RECEIVE 25% OFF PUBLISHED ANTIBODIES WITH CODE "PUB25"! Offer valid for US customers and available internationally through distributors.

SOD1 Recombinant Antibody

Applications

  • WB
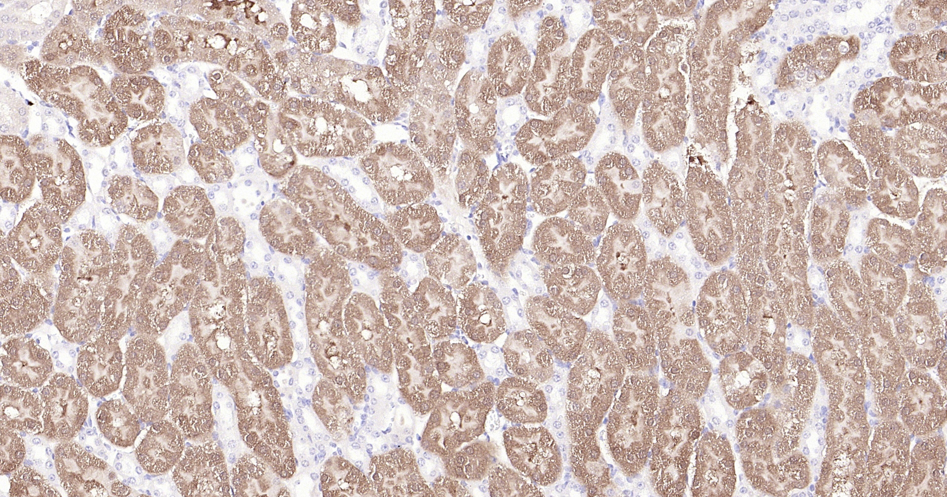
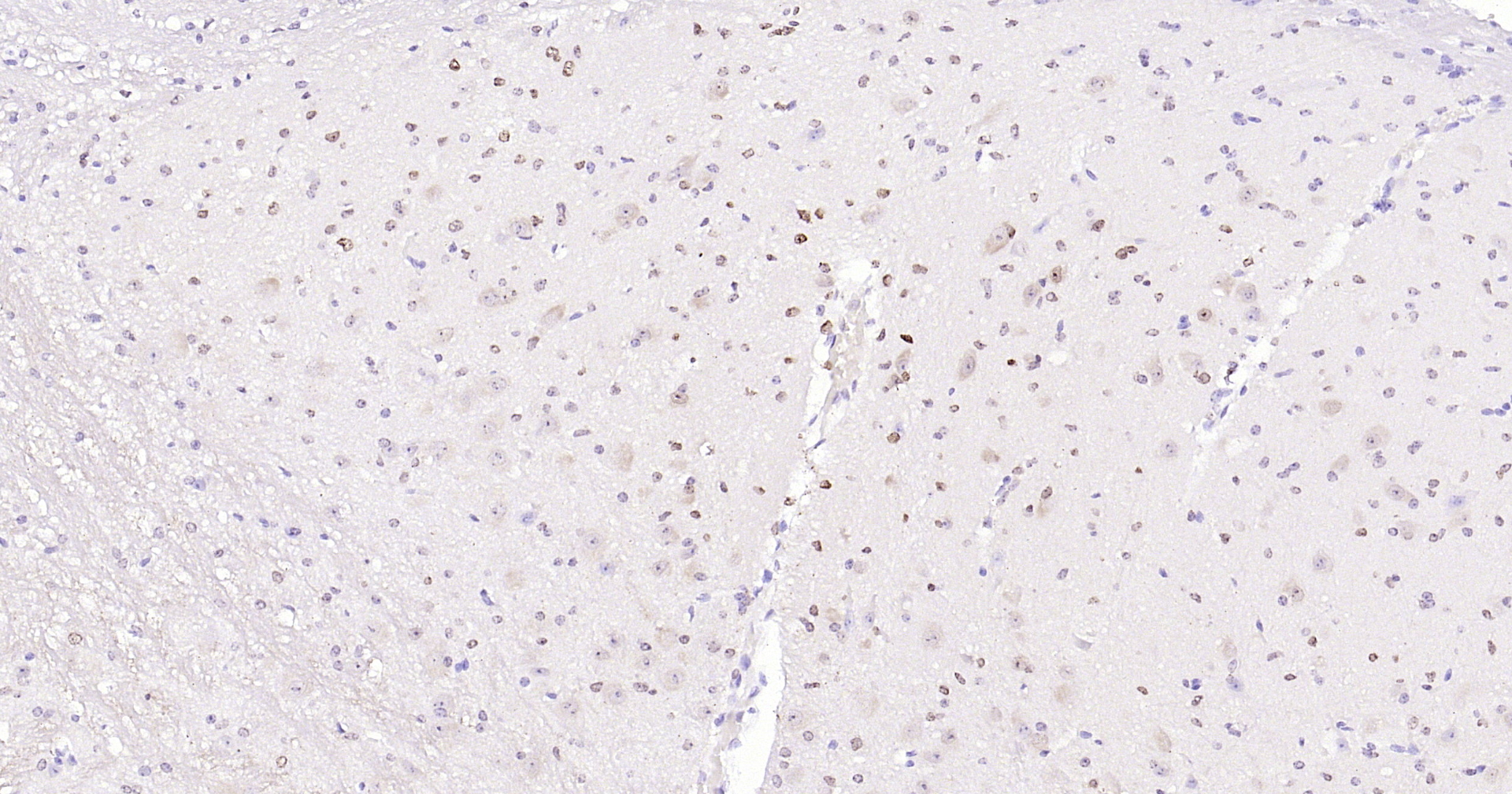
