RECEIVE 25% OFF PUBLISHED ANTIBODIES WITH CODE "PUB25"! Offer valid for US customers and available internationally through distributors.

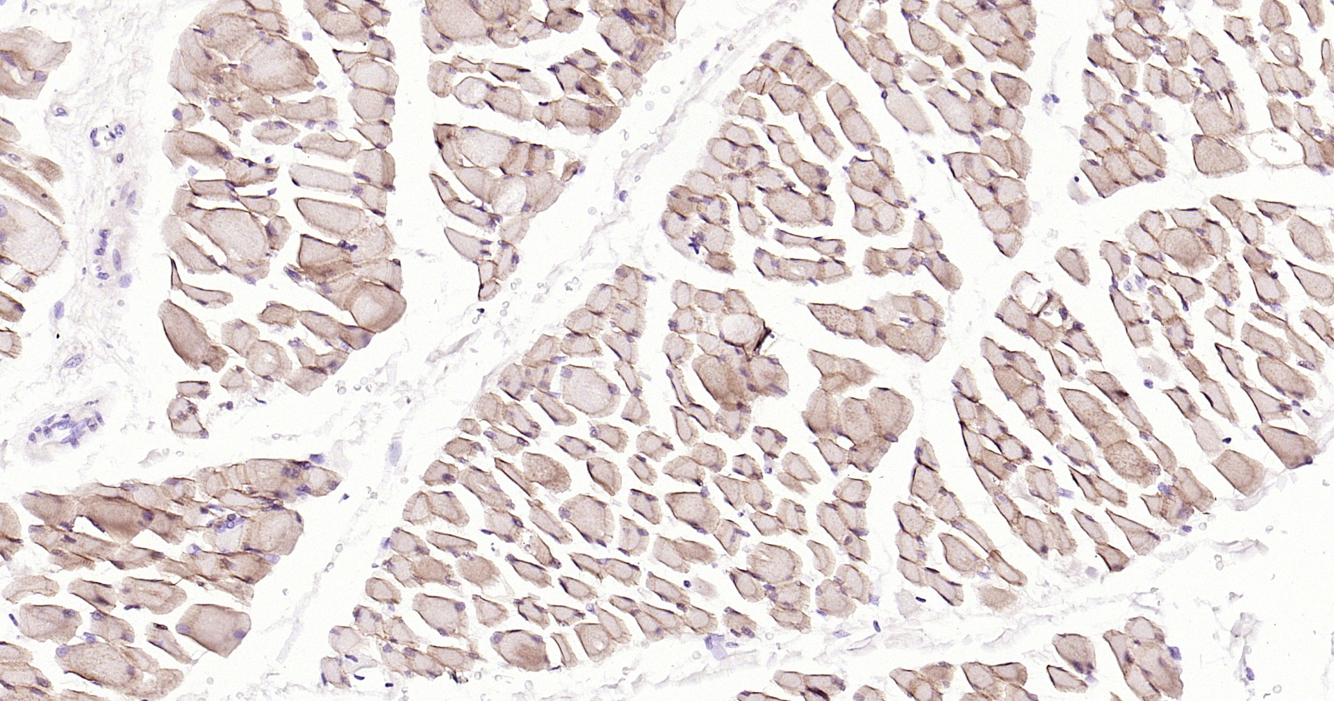
