Receive 30% off all Monoclonal IHC antibodies with code "MONO-IHC-30"! Offer valid for US customers and available internationally through distributors.

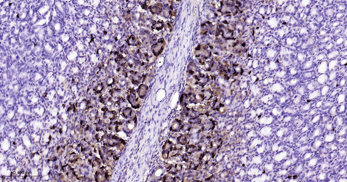
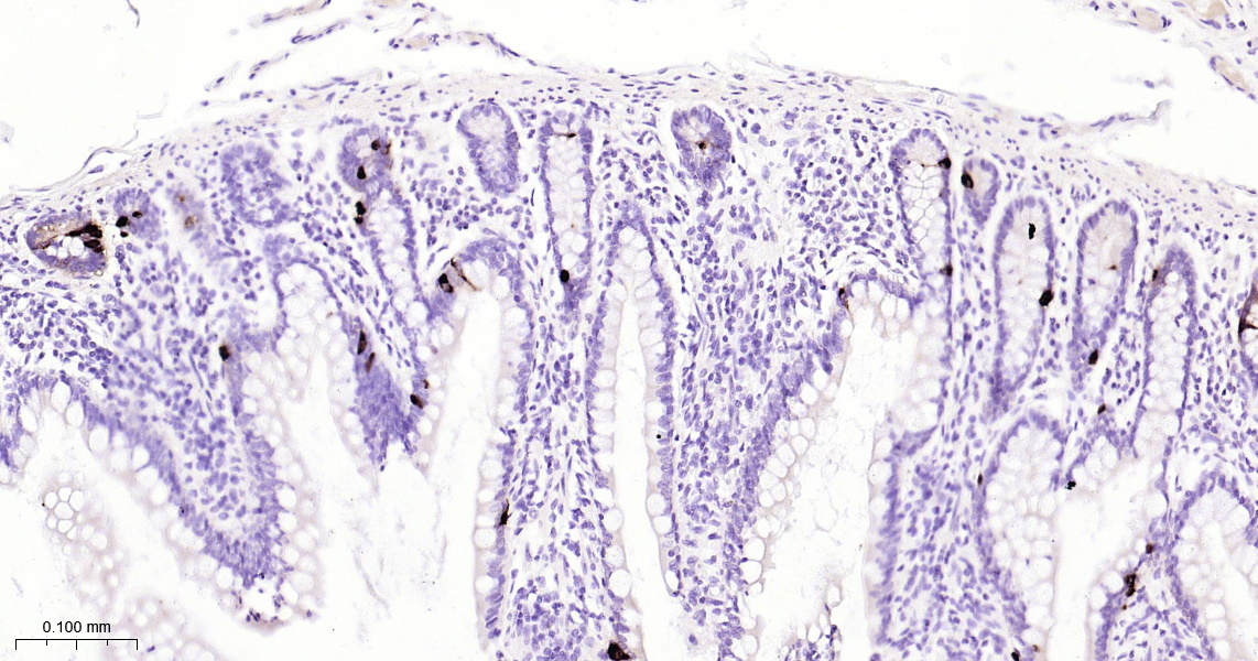
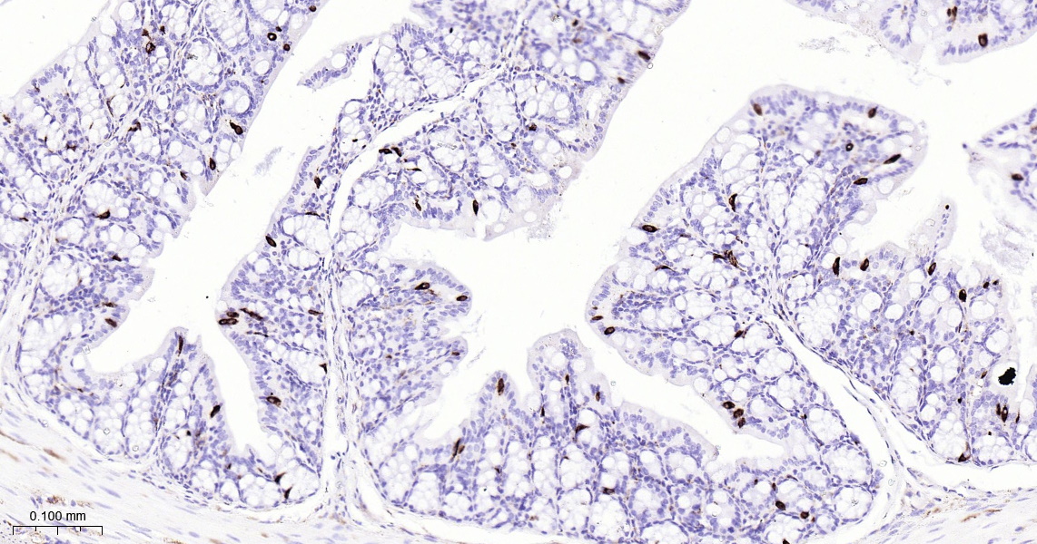
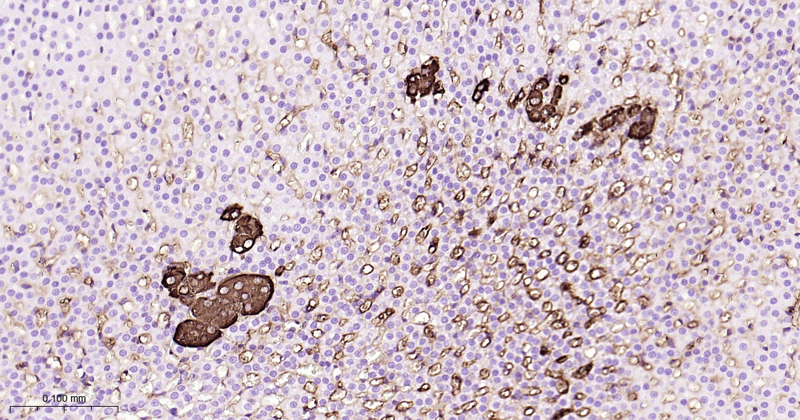
