Receive 30% off all Monoclonal IHC antibodies with code "MONO-IHC-30"! Offer valid for US customers and available internationally through distributors.

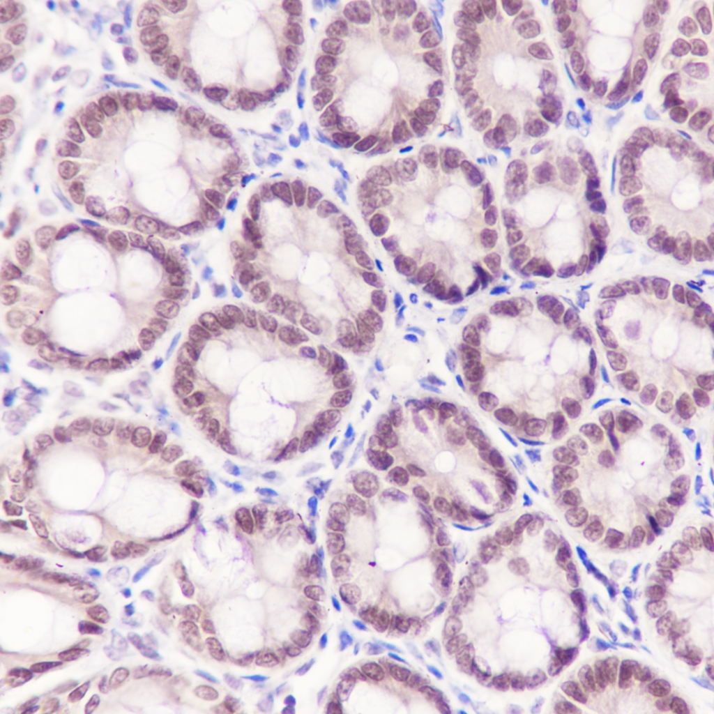
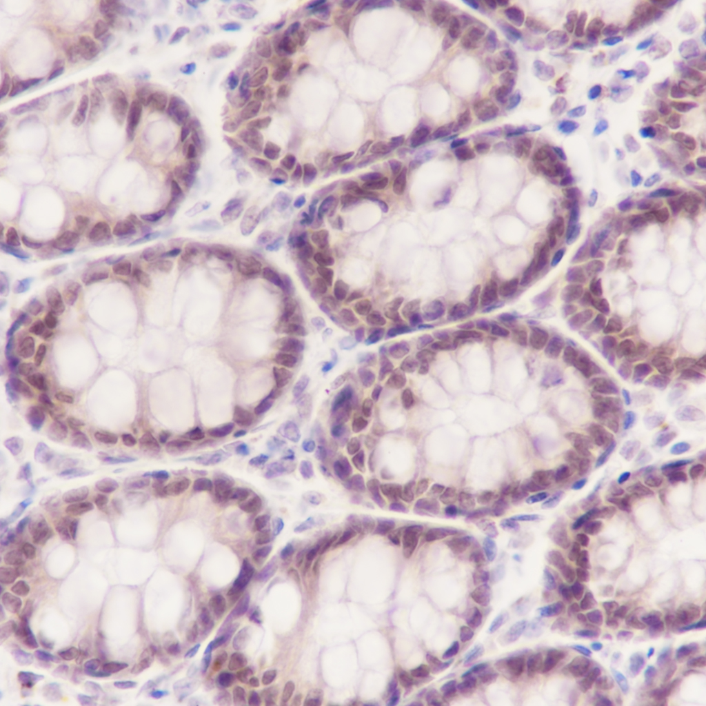
CDX2 Recombinant Antibody

Applications

  • IHC-P
  • IHC-F
  • IF
  • Flow-Cyt

Reactivity

  • Human
Overview
Catalog # bsm-60612r
Product Name CDX2 Recombinant Antibody
Applications IHC-P, IHC-F, IF, Flow-Cyt
Reactivity Human
Specifications
Conjugation Unconjugated
Host Rabbit
Source KLH conjugated synthetic peptide derived from human CDX2
Clonality Recombinant
Isotype IgG
Concentration 1mg/ml
Purification Purified by Protein A.
Storage Buffer 0.01M TBS (pH 7.4), 1% BSA, 0.02% Proclin 300, and 50% Glycerol
Storage Condition Shipped at 4C. Store at -20C for one year. Avoid repeated freeze/thaw cycles.
Target
Gene ID 1045
Swiss Prot Q99626
Subcellular location Nucleus
Synonyms cau-dal-related homeobox transcription factor 2; Caudal type homeo box 2; Caudal type homeobox protein 2; caudal type homeobox transcription factor 2; CDX 2; CDX 3; CDX3; Homeobox protein CDX-2; Homeobox protein CDX2; CDX2_HUMAN.
Background This gene is a member of the caudal-related homeobox transcription factor gene family. The encoded protein is a major regulator of intestine-specific genes involved in cell growth an differentiation. This protein also plays a role in early embryonic development of the intestinal tract. Aberrant expression of this gene is associated with intestinal inflammation and tumorigenesis. [provided by RefSeq, Jan 2012]
Application Dilution
IHC-P =1:100-500
IHC-F ICC=1:50
IF IF=1:100-500
Flow-Cyt Flow-Cyt=1:100