RECEIVE 25% OFF PUBLISHED ANTIBODIES WITH CODE "PUB25"! Offer valid for US customers and available internationally through distributors.

PIK3R3 Recombinant Antibody

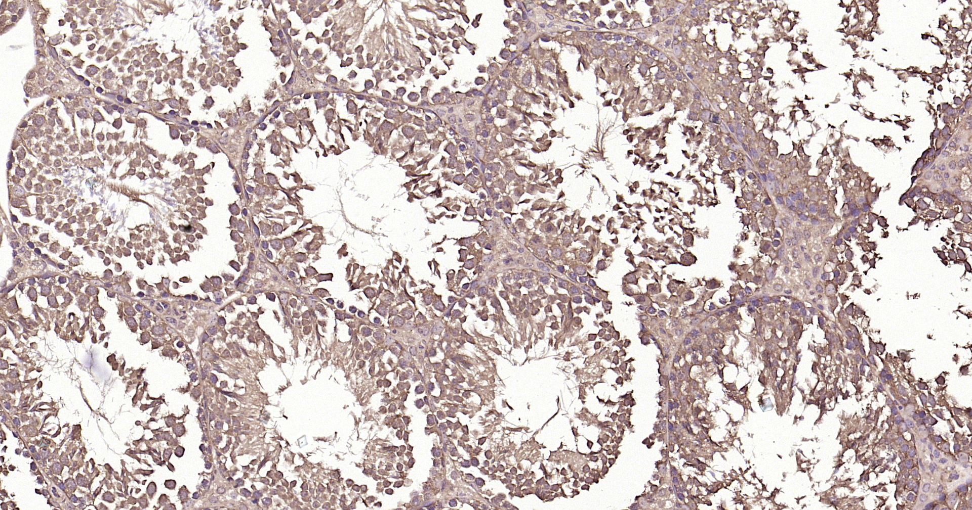
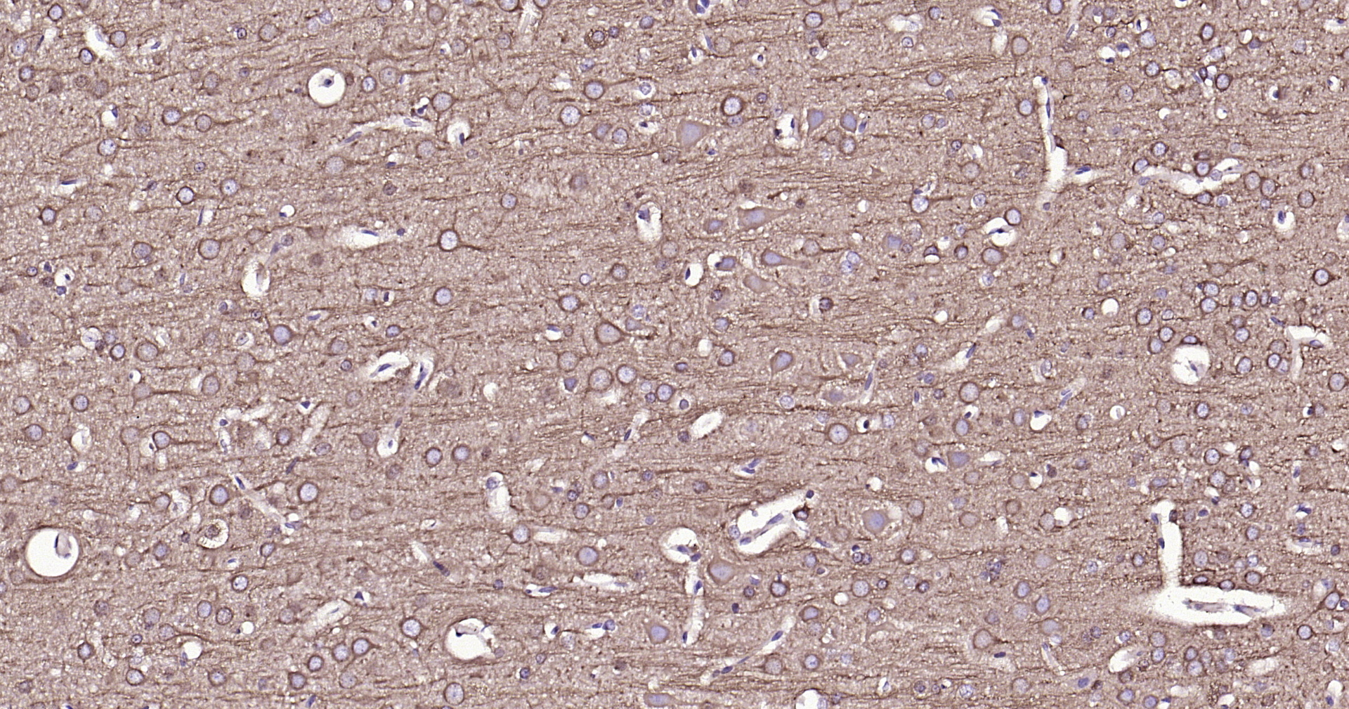
