Receive 30% off all Monoclonal IHC antibodies with code "MONO-IHC-30"! Offer valid for US customers and available internationally through distributors.

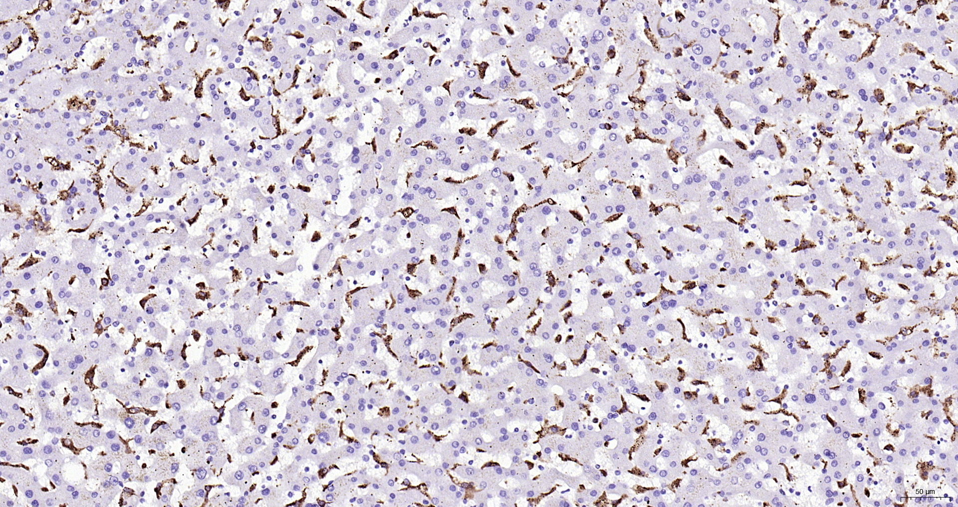
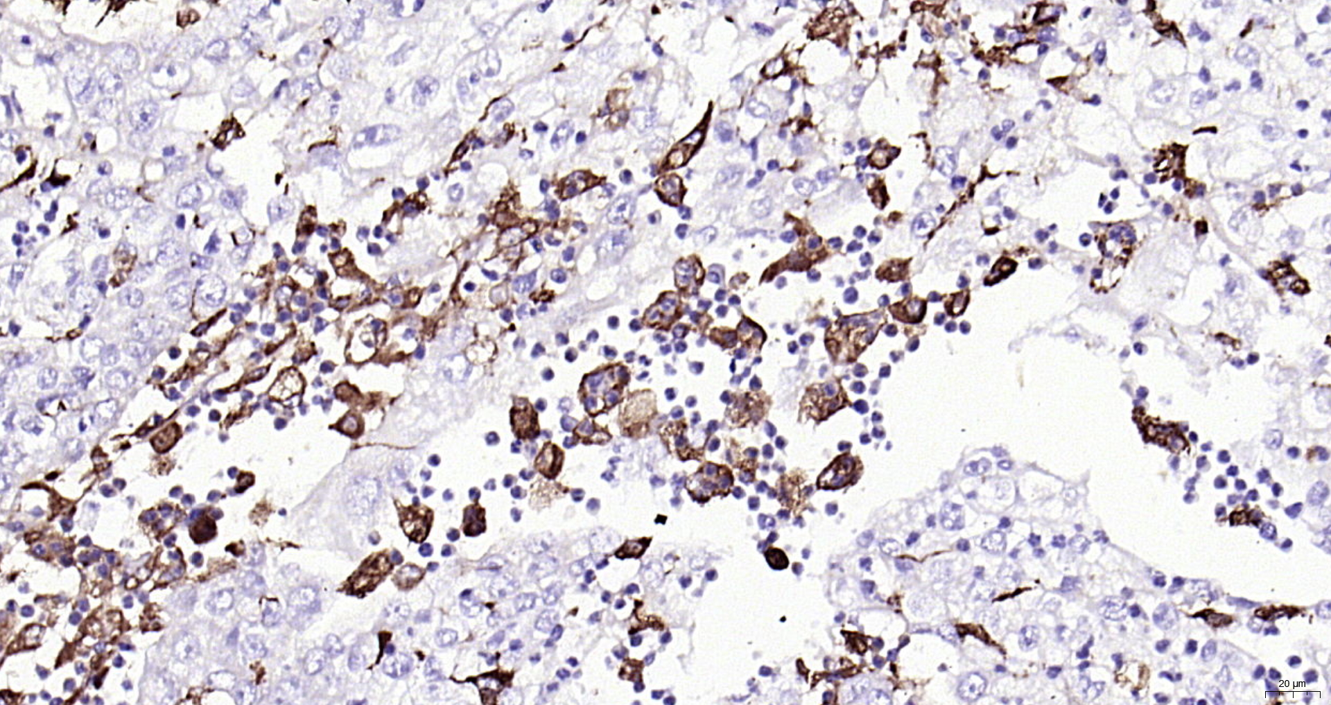
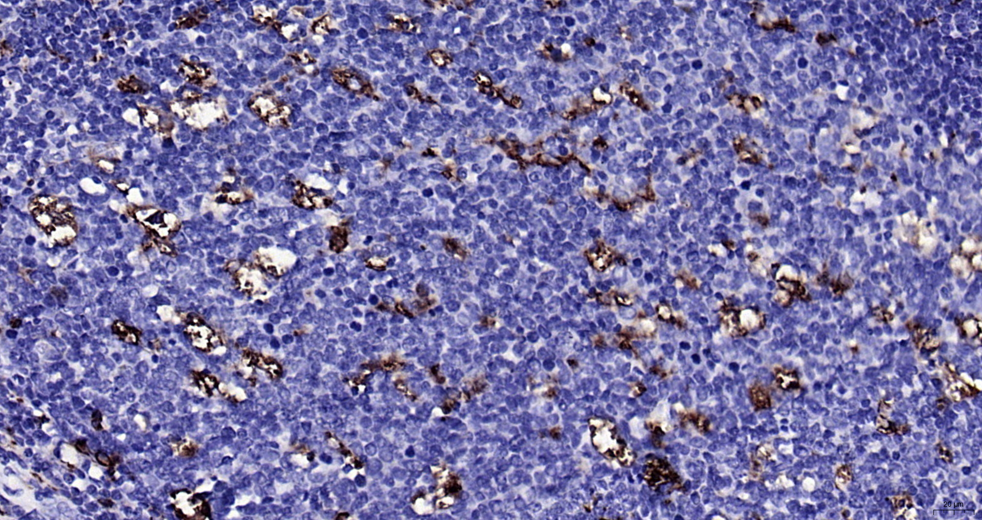
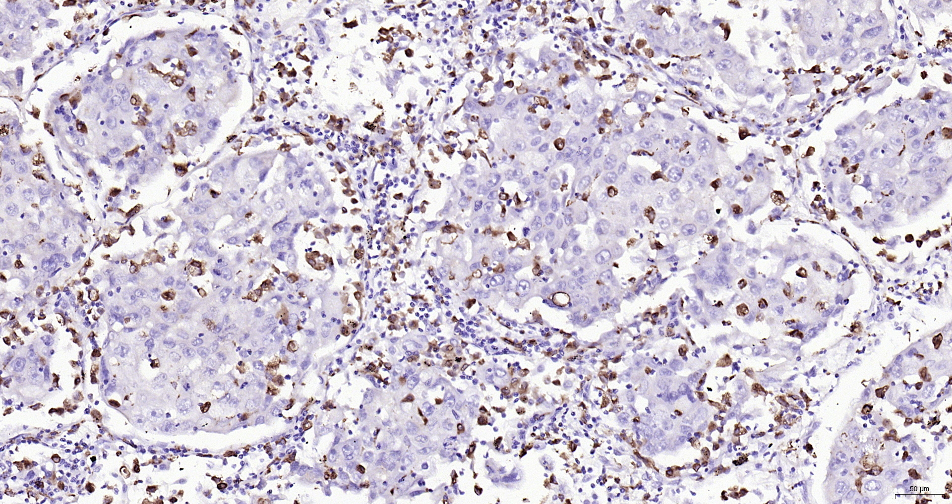
CD68 Recombinant Antibody

Applications

  • IHC-P
  • IHC-F
