RECEIVE 25% OFF PUBLISHED ANTIBODIES WITH CODE "PUB25"! Offer valid for US customers and available internationally through distributors.

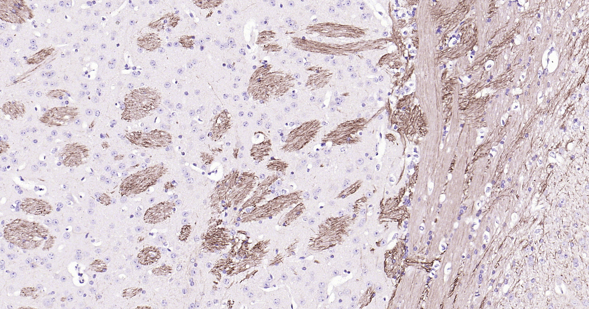
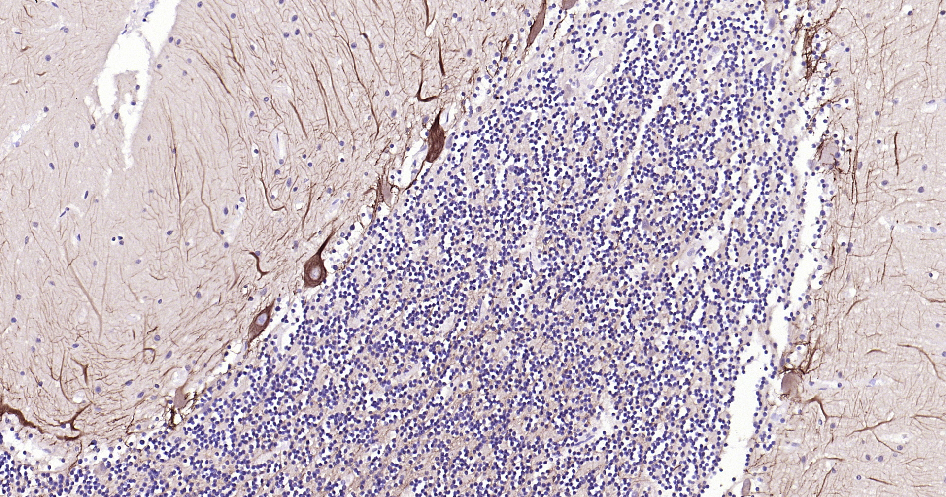
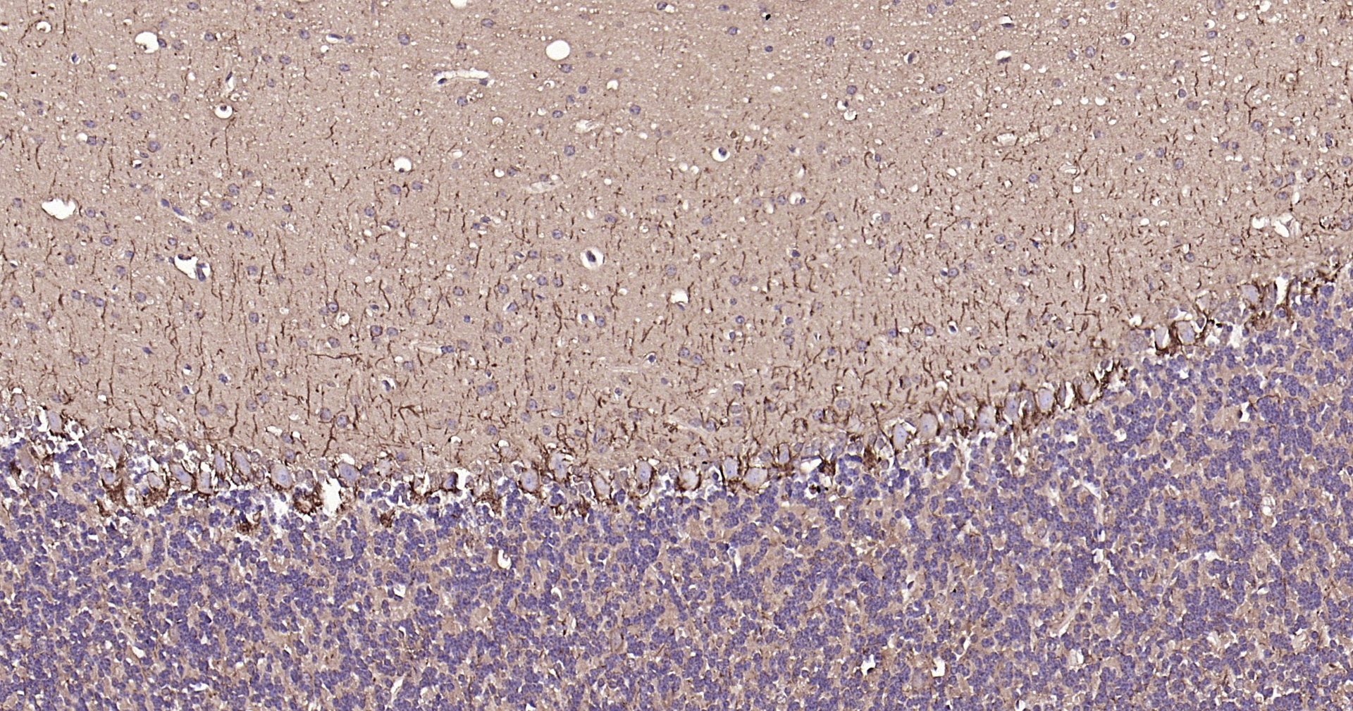
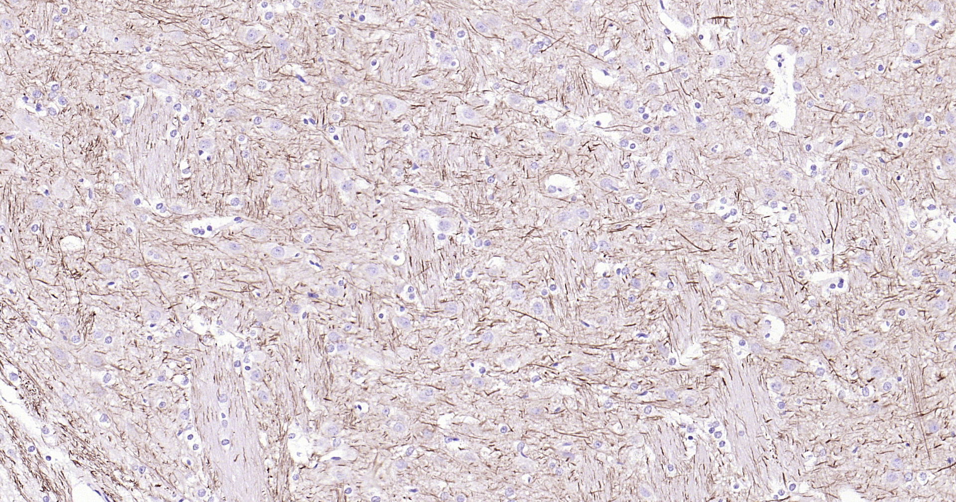
NF-H Recombinant Antibody