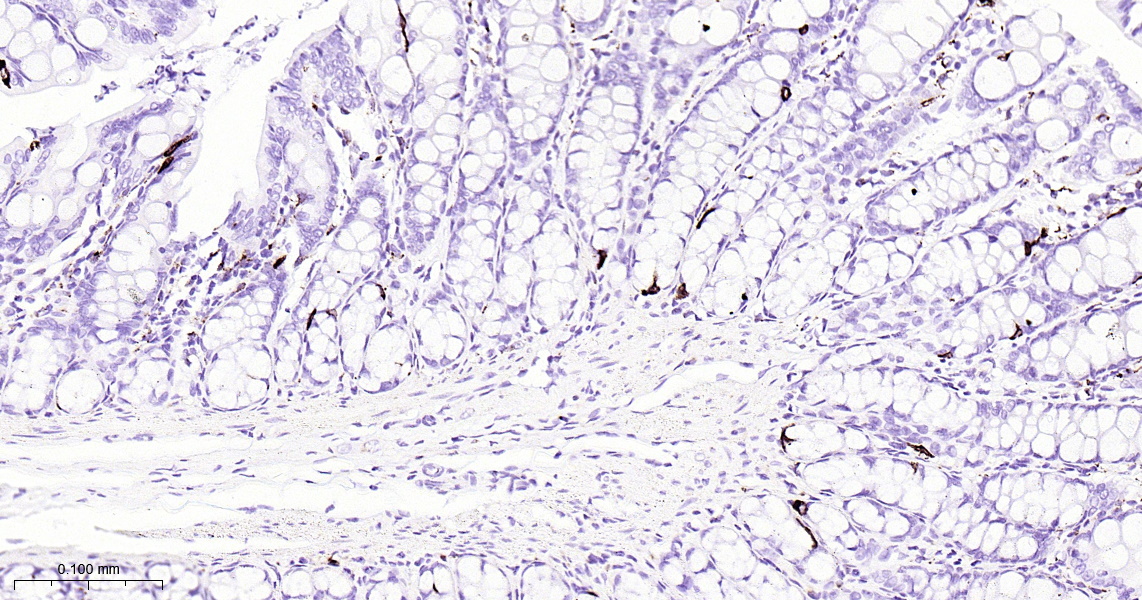
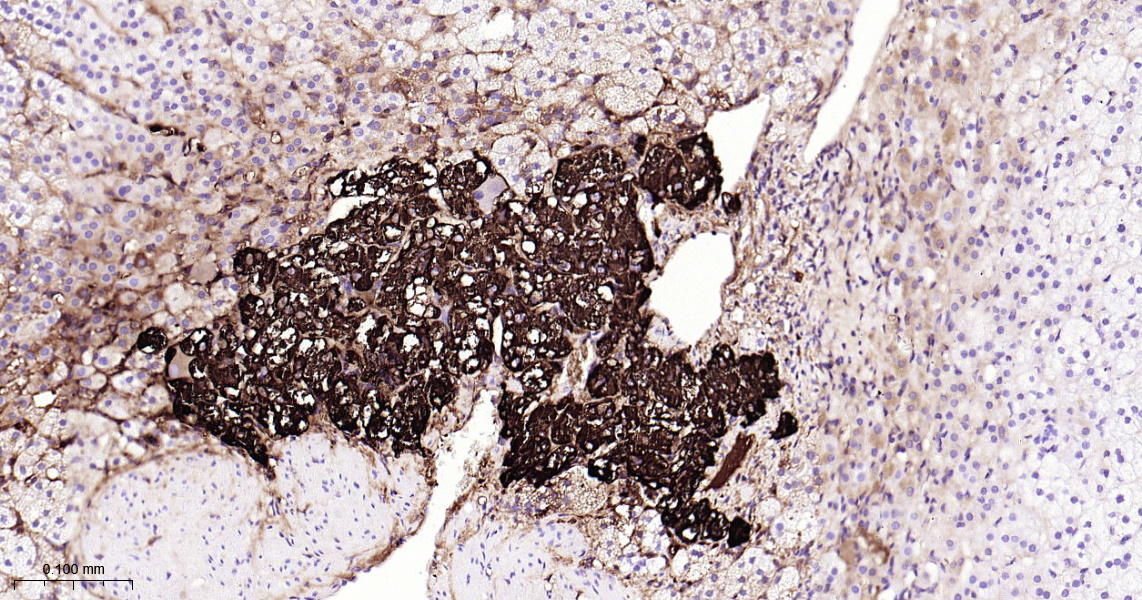
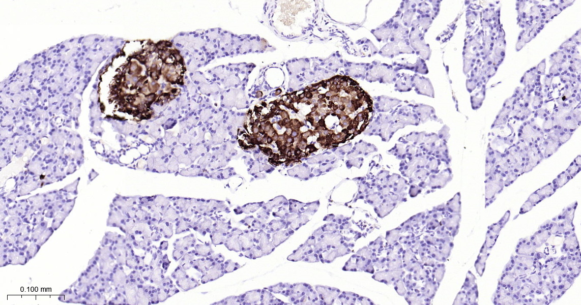
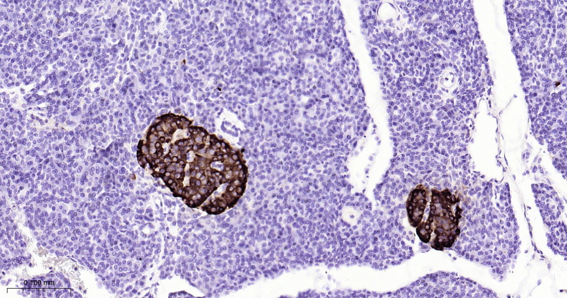
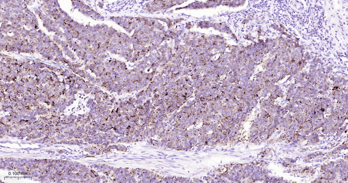
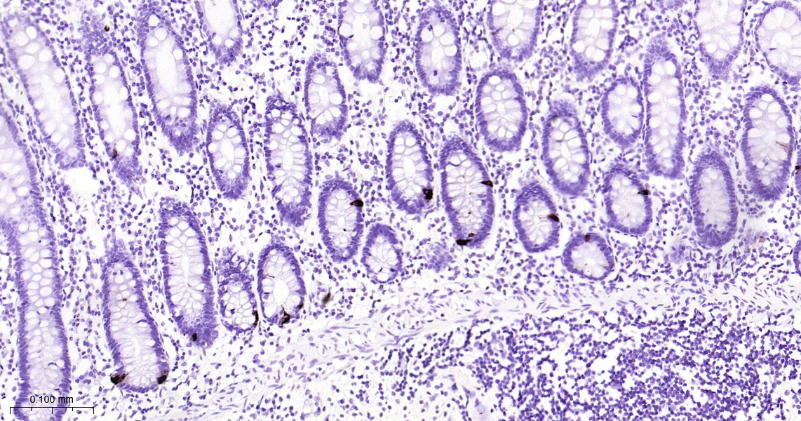
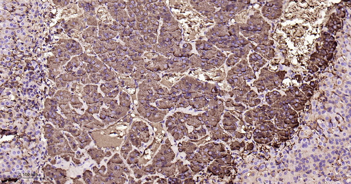
CHGA Recombinant Antibody

