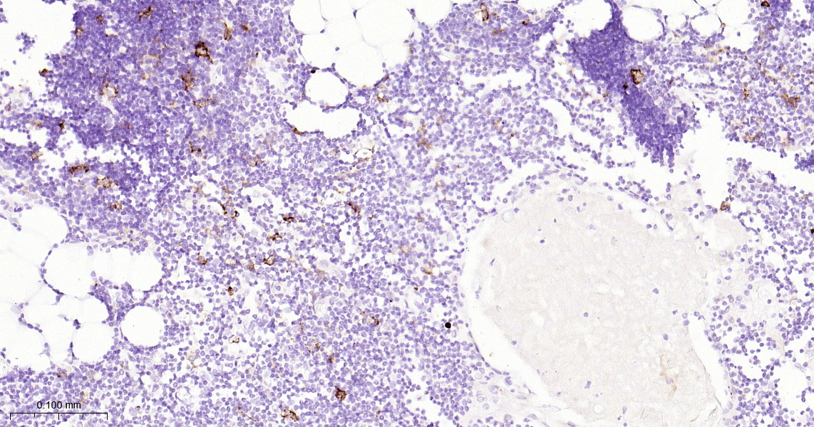
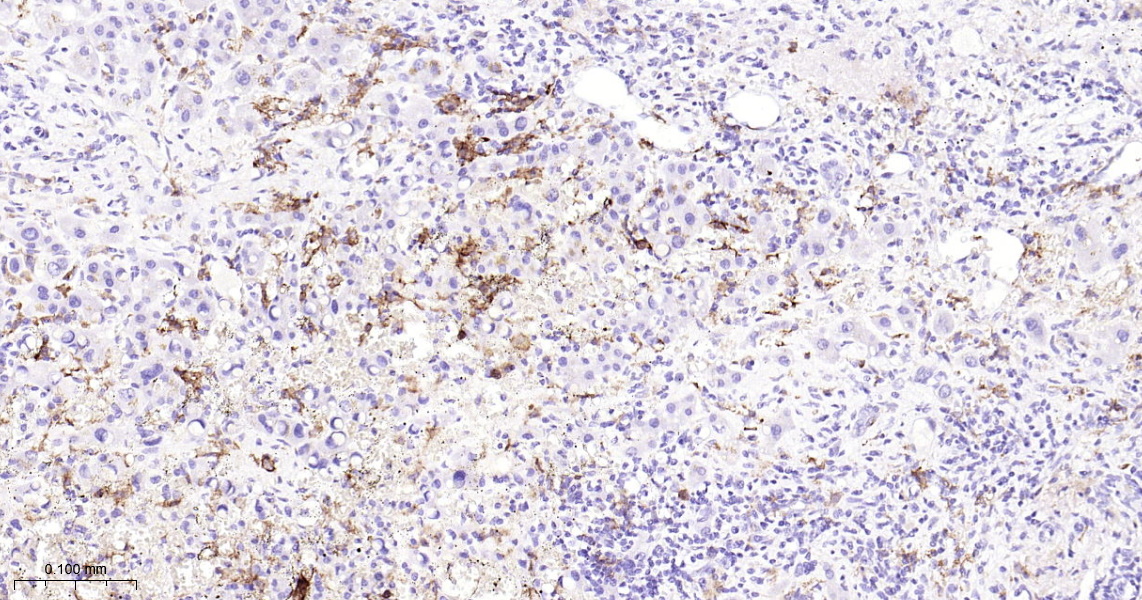
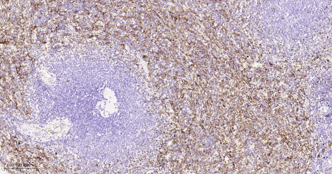
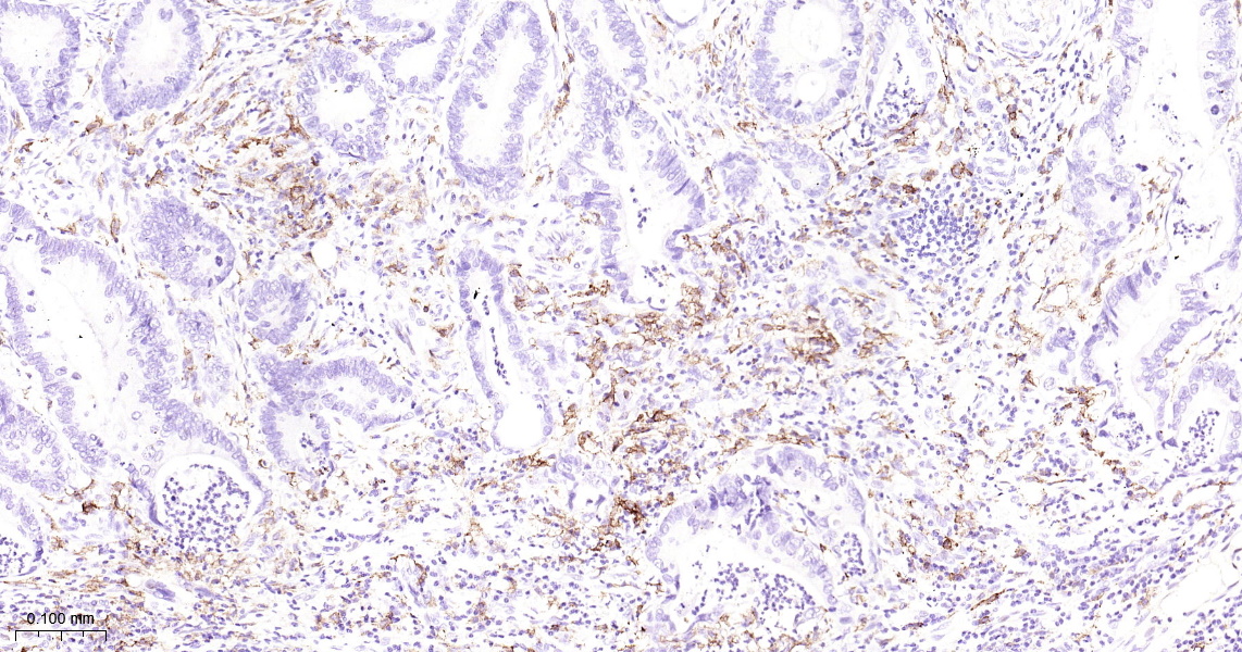
CD16a Monoclonal Antibody
Applications
Reactivity
| Overview | |
| Catalog # | bsm-60782r |
| Product Name | CD16a Monoclonal Antibody |
| Applications | IHC-P, IHC-F, IF |
| Reactivity | Human |
| Specifications | |
| Conjugation | Unconjugated |
| Host | Rabbit |
| Source | KLH conjugated synthetic peptide derived from human IGFR3/CD16 |
| Clonality | Monoclonal |
| Clone # | B12F4 |
| Isotype | IgG |
| Concentration | 1mg/ml |
| Purification | Purified by Protein A. |
| Storage Buffer | PBS, Glycerol, BSA |
| Storage Condition | Shipped at 4C. Store at -20C for one year. Avoid repeated freeze/thaw cycles. |
| Target | |
| Gene ID | 2214 |
| Swiss Prot | P08637 |
| Subcellular location | Secreted, Cell membrane |
| Synonyms | FCG3A_HUMAN; Low affinity immunoglobulin gamma Fc region receptor III-A; CD16a antigen; Fc-gamma RIII-alpha; Fc-gamma RIII; Fc-gamma RIIIa; FcRIII; FcRIIIa; FcR-10; IgG Fc receptor III-2; CD_antigen: D16a; FCGR3A; CD16A; FCG3; FCGR3; CD16; IGFR3. |
| Application Dilution | |
| IHC-P | 1:200-400 |
| IHC-F | 1:100-500 |
| IF | |