| Overview |
| bsm-60918r |
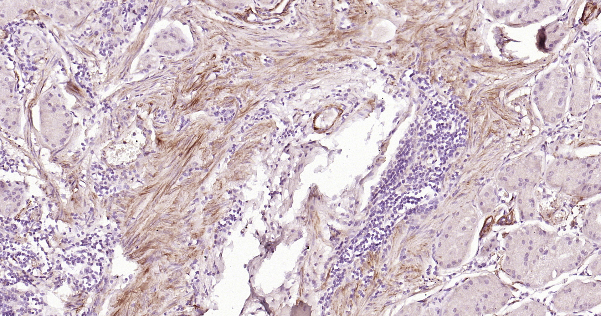
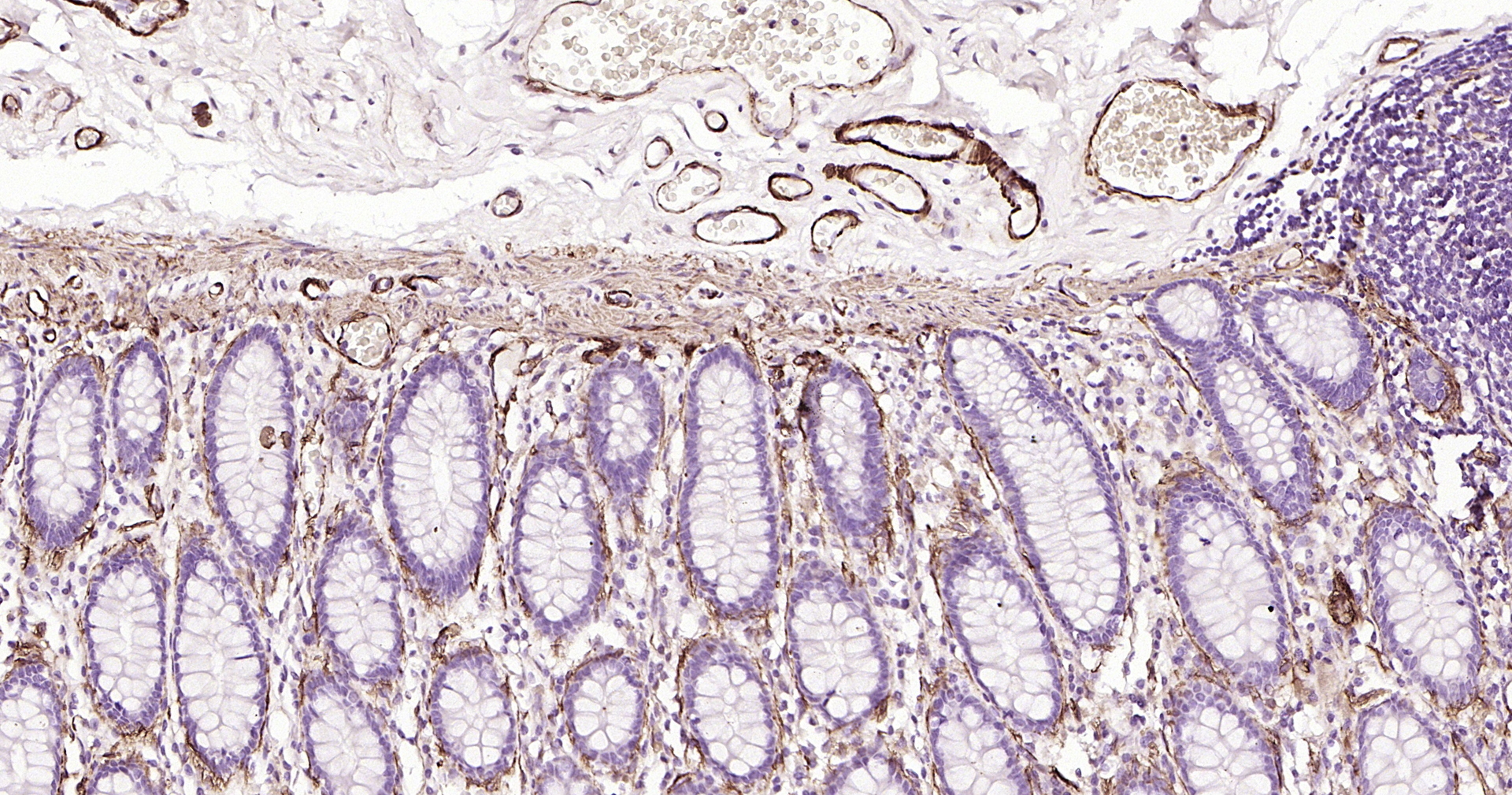
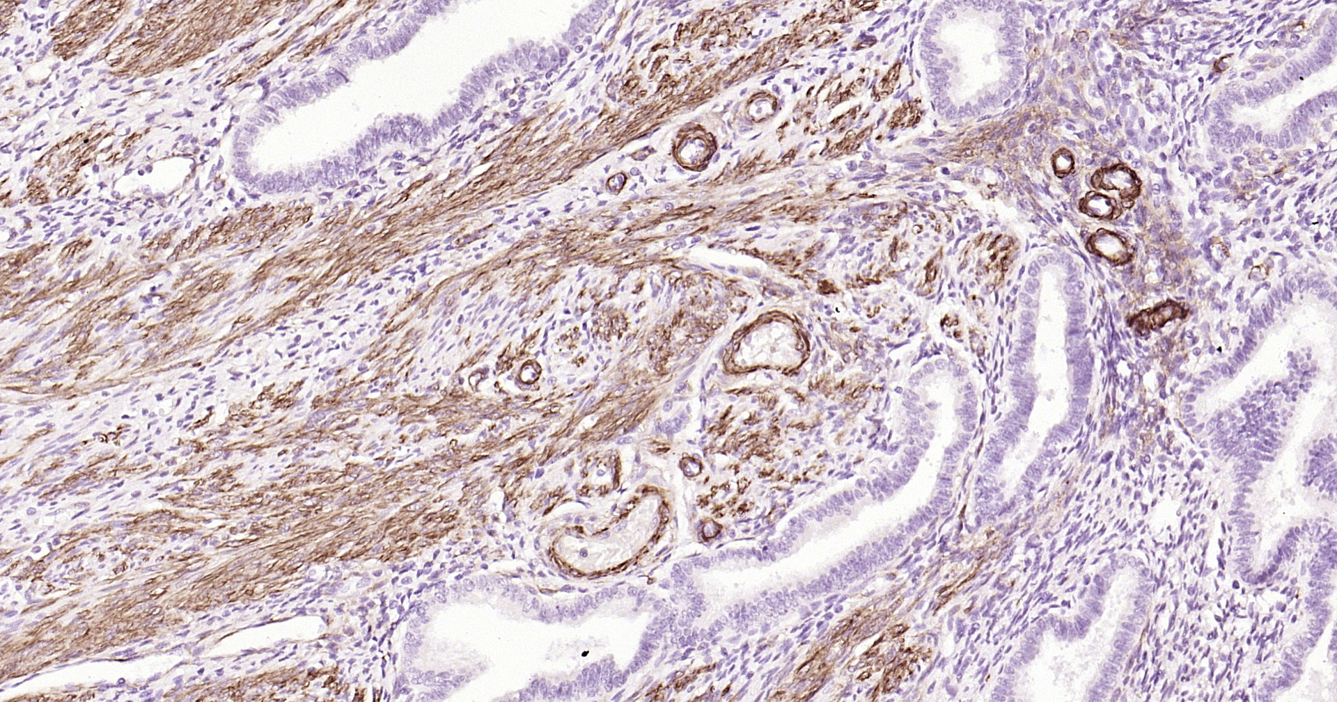
| Caldesmon/CDM Recombinant Antibody |
| IHC-P, IHC-F, IF |
| Human |
| Specifications |
| Unconjugated |
| Rabbit |
| KLH conjugated synthetic peptide derived from human Caldesmon |
| Recombinant |
| IgG |
| 1ug/ul |
| Purified by Protein A. |
| 0.01M TBS (pH 7.4), 1% BSA, 0.02% Proclin 300, and 50% Glycerol |
| Shipped at 4C. Store at -20C for one year. Avoid repeated freeze/thaw cycles. |
| Target |
| 800 |
| Q05682 |
| Cytoplasm |
| CAD; CALD 1; CALD1; Caldesmon 1; Caldesmon 1 Isoform 1; Caldesmon 1 Isoform 2; aldesmon 1 Isoform 3; Caldesmon 1 Isoform 4; Caldesmon 1 Isoform 5; Caldesmon1; CDM; H CAD; HCAD; L CAD; LCAD; MGC21352; NAG22; Caldesmon-Pan; CALD1_HUMAN. |
| This gene encodes a calmodulin- and actin-binding protein that plays an essential role in the regulation of smooth muscle and nonmuscle contraction. The conserved domain of this protein possesses the binding activities to Ca(2+)-calmodulin, actin, tropomyosin, myosin, and phospholipids. This protein is a potent inhibitor of the actin-tropomyosin activated myosin MgATPase, and serves as a mediating factor for Ca(2+)-dependent inhibition of smooth muscle contraction. Alternative splicing of this gene results in multiple transcript variants encoding distinct isoforms.[provided by RefSeq, Jul 2008]. |
| Application Dilution |
| IHC-P |
1:200-400 |
| IHC-F |
1:100-500 |
| IF |
|