Receive 30% off all Monoclonal IHC antibodies with code "MONO-IHC-30"! Offer valid for US customers and available internationally through distributors.

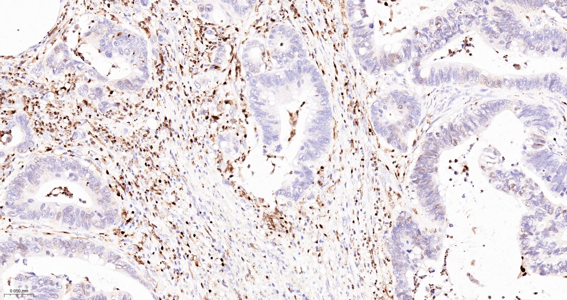
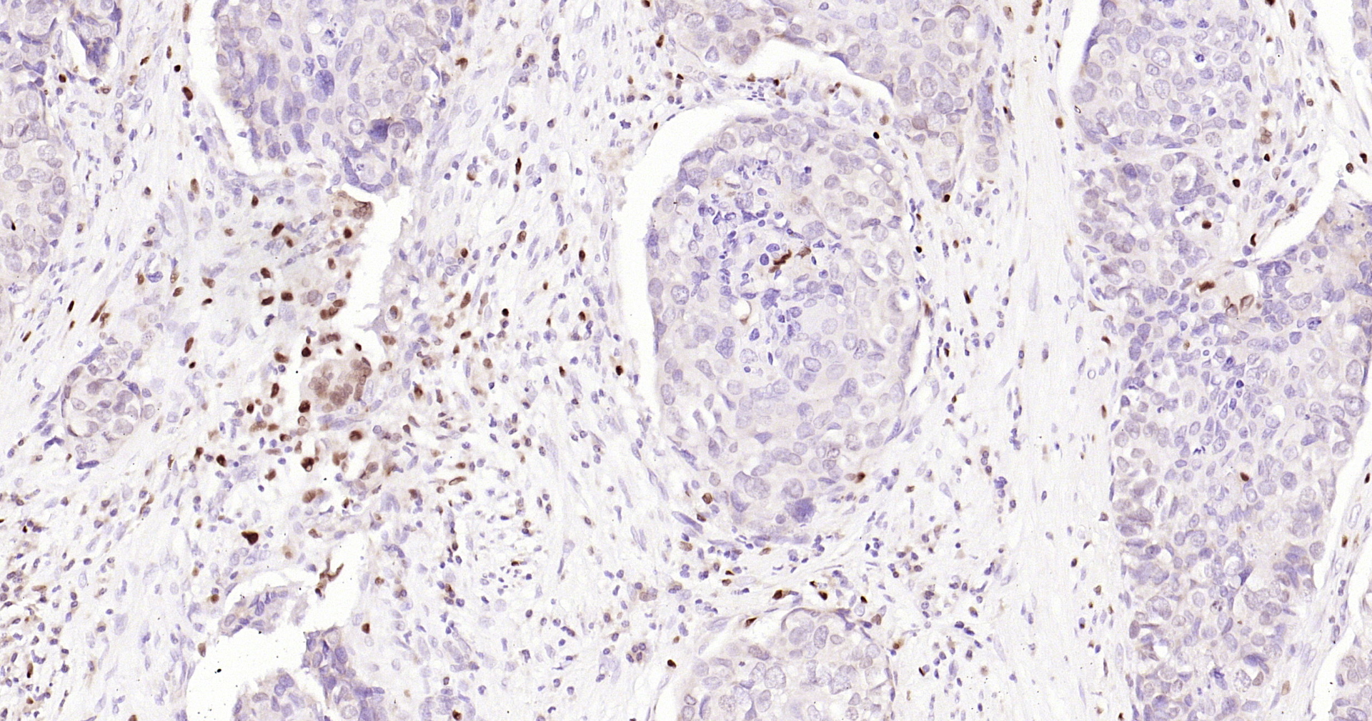
