Receive 30% off all Monoclonal IHC antibodies with code "MONO-IHC-30"! Offer valid for US customers and available internationally through distributors.

CD1c Recombinant Antibody

Applications

  • WB
  • IHC-P
  • IHC-F
  • IF

Predicted Reactivity

  • Human
Overview
Catalog # bsm-60660r
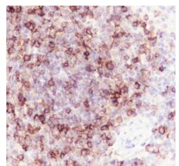
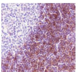
Product Name CD1c Recombinant Antibody
Applications WB, IHC-P, IHC-F, IF
Predicted Reactivity Human
Specifications
Conjugation Unconjugated
Host Rabbit
Source KLH conjugated synthetic peptide derived from human CD1c
Clonality Recombinant
Isotype IgG
Concentration 1ug/ul
Purification Purified by Protein A.
Storage Buffer 0.01M TBS (pH 7.4), 1% BSA, 0.02% Proclin 300, and 50% Glycerol
Storage Condition Shipped at 4C. Store at -20C for one year. Avoid repeated freeze/thaw cycles.
Target
Gene ID 911
Swiss Prot P29017
Subcellular location Cell membrane
Synonyms CD1c antigen; CD1C antigen c polypeptide; CD1c molecule; CD1C_HUMAN; Cortical thymocyte antigen CD1C; Differentiation antigen CD1 alpha 3 antibody R7; T cell surface glycoprotein CD1c; T-cell surface glycoprotein CD1c.
Application Dilution
WB 1:300-5000
IHC-P 1:200-400
IHC-F 1:100-500
IF