RECEIVE 25% OFF PUBLISHED ANTIBODIES WITH CODE "PUB25"! Offer valid for US customers and available internationally through distributors.

S100P Recombinant Antibody

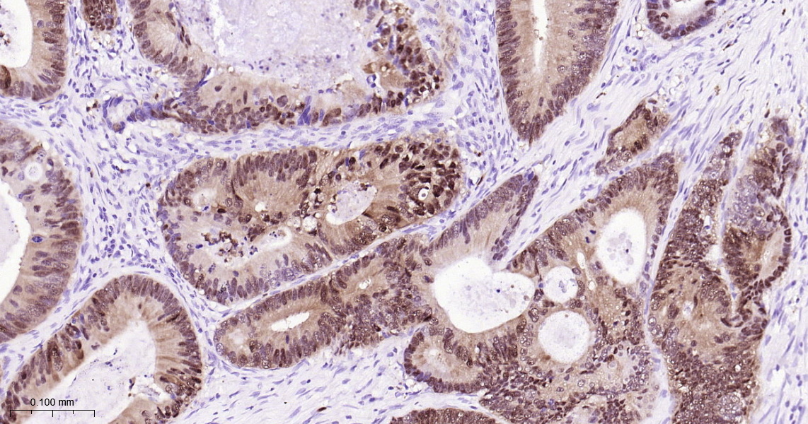
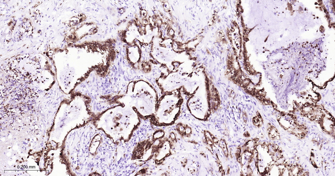
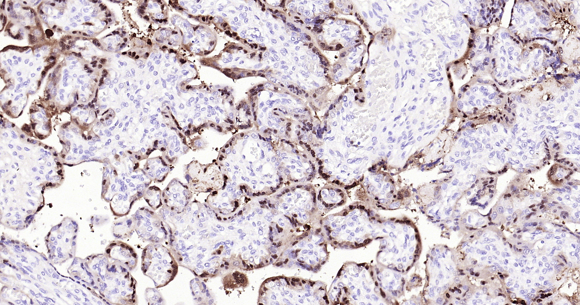
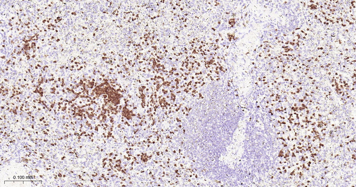
Applications

  • FCM
  • IHC-P
  • IHC-F
  • IF(IHC-P)

Reactivity

  • Human
Overview
Catalog # bsm-60370r-TR
Product Name S100P Recombinant Antibody
Applications FCM, IHC-P, IHC-F, IF(IHC-P)
Reactivity Human
Specifications
Conjugation Unconjugated
Host Rabbit
Source KLH conjugated synthetic peptide derived from human S100P
Clonality Recombinant
Isotype IgG
Concentration Lot dependent
Purification Purified by Protein A.
Storage Buffer 0.01M TBS (pH 7.4), 1% BSA, 0.02% Proclin 300, and 50% Glycerol
Storage Condition Shipped at 4C. Store at -20C for one year. Avoid repeated freeze/thaw cycles.
Target
Gene ID 6286
Swiss Prot P25815
Subcellular location Nucleus, Cell membrane
Synonyms MIG9; Migration inducing gene 9; Protein S100-E; Protein S100-P; Protein S100P; S100 calcium binding protein P; S100 calcium-binding protein P; S100 P; S100E; S100P; S100P_HUMAN.
Background The protein encoded by this gene is a member of the S100 family of proteins containing 2 EF-hand calcium-binding motifs. S100 proteins are localized in the cytoplasm and/or nucleus of a wide range of cells, and involved in the regulation of a number of cellular processes such as cell cycle progression and differentiation. S100 genes include at least 13 members which are located as a cluster on chromosome 1q21; however, this gene is located at 4p16. This protein, in addition to binding Ca2+, also binds Zn2+ and Mg2+. This protein may play a role in the etiology of prostate cancer. [provided by RefSeq]
Application Dilution
FCM 1:50-100
IHC-P IHC-P1:100-500
IHC-F IHC-F1:100-500
IF(IHC-P) IFIHC-P1:100-500