Receive 30% off all Monoclonal IHC antibodies with code "MONO-IHC-30"! Offer valid for US customers and available internationally through distributors.

Lysozyme Recombinant Antibody

Applications

  • WB
  • IHC-P
  • IHC-F
  • IF
  • ICC/IF

Reactivity

  • Human
  • Mouse
Overview
Catalog # bsm-60643r-TR
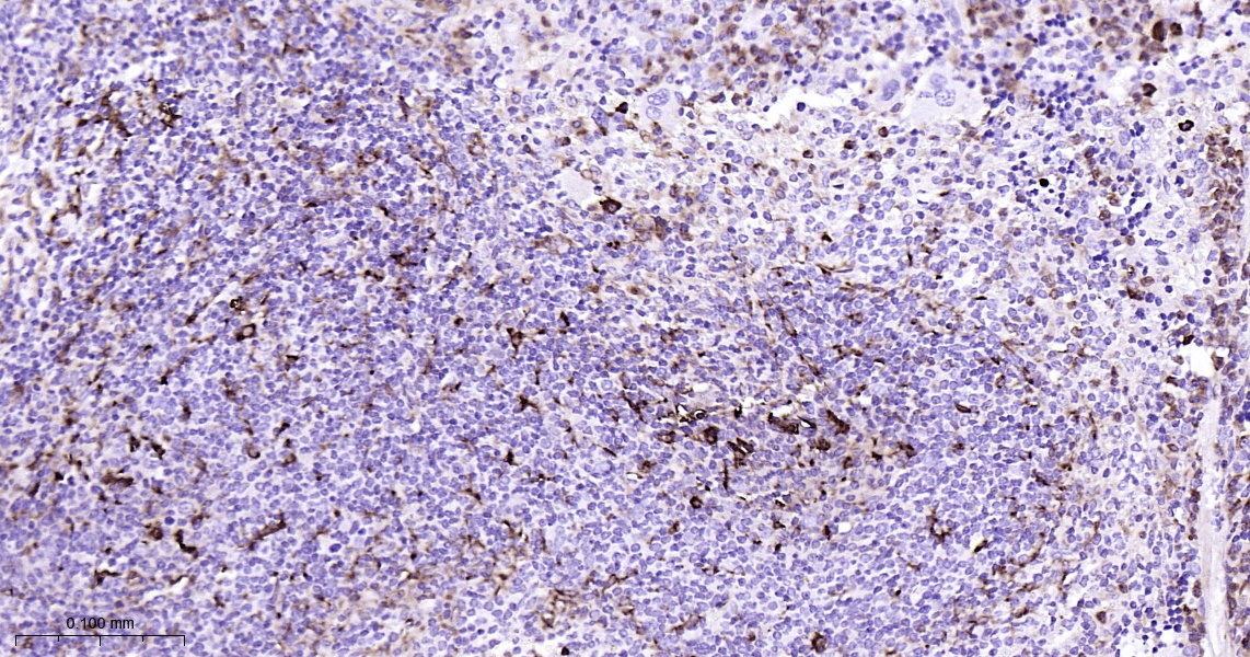
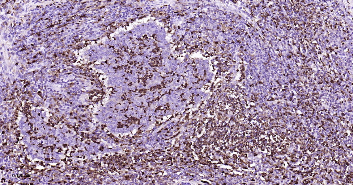
