RECEIVE 25% OFF PUBLISHED ANTIBODIES WITH CODE "PUB25"! Offer valid for US customers and available internationally through distributors.

APPL1 Recombinant Antibody

Applications

  • WB
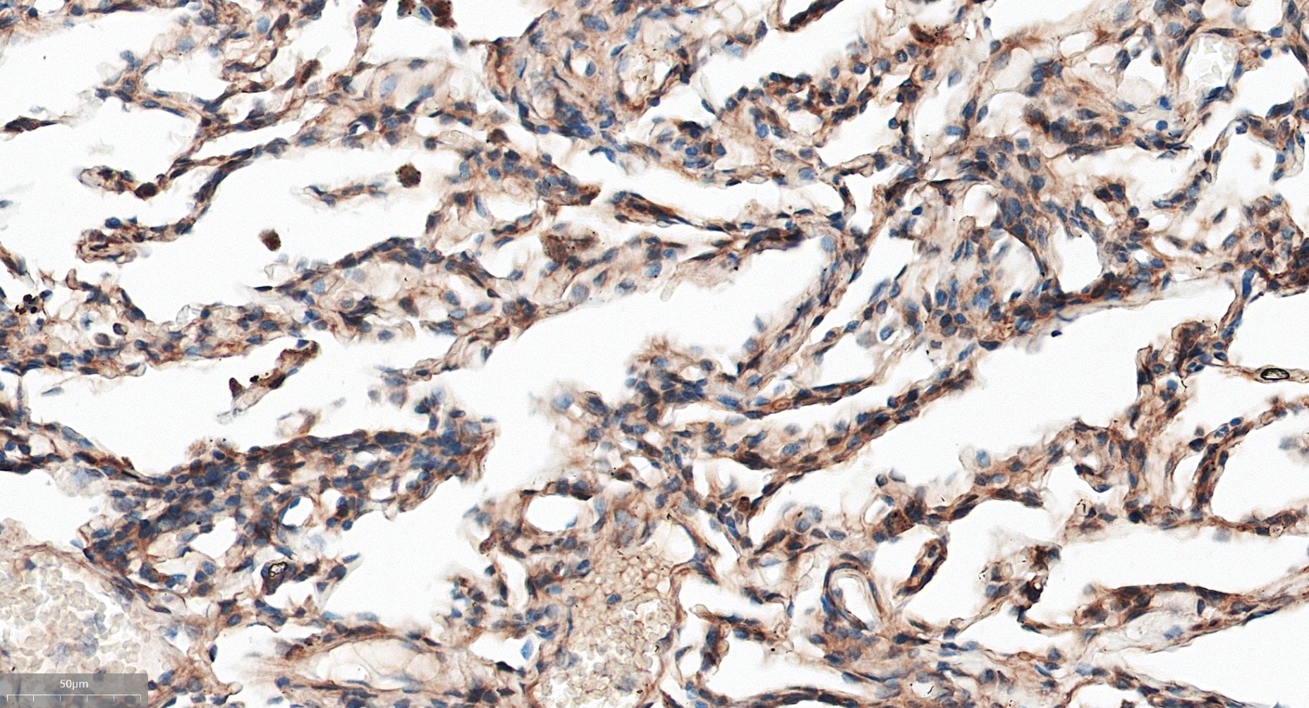
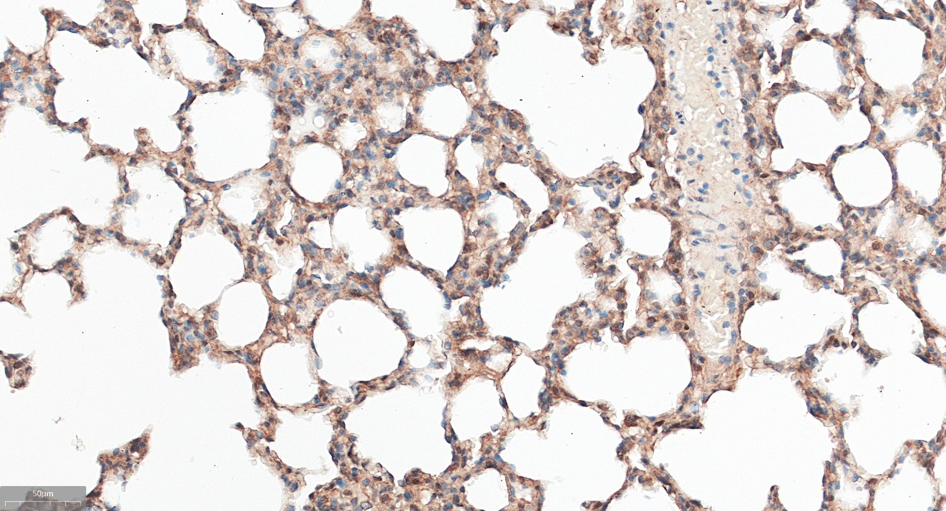
  • IHC-P
  • IHC-F
  • IF(IHC-P)

Reactivity

  • Human
  • Mouse
  • Rat
Overview
Catalog # bsm-61064r-100ul
Product Name APPL1 Recombinant Antibody
Applications WB, IHC-P, IHC-F, IF(IHC-P)
Reactivity Human, Mouse, Rat
Specifications
Conjugation Unconjugated
Host Rabbit
Source KLH conjugated synthetic peptide derived from human APPL1
Clonality Recombinant
Isotype IgG
Concentration Lot dependent
Purification Purified by Protein A.
Storage Buffer 0.01M TBS(pH7.4) with 1% BSA, 0.02% Proclin300 and 50% Glycerol.
Storage Condition Shipped at 4C. Store at -20C for one year. Avoid repeated freeze/thaw cycles.
Target
Gene ID 26060
Swiss Prot Q9UKG1
Subcellular location Cytoplasm, Nucleus, Cell membrane
Synonyms Adapter protein containing PH domain; Adaptor Protein Containing pH Domain; Adaptor protein containing pH domain PTB domain and leucine zipper motif 1; Adaptor protein containing pH domain PTB domain and leucine zipper motif; AKT2 INTERACTOR; APPL 1; APPL1; DCC interacting protein 13 alpha; DCC-interacting protein 13-alpha; DIP 13 alpha; DIP13 alpha; Dip13-alpha; DIP13alpha; DP13A_HUMAN; KIAA1428; PTB domain and leucine zipper motif 1; PTB Domain and Leucine Zipper Motif; Signaling adaptor protein DIP13alpha.
Background The protein encoded by this gene has been shown to be involved in the regulation of cell proliferation, and in the crosstalk between the adiponectin signalling and insulin signalling pathways. The encoded protein binds many other proteins, including RAB5A, DCC, AKT2, PIK3CA, adiponectin receptors, and proteins of the NuRD/MeCP1 complex. This protein is found associated with endosomal membranes, but can be released by EGF and translocated to the nucleus. [provided by RefSeq, Jul 2008]
Application Dilution
WB 1:500-2000
IHC-P IHC-P1:100-500
IHC-F IHC-F1:100-500
IF(IHC-P) IFIHC-P1:100-500