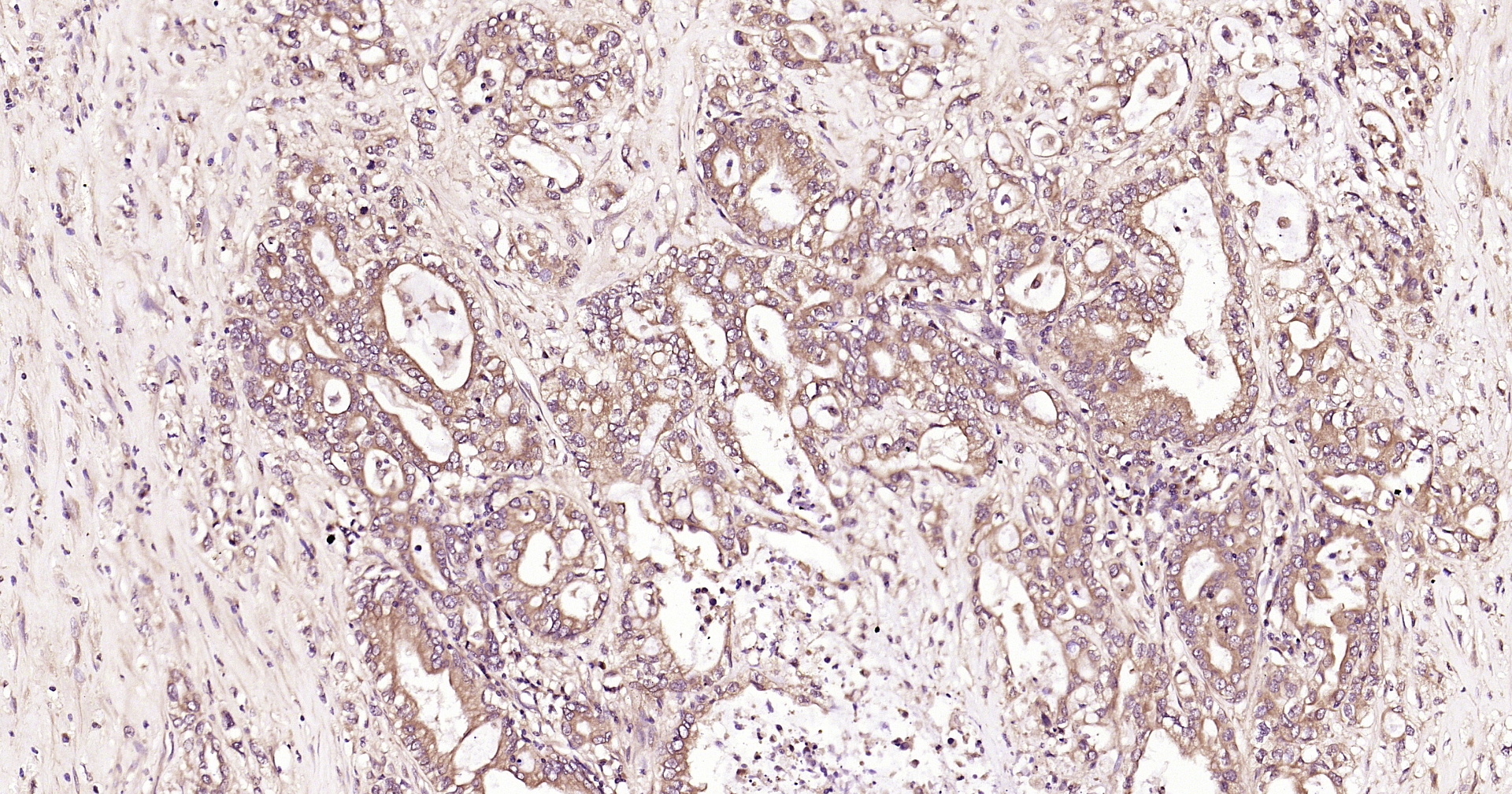
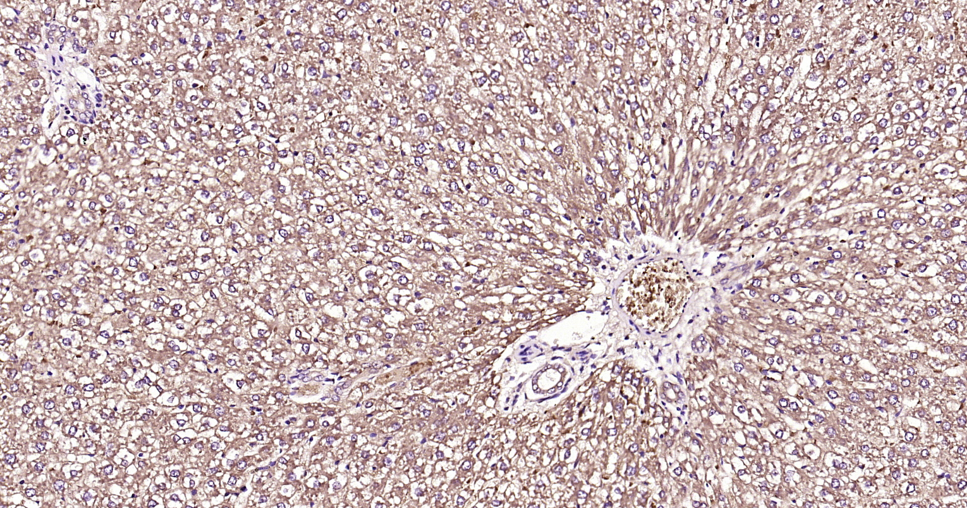
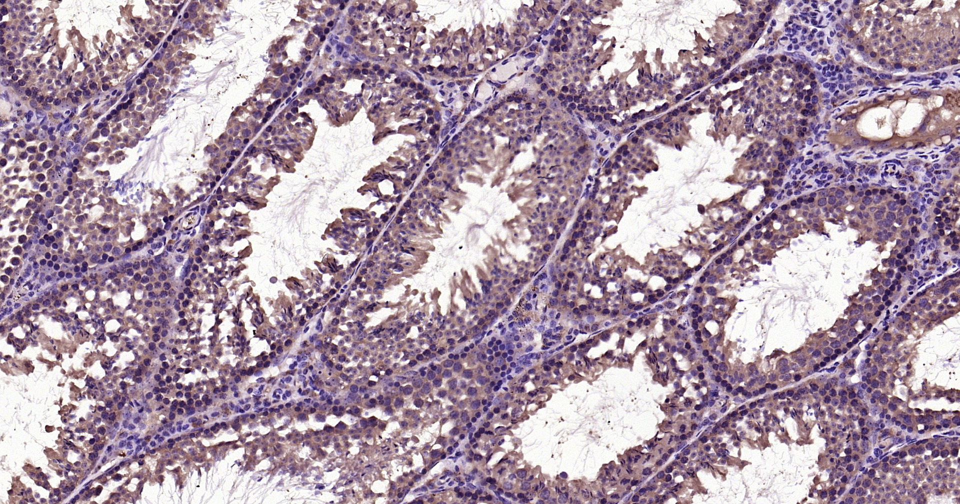
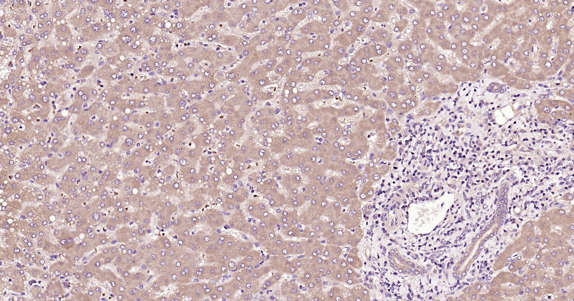
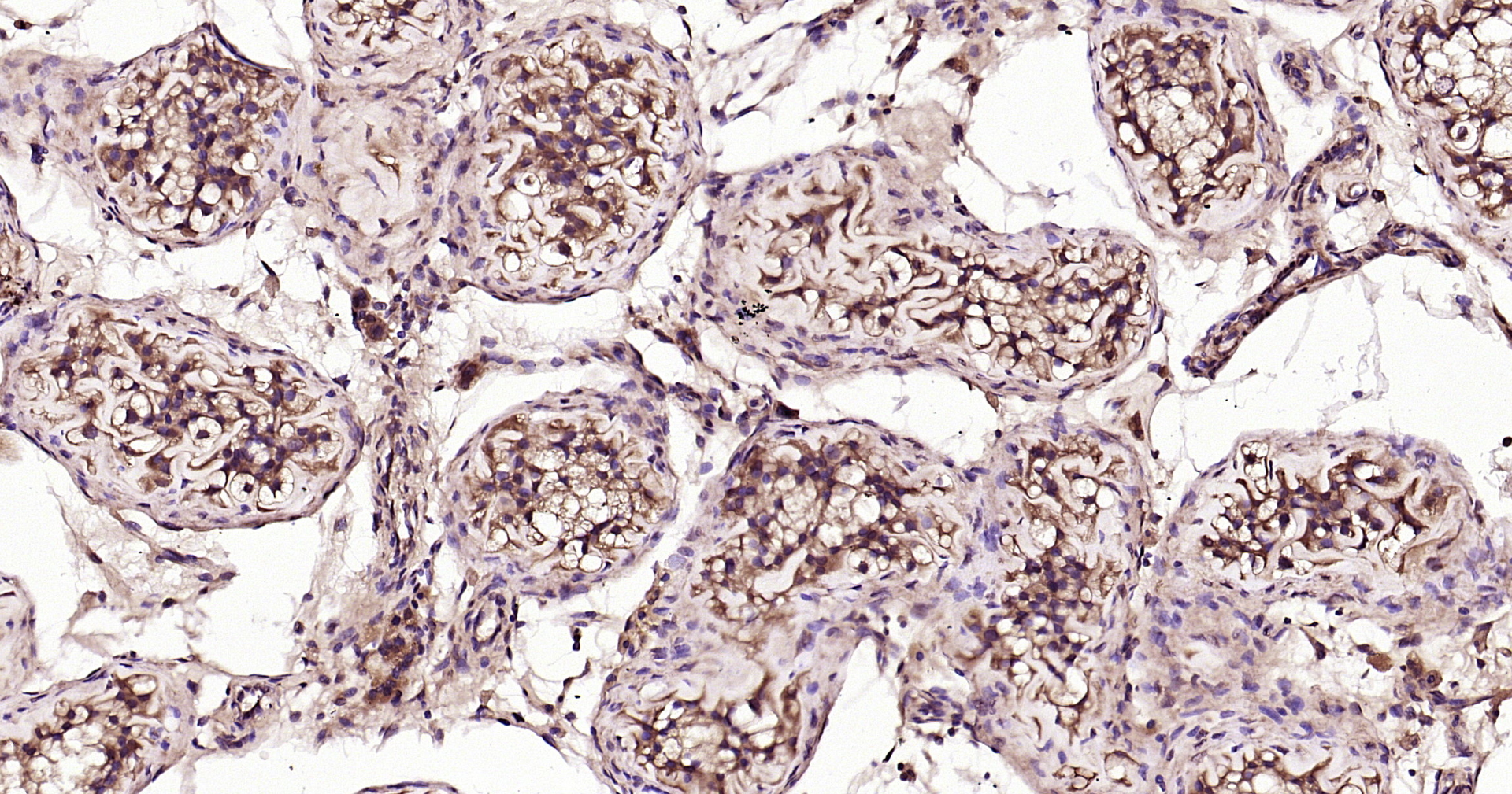
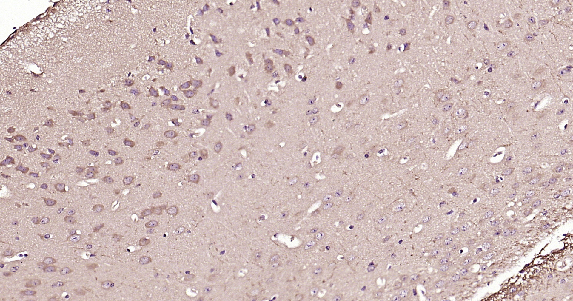
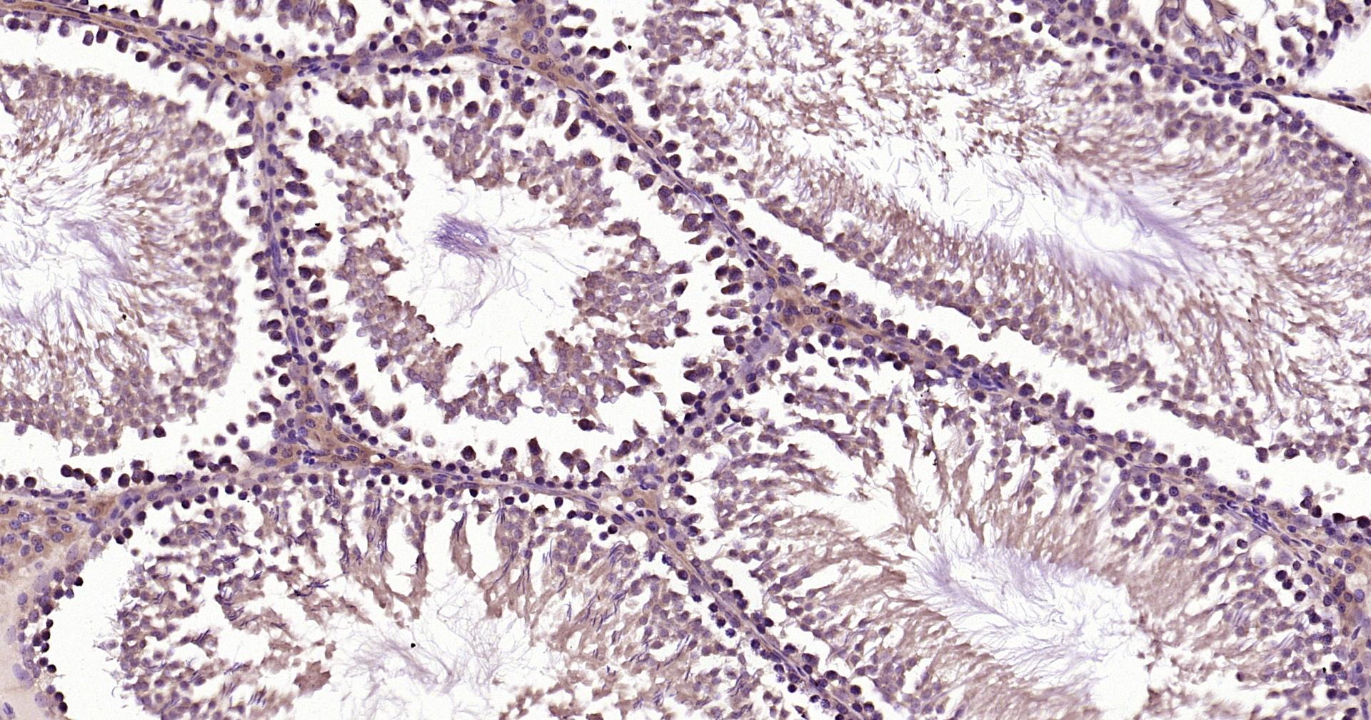
TBK1 Recombinant Antibody
Applications
Reactivity
| Overview | |
