RECEIVE 25% OFF PUBLISHED ANTIBODIES WITH CODE "PUB25"! Offer valid for US customers and available internationally through distributors.

CD23 Recombinant Antibody

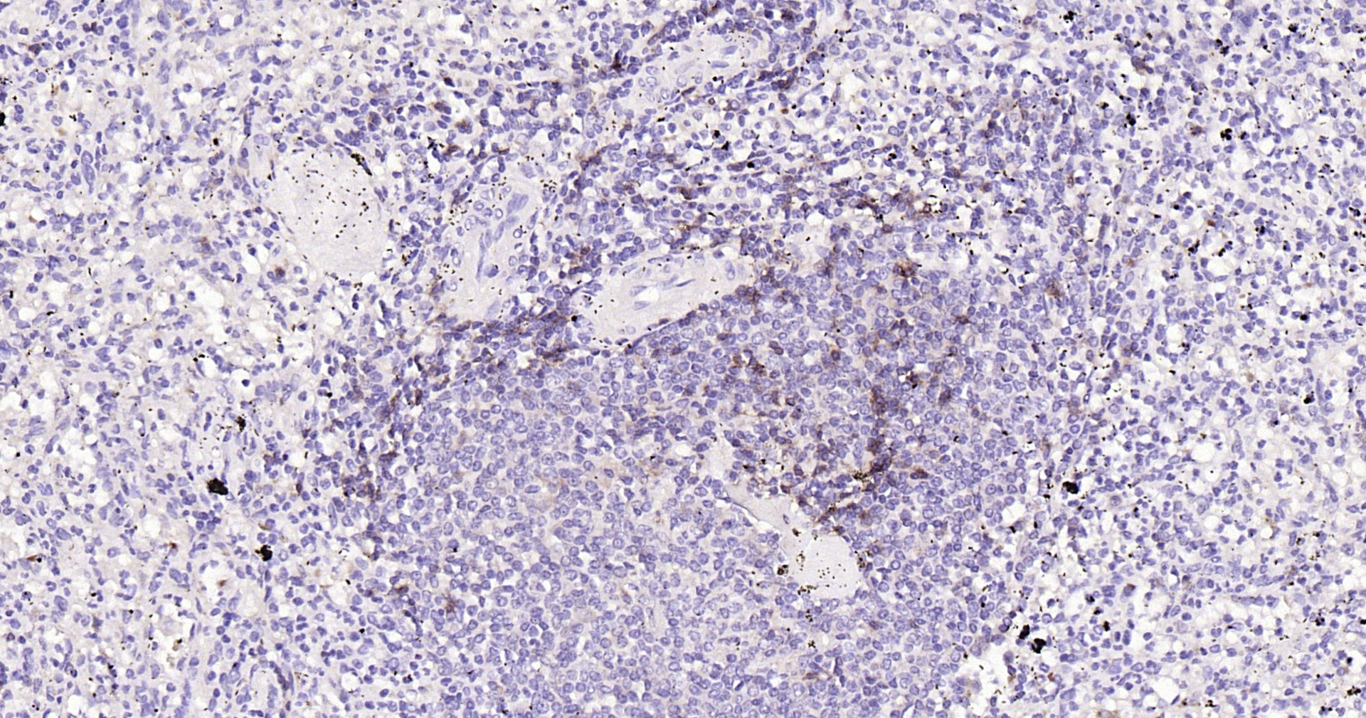
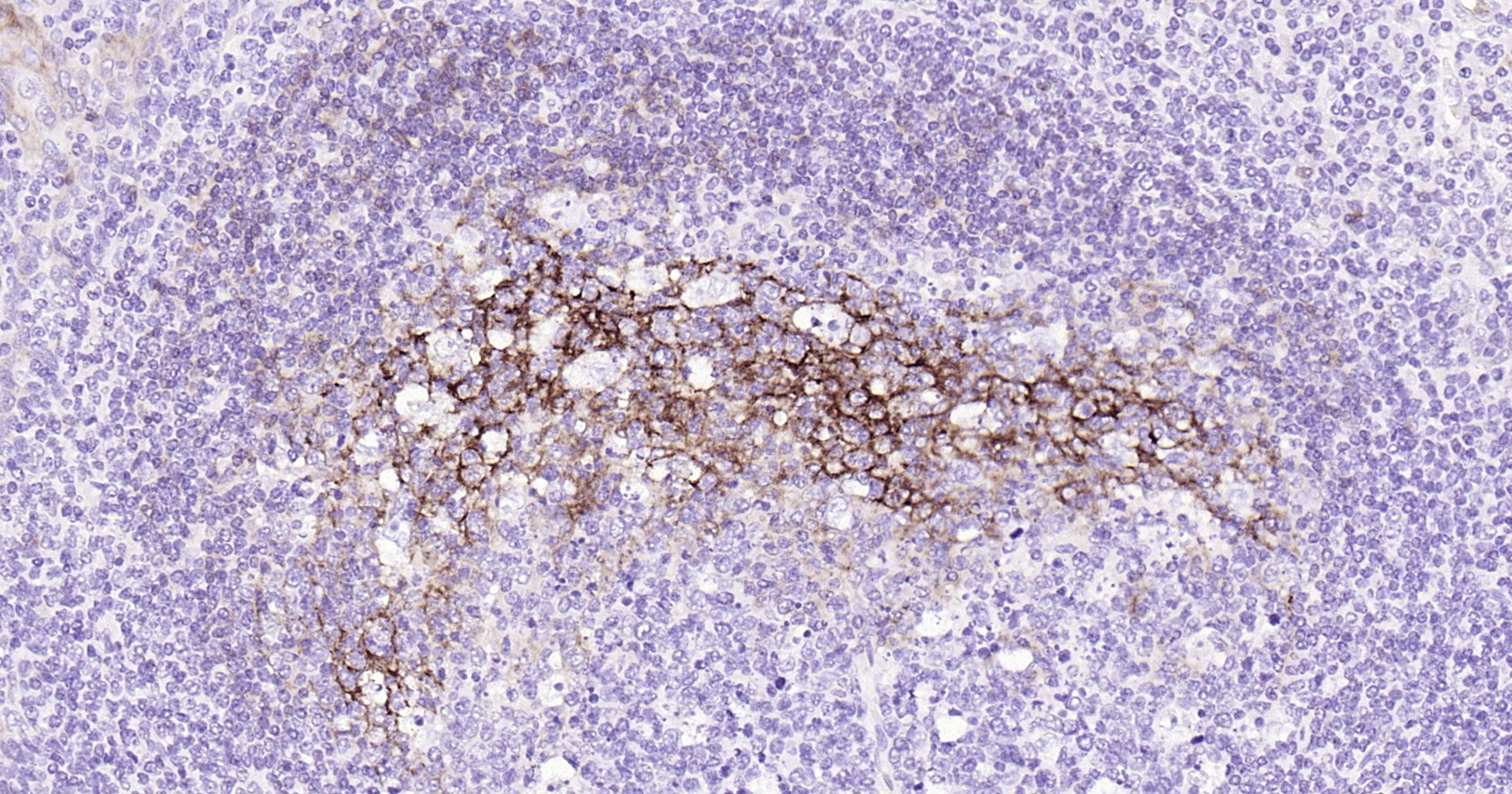
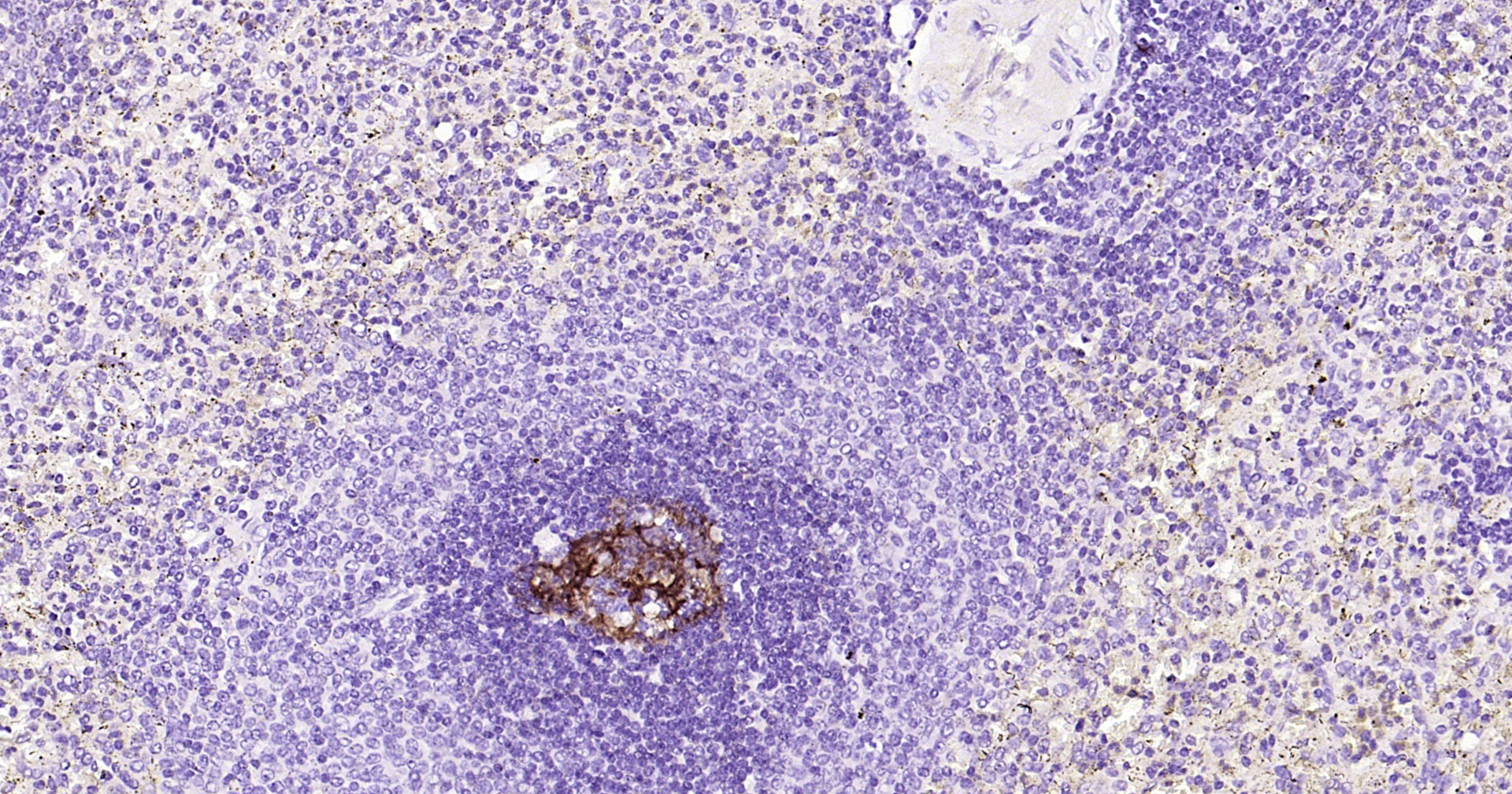
Applications

