RECEIVE 25% OFF PUBLISHED ANTIBODIES WITH CODE "PUB25"! Offer valid for US customers and available internationally through distributors.

FKBP52 Recombinant Antibody

Applications

  • WB
  • FCM
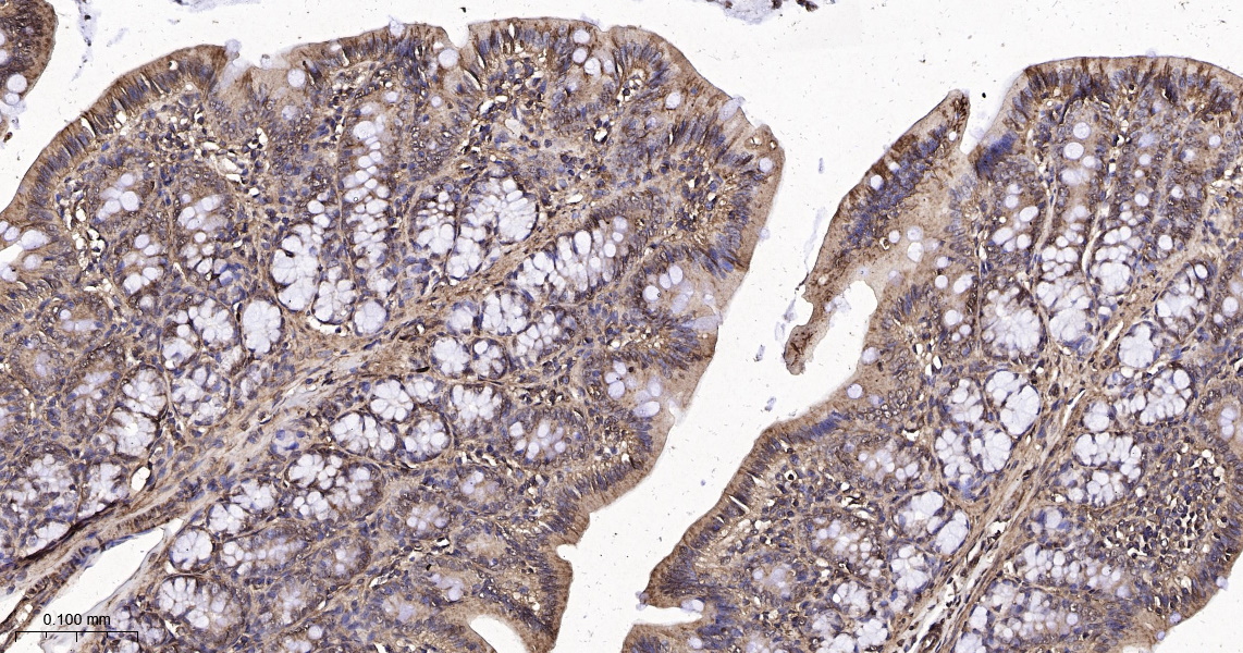
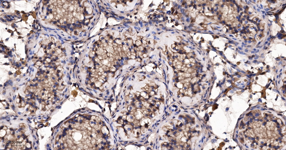
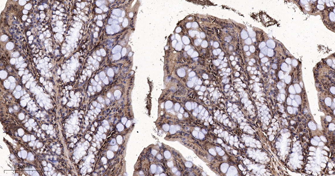
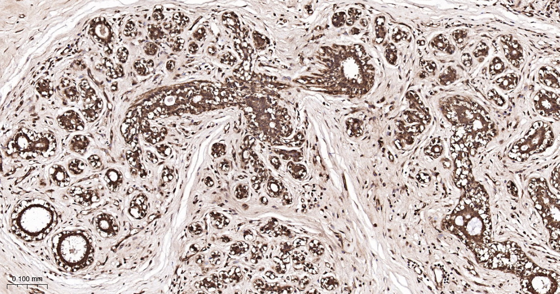
  • IHC-P
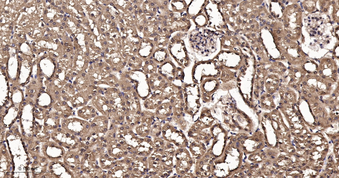
  • IHC-F
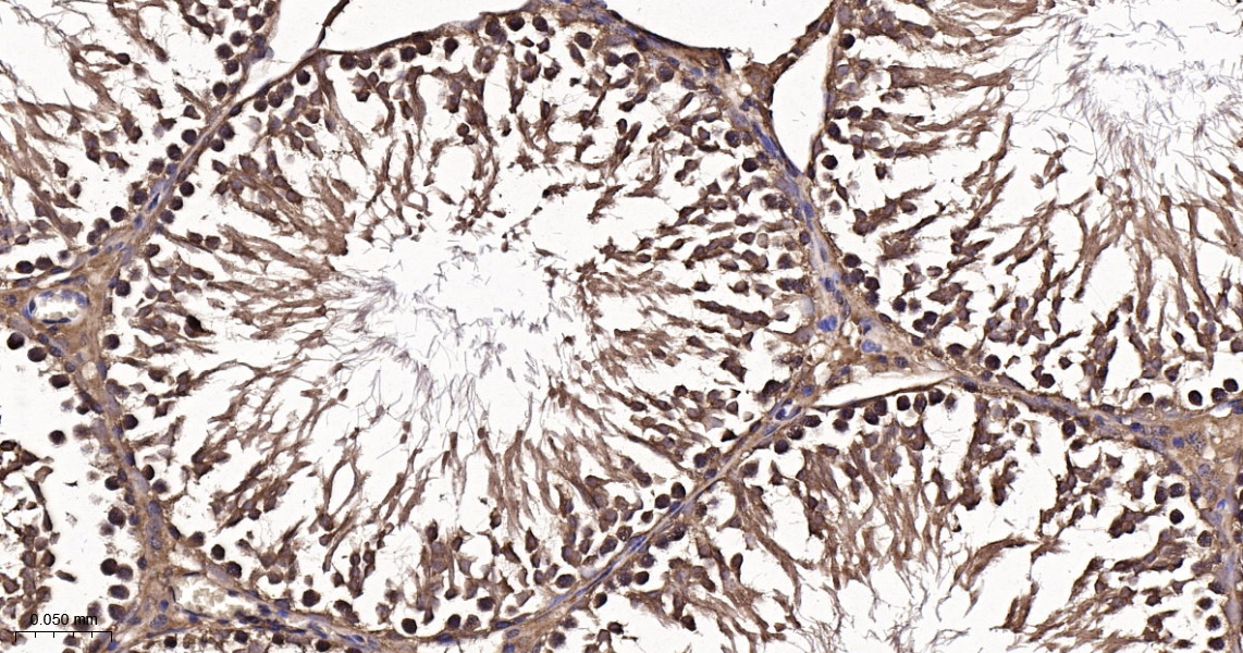
  • IF(IHC-P)
  • IF(ICC)