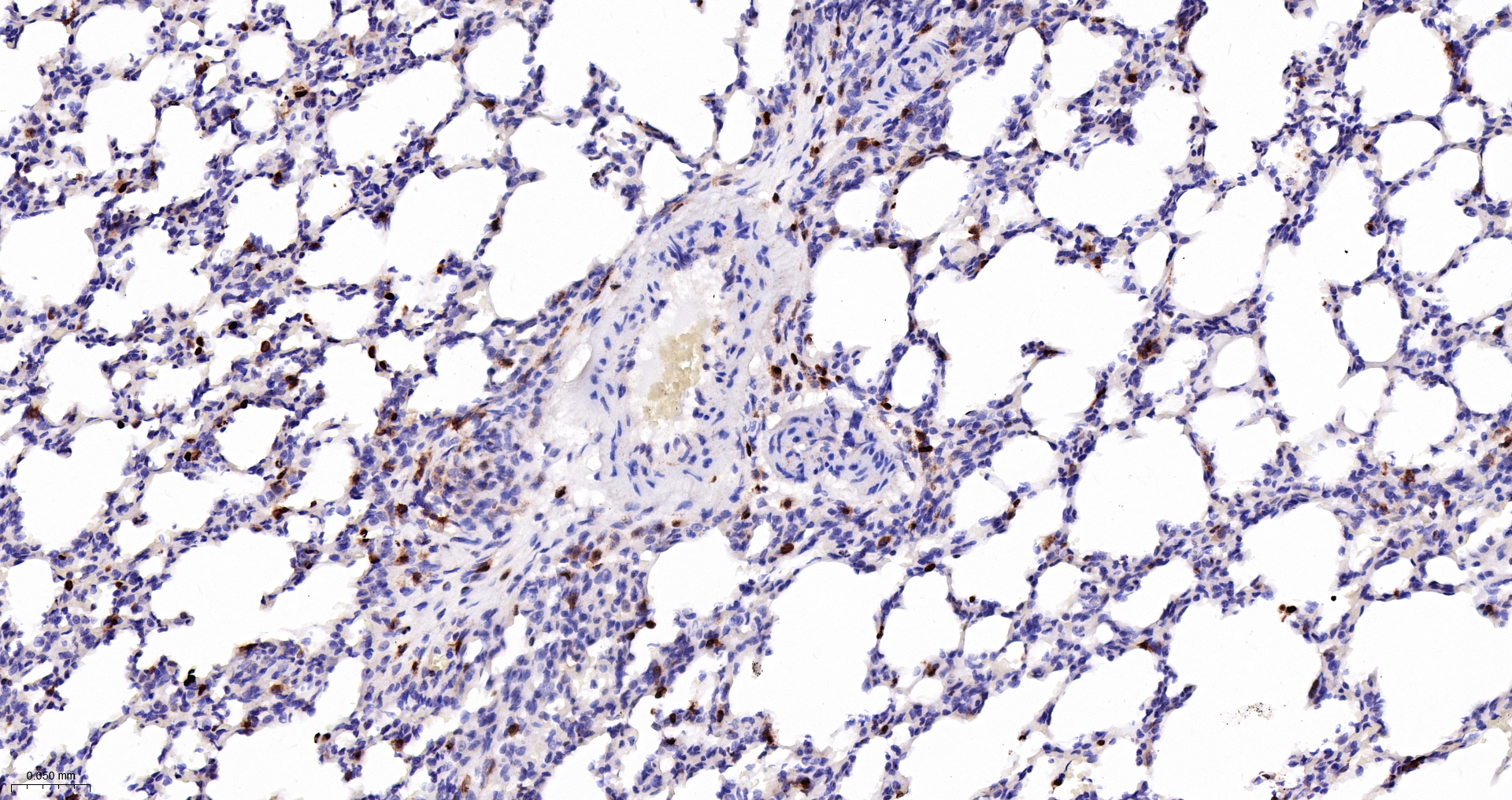
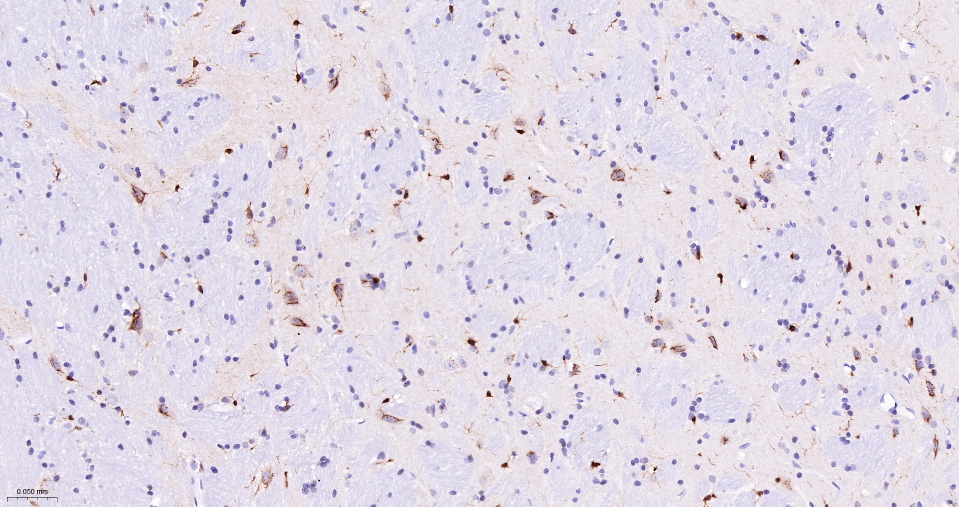
5 Lipoxygenase Recombinant Antibody

Applications

  • WB
  • IHC-P
  • IHC-F
  • IF

Reactivity

  • Human
  • Mouse
  • Rat
Overview
Catalog # bsm-61061r-100ul
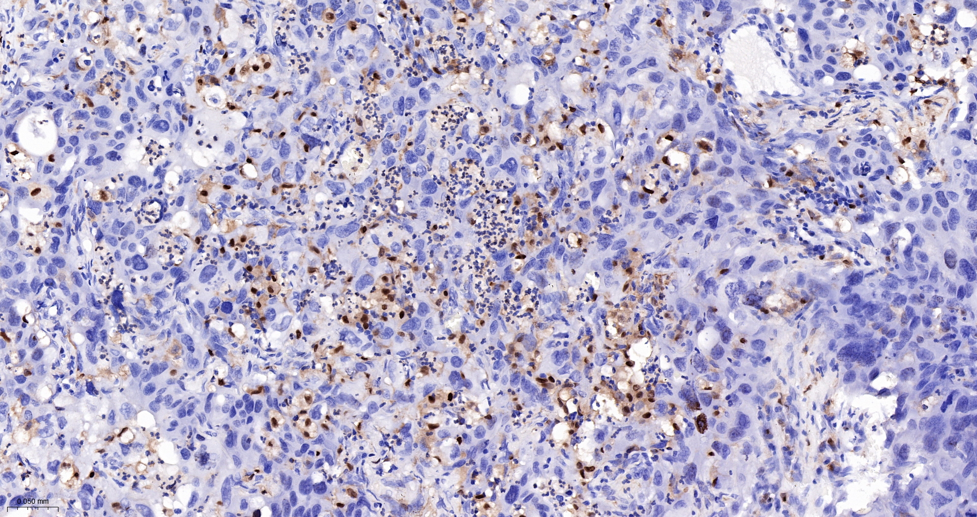