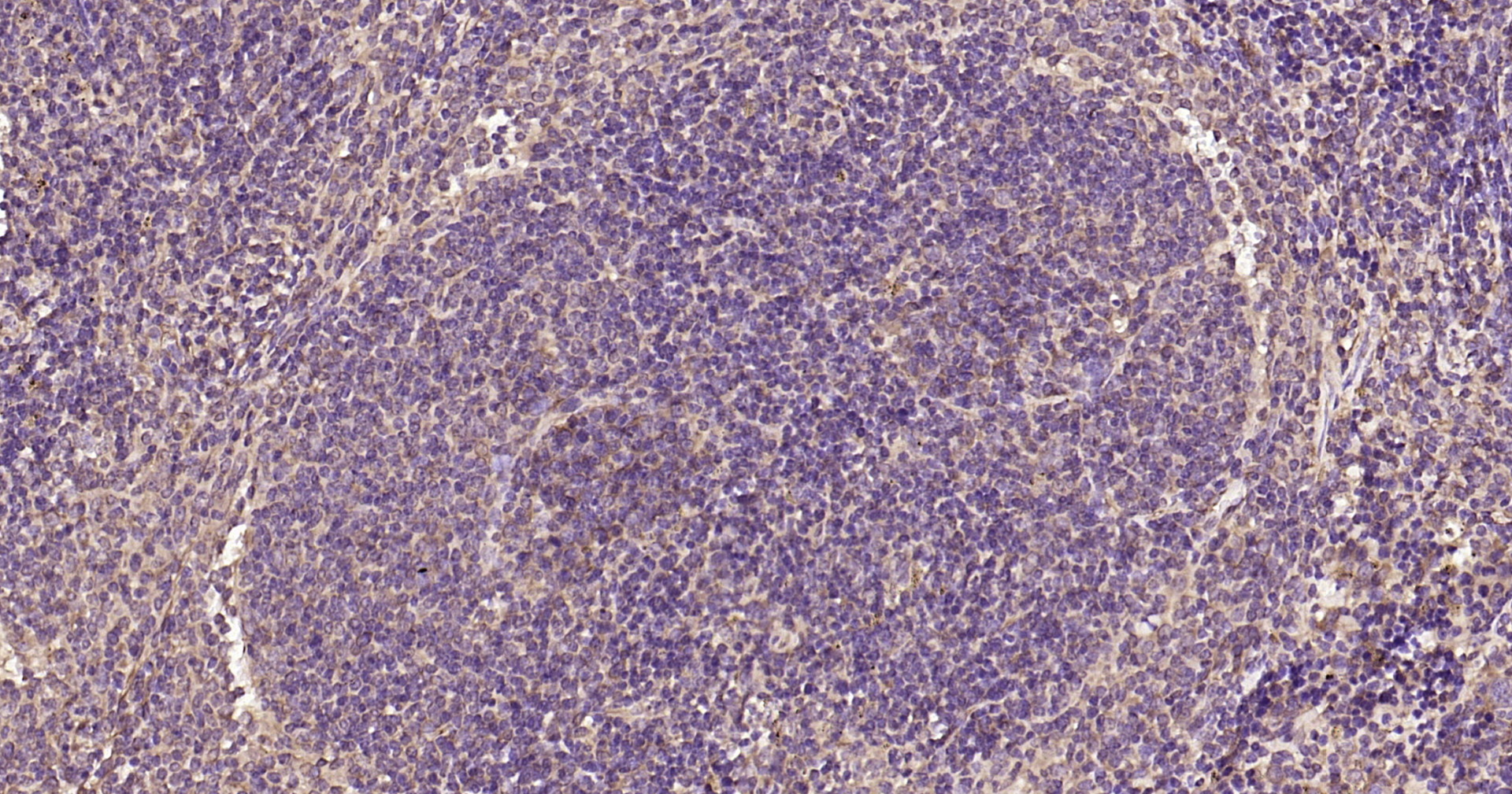
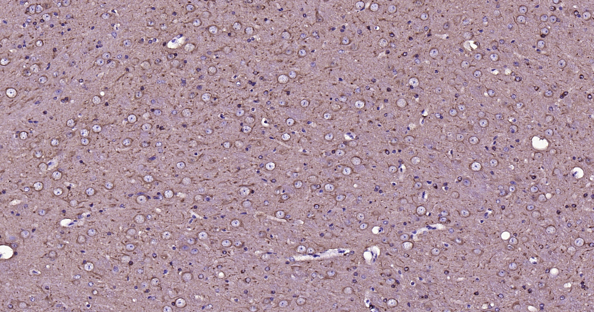
Applications

  • WB
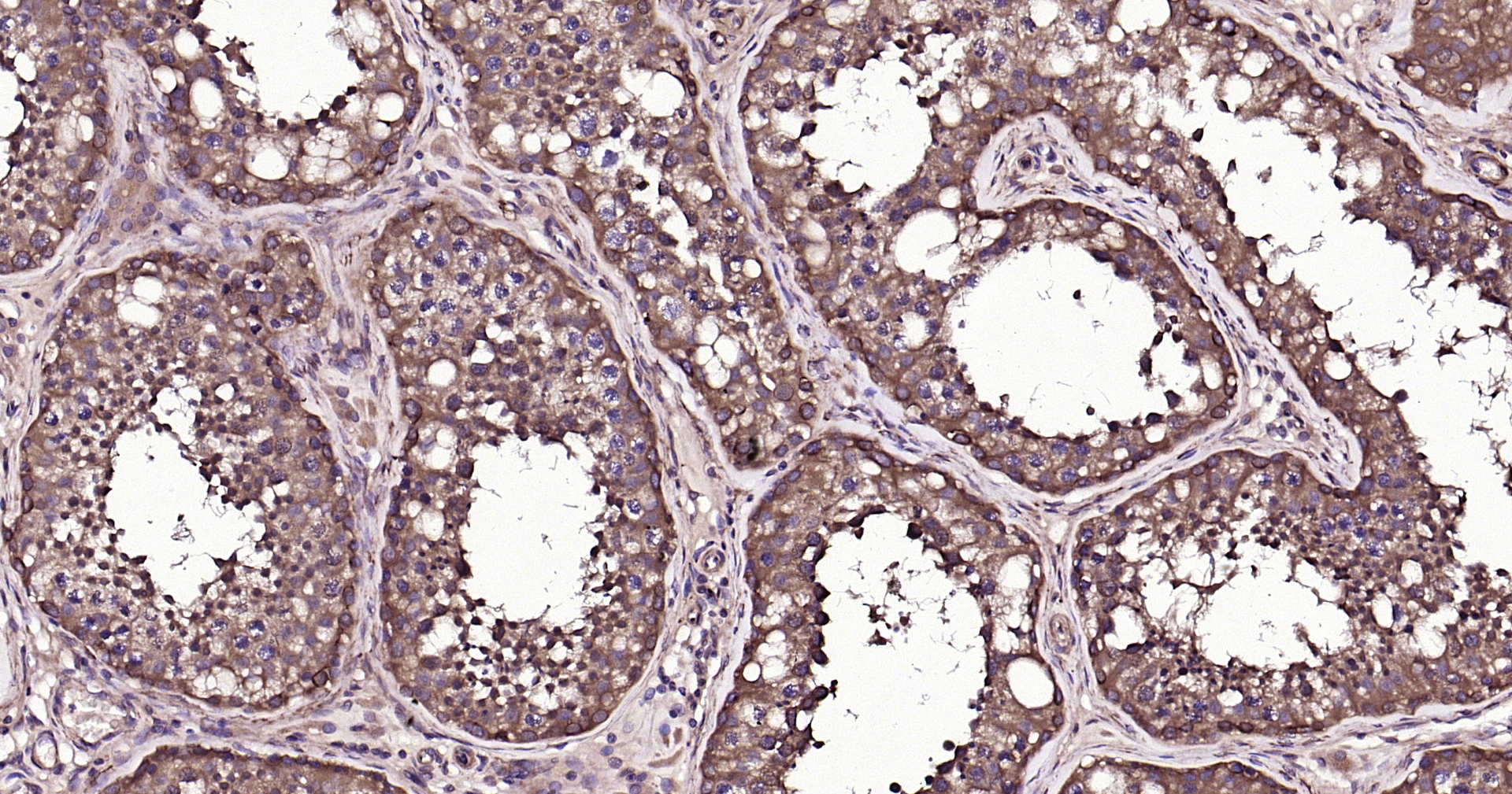
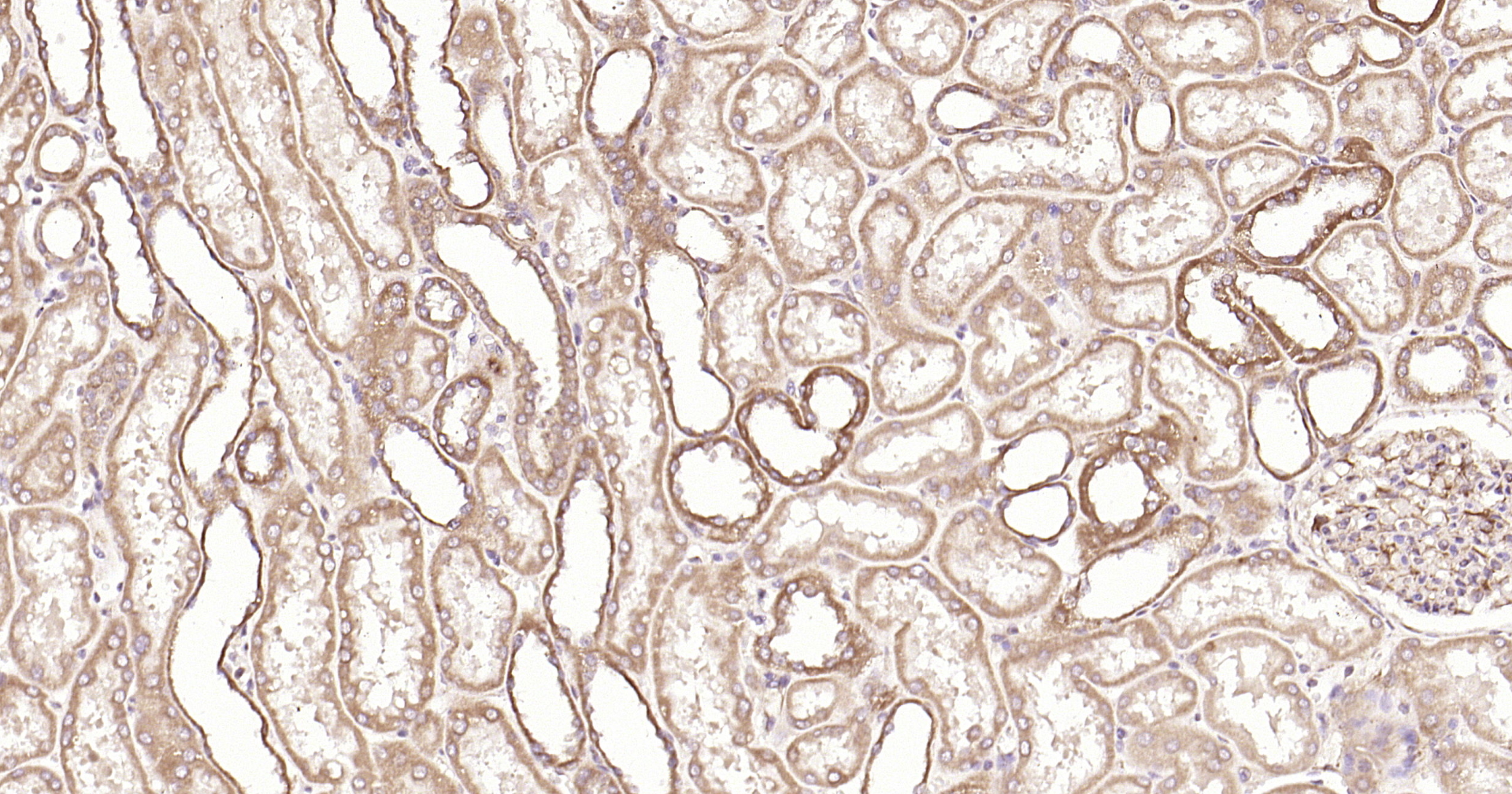
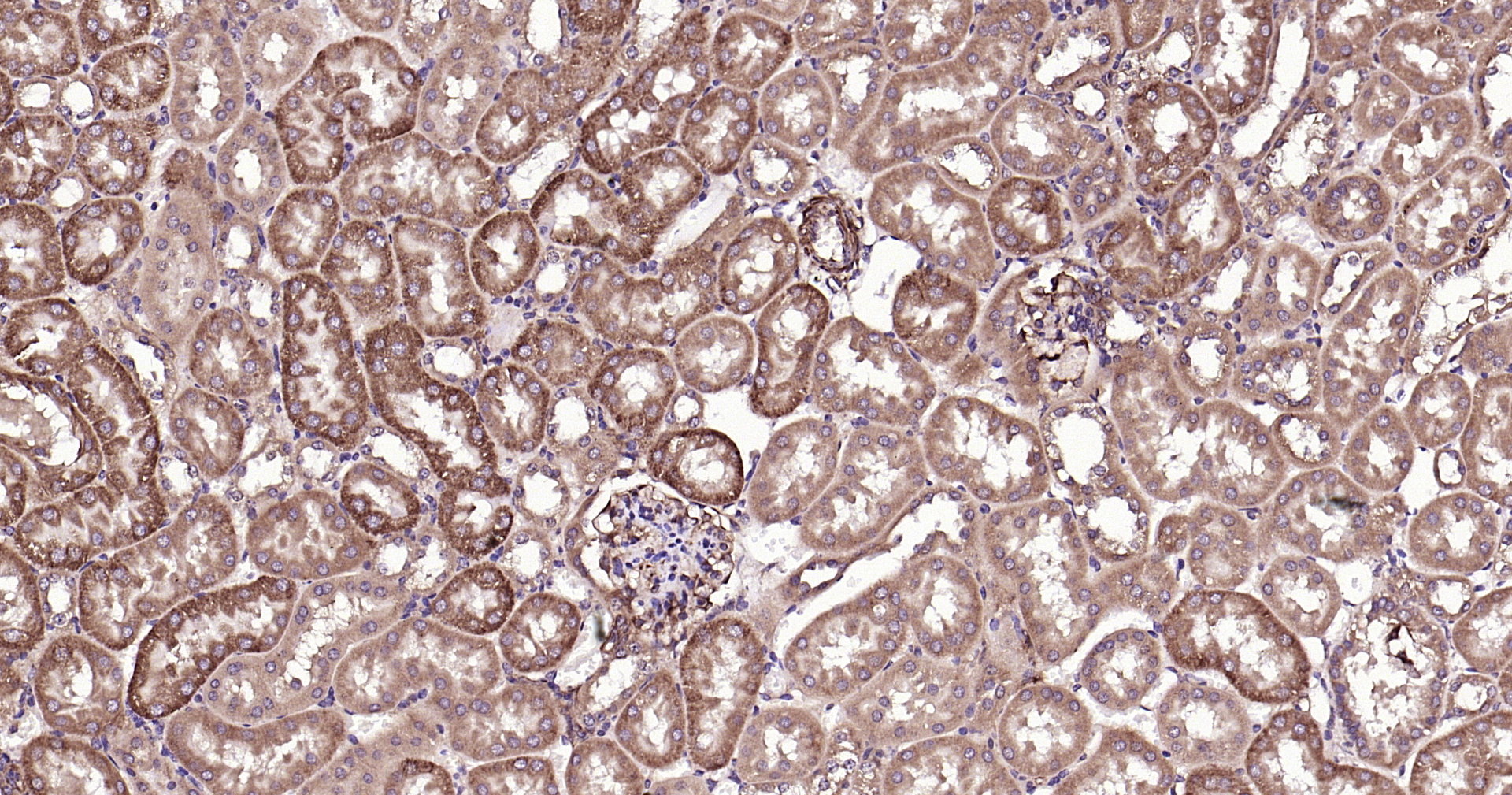
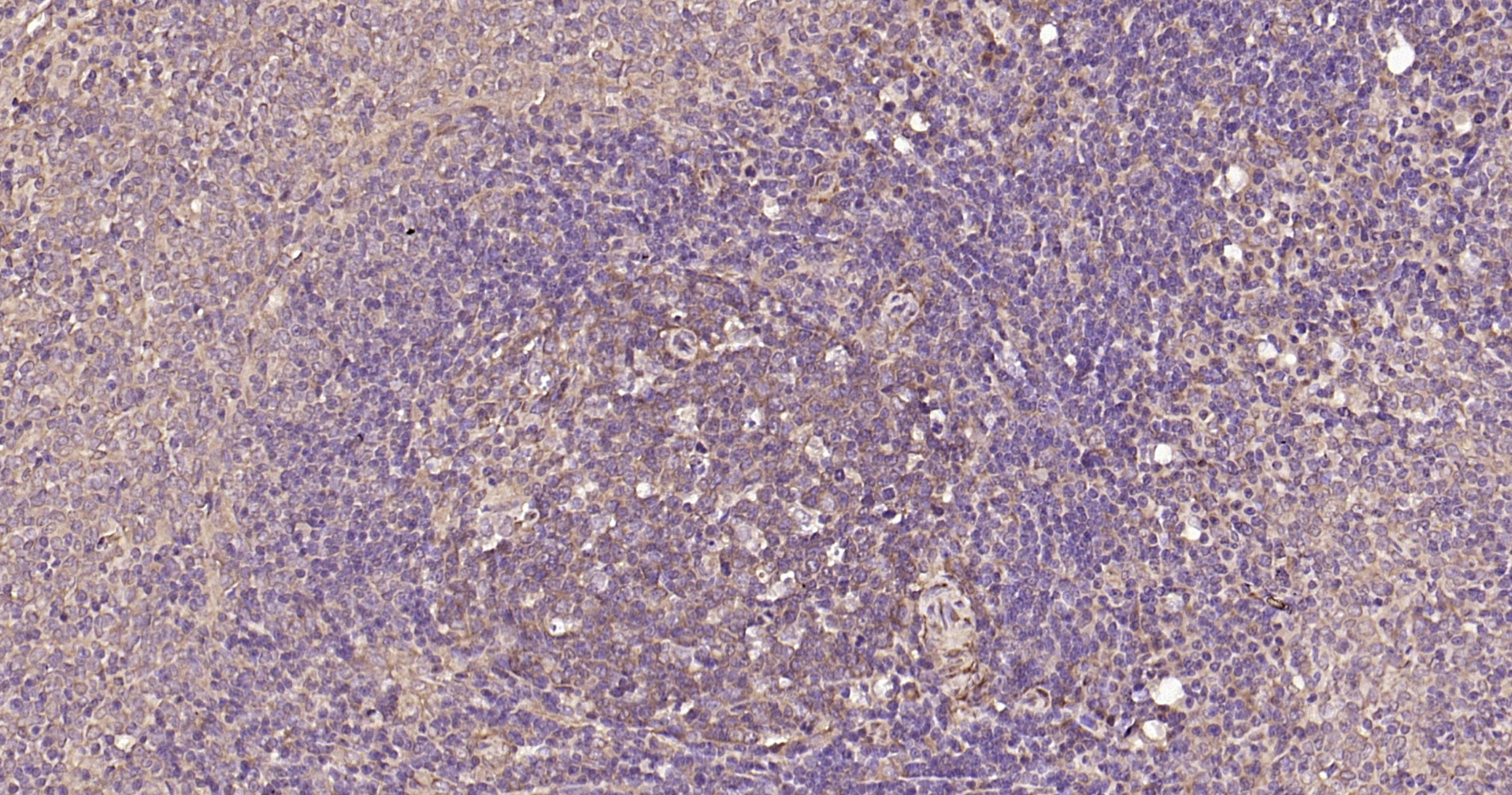
  • IHC-P
  • IHC-F
