| Overview |
| bsm-60524r |
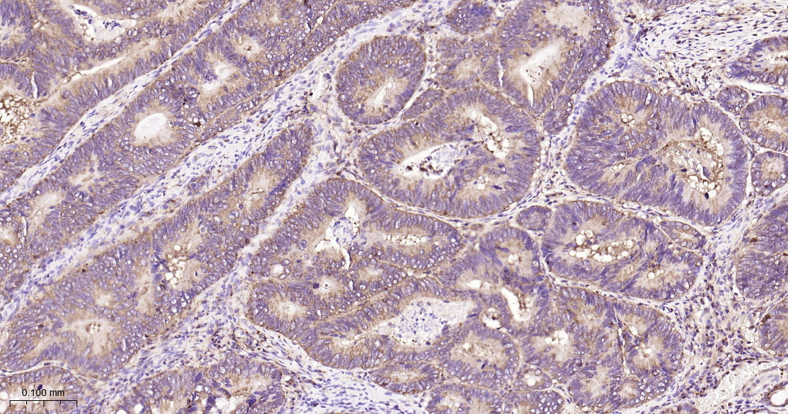
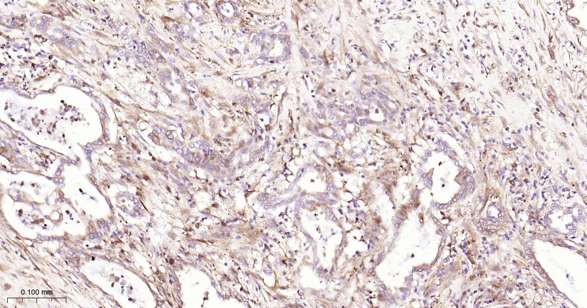
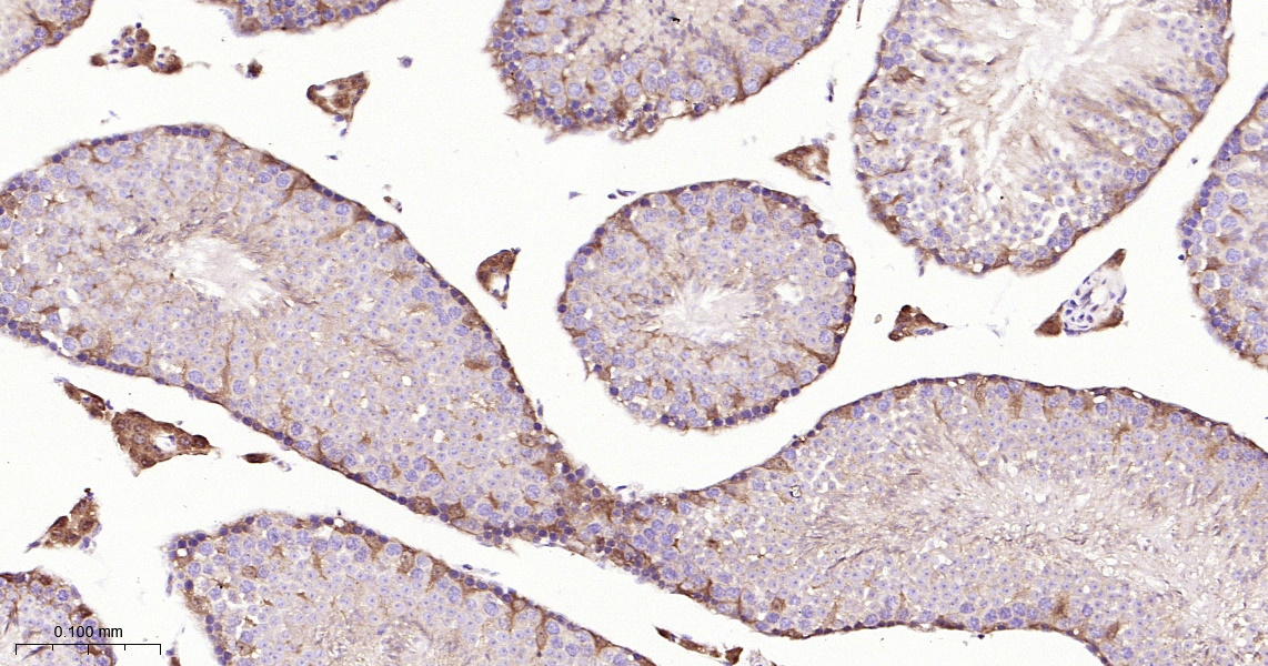
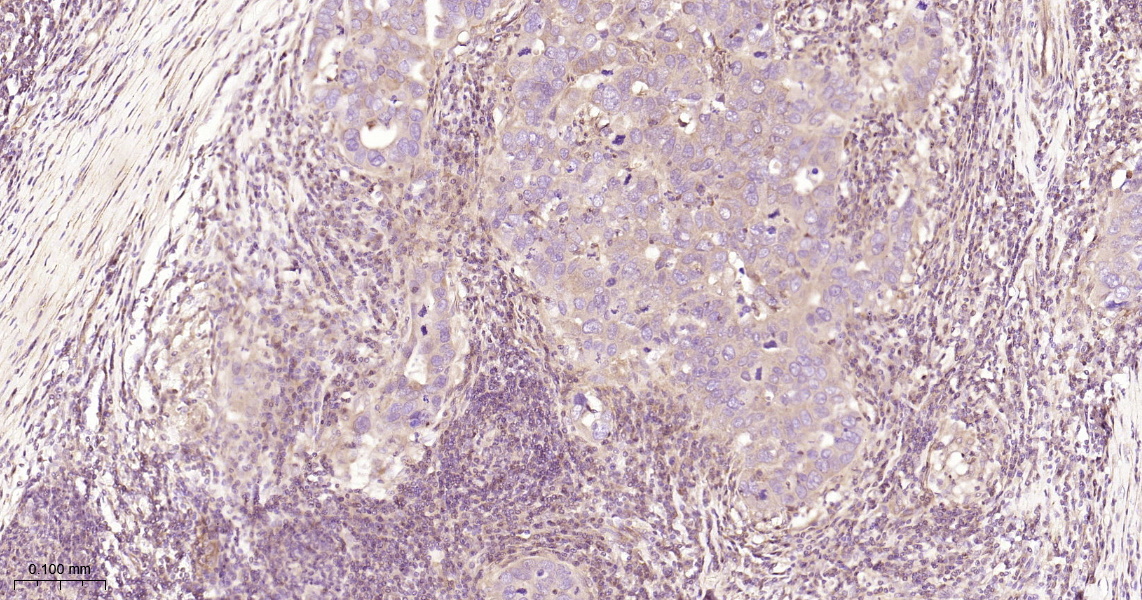
| PGAM1 Recombinant Antibody |
| WB, IHC-P, IHC-F, IF, Flow-Cyt |
| Human, Mouse, Rat |
| Specifications |
| Unconjugated |
| Rabbit |
| A synthesized peptide derived from human PGAMA1 |
| Recombinant |
| IgG/Kappa |
| Lot dependent |
| Purified by Protein A. |
| 0.01M TBS(pH7.4) with 1% BSA, 0.02% Proclin300 and 50% Glycerol. |
| Shipped at 4C. Store at -20C for one year. Avoid repeated freeze/thaw cycles. |
| Target |
| Cytoplasm, Extracellular matrix |
| Application Dilution |
| WB |
1:300-5000 |
| IHC-P |
1:200-400 |
| IHC-F |
1:100-500 |
| IF |
|
| Flow-Cyt |
1ug/Test |