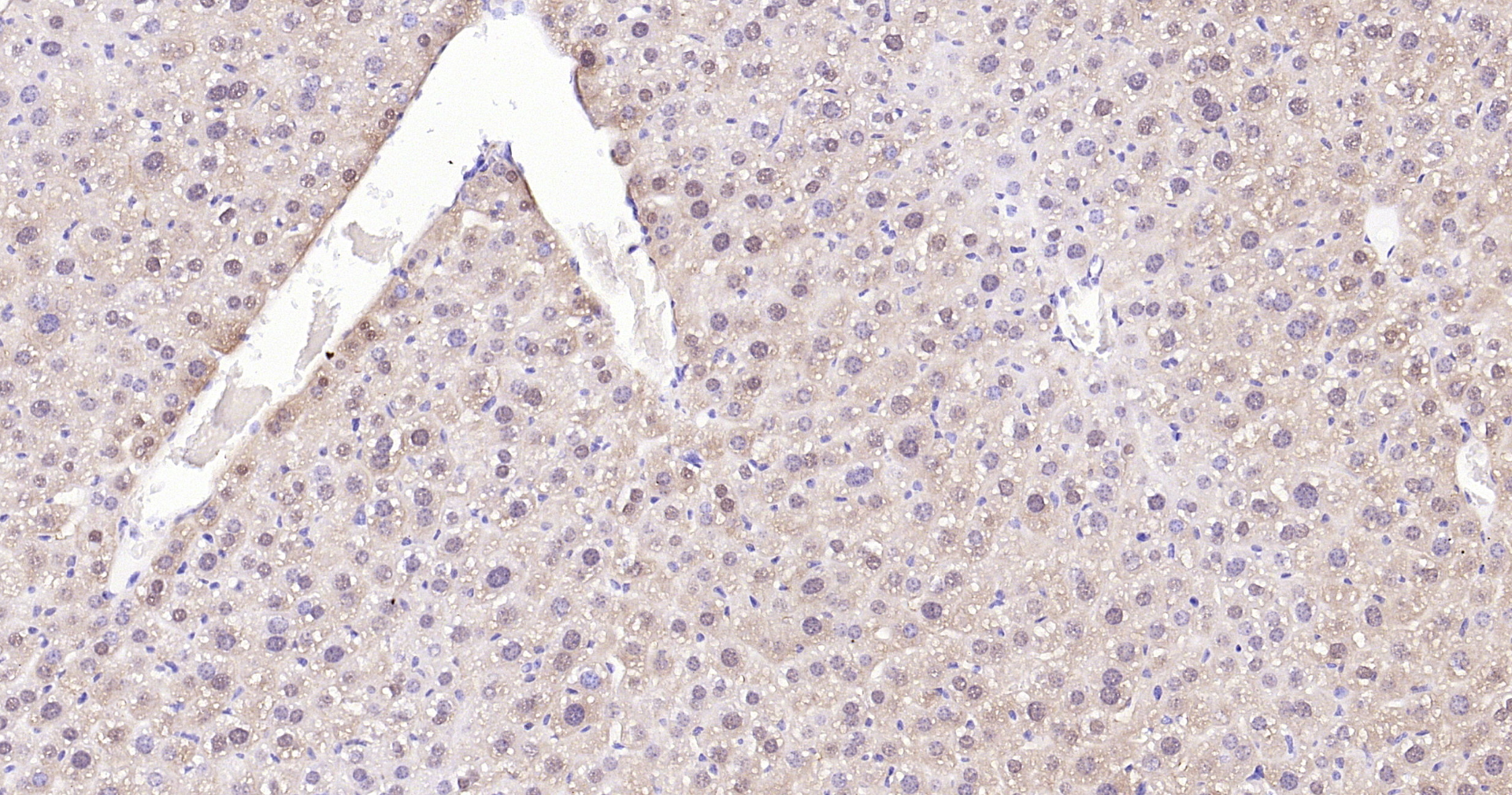
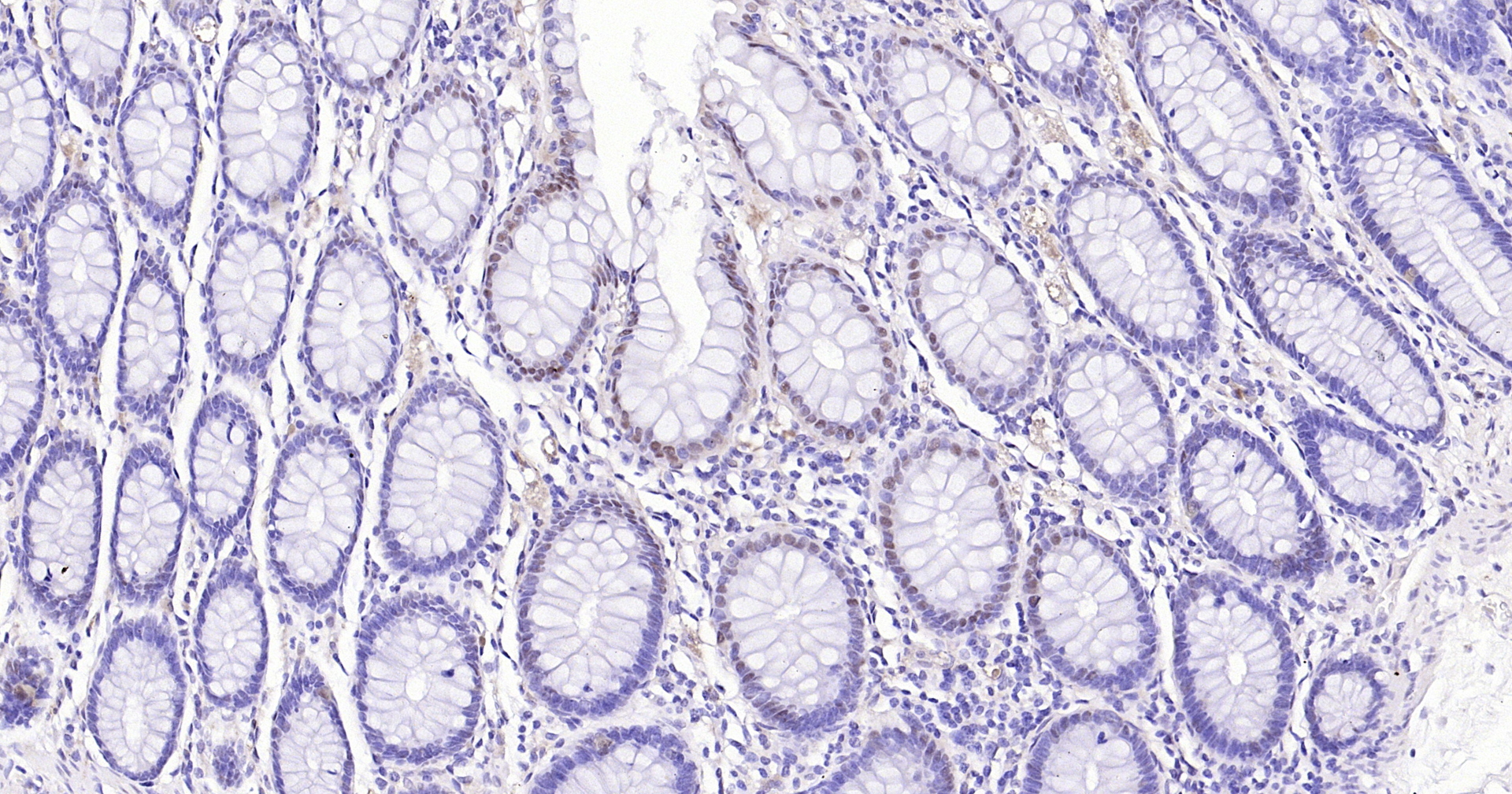
  • IHC-P
  • IHC-F
  • IF(IHC-P)

