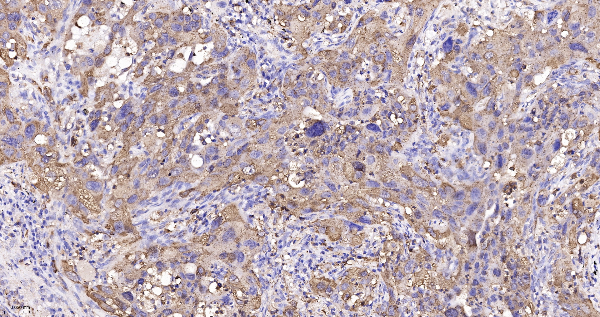
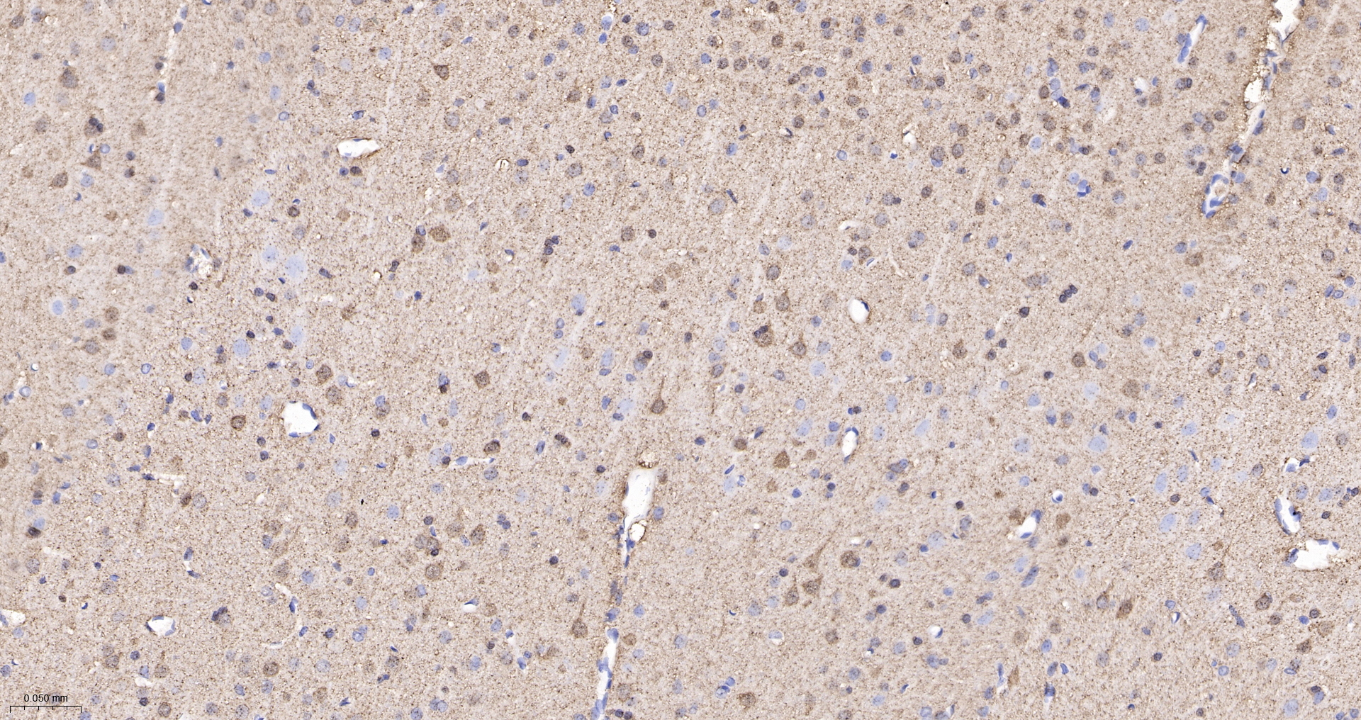
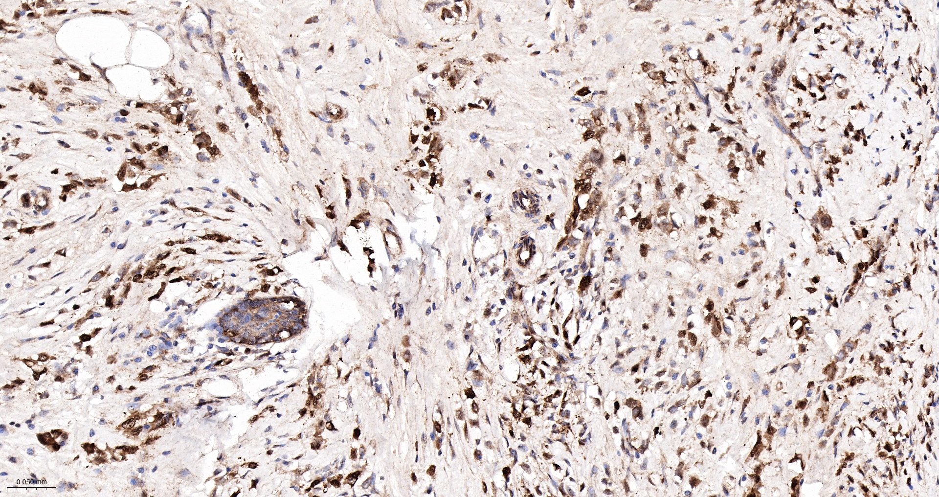
  • IHC-P
  • IHC-F
  • IF(IHC-P)
  • IF(ICC)

Reactivity

  • Human
  • Mouse
  • Rat
Overview
Catalog # bsm-60306r-100ul
Product Name STMN1 Recombinant Antibody
Applications WB, FCM, IHC-P, IHC-F, IF(IHC-P), IF(ICC)
Reactivity Human, Mouse, Rat
Specifications
Conjugation Unconjugated
Host Rabbit
Source KLH conjugated synthetic peptide derived from human STMN1
Clonality Recombinant
Isotype IgG
Concentration Lot dependent
Purification Purified by Protein A.
Storage Buffer 0.01M TBS (pH 7.4), 1% BSA, 0.02% Proclin 300, and 50% Glycerol
Storage Condition Shipped at 4C. Store at -20C for one year. Avoid repeated freeze/thaw cycles.
Target
Gene ID 3925
Swiss Prot P16949
Subcellular location Cytoplasm
Synonyms LAP18; C1orf215; Lag; LAP 18; LAP18; LAP-18; Leukemia associated phosphoprotein p18; Metablastin; Oncoprotein 18; OP 18; OP18; p18; p19; Phosphoprotein 19; Phosphoprotein p19; PP17; PP19; PR22; Pr22 protein; Prosolin; Protein Pr22; SMN; Stathmin; Stathmin1; Stathmin 1; Stathmin-1; STMN 1; STMN1_HUMAN.
Background This gene belongs to the stathmin family of genes. It encodes a ubiquitous cytosolic phosphoprotein proposed to function as an intracellular relay integrating regulatory signals of the cellular environment. The encoded protein is involved in the regulation of the microtubule filament system by destabilizing microtubules. It prevents assembly and promotes disassembly of microtubules. Multiple transcript variants encoding different isoforms have been found for this gene. [provided by RefSeq, Feb 2009]
Application Dilution
WB 1:1000-2000
FCM FCM1:50-100
IHC-P IHC-P1:100-500
IHC-F IHC-F1:100-500
IF(IHC-P) IFIHC-P1:100-500
IF(ICC) IFICC1:50-200