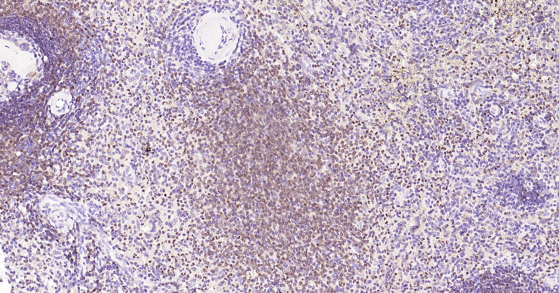
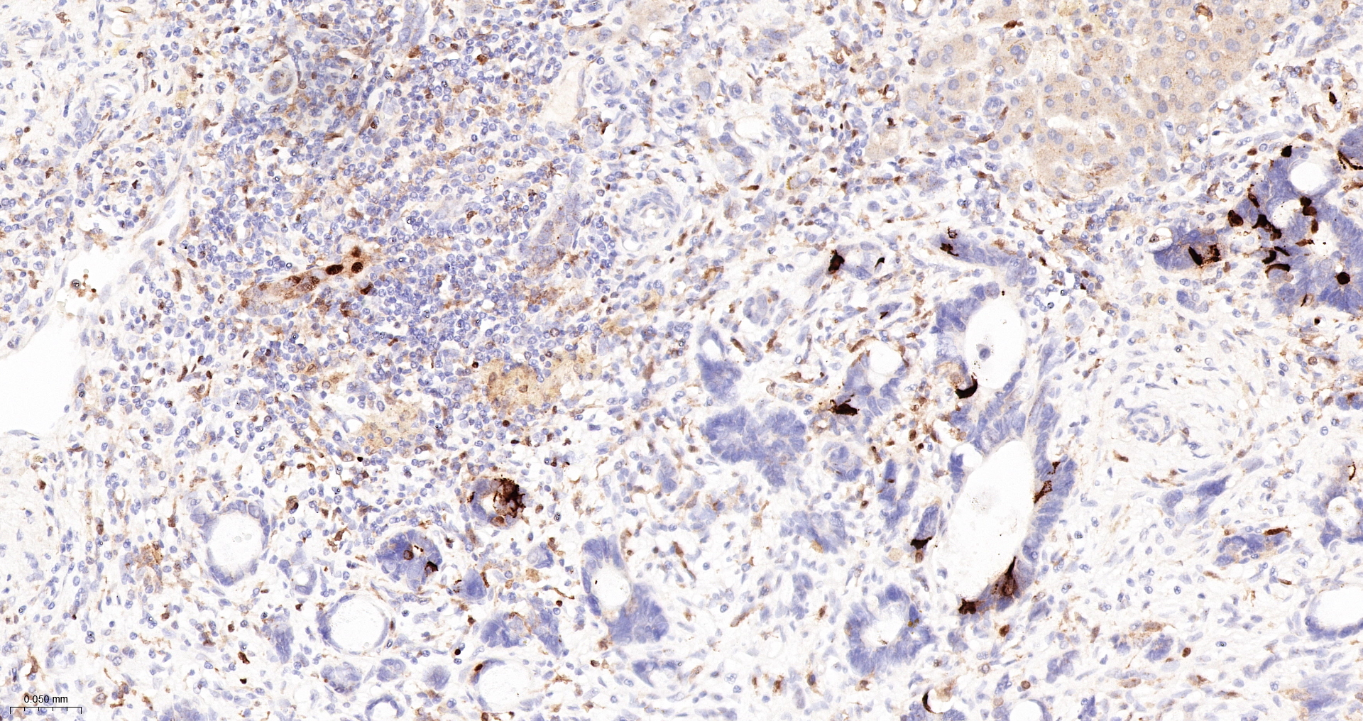
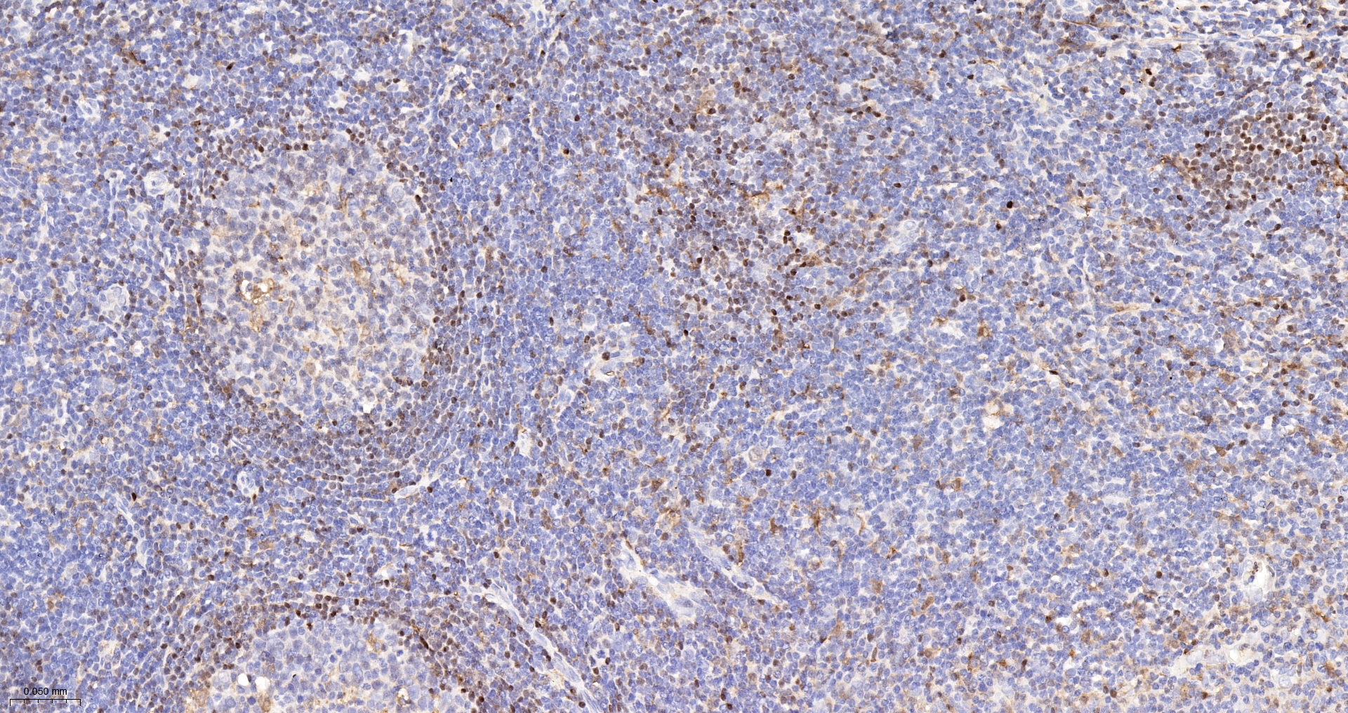
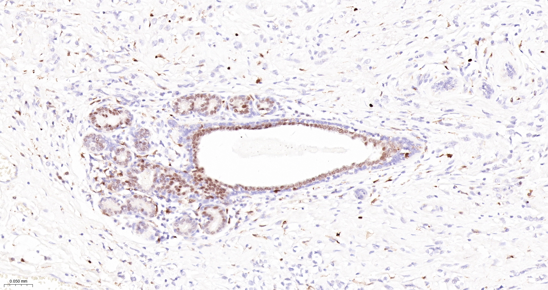
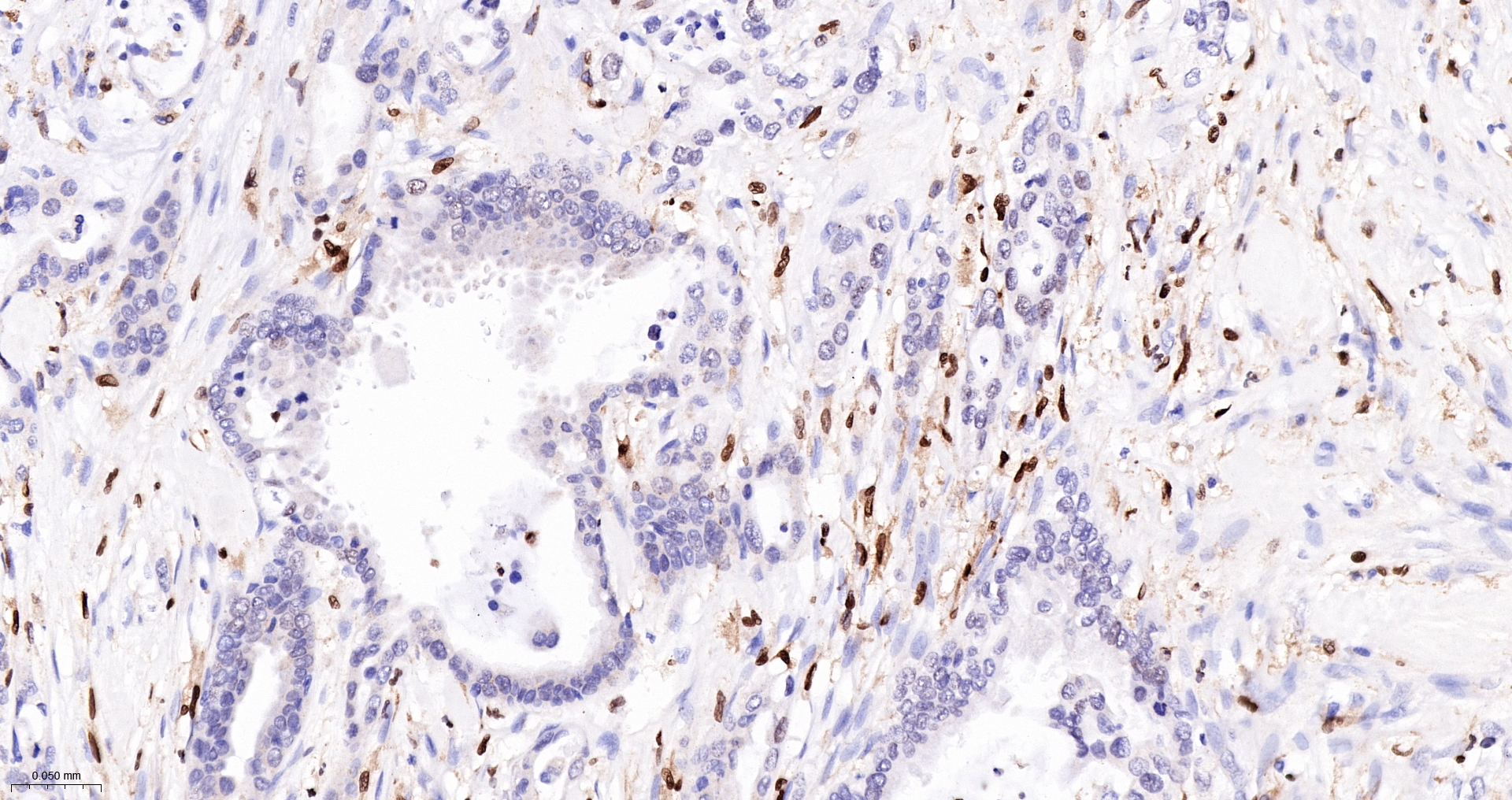
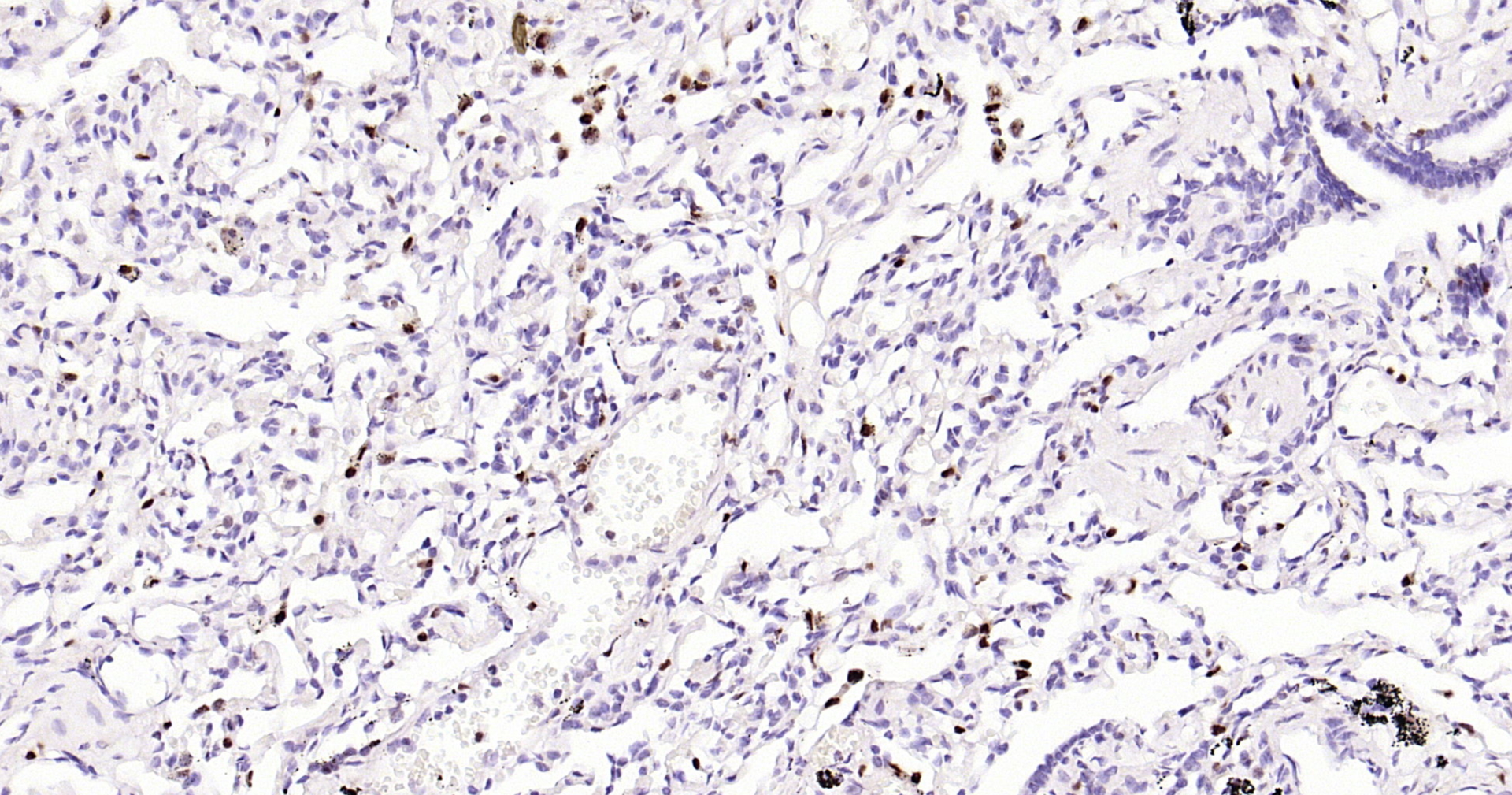
