RECEIVE 25% OFF PUBLISHED ANTIBODIES WITH CODE "PUB25"! Offer valid for US customers and available internationally through distributors.

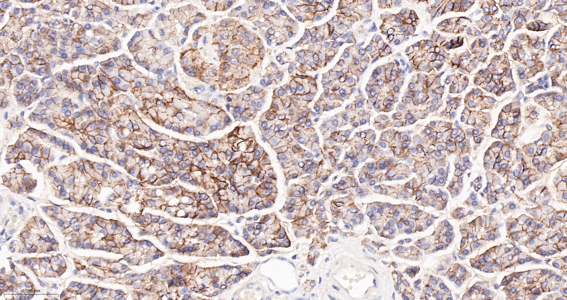
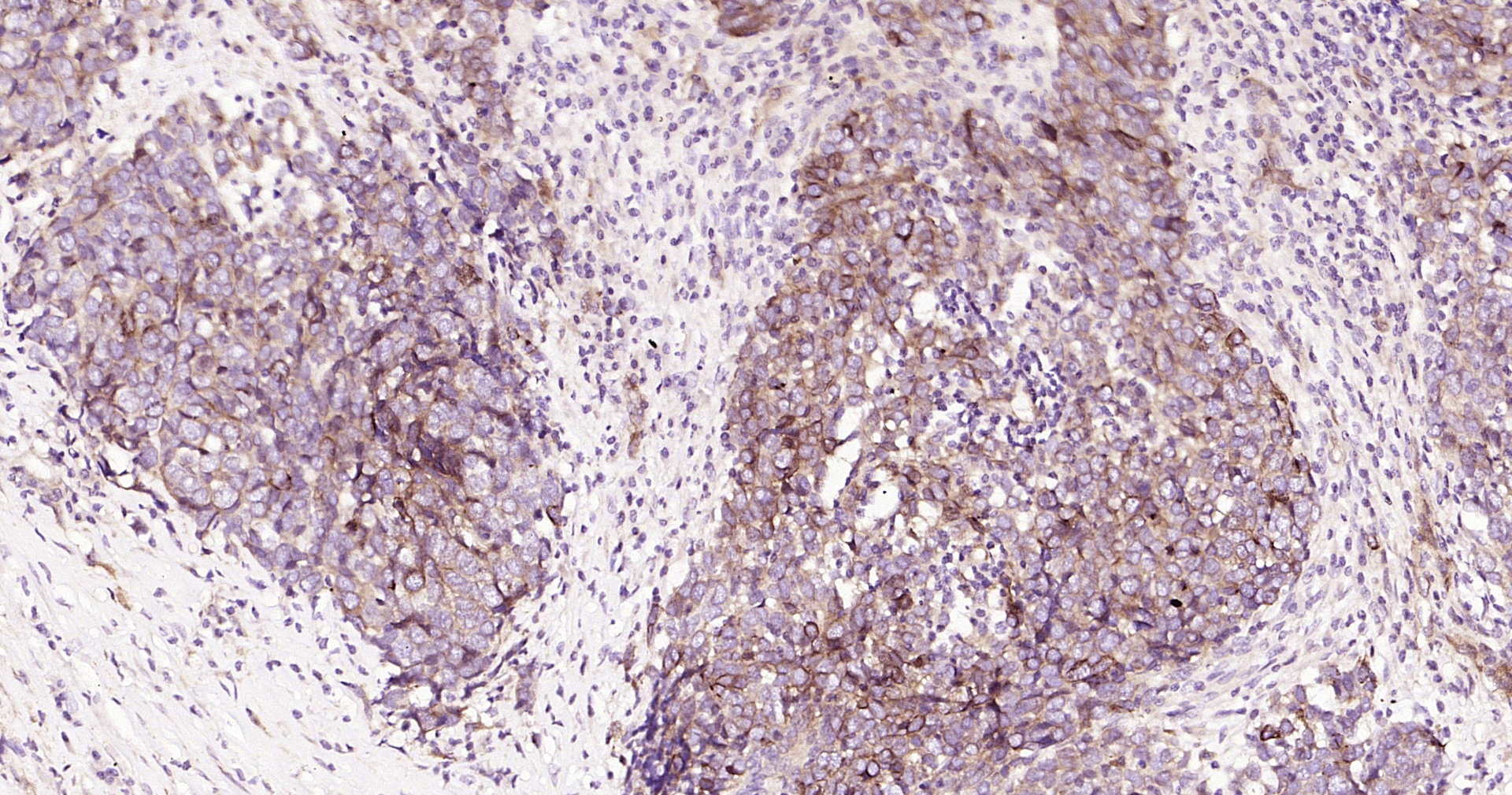
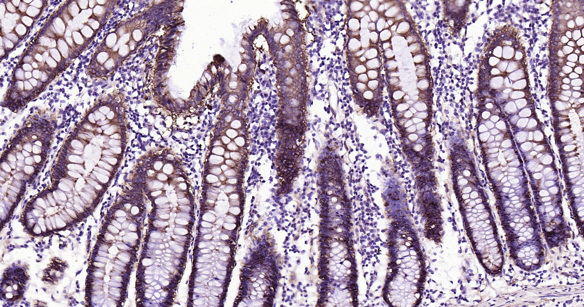
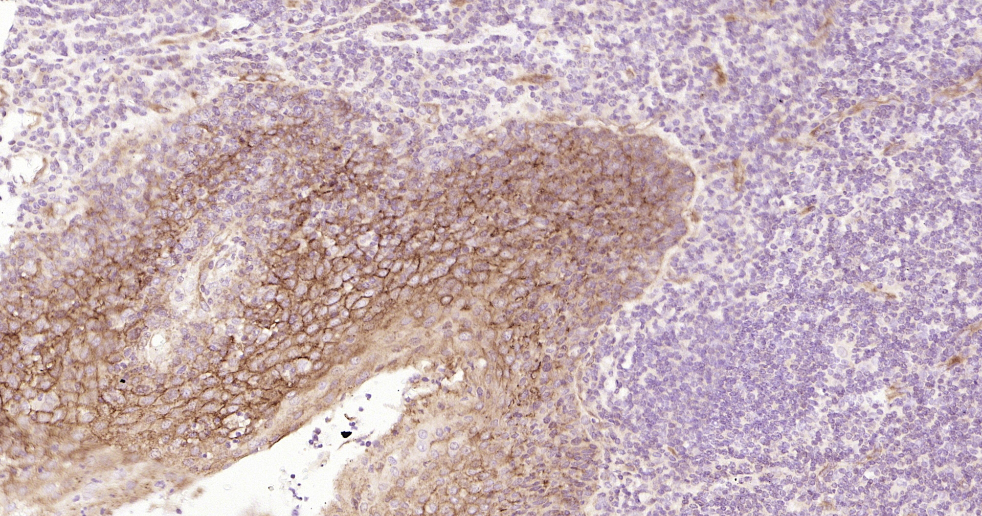
EpCAM Monoclonal Antibody

Applications

  • WB
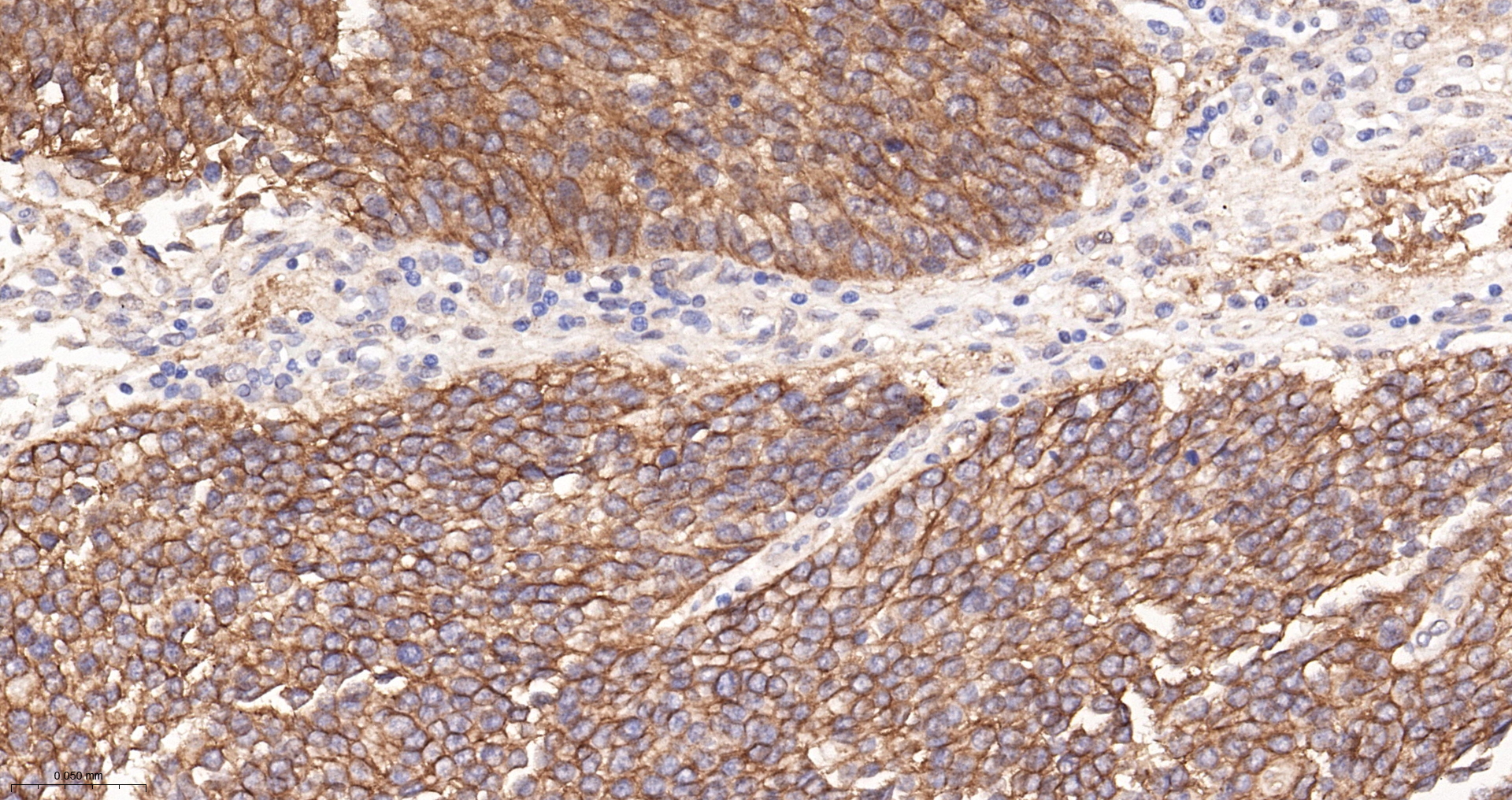
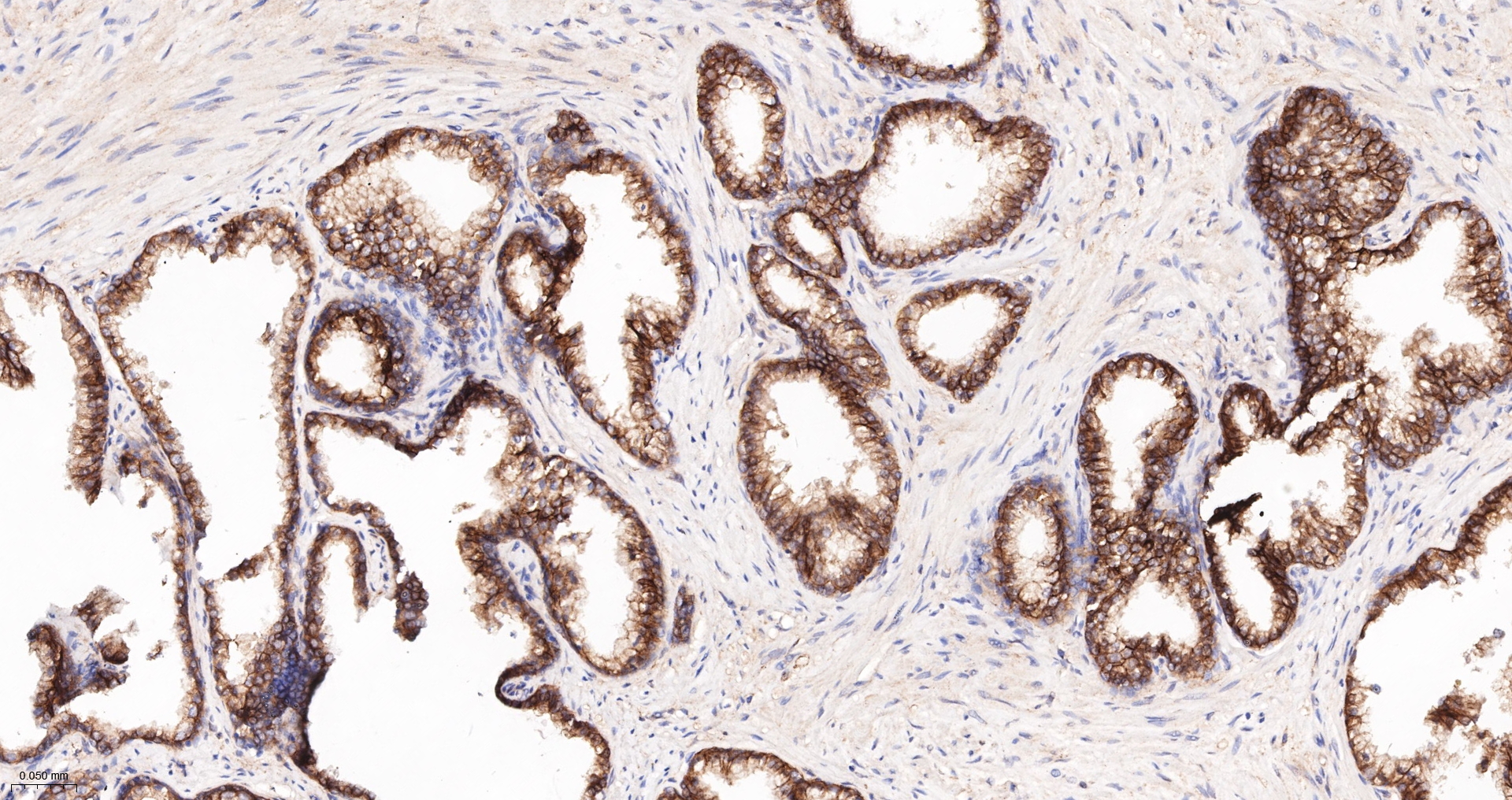
  • IHC-P
  • IHC-F
  • IF(IHC-P)

Reactivity

  • Human
Overview
Catalog # bsm-60797r-100ul