  • IF(ICC)
  • IF
  • Flow-Cyt

Reactivity

  • Human
Overview
Catalog # bsm-60634r
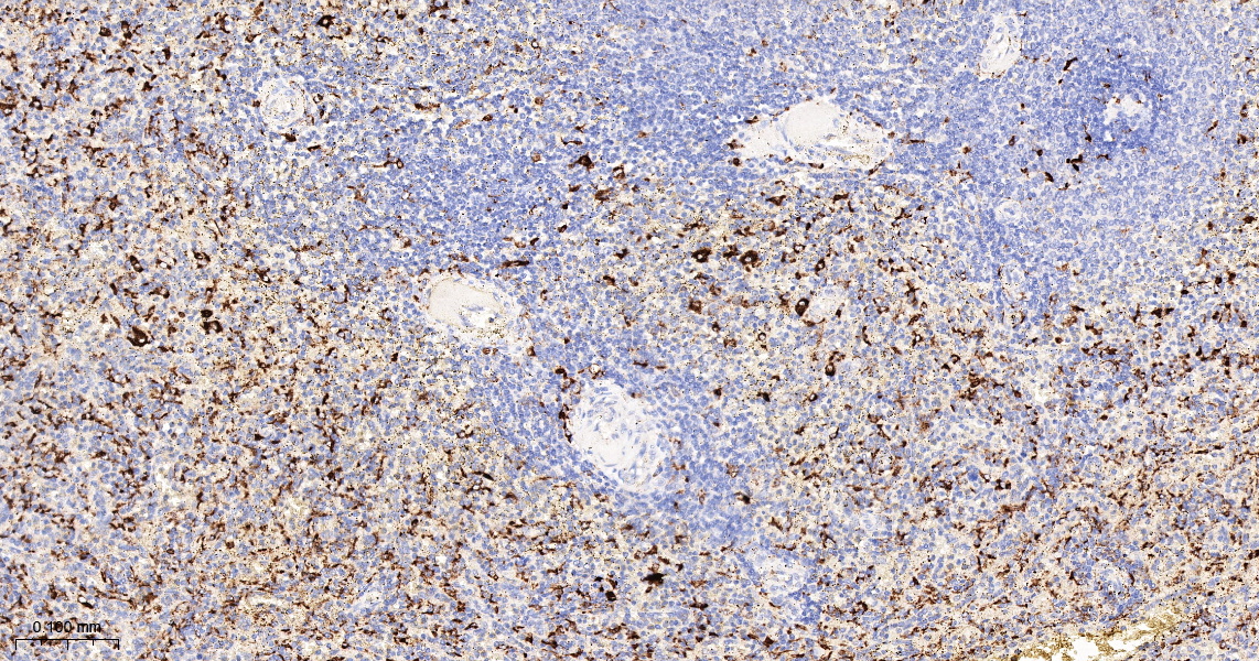
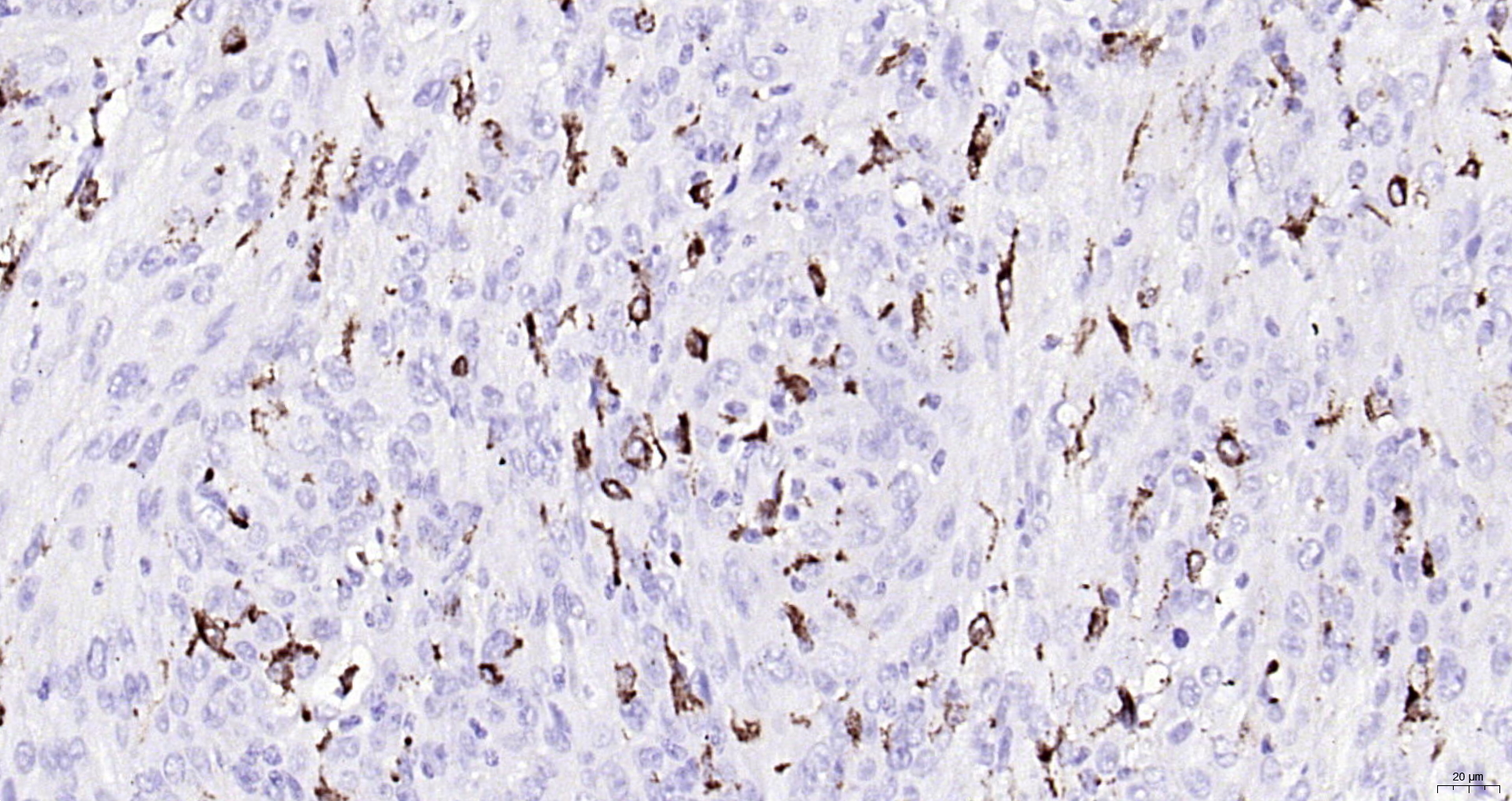
Product Name CD68 Recombinant Antibody
Applications IHC-P, IHC-F, IF(ICC), IF, Flow-Cyt
Reactivity Human
Specifications
Conjugation Unconjugated
Host Rabbit
Source KLH conjugated synthetic peptide derived from human CD68
Clonality Recombinant
Isotype IgG
Concentration 1mg/ml
Purification Purified by Protein A.
Storage Buffer 0.01M TBS (pH7.4) with 1% BSA, 0.02% Proclin300 and 50% Glycerol.
Storage Condition Shipped at 4C. Store at -20C for one year. Avoid repeated freeze/thaw cycles.
Target
Gene ID 968
Swiss Prot P34810
Subcellular location Cytoplasm, Cell membrane
Synonyms CD 68; CD68 antigen; CD68 molecule; DKFZp686M18236; GP110; Macrophage antigen CD68(microsialin); macrosialin; SCARD1; Scavenger receptor class D member 1; macrosialin isoform A precursor; CD68_MOUSE; Macrosialin; Gp110; scavenger receptor class D, member 1; macrophage antigen CD68; LAMP4.
Application Dilution
IHC-P 1:200-400
IHC-F 1:100-500
IF(ICC) 1:50-200
IF 1ug/Test
Flow-Cyt 1ug/Test