Receive 30% off all Monoclonal IHC antibodies with code "MONO-IHC-30"! Offer valid for US customers and available internationally through distributors.

Inhibin alpha Recombinant Antibody

Applications

  • WB
  • IHC-P
  • IHC-F
  • IF
  • ICC/IF

Reactivity

  • Human
Overview
Catalog # bsm-60582r
Product Name Inhibin alpha Recombinant Antibody
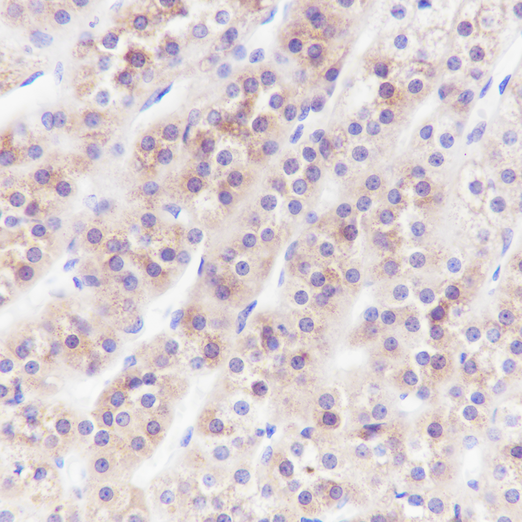
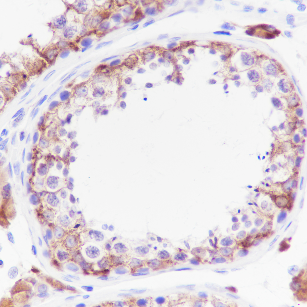
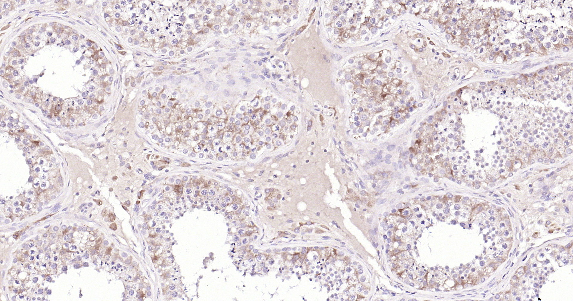
Applications WB, IHC-P, IHC-F, IF, ICC/IF
Reactivity Human
Specifications
Conjugation Unconjugated
Host Rabbit
Source KLH conjugated synthetic peptide derived from human Inhibin alpha
Clonality Recombinant
Isotype IgG
Concentration Lot dependent
Purification Purified by Protein A.
Storage Buffer 0.01M TBS (pH 7.4), 1% BSA, 0.02% Proclin 300, and 50% Glycerol
Storage Condition Store at 4°C for up to 2 weeks. For long term storage, store at -20°C in small aliquots to prevent freeze-thaw cycles.
Target
Gene ID 3623
Swiss Prot Q04997
Subcellular location Secreted
Synonyms A inhibin subunit precursor; IHA; INHA; Inhibin alpha chain; Inhibin alpha chain precursor; Inhibin alpha subunit; INHA_HUMAN.
Background This gene encodes a member of the TGF-beta (transforming growth factor-beta) superfamily of proteins. The encoded preproprotein is proteolytically processed to generate multiple peptide products, including the alpha subunit of the inhibin A and B protein complexes. These complexes negatively regulate follicle stimulating hormone secretion from the pituitary gland. Inhibins have also been implicated in regulating numerous cellular processes including cell proliferation, apoptosis, immune response and hormone secretion. Mutations in this gene may be associated with male infertility and premature ovarian failure in female human patients. [provided by RefSeq, Aug 2016]
Application Dilution
WB 1:500-1000
IHC-P IHC-P1:200-1:1000
IHC-F ICC1:50-100
IF IF1:50-100
ICC/IF 1:50-100