RECEIVE 25% OFF PUBLISHED ANTIBODIES WITH CODE "PUB25"! Offer valid for US customers and available internationally through distributors.

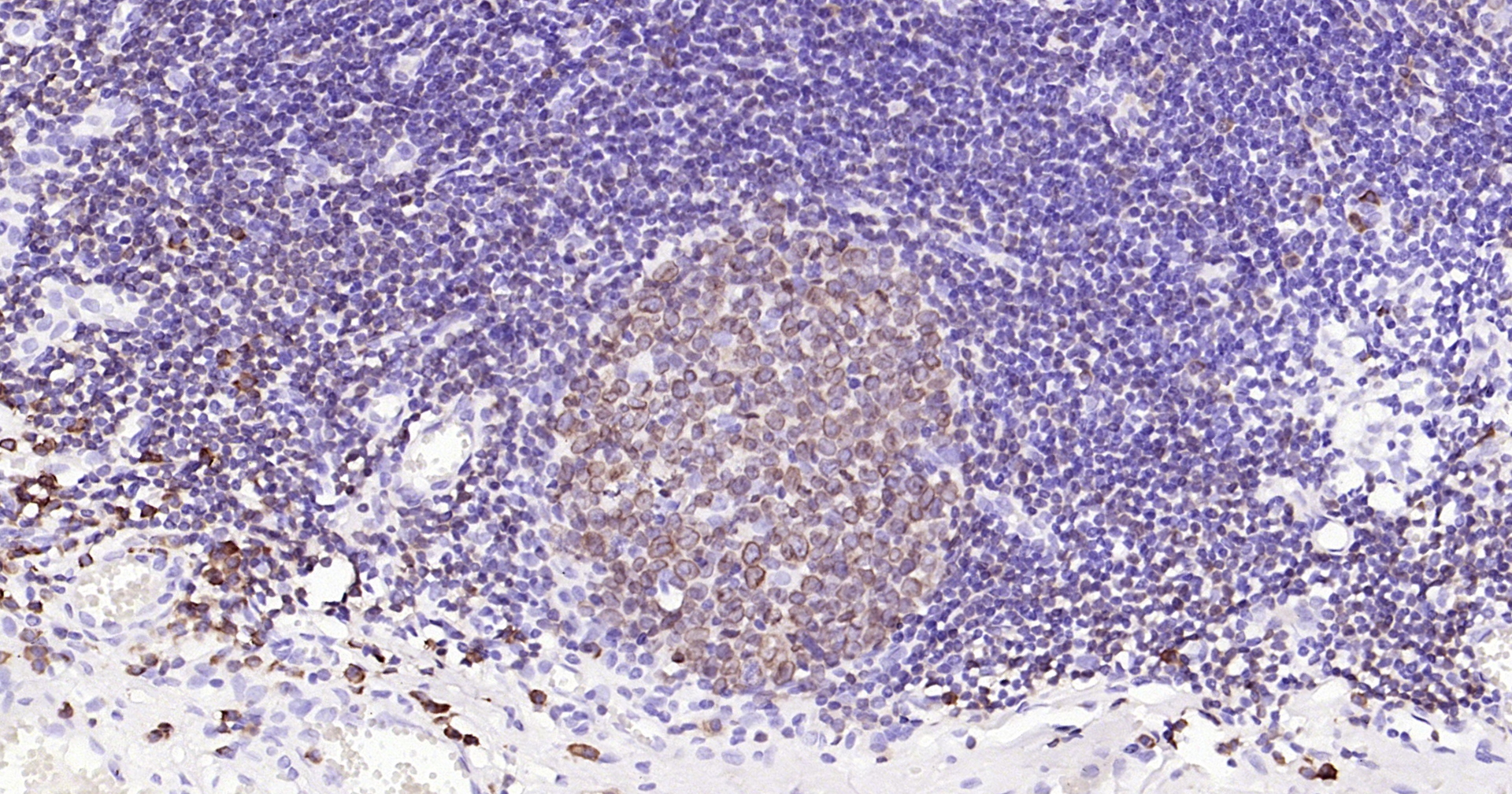
CD79A Monoclonal Antibody

Applications

  • WB
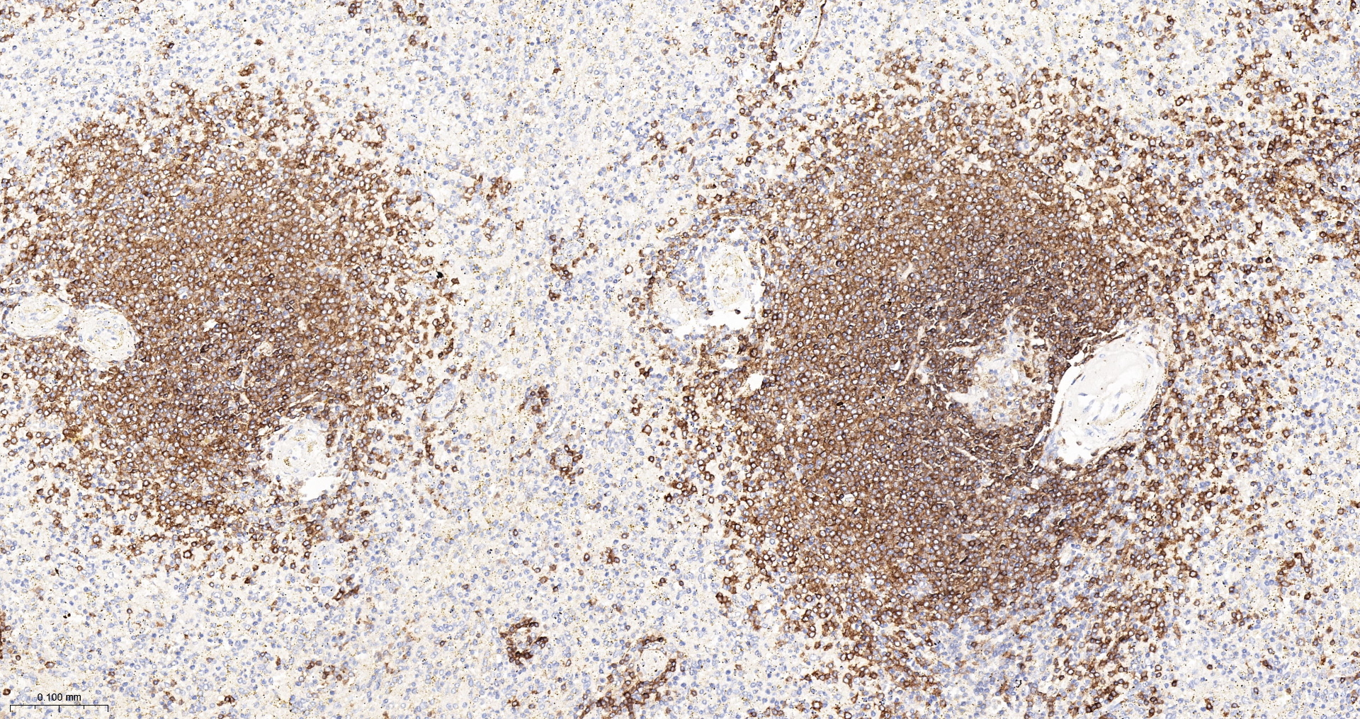
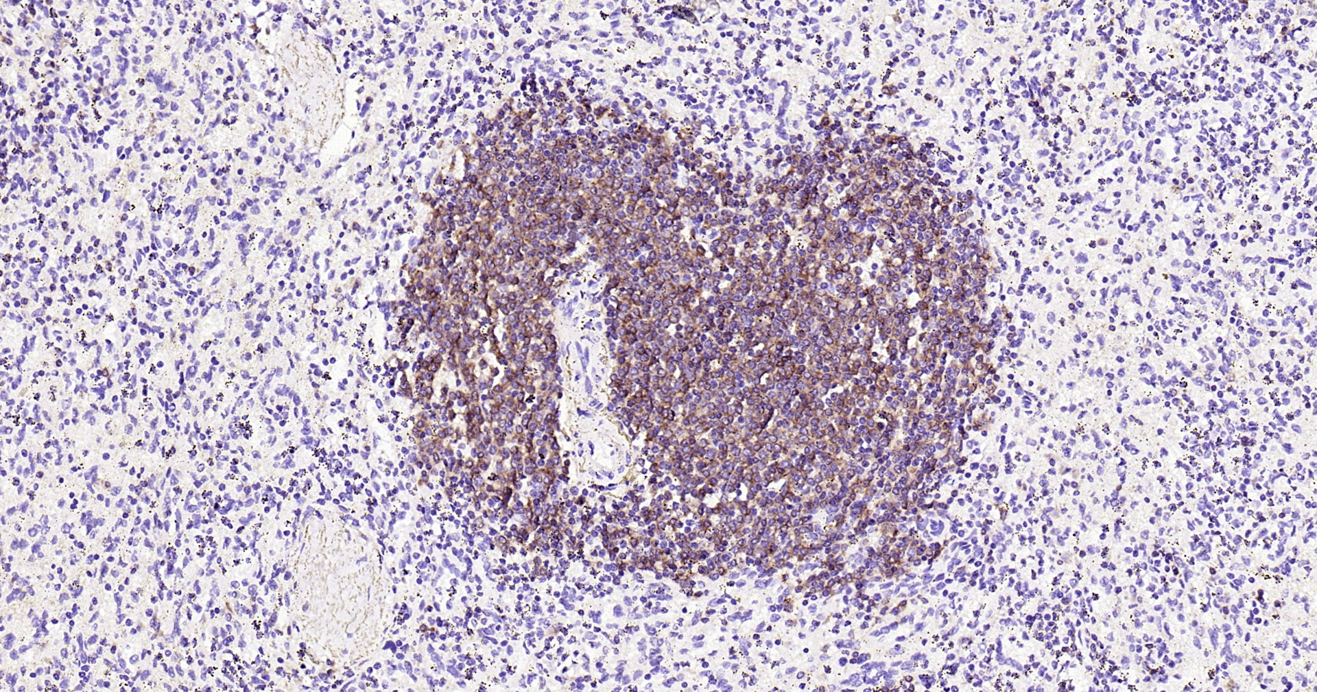
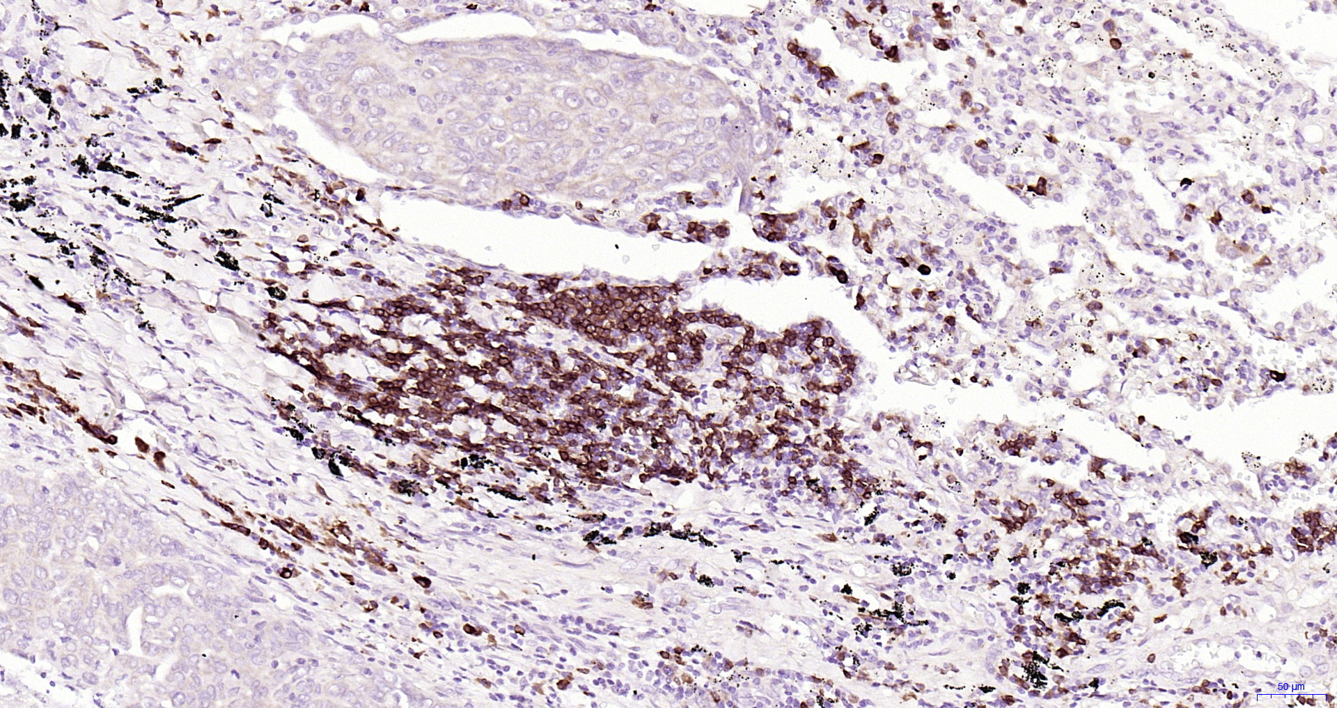
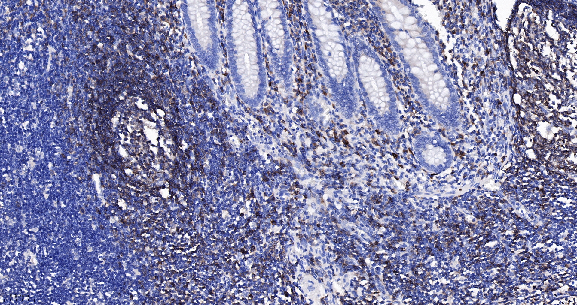
