Receive 30% off all Monoclonal IHC antibodies with code "MONO-IHC-30"! Offer valid for US customers and available internationally through distributors.

CD45 Monoclonal Antibody

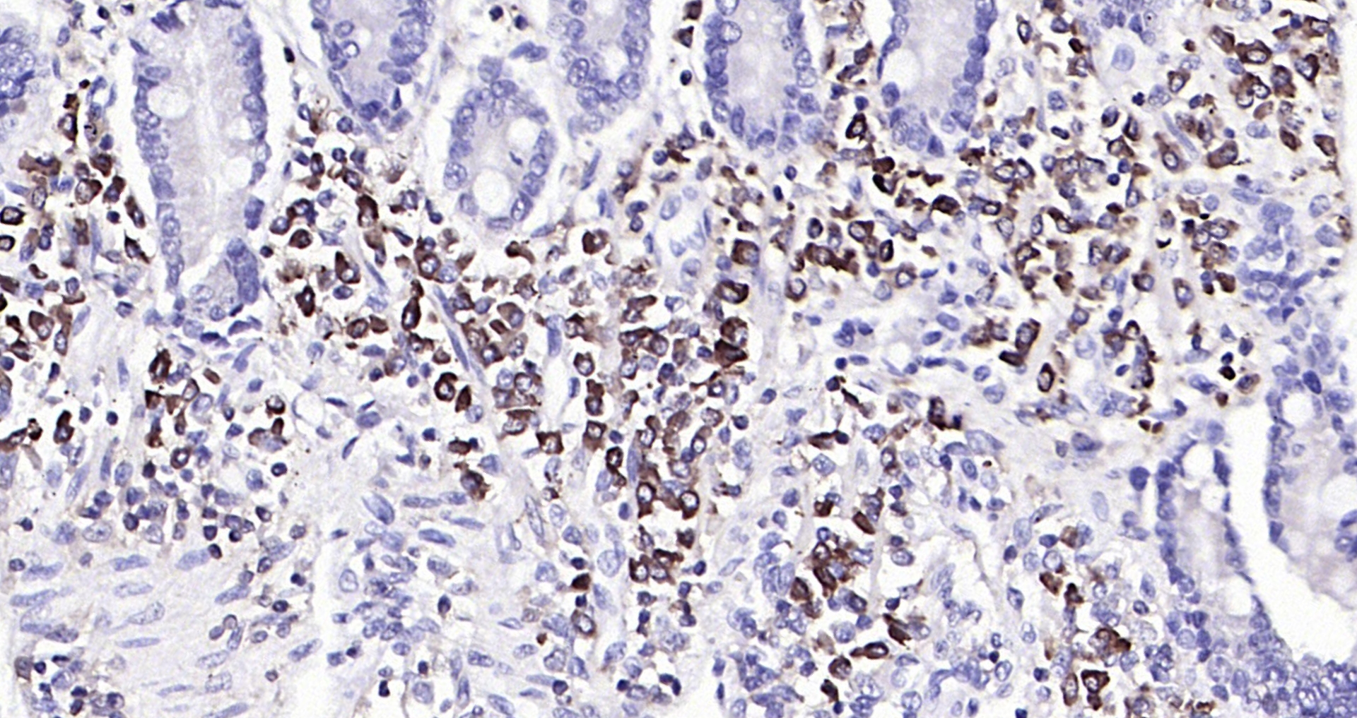
Applications

  • IHC-P

Reactivity

  • Human
Overview
Catalog # bsm-60765R
Product Name CD45 Monoclonal Antibody
Applications IHC-P
Reactivity Human
Specifications
Conjugation Unconjugated
Host Rabbit
Source KLH conjugated synthetic peptide derived from human CD45
Clonality Monoclonal
Clone # #REF!
Isotype IgG
Concentration 1mg/ml
Purification Purified by Protein A.
Storage Buffer 0.01M TBS(pH7.4) with 1% BSA, 0.02% Proclin300 and 50% Glycerol.
Storage Condition Shipped at 4_. Store at -20 C for one year. Avoid repeated freeze/thaw cycles.
Target
Gene ID 5788
Swiss Prot P08575
Synonyms B220; CD 45; CD-45; cd45 antigen; ec3.1.3.48; CD45R; GP180; GP180; GP 180; L CA; LCA; L-CA; Leukocyte common antigen; LY5; Ly-5 glycoprotein; Protein tyrosine phosphatase receptor type C; Protein tyrosine phosphatase receptor type c polypeptide; protein tyrosine phosphatase, receptor type, C; Receptor-type tyrosine-protein phosphatase C; PTPRC; PTPRC_HUMAN; SCID due to PTPRC deficiency; T200; T200 glycoprotein; T200 leukocyte common antigen; Human homolog of severe combined immunodeficiency due to PTPRC deficiency.
Application Dilution
IHC-P 1:100-500