RECEIVE 25% OFF PUBLISHED ANTIBODIES WITH CODE "PUB25"! Offer valid for US customers and available internationally through distributors.

AQP4 Recombinant Antibody

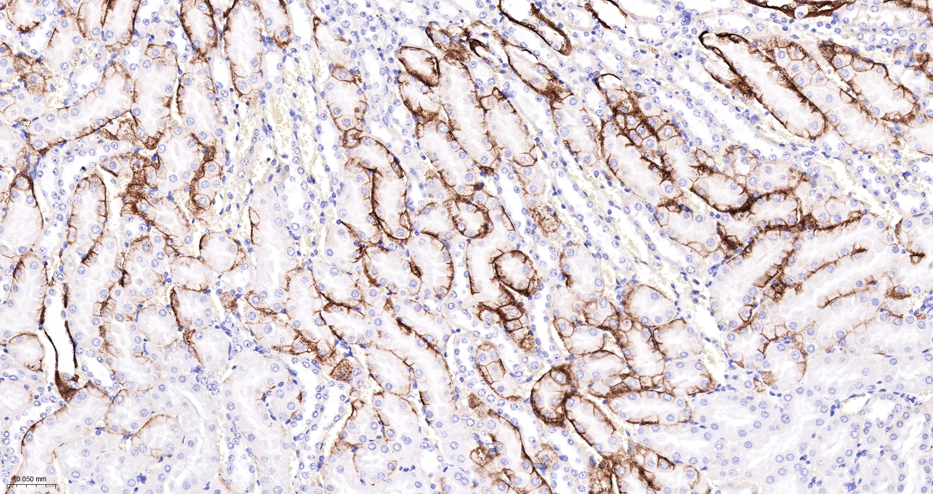
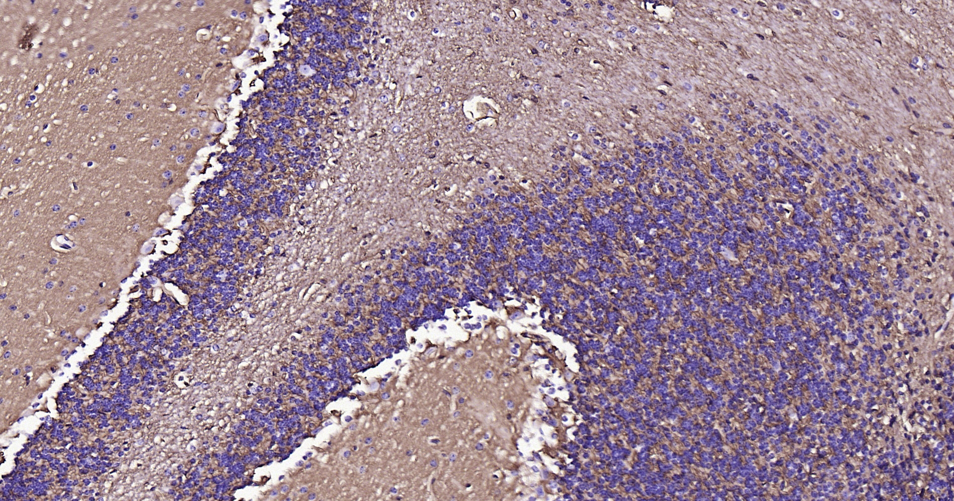
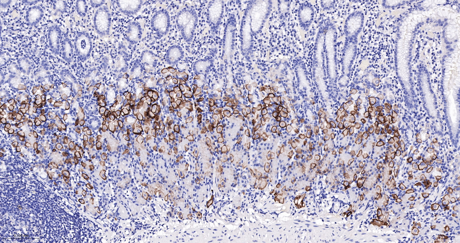
