RECEIVE 25% OFF PUBLISHED ANTIBODIES WITH CODE "PUB25"! Offer valid for US customers and available internationally through distributors.

Glucose 6 phosphate isomerase Recombinant Antibody

Applications

  • WB
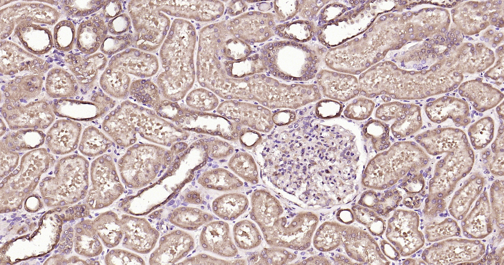
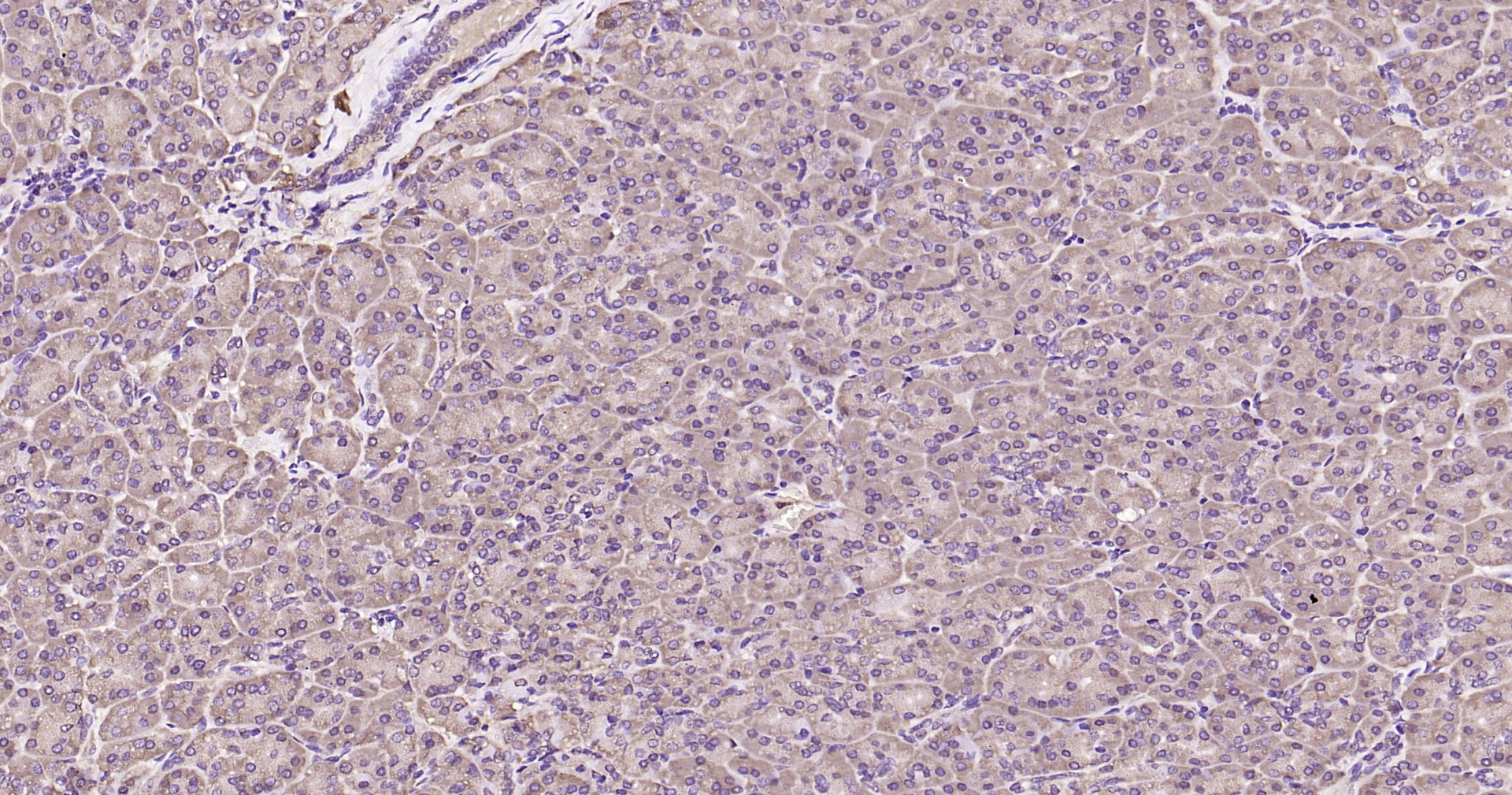
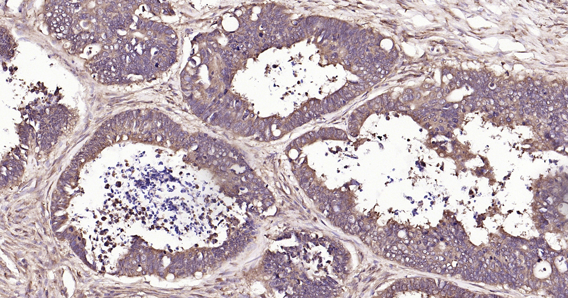
  • IHC-P
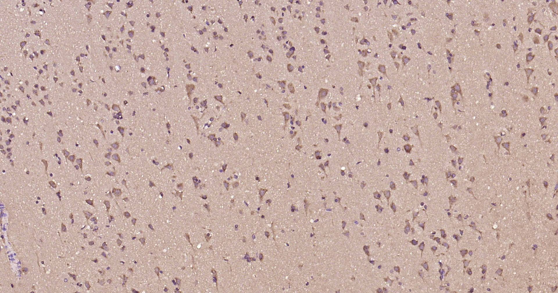
  • IHC-F
  • IF(IHC-P)

