Receive 30% off all Monoclonal IHC antibodies with code "MONO-IHC-30"! Offer valid for US customers and available internationally through distributors.

CD59 Recombinant Antibody

Applications

  • WB
  • IHC-P
  • IHC-F
  • IF
  • Flow-Cyt

Reactivity

  • Human
Overview
Catalog # bsm-60603r
Product Name CD59 Recombinant Antibody
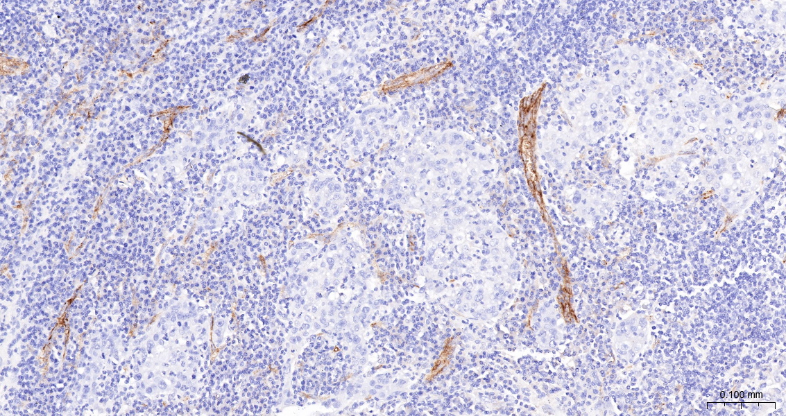
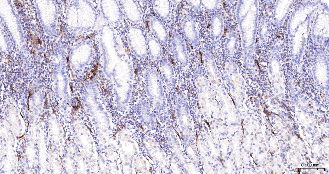
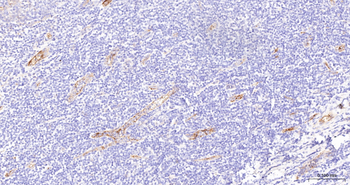
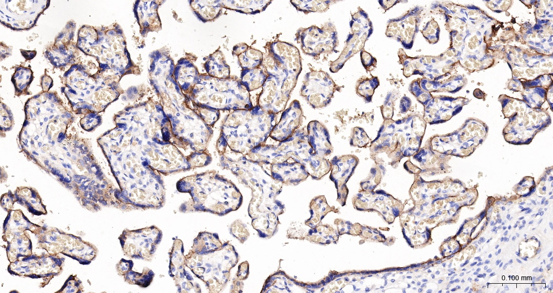
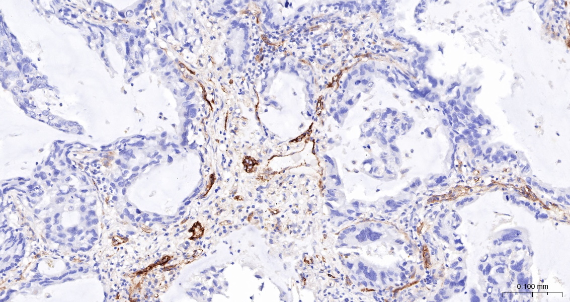
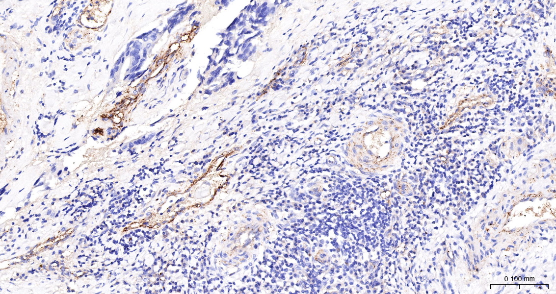
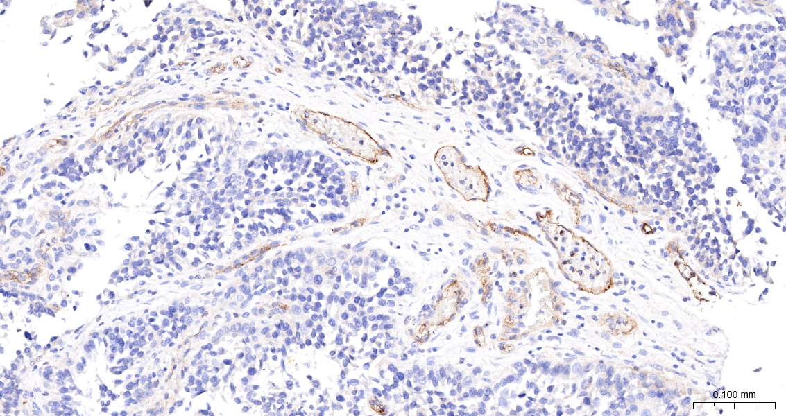
Applications WB, IHC-P, IHC-F, IF, Flow-Cyt
Reactivity Human
Specifications
Conjugation Unconjugated
Host Rabbit
Source KLH conjugated synthetic peptide derived from human CD59
Clonality Recombinant
Isotype IgG
Concentration 1mg/ml
Purification Purified by Protein A.
Storage Buffer 0.01M TBS (pH 7.4), 1% BSA, 0.02% Proclin 300, and 50% Glycerol
Storage Condition Shipped at 4C. Store at -20C for one year. Avoid repeated freeze/thaw cycles.
Target
Gene ID 966
Swiss Prot P13987
Subcellular location Cell membrane
Synonyms 16.3A5; 1F5; 1F5 antigen; 20 kDa homologous restriction factor; CD 59; CD_antigen=CD59; CD59; CD59 antigen; CD59 antigen complement regulatory protein; CD59 antigen p18 20; CD59 glycoprotein; CD59 molecule; CD59 molecule complement regulatory protein; CD59_HUMAN; Cd59a; Complement regulatory protein; EJ16; EJ30; EL32; FLJ38134; FLJ92039; G344; HRF 20; HRF-20; HRF20; Human leukocyte antigen MIC11; Ly 6 like protein; Lymphocytic antigen CD59/MEM43; MAC inhibitory protein; MAC IP; MAC-inhibitory protein; MAC-IP; MACIF; MACIP; MEM43 antigen; Membrane attack complex (MAC) inhibition factor; Membrane attack complex inhibition factor; Membrane inhibitor of reactive lysis; MGC2354; MIC11; MIN1; MIN2; MIN3; MIRL; MSK21; p18 20; PROTECTIN; Surface anitgen recognized by monoclonal; 16.3A5; T cell activating protein.
Background This gene encodes a cell surface glycoprotein that regulates complement-mediated cell lysis, and it is involved in lymphocyte signal transduction. This protein is a potent inhibitor of the complement membrane attack complex, whereby it binds complement C8 and/or C9 during the assembly of this complex, thereby inhibiting the incorporation of multiple copies of C9 into the complex, which is necessary for osmolytic pore formation. This protein also plays a role in signal transduction pathways in the activation of T cells. Mutations in this gene cause CD59 deficiency, a disease resulting in hemolytic anemia and thrombosis, and which causes cerebral infarction. Multiple alternatively spliced transcript variants, which encode the same protein, have been identified for this gene. [provided by RefSeq, Jul 2008]
Application Dilution
WB 1:500-2000
IHC-P IHC-P1:200-1000
IHC-F 1:100-500
IF
Flow-Cyt 1ug/Test