AACT Recombinant Antibody
Applications
Reactivity
| Overview | |
| Catalog # | bsm-60780r-100ul |
| Product Name | AACT Recombinant Antibody |
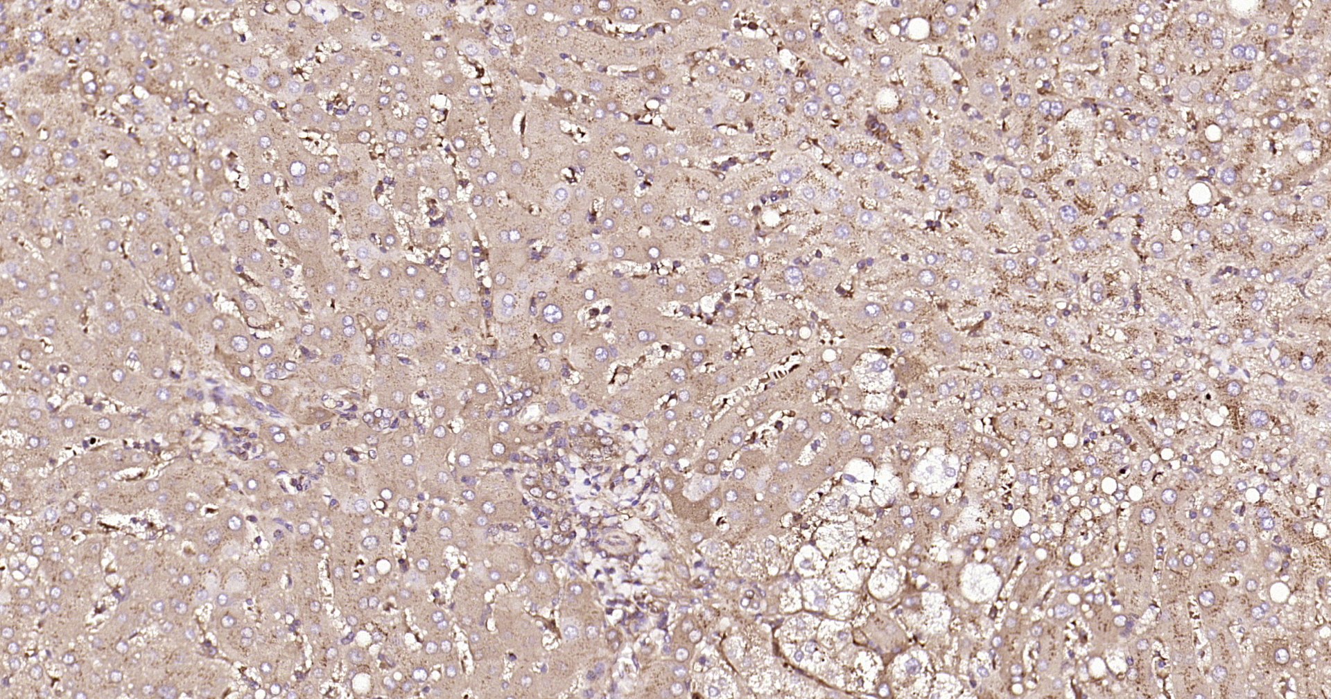
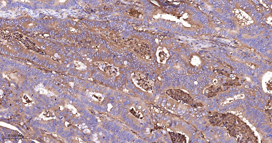
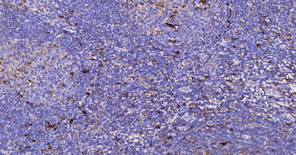
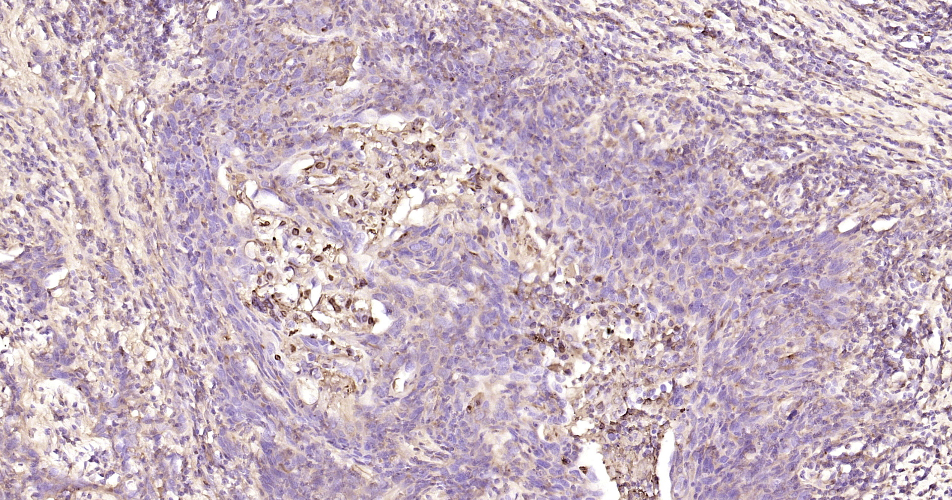
| Applications | WB, IHC-P, IHC-F, IF(IHC-P) |
| Reactivity | Human |
| Specifications | |
| Conjugation | Unconjugated |
| Host | Rabbit |
| Source | Full length native Protein |
| Clonality | Recombinant |
| Isotype | IgG |
| Concentration | 1mg/ml |
| Purification | Purified by Protein A. |
| Storage Buffer | PBS, Glycerol, BSA. |
| Storage Condition | Shipped at 4C. Store at -20C for one year. Avoid repeated freeze/thaw cycles. |
| Target | |
| Gene ID | 12 |
| Swiss Prot | P01011 |
| Subcellular location | Secreted |
| Synonyms | AACT_HUMAN; SERPINA3; alpha-1-antichymotrypsin; ACT; Cell growth-inhibiting gene 24/25 protein; Serpin A3; GIG24; GIG25; serpin family A member 3; |
| Application Dilution | |
| WB | 1:2000-10000 |
| IHC-P | IHC-P1:200-800 |
| IHC-F | IHC-F1:200-800 |
| IF(IHC-P) | IFIHC-P1:200-800 |