RECEIVE 25% OFF PUBLISHED ANTIBODIES WITH CODE "PUB25"! Offer valid for US customers and available internationally through distributors.

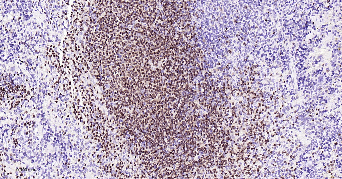
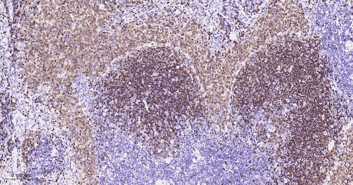
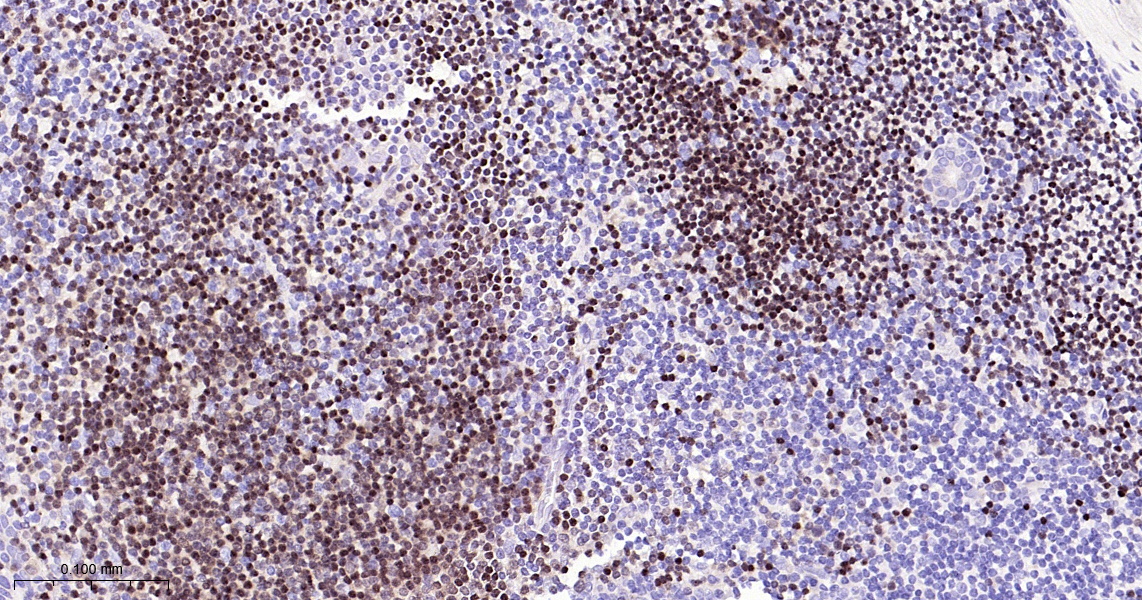
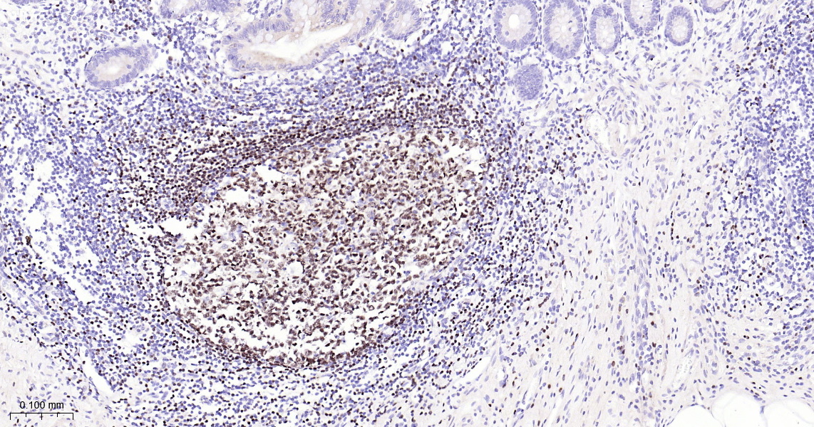
PAX5 Recombinant Antibody

Applications

  • FCM
  • IHC-P
  • IHC-F
  • IF(IHC-P)
  • IF(ICC)

Reactivity

  • Human
  • Mouse
  • Rat
Overview
Catalog # bsm-60667r-TR
Product Name PAX5 Recombinant Antibody
Applications FCM, IHC-P, IHC-F, IF(IHC-P), IF(ICC)
Reactivity Human, Mouse, Rat
Specifications
Conjugation Unconjugated
Host Rabbit
Source KLH conjugated synthetic peptide derived from human PAX5
Clonality Recombinant
Isotype IgG
Concentration Lot dependent
Purification Purified by Protein A.
Storage Buffer 0.01M TBS (pH 7.4), 1% BSA, 0.02% Proclin 300, and 50% Glycerol
Storage Condition Shipped at 4C. Store at -20C for one year. Avoid repeated freeze/thaw cycles.
Target
Gene ID 5079
Swiss Prot Q02548
Synonyms B cell lineage specific activator; B cell lineage specific activator protein; B cell specific activator protein; B cell specific transcription factor; B-cell-specific transcription factor; BSAP; EBB-1; KLP; Paired box 5; Paired box gene 5 (B cell lineage specific activator protein); Paired box gene 5 (B cell lineage specific activator); Paired box gene 5; Paired box homeotic gene 5; Paired box protein Pax 5; Paired box protein Pax-5; Paired domain gene 5; PAX 5; PAX5_HUMAN; Transcription factor PAX 5.
Application Dilution
FCM 1:50-100
IHC-P IHC-P1:100-500
IHC-F IHC-F1:100-500
IF(IHC-P) IFIHC-P1:100-500
IF(ICC) IFICC1:50-200