Reactivity

  • Human
Overview
Catalog # bsm-61012r-TR
Product Name Glucose 6 phosphate isomerase Recombinant Antibody
Applications WB, IHC-P, IHC-F, IF(IHC-P)
Reactivity Human
Specifications
Conjugation Unconjugated
Host Rabbit
Source KLH conjugated synthetic peptide derived from human Glucose 6 phosphate isomerase
Clonality Recombinant
Isotype IgG
Concentration Lot dependent
Purification Purified by Protein A.
Storage Buffer 0.01M TBS(pH7.4) with 1% BSA, 0.02% Proclin300 and 50% Glycerol.
Storage Condition Shipped at 4C. Store at -20C for one year. Avoid repeated freeze/thaw cycles.
Target
Gene ID 2821
Swiss Prot P06744
Subcellular location Cytoplasm, Secreted
Synonyms AMF; Aurocrine motility factor; Autocrine motility factor; DKFZp686C13233; EC 5.3.1.9; G6PI_HUMAN; Glucose phosphate isomerase; Glucose-6-phosphate isomerase; GNPI; GPI; Gpi1; Hexose monophosphate isomerase; Hexosephosphate isomerase; Neuroleukin; NLK; Oxoisomerase; PHI; Phosphoglucose isomerase; Phosphohexomutase; Phosphohexose isomerase; Phosphosaccharomutase; SA 36; SA-36; SA36; Sperm antigen 36.
Background This gene belongs to the GPI family whose members encode multifunctional phosphoglucose isomerase proteins involved in energy pathways. The protein encoded by this gene is a dimeric enzyme that catalyzes the reversible isomerization of glucose-6-phosphate and fructose-6-phosphate. The protein functions in different capacities inside and outside the cell. In the cytoplasm, the gene product is involved in glycolysis and gluconeogenesis, while outside the cell it functions as a neurotrophic factor for spinal and sensory neurons. Defects in this gene are the cause of nonspherocytic hemolytic anemia and a severe enzyme deficiency can be associated with hydrops fetalis, immediate neonatal death and neurological impairment. [provided by RefSeq, Jul 2008].
Application Dilution
WB 1:500-2000
IHC-P IHC-P1:100-500
IHC-F IHC-F1:100-500
IF(IHC-P) IFIHC-P1:100-500