RECEIVE 25% OFF PUBLISHED ANTIBODIES WITH CODE "PUB25"! Offer valid for US customers and available internationally through distributors.

HES5 Recombinant Antibody

Applications

  • WB
  • IHC-P
  • IHC-F
  • IF(IHC-P)

Reactivity

  • Human
  • Mouse
  • Rat
Overview
Catalog # bsm-60648r-TR
Product Name HES5 Recombinant Antibody
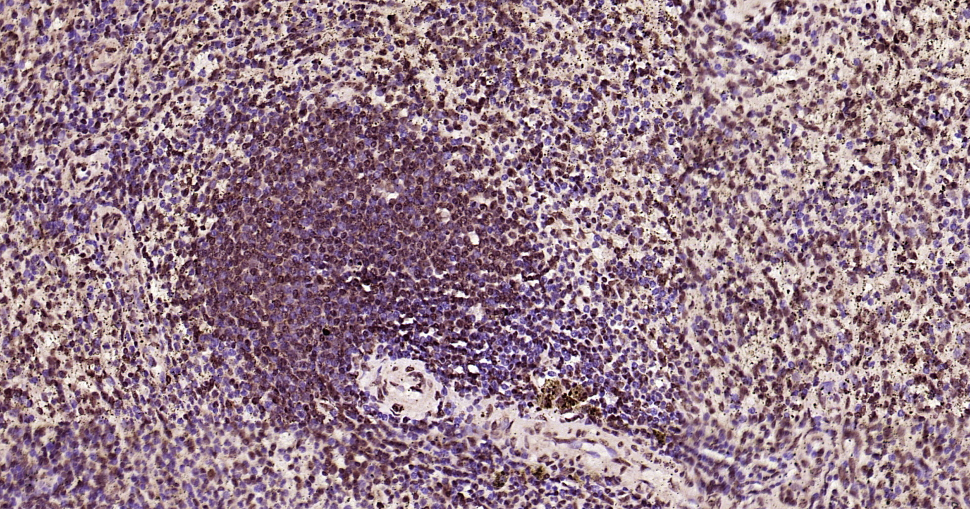
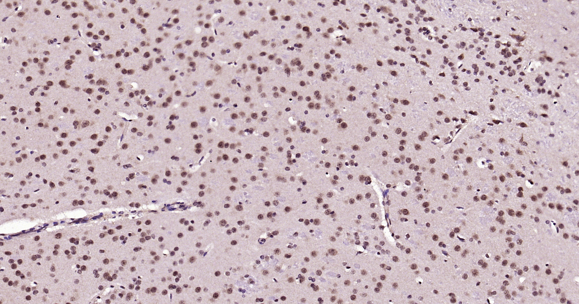
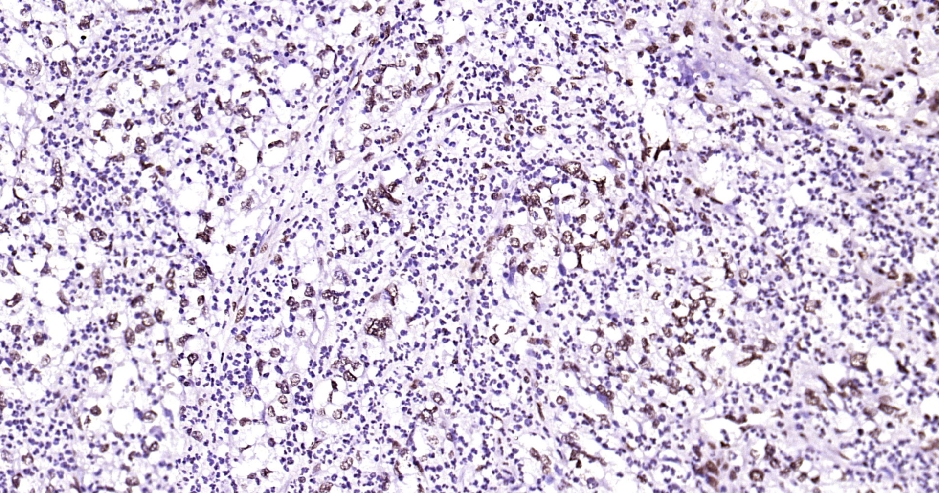
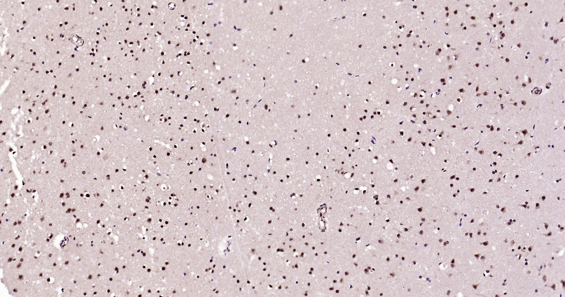
Applications WB, IHC-P, IHC-F, IF(IHC-P)
Reactivity Human, Mouse, Rat
Specifications
Conjugation Unconjugated
Host Rabbit
Source KLH conjugated synthetic peptide derived from human HES5
Clonality Recombinant
Isotype IgG
Concentration Lot dependent
Purification Purified by Protein A.
Storage Buffer 0.01M TBS (pH 7.4), 1% BSA, 0.02% Proclin 300, and 50% Glycerol
Storage Condition Store at 4°C for up to 2 weeks. For long term storage, store at -20°C in small aliquots to prevent freeze-thaw cycles.
Target
Gene ID 388585
Swiss Prot Q5TA89
Subcellular location Cytoplasm
Synonyms BHLHB38; Transcription factor HES-5; Class B basic helix-loop-helix protein 38 (bHLHb38); Hairy and enhancer of split 5; HES 5; HES5 protein; MGI:104876; HES5_HUMAN.
Application Dilution
WB 1:500-2000
IHC-P IHC-P1:100-500
IHC-F IHC-F1:100-500
IF(IHC-P) IFIHC-P1:100-500