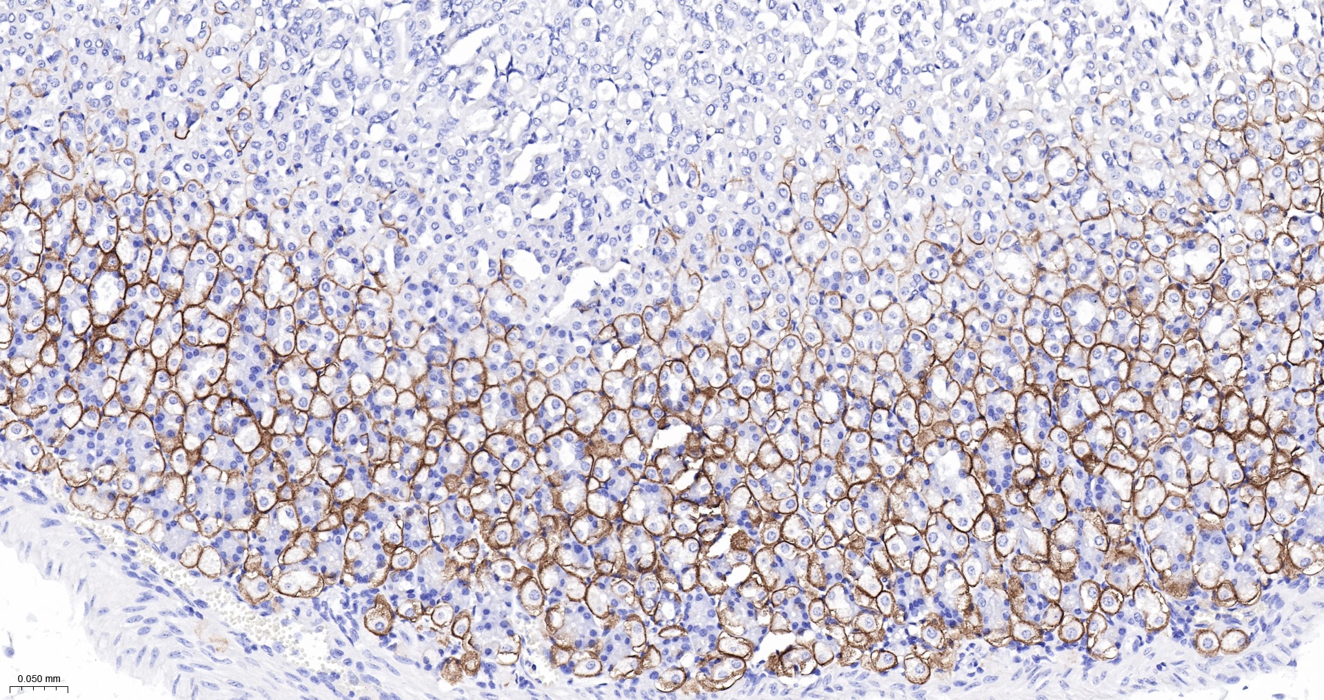
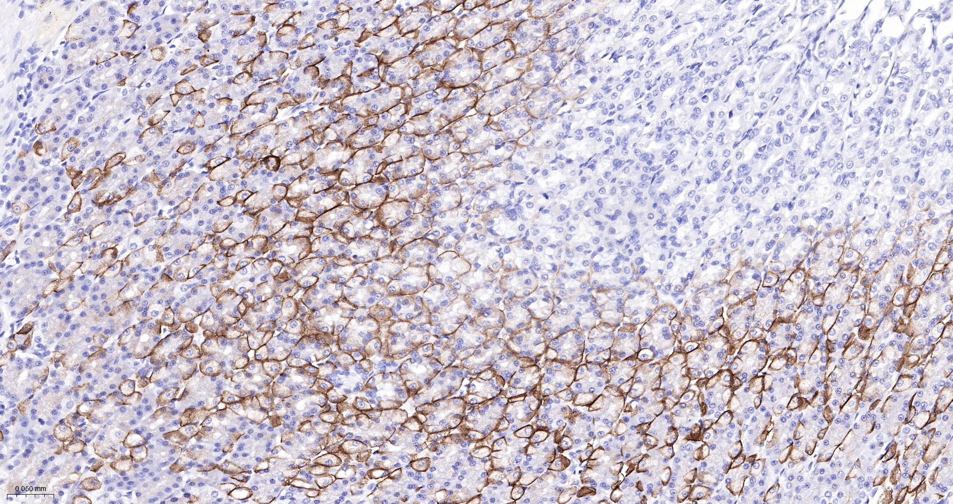
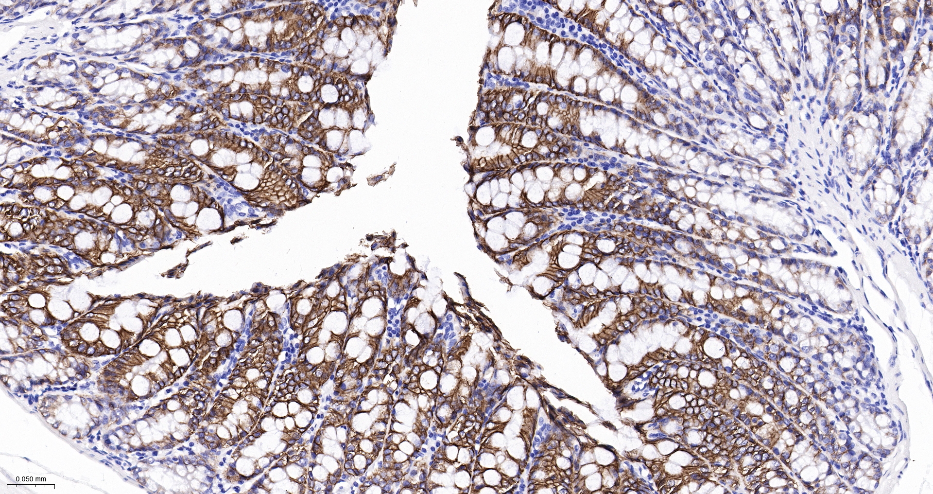
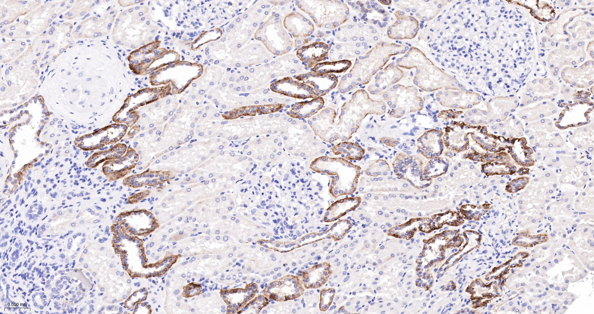
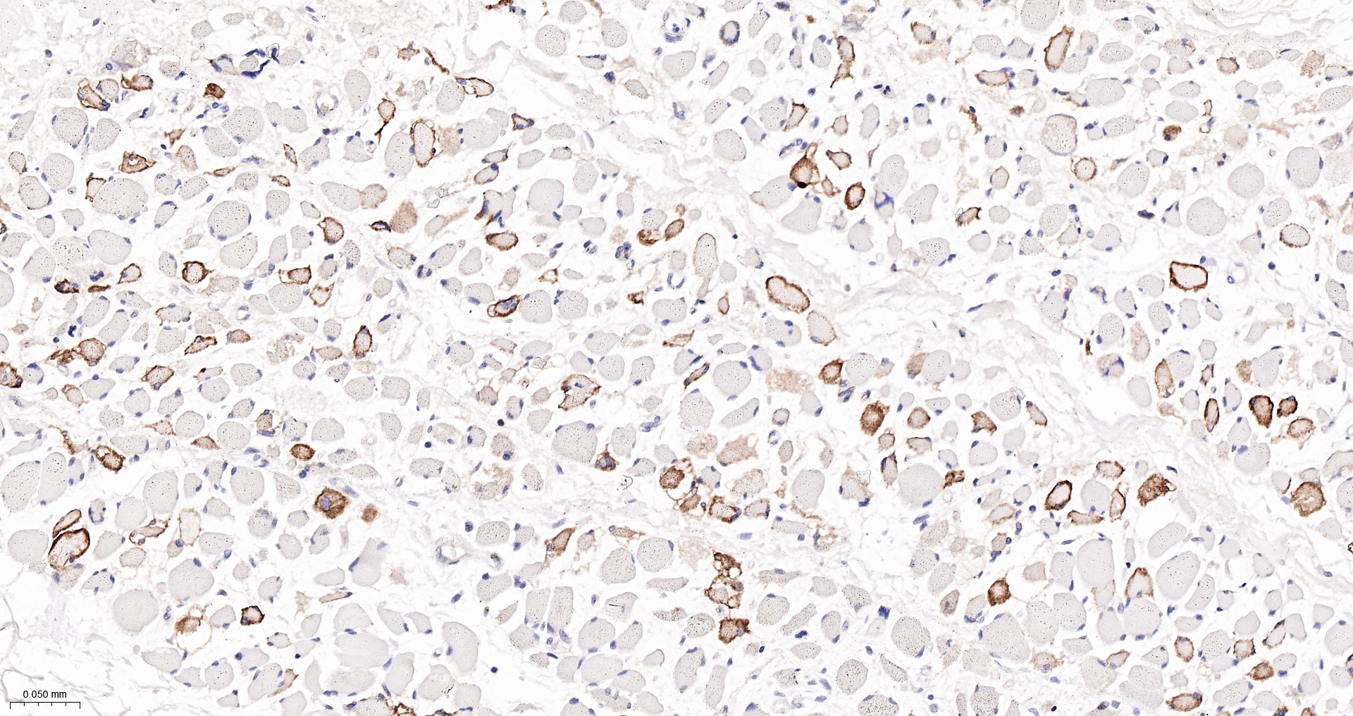
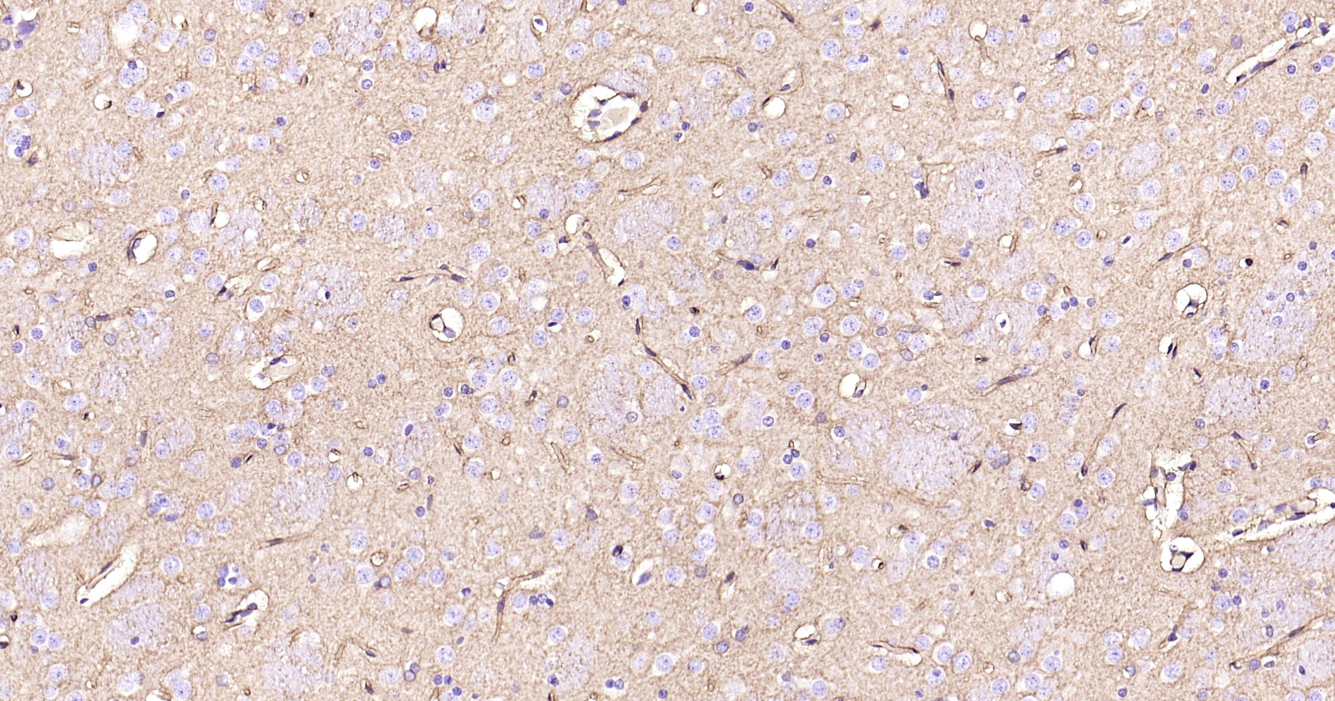
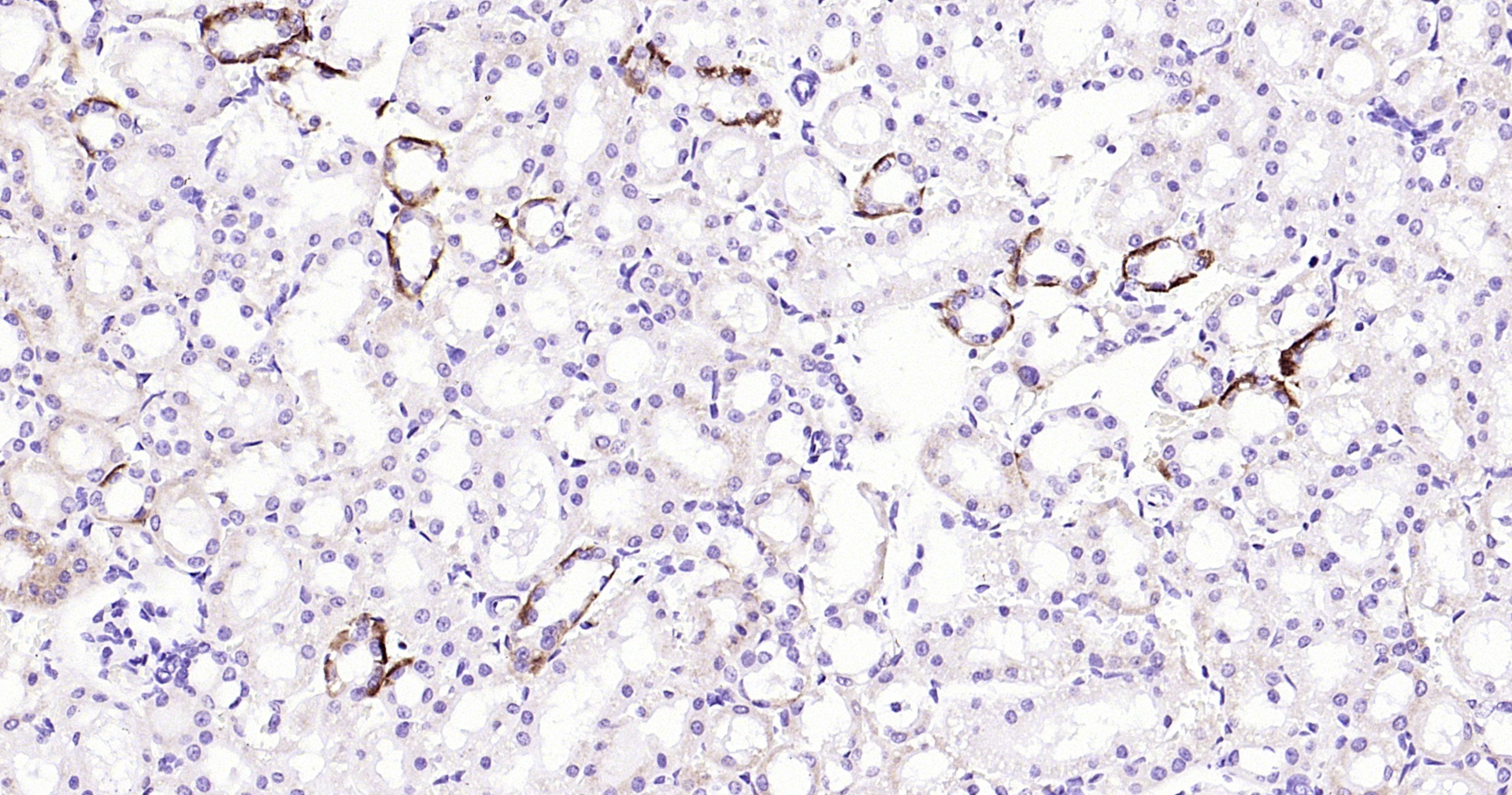
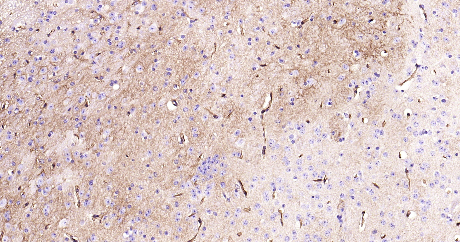
