RECEIVE 25% OFF PUBLISHED ANTIBODIES WITH CODE "PUB25"! Offer valid for US customers and available internationally through distributors.

ATG9A Recombinant Antibody

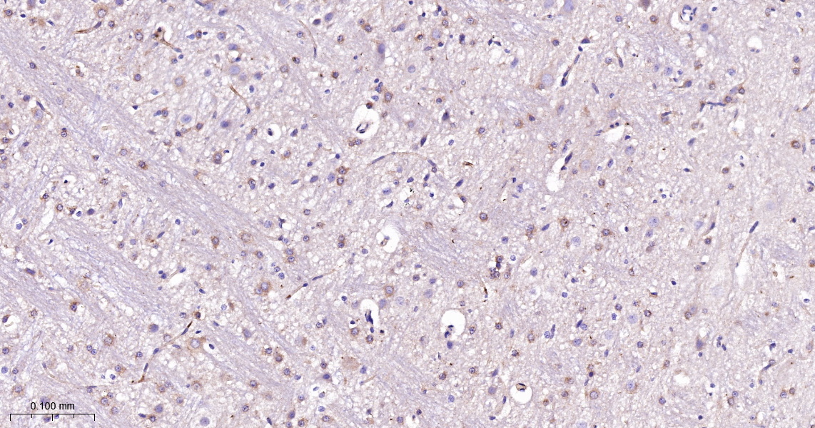
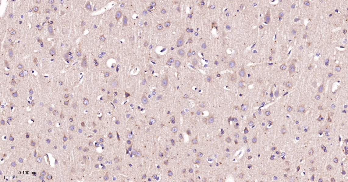
Applications

  • WB
  • IHC-P
  • IHC-F
  • IF(IHC-P)
  • IF(ICC)

Reactivity

  • Human
  • Mouse
  • Rat
Overview
Catalog # bsm-60696r-100ul
Product Name ATG9A Recombinant Antibody
Applications WB, IHC-P, IHC-F, IF(IHC-P), IF(ICC)
Reactivity Human, Mouse, Rat
Specifications
Conjugation Unconjugated
Host Rabbit
Source KLH conjugated synthetic peptide derived from human ATG9A
Clonality Recombinant
Isotype IgG
Concentration Lot Dependent
Purification Purified by Protein A.
Storage Buffer 0.01M TBS (pH 7.4), 1% BSA, 0.02% Proclin 300, and 50% Glycerol
Storage Condition Shipped at 4C. Store at -20C for one year. Avoid repeated freeze/thaw cycles.
Target
Gene ID 79065
Swiss Prot Q7Z3C6
Subcellular location Cytoplasm
Synonyms ATG9A_HUMAN; Autophagy-related protein 9A; APG9-like 1; mATG9; APG9L1; MGD3208;
Application Dilution
WB 1:500-2000
IHC-P IHC-P1:50-200
IHC-F IHC-F1:50-200
IF(IHC-P) IFIHC-P1:50-200
IF(ICC) IFICC1:50-200