Reactivity

  • Human
  • Mouse

Predicted Reactivity

  • Rat
Overview
Catalog # bsm-60838r-100ul
Product Name SOD1 Recombinant Antibody
Applications WB, IHC-P, IHC-F, IF(IHC-P)
Reactivity Human, Mouse
Predicted Reactivity Rat
Specifications
Conjugation Unconjugated
Host Rabbit
Source KLH conjugated synthetic peptide derived from human SOD1
Clonality Recombinant
Isotype IgG
Concentration 1mg/ml
Purification Purified by Protein A.
Storage Buffer 0.01M TBS (pH 7.4), 1% BSA, 0.02% Proclin 300, and 50% Glycerol
Storage Condition Shipped at 4C. Store at -20C for one year. Avoid repeated freeze/thaw cycles.
Target
Gene ID 6647
Swiss Prot P00441
Subcellular location Cytoplasm, Nucleus
Synonyms Superoxide Dismutase 1; ALS 1; ALS; ALS1; Amyotrophic lateral sclerosis 1 adult; Amyotrophic lateral sclerosis 1; Cu/Zn SOD; Cu/Zn superoxide dismutase; Homodimer; Indophenoloxidase A; IPOA; Mn superoxide dismutase; SOD 1; SOD; SOD soluble;SOD2; SODC; Soluble indophenoloxidase A; Superoxide dismutase 1; Superoxide dismutase 1 soluble; Superoxide dismutase Cu Zn; Superoxide dismutase cystolic; SODC_HUMAN; Superoxide dismutase [Cu-Zn]; hSod1; Ipo1; SODC; Ipo-1; Sod-1; CuZnSOD; Cu/Zn-SOD; MGC107553; B430204E11Rik; superoxide-dimutase-1.
Application Dilution
WB 1:500-1000
IHC-P IHC-P1:100-500
IHC-F IHC-F1:100-500
IF(IHC-P) IFIHC-P1:100-500