RECEIVE 25% OFF PUBLISHED ANTIBODIES WITH CODE "PUB25"! Offer valid for US customers and available internationally through distributors.

ACADM Recombinant Antibody

Applications

  • WB
  • FCM
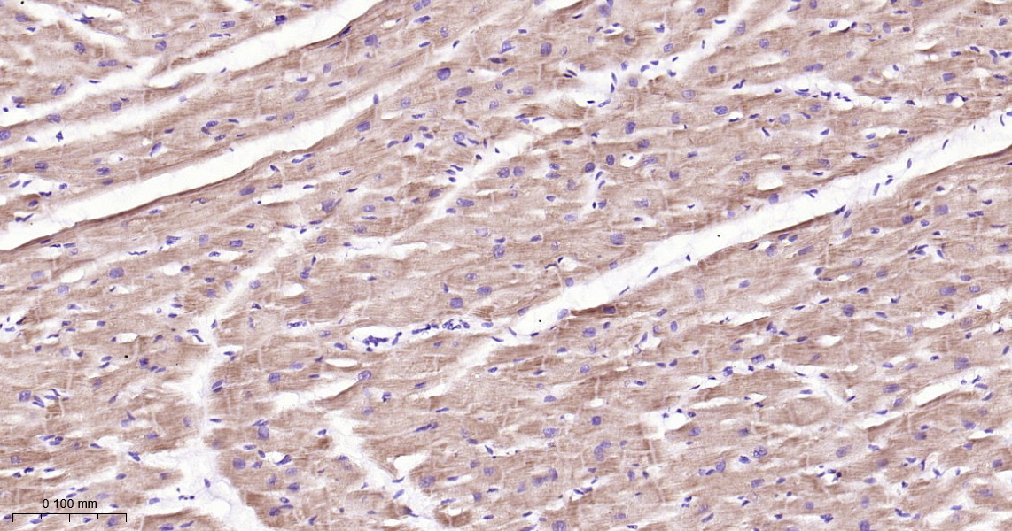
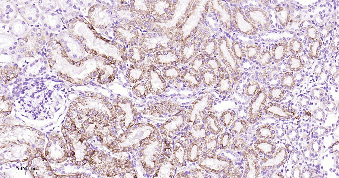
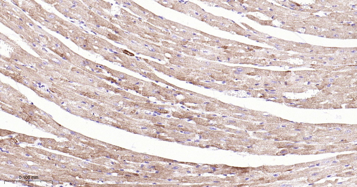
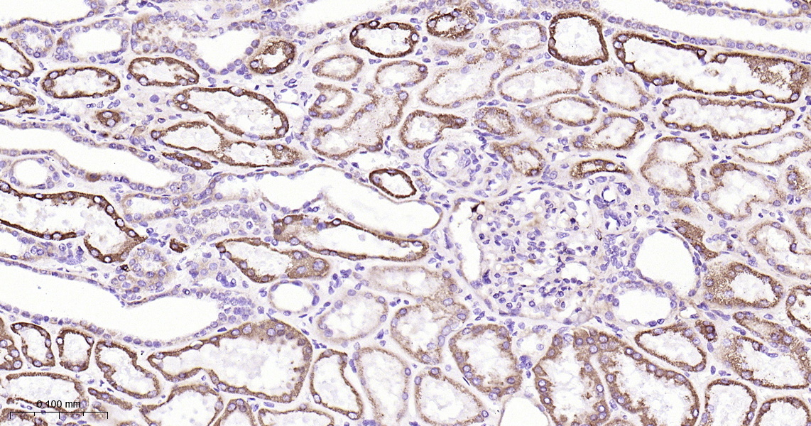
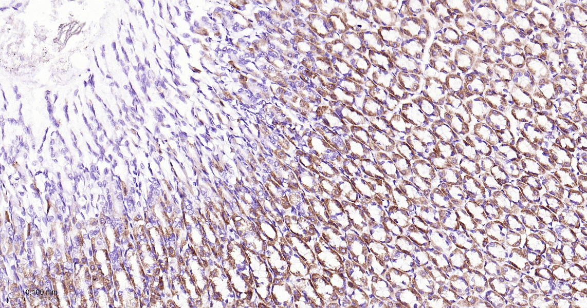
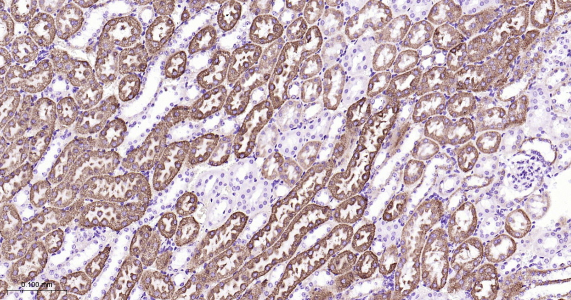
  • IHC-P
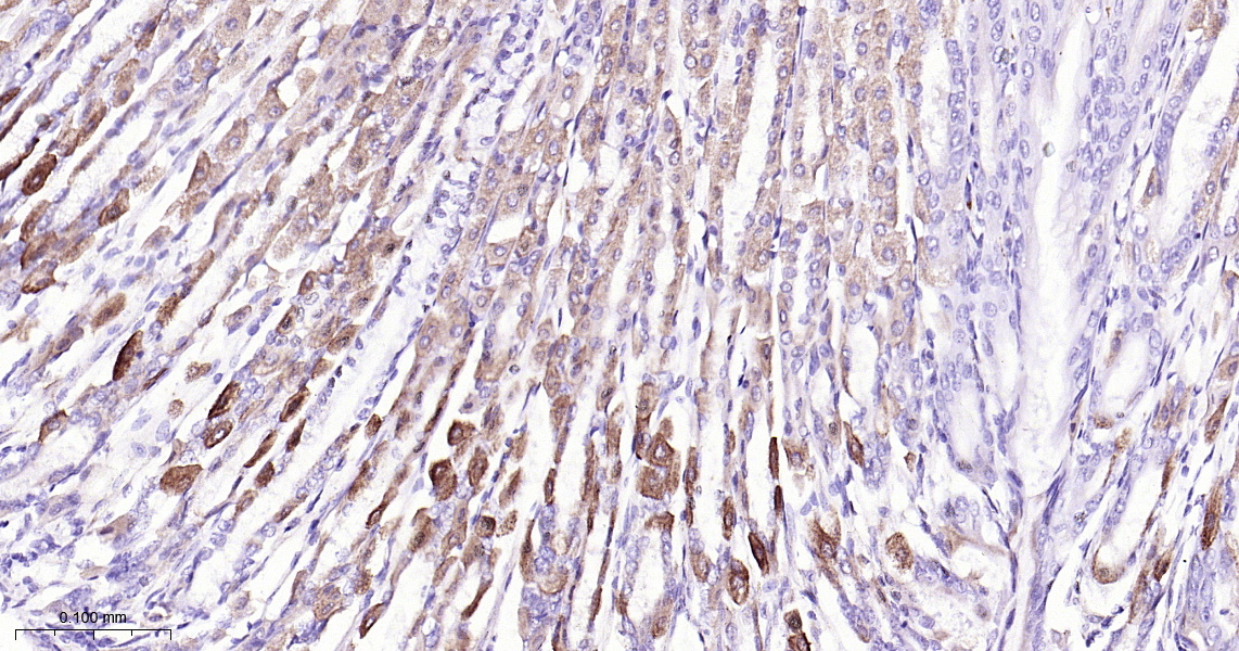
  • IHC-F
  • IF(IHC-P)
  • IF(ICC)