  • IHC-P
  • IHC-F
  • IF(IHC-P)

Reactivity

  • Human
Overview
Catalog # bsm-60791r-100ul
Product Name CD79A Monoclonal Antibody
Applications WB, IHC-P, IHC-F, IF(IHC-P)
Reactivity Human
Specifications
Conjugation Unconjugated
Host Rabbit
Source KLH conjugated synthetic peptide derived from human CD79A
Clonality Monoclonal
Clone # A7D11
Isotype IgG
Concentration 1mg/ml
Purification Purified by Protein A.
Storage Buffer PBS, Glycerol, BSA
Storage Condition Shipped at 4C. Store at -20C for one year. Avoid repeated freeze/thaw cycles.
Target
Gene ID 973
Swiss Prot P11912
Subcellular location Cell membrane
Synonyms B lymphocyte-specific MB1 protein; B-cell antigen receptor complex-associated protein alpha chain; CD 79a; CD79a antigen (immunoglobulin-associated alpha); CD79A antigen; CD79a molecule, immunoglobulin-associated alpha; CD79A_HUMAN; Ig alpha; Ig-alpha; IGA; IgM-alpha; Immunoglobulin-associated alpha; Ly54; MB-1 membrane glycoprotein; MB1; Membrane-bound immunoglobulin-associated protein; Surface IgM-associated protein.
Application Dilution
WB 1:1000-5000
IHC-P IHC-P1:200-800
IHC-F IHC-F1:200-800
IF(IHC-P) IFIHC-P1:200-800