Applications

  • WB
  • IHC-P
  • IHC-F
  • IF

Reactivity

  • Human
  • Mouse
  • Rat
Overview
Catalog # bsm-60747r
Product Name CHGA Recombinant Antibody
Applications WB, IHC-P, IHC-F, IF
Reactivity Human, Mouse, Rat
Specifications
Conjugation Unconjugated
Host Rabbit
Source KLH conjugated synthetic peptide derived from human CHGA
Clonality Recombinant
Isotype IgG
Concentration Lot dependent
Purification Purified by Protein A.
Storage Buffer PBS, Glycerol, BSA.
Storage Condition Shipped at 4C. Store at -20C for one year. Avoid repeated freeze/thaw cycles.
Target
Gene ID 5443
Swiss Prot P01189
Subcellular location Secreted
Synonyms Chromogranin-A; Chromogranin A; beta Granin; CGA; CHG A; Chromogranin A parathyroid secretory protein 1; Chromogranin A precursor; ChromograninA; Pancreastatin; Parastatin; Parathyroid secretory protein 1; Pituitary secretory protein I; SP I; SP1; SPI; Vasostatin; ER-37; CMGA_HUMAN.
Application Dilution
WB 1:300-5000
IHC-P 1:200-400
IHC-F 1:100-500
IF