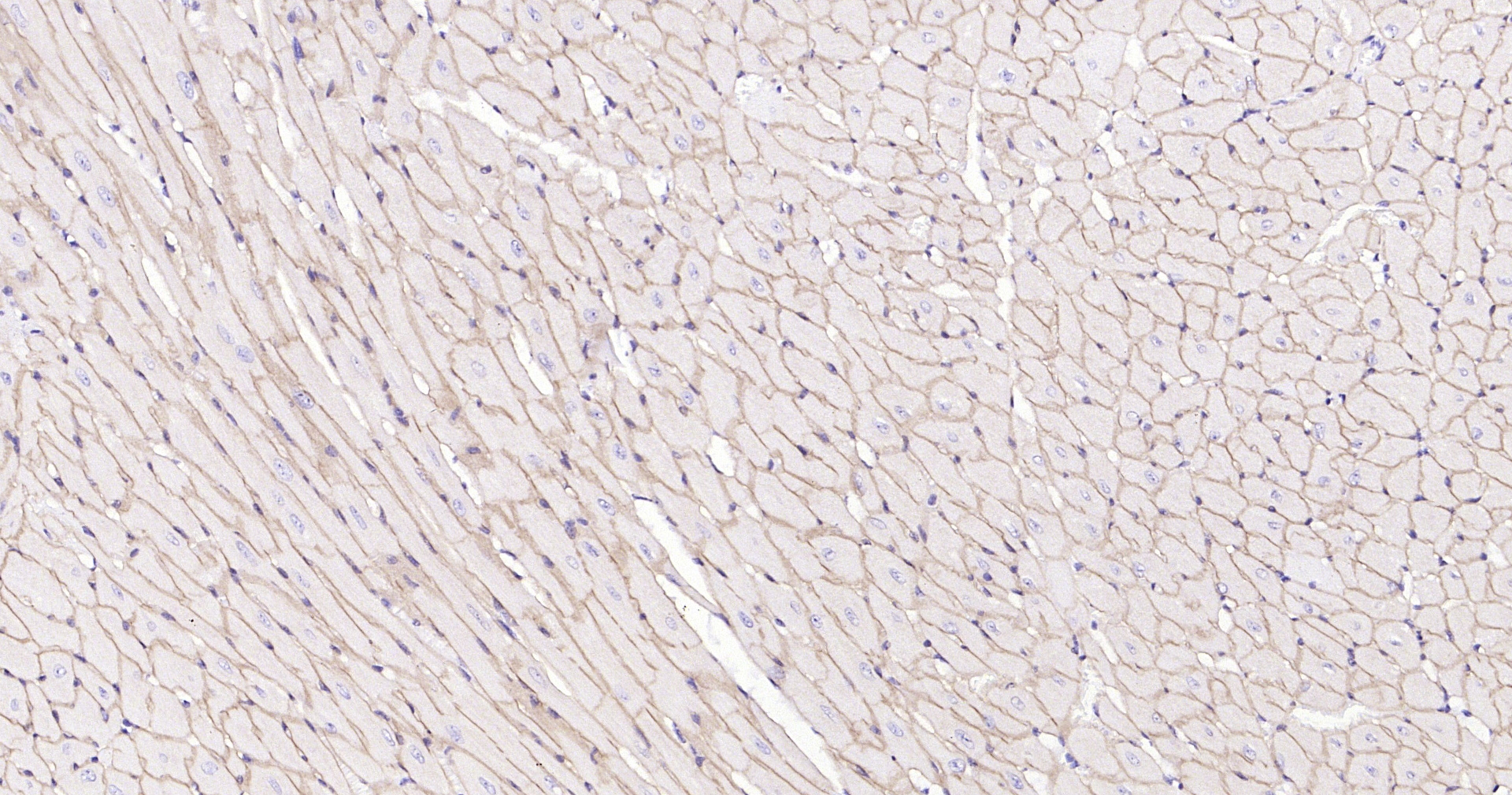
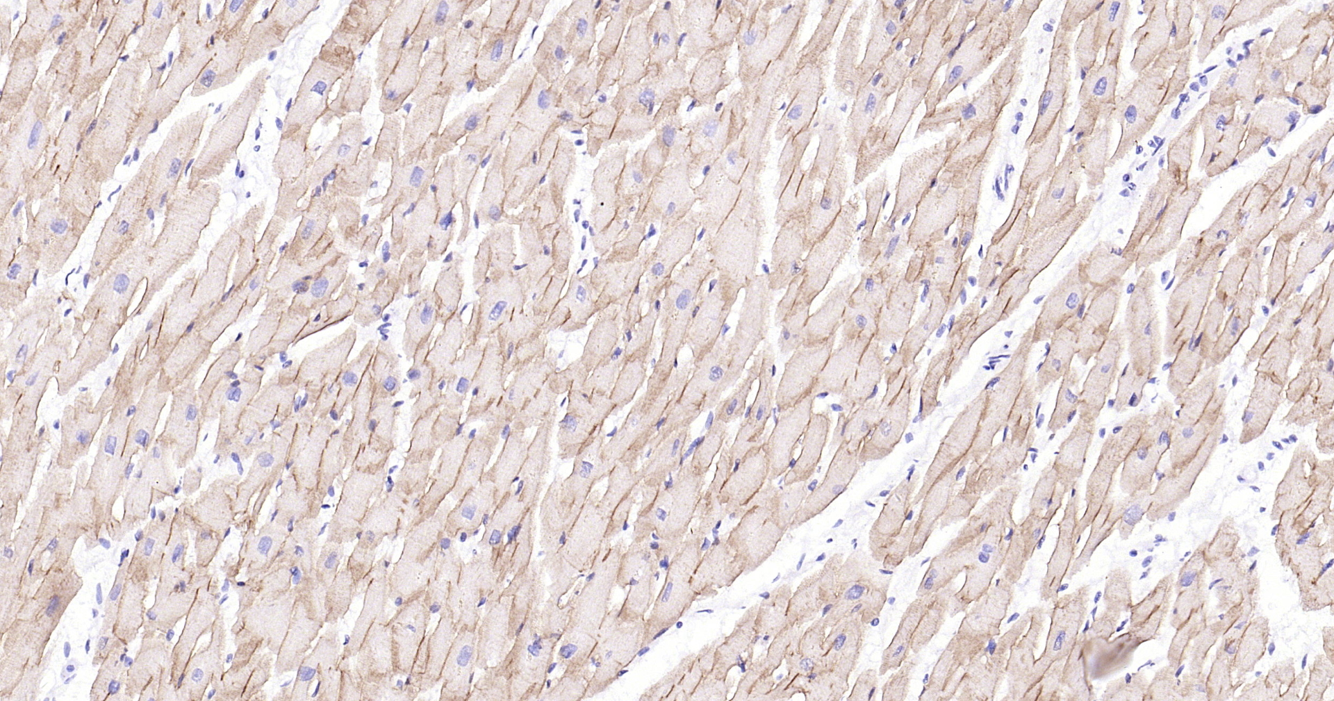
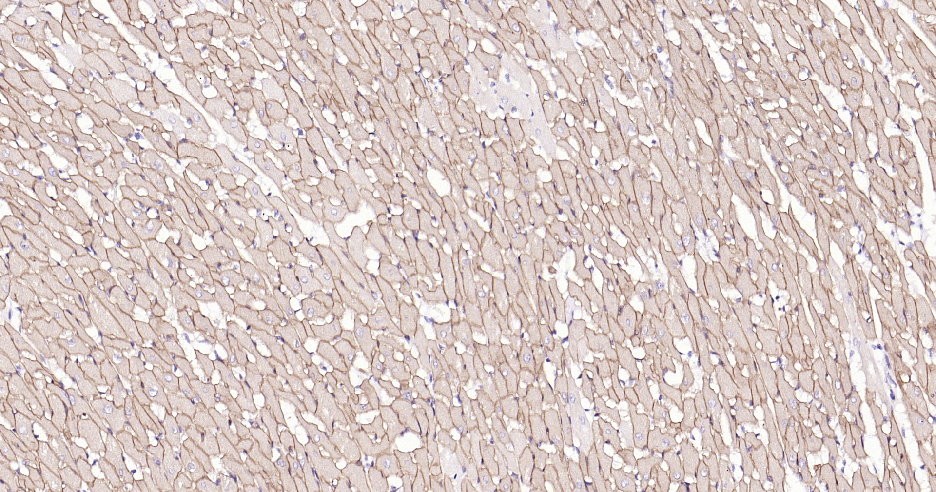
Dystrophin Recombinant Antibody

