Receive 30% off all Monoclonal IHC antibodies with code "MONO-IHC-30"! Offer valid for US customers and available internationally through distributors.

CD11b Recombinant Antibody

Applications

  • WB
  • IHC-P
  • IHC-F
  • IF

Reactivity

  • Human

Predicted Reactivity

  • Human
  • Mouse
Overview
Catalog # bsm-60737r
Product Name CD11b Recombinant Antibody
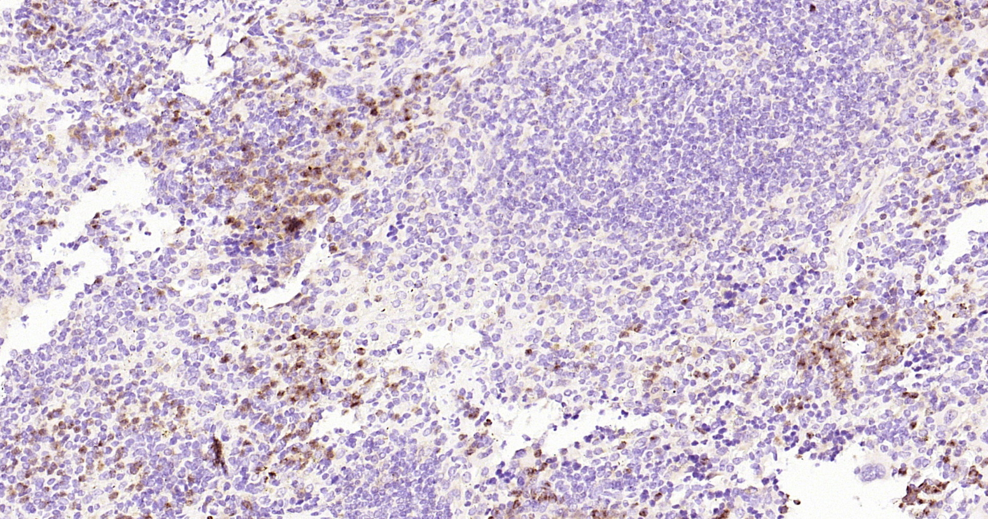
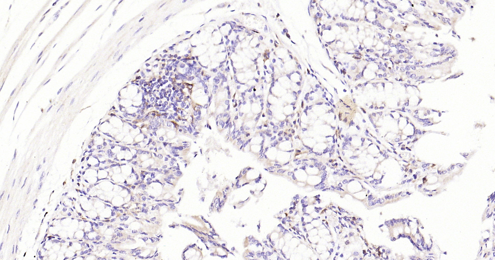
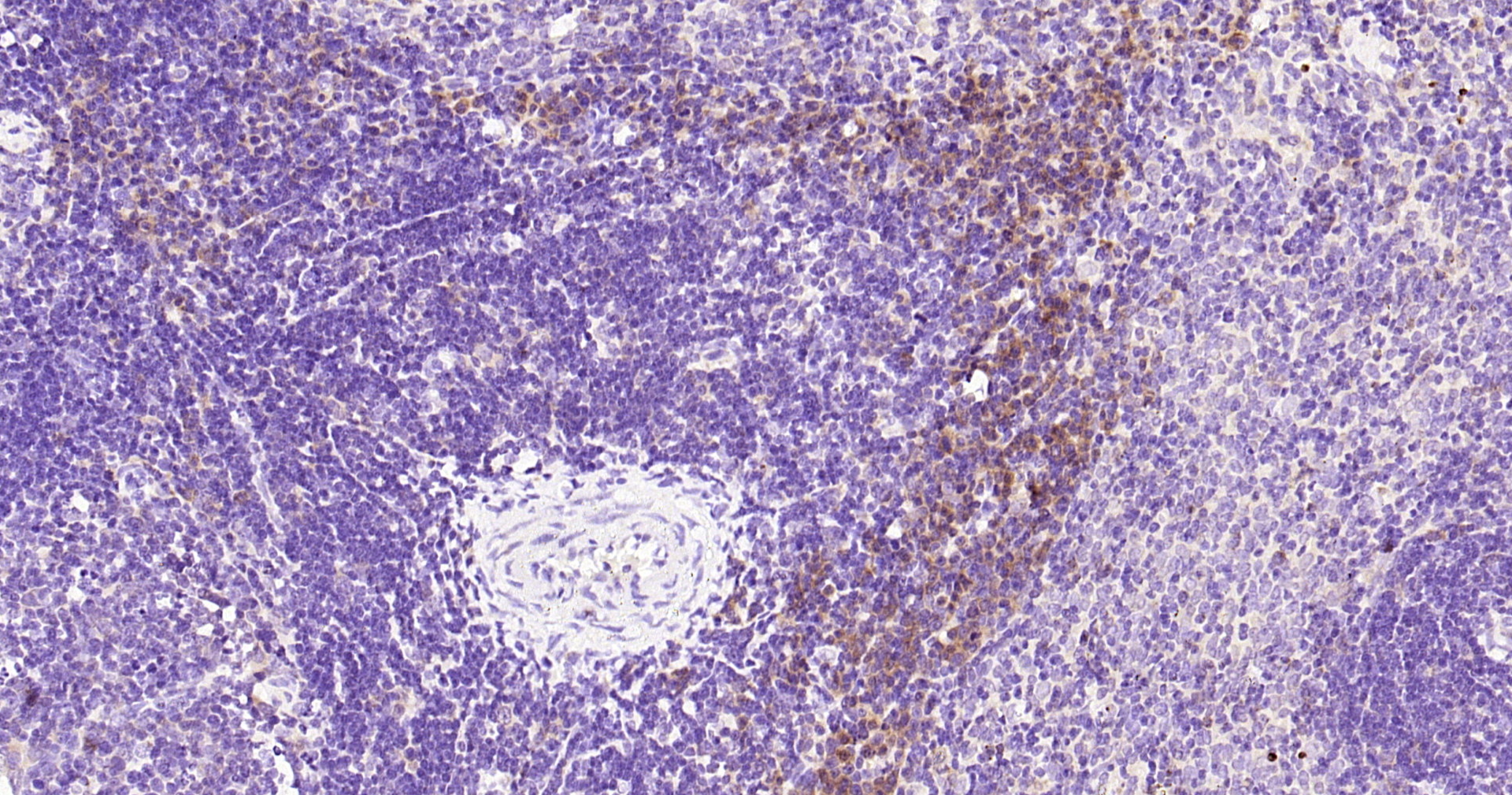
Applications WB, IHC-P, IHC-F, IF
Reactivity Human
Predicted Reactivity Human, Mouse
Specifications
Conjugation Unconjugated
Host Rabbit
Source KLH conjugated synthetic peptide derived from human CD11b
Clonality Recombinant
Isotype IgG
Concentration 1ug/ul
Purification Purified by Protein A.
Storage Buffer 0.01M TBS (pH 7.4), 1% BSA, 0.02% Proclin 300, and 50% Glycerol
Storage Condition Shipped at 4C. Store at -20C for one year. Avoid repeated freeze/thaw cycles.
Target
Gene ID 3684
Swiss Prot P05555
