RECEIVE 25% OFF PUBLISHED ANTIBODIES WITH CODE "PUB25"! Offer valid for US customers and available internationally through distributors.

c-Met Recombinant Antibody

Applications

  • WB
  • IHC-P
  • IHC-F
  • IF
  • Flow-Cyt
  • ICC/IF

Reactivity

  • Human
Overview
Catalog # bsm-60793r-100ul
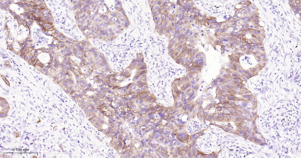
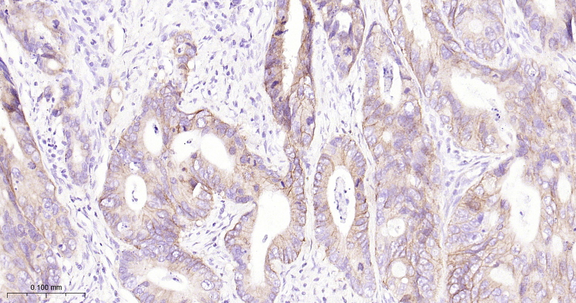
Product Name c-Met Recombinant Antibody
Applications WB, IHC-P, IHC-F, IF, Flow-Cyt, ICC/IF
Reactivity Human
Specifications
Conjugation Unconjugated
Host Rabbit
Source KLH conjugated synthetic peptide derived from human MET
Clonality Recombinant
Isotype IgG
Concentration 1mg/ml
Purification Purified by Protein A.
Storage Buffer PBS, Glycerol, BSA.
Storage Condition Shipped at 4C. Store at -20C for one year. Avoid repeated freeze/thaw cycles.
Target
Gene ID 4233
Swiss Prot P08581
Subcellular location Secreted, Cell membrane
Synonyms MET_HUMAN; Hepatocyte growth factor receptor; EC:2.7.10.1; HGF receptor; HGF/SF receptor; Proto-oncogene c-Met; Scatter factor receptor(SF receptor); Tyrosine-protein kinase Met; MET proto-oncogene, receptor tyrosine kinase; DA11; HGFR; AUTS9; RCCP2; c-Met; c Met; DFNB97;
Application Dilution
WB 1:500-2000
IHC-P 1:100-500
IHC-F 1:100-500
IF 1:100-500
Flow-Cyt 1:50-100
ICC/IF 1:50-200