Applications

  • IHC-P
  • IHC-F
  • IF(IHC-P)

Reactivity

  • Human
  • Mouse
  • Rat
Overview
Catalog # bsm-61024r-100ul
Product Name Dystrophin Recombinant Antibody
Applications IHC-P, IHC-F, IF(IHC-P)
Reactivity Human, Mouse, Rat
Specifications
Conjugation Unconjugated
Host Rabbit
Source KLH conjugated synthetic peptide derived from human Dystrophin
Clonality Recombinant
Isotype IgG
Concentration Lot dependent
Purification Purified by Protein A.
Storage Buffer 0.01M TBS(pH7.4) with 1% BSA, 0.02% Proclin300 and 50% Glycerol.
Storage Condition Store at 4°C for short term. Store at -20°C for long term. Avoid repeated freeze/thaw cycles.
Target
Gene ID 1756
Swiss Prot P11532
Subcellular location Cytoplasm, Cell membrane
Synonyms Alternative namesApo dystrophin; BMD; CMD3B; DMD; DMD_HUMAN; Duchenne muscular dystrophy protein; DXS142; DXS164; DXS206; DXS230; DXS239; DXS268; DXS269; DXS270; DXS272; Dystrophin; Muscular dystrophy Duchenne and Becker types.
Background Anchors the extracellular matrix to the cytoskeleton via F-actin. Ligand for dystroglycan. Component of the dystrophin-associated glycoprotein complex which accumulates at the neuromuscular junction (NMJ) and at a variety of synapses in the peripheral and central nervous systems and has a structural function in stabilizing the sarcolemma. Also implicated in signaling events and synaptic transmission.
Application Dilution
IHC-P 1:50-200
IHC-F IHC-F1:50-200
IF(IHC-P) IFIHC-P1:50-200