RECEIVE 25% OFF PUBLISHED ANTIBODIES WITH CODE "PUB25"! Offer valid for US customers and available internationally through distributors.

DPP4/CD26 Recombinant Antibody

Applications

  • WB
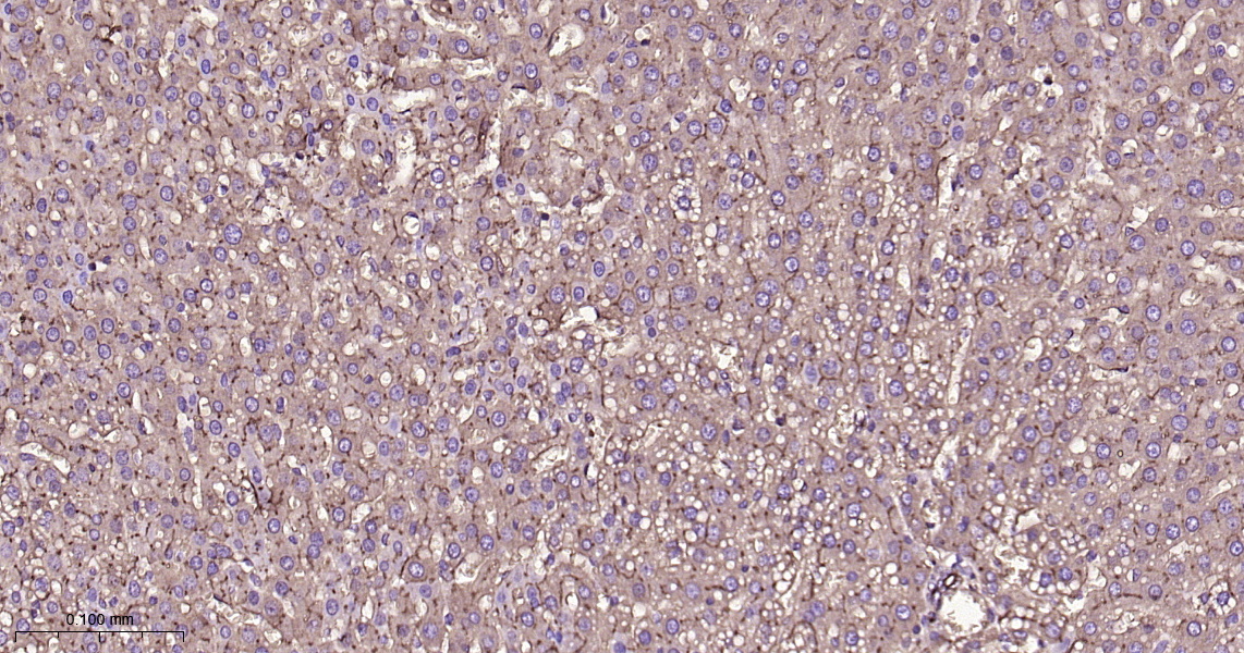
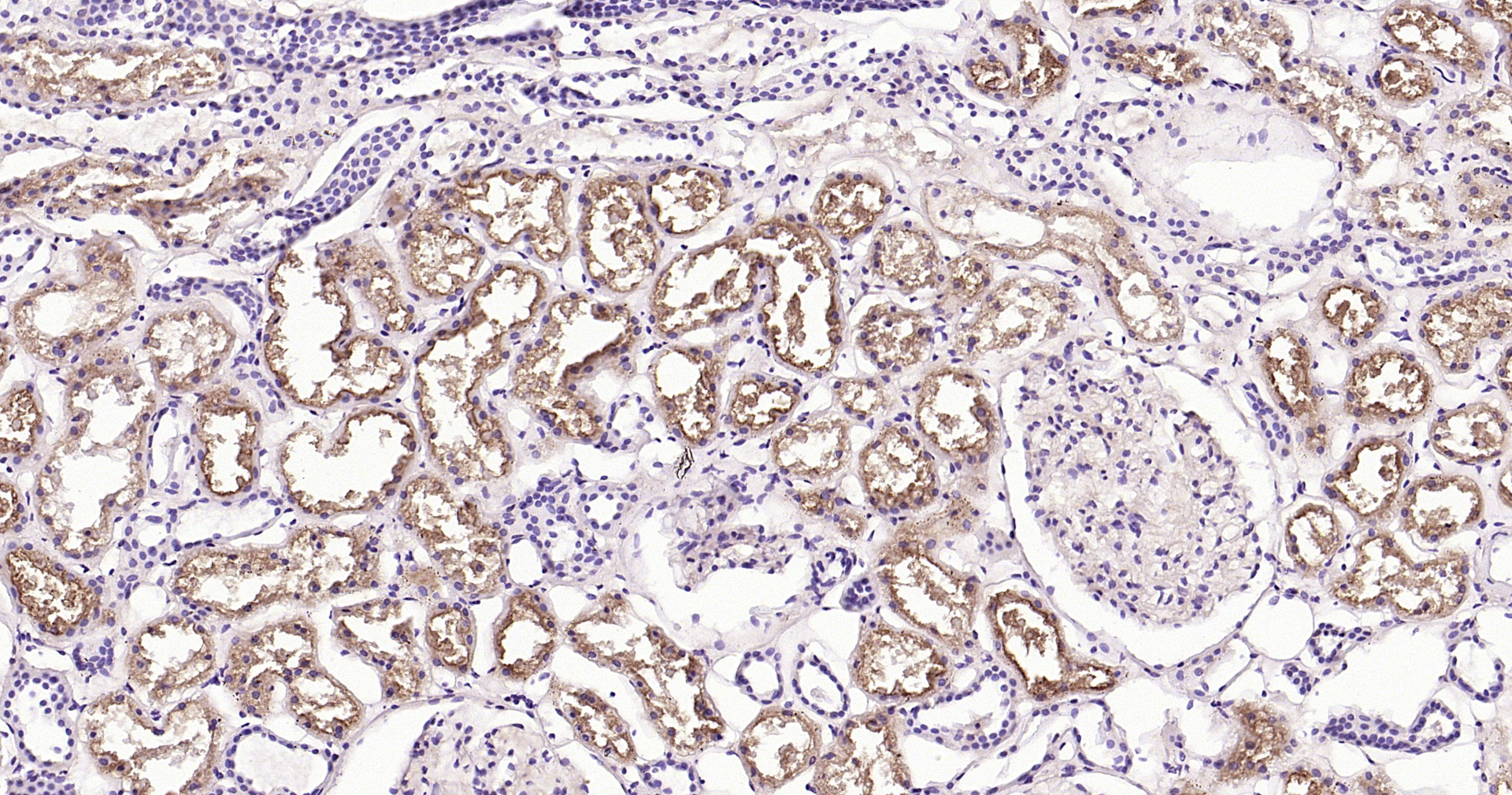
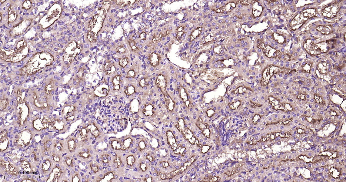
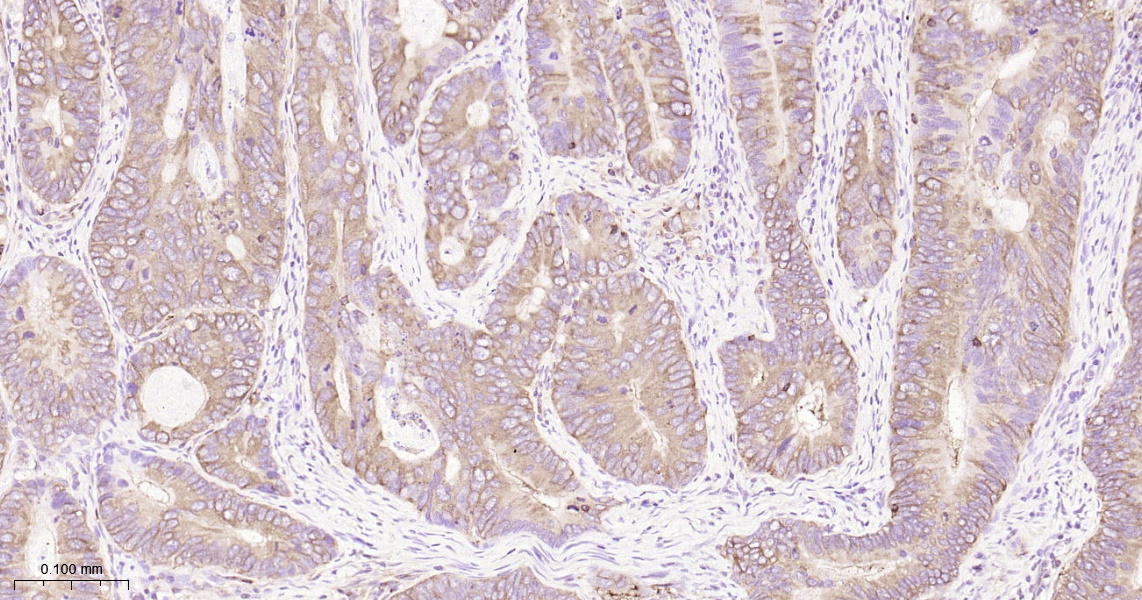
  • IHC-P
  • IHC-F