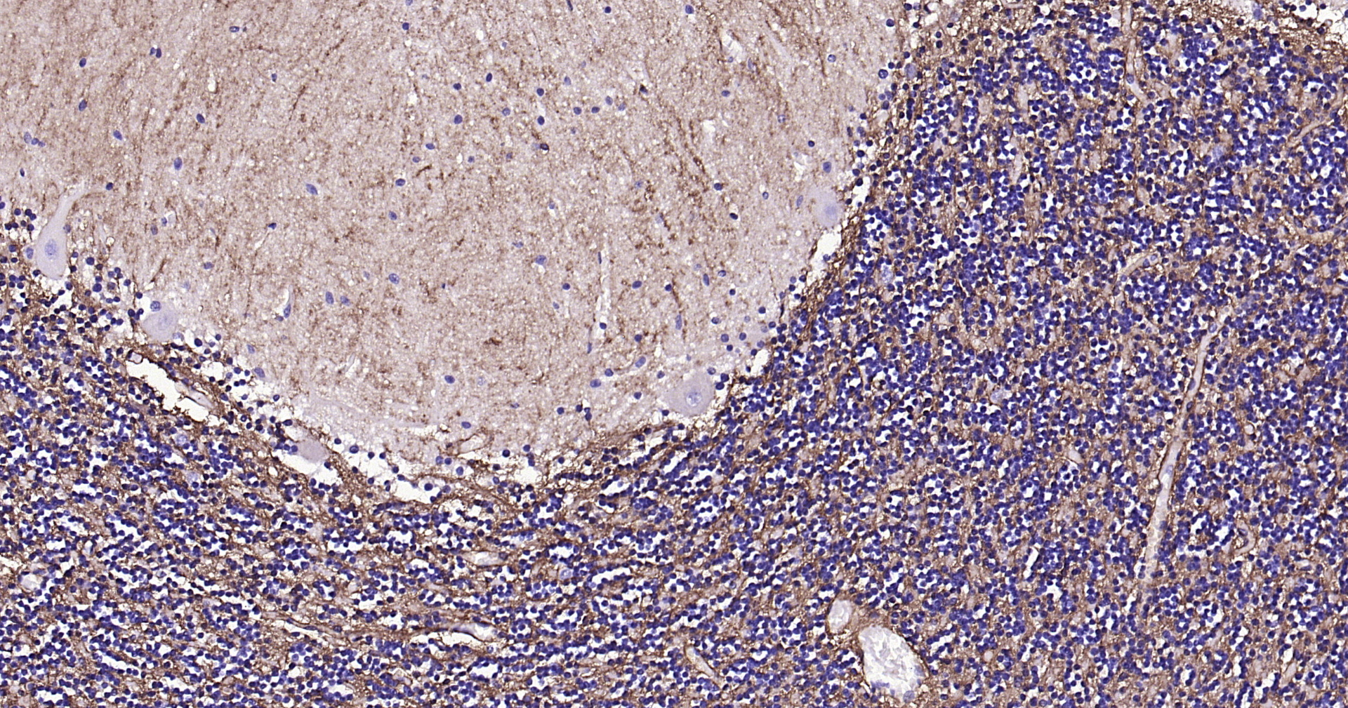
Applications

  • IHC-P
  • IHC-F
  • IF(IHC-P)

Reactivity

  • Human
  • Mouse
  • Rat
Overview
Catalog # bsm-61035r-100ul
Product Name AQP4 Recombinant Antibody
Applications IHC-P, IHC-F, IF(IHC-P)
Reactivity Human, Mouse, Rat
Specifications
Conjugation Unconjugated
Host Rabbit
Source KLH conjugated synthetic peptide derived from human AQP4
Clonality Recombinant
Isotype IgG
Concentration 1mg/ml
Purification Purified by Protein A.
Storage Buffer 0.01M TBS(pH7.4) with 1% BSA, 0.02% Proclin300 and 50% Glycerol.
Storage Condition Store at 4°C for short term. Store at -20°C for long term. Avoid repeated freeze/thaw cycles.
Target
Gene ID 361
Swiss Prot P55087
Subcellular location Cell membrane
Synonyms aquaporin 4; WCH4; Mercurial-insensitive water channel; MIWC; AQP 4; AQP4; Aquaporin4; HMIWC 2; HMIWC2; Mercurial insensitive water channel; MGC22454; MIWC; AQP4_HUMAN; Aquaporin-4; AQP-4.
Background Forms a water-specific channel. Osmoreceptor which regulates body water balance and mediates water flow within the central nervous system.
Application Dilution
IHC-P 1:200-500
IHC-F IHC-F1:200-500
IF(IHC-P) IFIHC-P1:200-500