  • IHC-P
  • IHC-F
  • IF(IHC-P)

Reactivity

  • Human
Overview
Catalog # bsm-60453r-100ul
Product Name CD23 Recombinant Antibody
Applications IHC-P, IHC-F, IF(IHC-P)
Reactivity Human
Specifications
Conjugation Unconjugated
Host Rabbit
Source KLH conjugated synthetic peptide derived from human CD23
Clonality Recombinant
Isotype IgG
Concentration 1mg/ml
Purification Purified by Protein A.
Storage Buffer 0.01M TBS (pH 7.4), 1% BSA, 0.02% Proclin 300, and 50% Glycerol
Storage Condition Shipped at 4C. Store at -20C for one year. Avoid repeated freeze/thaw cycles.
Target
Gene ID 2208
Swiss Prot P06734
Subcellular location Secreted, Cell membrane
Synonyms Fc EpsilonR II; Fc_RII; Blast 2; Blast2; C type lectin domain family 4 member J; C-type lectin domain family 4, member J; CD 23; CD 23A; CD23 antigen; CD23A; CLEC 4J; CLEC4J; Fc epsilon RII; Fc fragment of IgE low affinity II receptor for; Fc fragment of IgE, low affinity II, receptor for (CD23); Fc of IgE, low affinity II, receptor for (CD23); Fc receptor IgE low affinity II alpha polypeptide; Fc receptor, IgE, low affinity II, alpha polypeptide, isoform CRA_a; FCE 2; FCE2; FCER 2; FCER2; FCER2A; IgE binding factor; IgE receptor lymphocyte; IgE-binding factor; IGEBF; Immunoglobulin E binding factor; Immunoglobulin E receptor, low affinity II; Low affinity immunoglobulin epsilon Fc receptor; Low affinity immunoglobulin epsilon Fc receptor membrane bound form; Low affinity immunoglobulin epsilon Fc receptor soluble form; Ly-42; Ly42; Lymphocyte antigen CD23; Lymphocyte IgE receptor; MGC93219.
Background The protein encoded by this gene is a B-cell specific antigen, and a low-affinity receptor for IgE. It has essential roles in B cell growth and differentiation, and the regulation of IgE production. This protein also exists as a soluble secreted form, then functioning as a potent mitogenic growth factor. Alternatively spliced transcript variants encoding different isoforms have been described for this gene.[provided by RefSeq, Jul 2011]
Application Dilution
IHC-P 1:100-500
IHC-F IHC-F1:100-500
IF(IHC-P) IFIHC-P1:100-500