Receive 30% off all Monoclonal IHC antibodies with code "MONO-IHC-30"! Offer valid for US customers and available internationally through distributors.

PTPN12 Recombinant Antibody

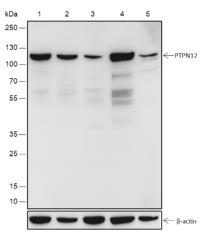
Applications

  • WB

Predicted Reactivity

  • Human
  • Mouse
  • Rat
Overview
Catalog # bsm-60705r
Product Name PTPN12 Recombinant Antibody
Applications WB
Predicted Reactivity Human, Mouse, Rat
Specifications
Conjugation Unconjugated
Host Rabbit
Source KLH conjugated synthetic peptide derived from human PTPN12
Clonality Recombinant
Isotype IgG
Concentration 1ug/ul
Purification Purified by Protein A.
Storage Buffer 0.01M TBS (pH 7.4), 1% BSA, 0.02% Proclin 300, and 50% Glycerol
Storage Condition Shipped at 4C. Store at -20C for one year. Avoid repeated freeze/thaw cycles.
Target
Gene ID 5782
Swiss Prot Q05209
Subcellular location Cytoplasm
Synonyms PTN12_HUMAN; Tyrosine-protein phosphatase non-receptor type 12; EC:3.1.3.48; PTP-PEST; Protein-tyrosine phosphatase G1 (PTPG1); protein tyrosine phosphatase non-receptor type 12; PTPG1; PTP-PEST;
Application Dilution
WB 1:300-5000