Reactivity

  • Human
  • Mouse
  • Rat
Overview
Catalog # bsm-60690r-100ul
Product Name FKBP52 Recombinant Antibody
Applications WB, FCM, IHC-P, IHC-F, IF(IHC-P), IF(ICC)
Reactivity Human, Mouse, Rat
Specifications
Conjugation Unconjugated
Host Rabbit
Source KLH conjugated synthetic peptide derived from human FKBP52
Clonality Recombinant
Isotype IgG
Concentration Lot Dependent
Purification Purified by Protein A.
Storage Buffer 0.01M TBS (pH 7.4), 1% BSA, 0.02% Proclin 300, and 50% Glycerol
Storage Condition Shipped at 4C. Store at -20C for one year. Avoid repeated freeze/thaw cycles.
Target
Gene ID 2288
Swiss Prot Q02790
Subcellular location Cytoplasm, Nucleus
Synonyms FKBP4_HUMAN; Peptidyl-prolyl cis-trans isomerase FKBP4; EC:5.2.1.8; FKBP52; PPIase FKBP4; 51 kDa FK506-binding protein (FKBP51); 52 kDa FK506-binding protein (52 kDa FKBP; FKBP-52); 59 kDa immunophilin (p59); FK506-binding protein 4 (FKBP-4); Peptidyl-prolyl cis-trans isomerase FKBP4, N-terminally processed; HBI; p52; Hsp56; FKBP51; FKBP59; PPIase;
Application Dilution
WB 1:500-2000
FCM FCM1:50-100
IHC-P IHC-P1:100-500
IHC-F IHC-F1:100-500
IF(IHC-P) IFIHC-P1:100-500
IF(ICC) IFICC1:50-200