Reactivity

  • Human
  • Mouse
  • Rat
Overview
Catalog # bsm-60915r-100ul
Product Name DPP4/CD26 Recombinant Antibody
Applications WB, IHC-P, IHC-F
Reactivity Human, Mouse, Rat
Specifications
Conjugation Unconjugated
Host Rabbit
Source KLH conjugated synthetic peptide derived from human CD26
Clonality Monoclonal
Clone # 7H6
Isotype IgG
Concentration 1ug/ul
Purification Purified by Protein A.
Storage Buffer 0.01M TBS(pH7.4) with 1% BSA, 0.02% Proclin300 and 50% Glycerol.
Storage Condition Shipped at 4C. Store at -20C for one year. Avoid repeated freeze/thaw cycles.
Target
Gene ID 1803
Swiss Prot P27487
Subcellular location Cytoplasm, Cell membrane
Synonyms ADCP2; DPPIV; Dipeptidyl peptidase 4; ADABP; ADCP 2; Adenosine deaminase complexing protein 2; CD 26; CD26 antigen 3; Dipeptidyl peptidase 4; Dipeptidyl peptidase iv; Dipeptidylpeptidase 4; Dipeptidylpeptidase IV; DPP 4; DPP IV; DPP4; Intestinal dipeptidyl peptidase; T cell activation antigen CD26; TP 103; TP103; DPP4_HUMAN.
Background The DPP4 gene encodes dipeptidyl peptidase 4, which is identical to adenosine deaminase complexing protein-2, and to the T-cell activation antigen CD26. It is an intrinsic type II transmembrane glycoprotein and a serine exopeptidase that cleaves X-proline dipeptides from the N-terminus of polypeptides. Dipeptidyl peptidase 4 is highly involved in glucose and insulin metabolism, as well as in immune regulation. This protein was shown to be a functional receptor for Middle East respiratory syndrome coronavirus (MERS-CoV), and protein modeling suggests that it may play a similar role with SARS-CoV-2, the virus responsible for COVID-19. [provided by RefSeq, Apr 2020]
Application Dilution
WB 1:500-2000
IHC-P IHC-P1:100-500
IHC-F IHC-F1:100-500