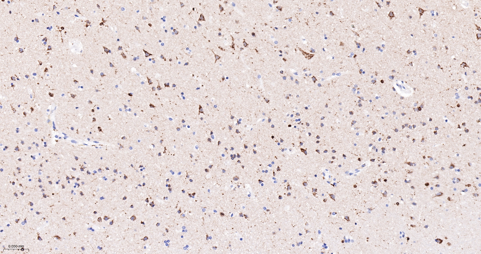
Product Name 5 Lipoxygenase Recombinant Antibody
Applications WB, IHC-P, IHC-F, IF
Reactivity Human, Mouse, Rat
Specifications
Conjugation Unconjugated
Host Rabbit
Source KLH conjugated synthetic peptide derived from human ALOX5
Clonality Recombinant
Isotype IgG
Concentration 1mg/ml
Purification Purified by Protein A.
Storage Buffer 0.01M TBS(pH7.4) with 1% BSA, 0.02% Proclin300 and 50% Glycerol.
Storage Condition Shipped at 4C. Store at -20C for one year. Avoid repeated freeze/thaw cycles.
Target
Gene ID 240
Swiss Prot P09917
Subcellular location Cytoplasm, Nucleus, Cell membrane
Synonyms 5-lipoxygenase; 5-LOX; 5 LO; 5LPG; ALOX 5; Arachidonate 5 lipoxygenase; Arachidonic acid 5 lipoxygenase; Leukotriene A4 synthase; LOG 5; LOG5; MGC163204; LOX5_HUMAN.
Background Catalyzes the first step in leukotriene biosynthesis, and thereby plays a role in inflammatory processes.
Application Dilution
WB 1:500-2000
IHC-P 1:200-500
IHC-F 1:200-500
IF 1:200-500