Synonyms Antigen CD11b p170; CD11 antigen like family member B; CD11b antigen; CD49d; Cell surface glycoprotein MAC 1 alpha subunit; Cell Surface Glycoprotein MAC1 Alpha Subunit; Complement Component Receptor 3 Alpha; CR 3 alpha chain; CR3 Alpha Chain; CR3A; Integrin Alpha M; integrin alpha M complement component 3 receptor 3 subunit; Leukocyte Adhesion Receptor MO1; MAC 1; MAC1A; MGC117044; MO1A; Neutrophil Adherence Receptor; CD11b/CD18; F730045J24Rik; Ly-40; ITGAM; CR3A;complement receptor type 3; CR3; ITAM_HUMAN.
Background This gene encodes the integrin alpha M chain. Integrins are heterodimeric integral membrane proteins composed of an alpha chain and a beta chain. This I-domain containing alpha integrin combines with the beta 2 chain (ITGB2) to form a leukocyte-specific integrin referred to as macrophage receptor 1 ('Mac-1'), or inactivated-C3b (iC3b) receptor 3 ('CR3'). The alpha M beta 2 integrin is important in the adherence of neutrophils and monocytes to stimulated endothelium, and also in the phagocytosis of complement coated particles. Multiple transcript variants encoding different isoforms have been found for this gene. [provided by RefSeq, Mar 2009]

Application Dilution
WB 1:300-5000
IHC-P 1:200-400
IHC-F 1:100-500
IF