| Catalog # | bsm-60750r-TR |
| Product Name | TBK1 Recombinant Antibody |
| Applications | WB, IHC-P, IHC-F, IF |
| Reactivity | Human, Mouse, Rat |
| Specifications | |
| Conjugation | Unconjugated |
| Host | Rabbit |
| Source | A synthesized peptide derived from human TBK1 |
| Clonality | Recombinant |
| Isotype | IgG |
| Concentration | 1mg/ml |
| Purification | Purified by Protein A. |
| Storage Buffer | 0.01M TBS (pH7.4) with 1% BSA, 0.02% Proclin300 and 50% Glycerol. |
| Storage Condition | Shipped at 4C. Store at -20C for one year. Avoid repeated freeze/thaw cycles. |
| Target | |
| Gene ID | 29110 |
| Swiss Prot | Q9UHD2 |
| Subcellular location | Cytoplasm |
| Synonyms | EC 2.7.11.1; FLJ11330; NAK; NF kappa B activating kinase; NF kB activating kinase; NF-kappa-B-activating kinase; Serine/threonine protein kinase TBK 1; Serine/threonine protein kinase TBK1; Serine/threonine-protein kinase TBK1; T2K; TANK binding kinase 1; TANK-binding kinase 1; TBK 1; TBK1_HUMAN. |
| Application Dilution | |
| WB | 1:300-5000 |
| IHC-P | 1:200-400 |
| IHC-F | 1:100-500 |
| IF | |