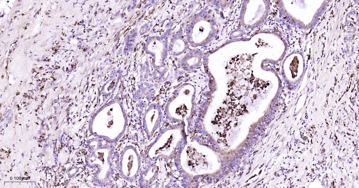
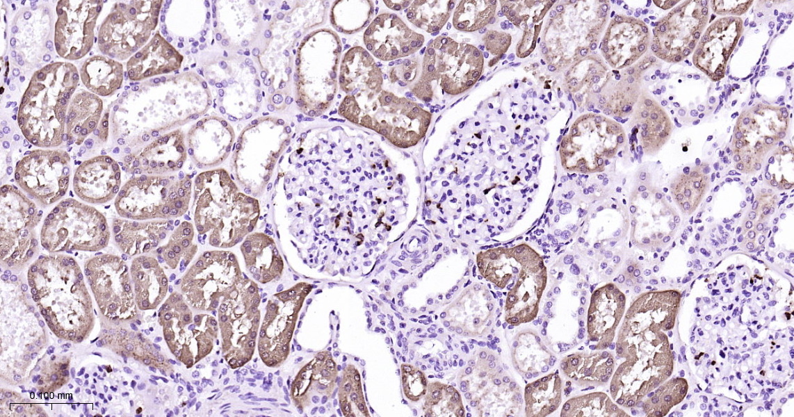
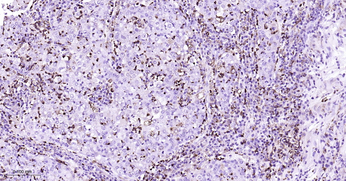
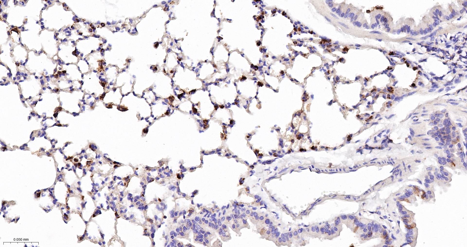
Product Name Lysozyme Recombinant Antibody
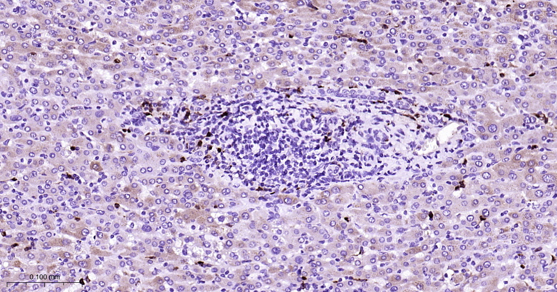
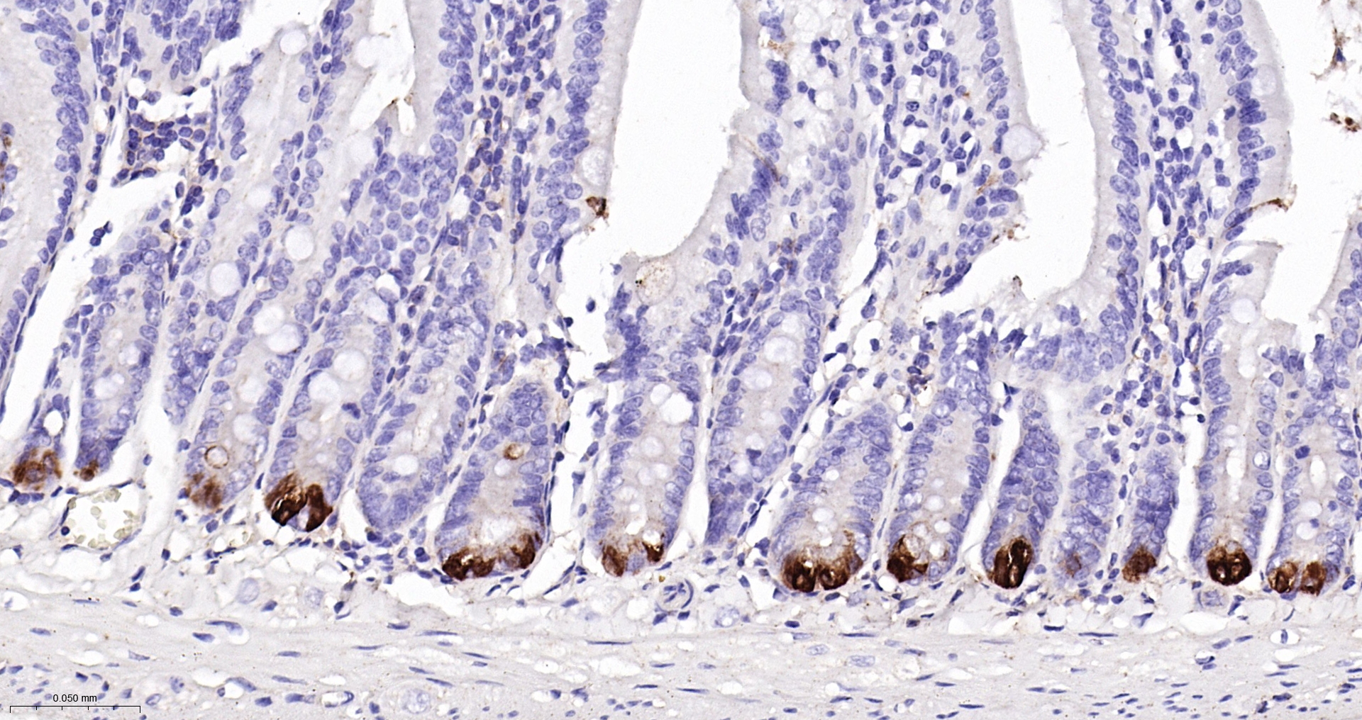
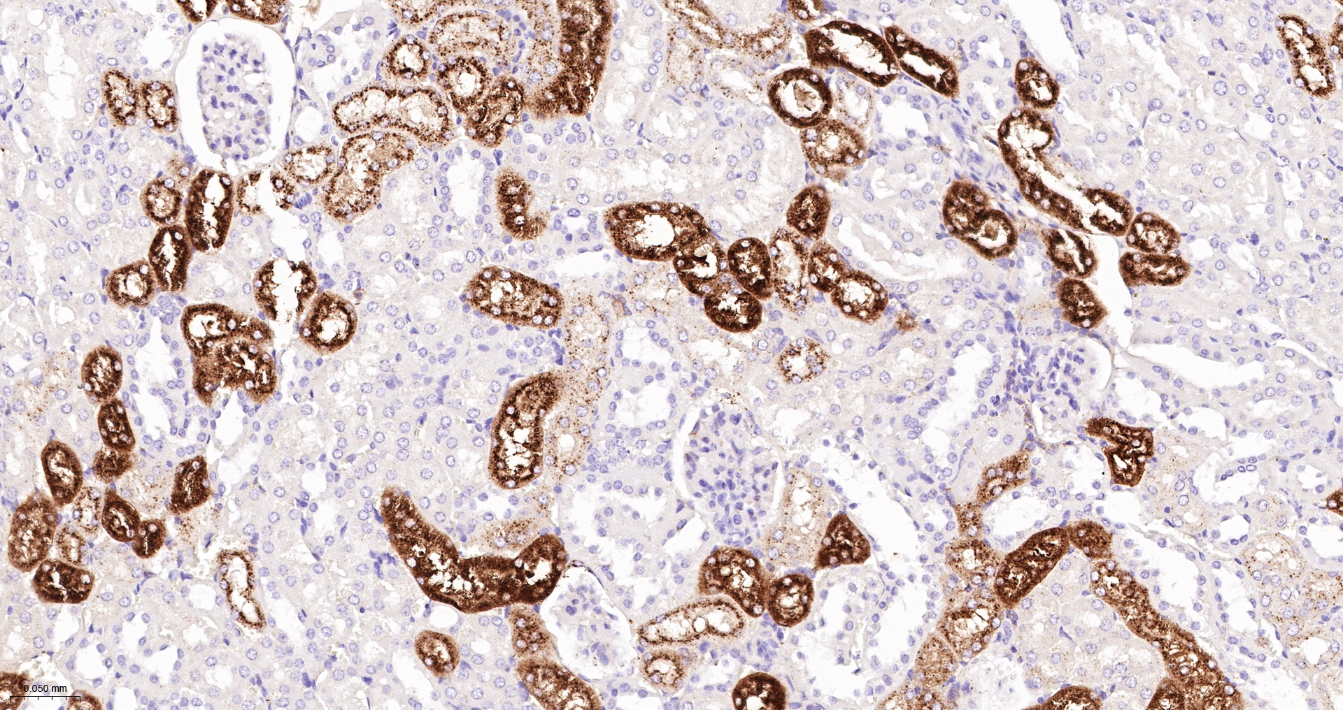
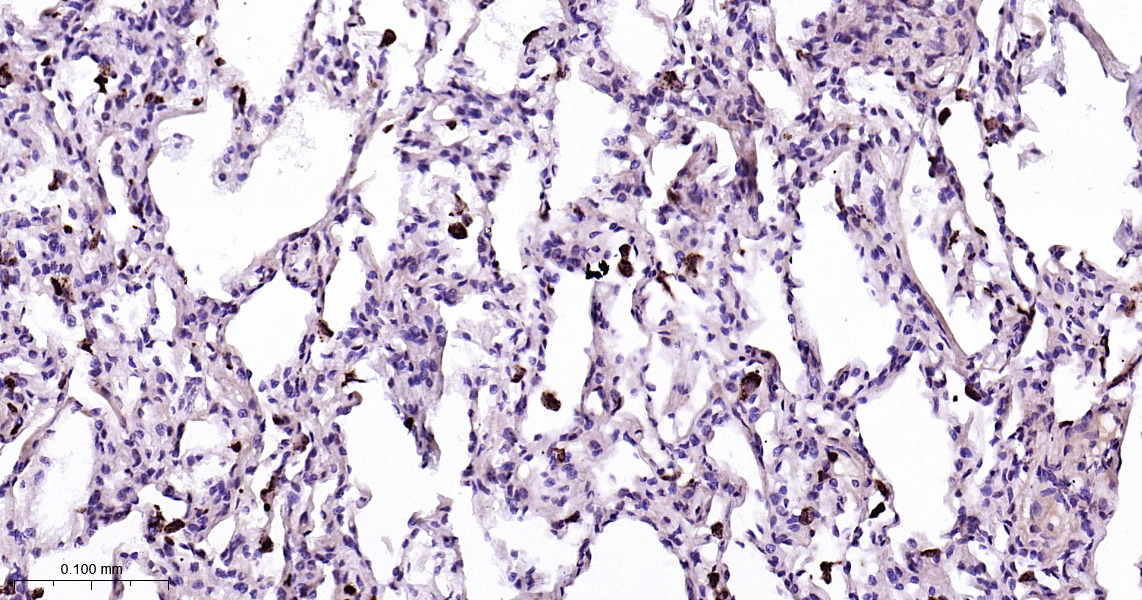
Applications WB, IHC-P, IHC-F, IF, ICC/IF
Reactivity Human, Mouse
Specifications
Conjugation Unconjugated
Host Rabbit
Source Recombination human Lysozyme
Clonality Recombinant
Isotype IgG
Concentration Lot dependent
Purification Purified by Protein A.
Storage Buffer 0.01M TBS (pH 7.4), 1% BSA, 0.02% Proclin 300, and 50% Glycerol
Storage Condition Shipped at 4C. Store at -20C for one year. Avoid repeated freeze/thaw cycles.
Target
Gene ID 4069
Swiss Prot P61626
Subcellular location Secreted
Synonyms 1 4 beta n acetylmuramidase c; 14 beta N acetylmuramidase; 14 beta N acetylmuramidase C; EC 3.2.1.17; lysosyme; Lysozyme C; Lysozyme C precursor; Lyz; LZM; Muramidase; LYSC_HUMAN.
Application Dilution
WB 1:300-5000
IHC-P 1:200-400
IHC-F 1:100-500
IF
ICC/IF 1:50-100