Applications

  • IHC-P
  • IHC-F
  • IF(IHC-P)

Reactivity

  • Human
  • Mouse
  • Rat
Overview
Catalog # bsm-60885r-100ul
Product Name NF-H Recombinant Antibody
Applications IHC-P, IHC-F, IF(IHC-P)
Reactivity Human, Mouse, Rat
Specifications
Conjugation Unconjugated
Host Rabbit
Source KLH conjugated synthetic peptide derived from human NF-H
Clonality Recombinant
Isotype IgG
Concentration 1mg/ml
Purification Purified by Protein A.
Storage Buffer 0.01M TBS(pH7.4) with 1% BSA, 0.02% Proclin300 and 50% Glycerol.
Storage Condition Shipped at 4C. Store at -20C for one year. Avoid repeated freeze/thaw cycles.
Target
Gene ID 4744
Swiss Prot P12036
Subcellular location Cytoplasm
Synonyms NFH_HUMAN; Neurofilament heavy polypeptide; NEFH; KIAA0845; NFH; NF H; NF200; NF-200; Neurofilament 200; 200 kDa neurofilament protein; Neurofilament triplet H protein; Neurofilament H; Neurofilament heavy polypeptide 200kD;
Application Dilution
IHC-P 1:200-500
IHC-F IHC-F1:200-500
IF(IHC-P) IFIHC-P1:200-500