| Overview |
| bsm-61021r-TR |
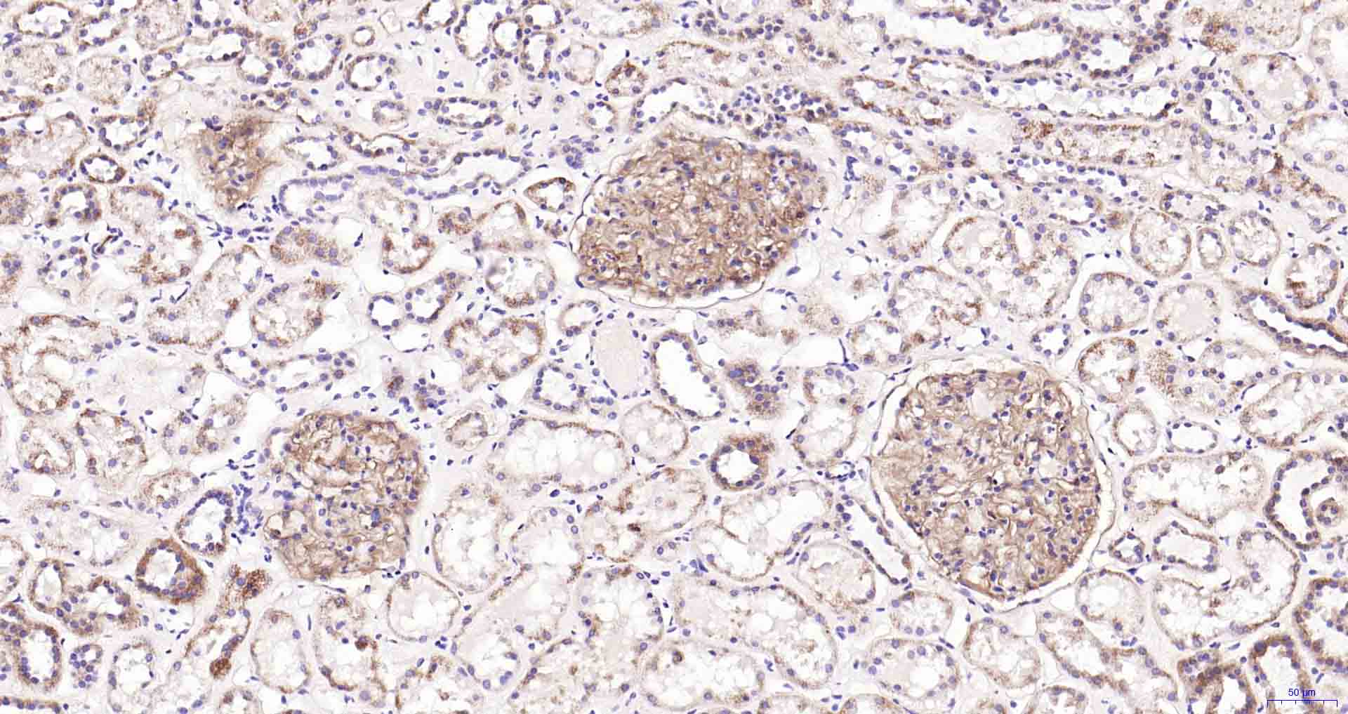
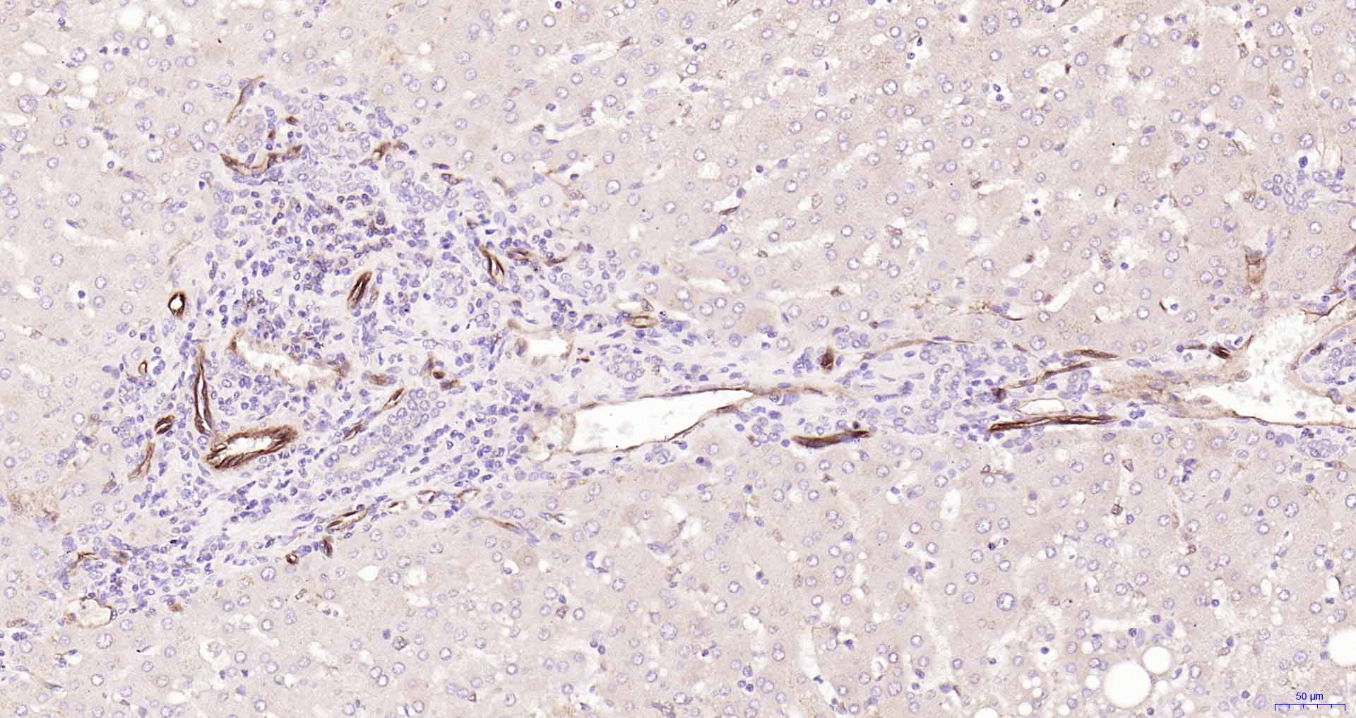
| Claudin 5 Recombinant Antibody |
| IHC-P, IHC-F, IF |
| Human |
| Specifications |
| Unconjugated |
| Rabbit |
| KLH conjugated synthetic peptide derived from human GZMB |
| Recombinant |
| IgG |
| Lot dependent |
| Purified by Protein A. |
| 0.01M TBS(pH7.4) with 1% BSA, 0.02% Proclin300 and 50% Glycerol. |
| Store at 4°C for short term. Store at -20°C for long term. Avoid repeated freeze/thaw cycles. |
| Target |
| 7122 |
| O00501 |
| Extracellular, Cell membrane |
| Androgen withdrawal and apoptosis induced protein RVP1 like; AWAL; BEC 1; BEC1; Claudin 5 (transmembrane protein deleted in velocardiofacial syndrome); Claudin-5; Claudin5; CLD5_HUMAN; CLDN 5; CLDN5; CPETR L1; CPETRL 1; CPETRL1; TMDVCF; TMVCF; Transmembrane protein deleted in VCFS; Transmembrane protein deleted in velocardiofacial syndrome. |
Plays a major role in tight junction-specific obliteration of the intercellular space.
|
| Application Dilution |
| IHC-P |
1:200-400 |
| IHC-F |
1:100-500 |
| IF |
|