Product Name EpCAM Monoclonal Antibody
Applications WB, IHC-P, IHC-F, IF(IHC-P)
Reactivity Human
Specifications
Conjugation Unconjugated
Host Rabbit
Source KLH conjugated synthetic peptide derived from human EpCAM
Clonality Monoclonal
Clone # C4A12
Isotype IgG
Concentration Lot dependent
Purification Purified by Protein A.
Storage Buffer 0.01M TBS(pH7.4) with 1% BSA, 0.02% Proclin300 and 50% Glycerol.
Storage Condition Store at 4°C for up to 2 weeks. For long term storage, store at -20°C in small aliquots to prevent freeze-thaw cycles.
Target
Gene ID 4072
Swiss Prot Q99JW5
Subcellular location Cell membrane
Synonyms Epithelial Specific Antigen; ESA; epithelial cell adhesion molecule; Tumor-associated calcium signal transducer 1EPCAM; EGP; KSA; M4S1; MH99; MK-1; 17-1A; CD326 ; EGP-2; EGP34; EGP40; KS1/4; MIC18; MOC31; TROP1;323/A3; CO-17A; Ep-CAM; HEA125; hEGP-2; CO17-1A; GA733-2; TACST-1; TACSTD1; ESA; KSA; M4S1; MK-1; DIAR5; TROP1; EGP314; HNPCC8; EPCAM_HUMAN.
Background This gene encodes a carcinoma-associated antigen and is a member of a family that includes at least two type I membrane proteins. This antigen is expressed on most normal epithelial cells and gastrointestinal carcinomas and functions as a homotypic calcium-independent cell adhesion molecule. The antigen is being used as a target for immunotherapy treatment of human carcinomas. Mutations in this gene result in congenital tufting enteropathy. [provided by RefSeq, Dec 2008]
Application Dilution
WB 1:1000-2000
IHC-P IHC-P1:200-800
IHC-F IHC-F1:200-800
IF(IHC-P) IFIHC-P1:200-800