  • IF(IHC-P)

Reactivity

  • Human
  • Mouse
  • Rat
Overview
Catalog # bsm-61060r-100ul
Product Name PIK3R3 Recombinant Antibody
Applications WB, IHC-P, IHC-F, IF(IHC-P)
Reactivity Human, Mouse, Rat
Specifications
Conjugation Unconjugated
Host Rabbit
Source KLH conjugated synthetic peptide derived from human PIK3R3
Clonality Recombinant
Isotype IgG
Concentration Lot dependent
Purification Purified by Protein A.
Storage Buffer 0.01M TBS(pH7.4) with 1% BSA, 0.02% Proclin300 and 50% Glycerol.
Storage Condition Shipped at 4C. Store at -20C for one year. Avoid repeated freeze/thaw cycles.
Target
Subcellular location Cytoplasm
Synonyms P55G_HUMAN; Phosphatidylinositol 3-kinase regulatory subunit gamma; PI3-kinase regulatory subunit gamma; PI3K regulatory subunit gamma; PtdIns-3-kinase regulatory subunit gamma; Phosphatidylinositol 3-kinase 55 kDa regulatory subunit gamma; PI3-kinase subunit p55-gamma; PtdIns-3-kinase regulatory subunit p55-gamma; p55PIK; p55; p55-GAMMA; phosphoinositide-3-kinase, regulatory subunit 3 (gamma); PI 3 Kinase p55 gamma.
Background Binds to activated (phosphorylated) protein-tyrosine kinases through its SH2 domain and regulates their kinase activity. During insulin stimulation, it also binds to IRS-1.
Application Dilution
WB 1:500-2000
IHC-P IHC-P1:100-500
IHC-F IHC-F1:100-500
IF(IHC-P) IFIHC-P1:100-500