Reactivity

  • Human
  • Mouse
  • Rat
Overview
Catalog # bsm-60484r-100ul
Product Name ACADM Recombinant Antibody
Applications WB, FCM, IHC-P, IHC-F, IF(IHC-P), IF(ICC)
Reactivity Human, Mouse, Rat
Specifications
Conjugation Unconjugated
Host Rabbit
Source A synthesized peptide derived from human ACADM
Clonality Recombinant
Isotype IgG/Kappa
Concentration Lot dependent
Purification Purified by Protein A.
Storage Buffer 0.01M TBS(pH7.4) with 1% BSA, 0.02% Proclin300 and 50% Glycerol.
Storage Condition Shipped at 4C. Store at -20C for one year. Avoid repeated freeze/thaw cycles.
Target
Subcellular location Cell membrane
Synonyms mitochondrial antibody; ACAD 1; ACAD1; Acyl coenzyme A dehydrogenase; Acyl coenzyme A dehydrogenase C 4 to C 12 straight chain; MCAD; MCADH; Medium chain acyl CoA dehydrogenase; Medium chain fatty acyl CoA dehydrogenase; Medium chain specific acyl CoA dehydrogenase; Medium chain specific acyl CoA dehydrogenase mitochondrial; FLJ18227; FLJ93013; FLJ99884; ACADM_HUMAN.
Application Dilution
WB 1:500-2000
FCM FCM1:50-100
IHC-P IHC-P1:50-200
IHC-F IHC-F1:50-200
IF(IHC-P) IFIHC-P1:50-200
IF(ICC) IFICC1:50-200