Receive 30% off all Monoclonal IHC antibodies with code "MONO-IHC-30"! Offer valid for US customers and available internationally through distributors.

HSPB6 Monoclonal Antibody

Applications

  • WB
  • IHC-P
  • IHC-F
  • IF

Reactivity

  • Human
  • Mouse
  • Rat
Overview
Catalog # bsm-60365m
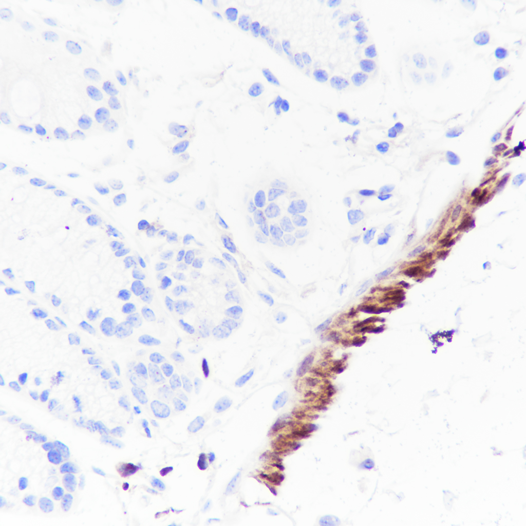
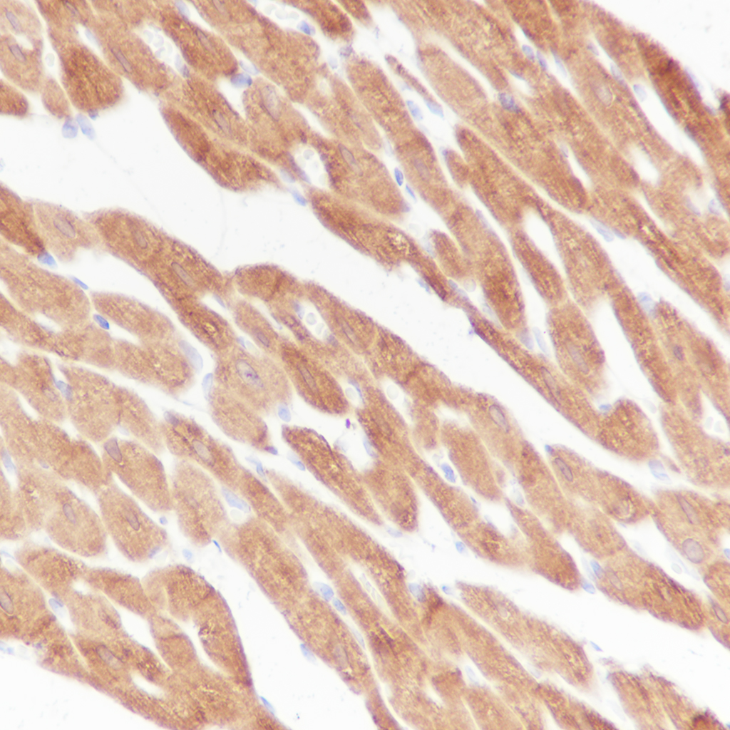
Product Name HSPB6 Monoclonal Antibody
Applications WB, IHC-P, IHC-F, IF
Reactivity Human, Mouse, Rat
Specifications
Conjugation Unconjugated
Host Mouse
Clonality Monoclonal
Clone # #REF!
Isotype IgG1/Kappa
Concentration 1mg/ml
Purification Protein G.
Storage Buffer 0.01M TBS(pH7.4) with 1% BSA, 0.02% Proclin300 and 50% Glycerol.
Storage Condition Store at -20C for one year. Avoid repeated freeze/thaw cycles.
Target
Swiss Prot O14558
Application Dilution
WB =1:500-1:1000
IHC-P IHC-P=1:100-500
IHC-F IF=0
IF