RECEIVE 25% OFF PUBLISHED ANTIBODIES WITH CODE "PUB25"! Offer valid for US customers and available internationally through distributors.

ATP1B1 Recombinant Antibody

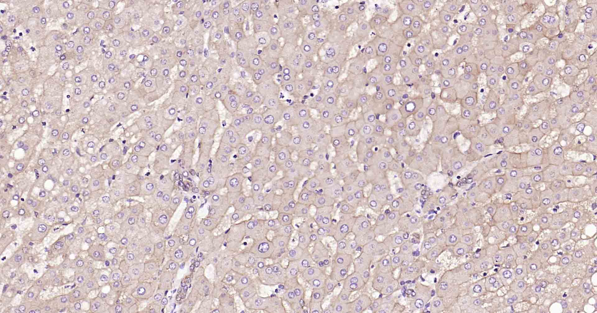
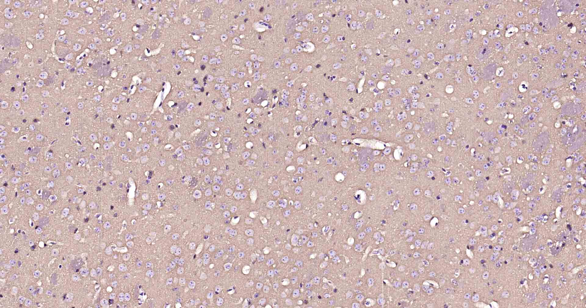
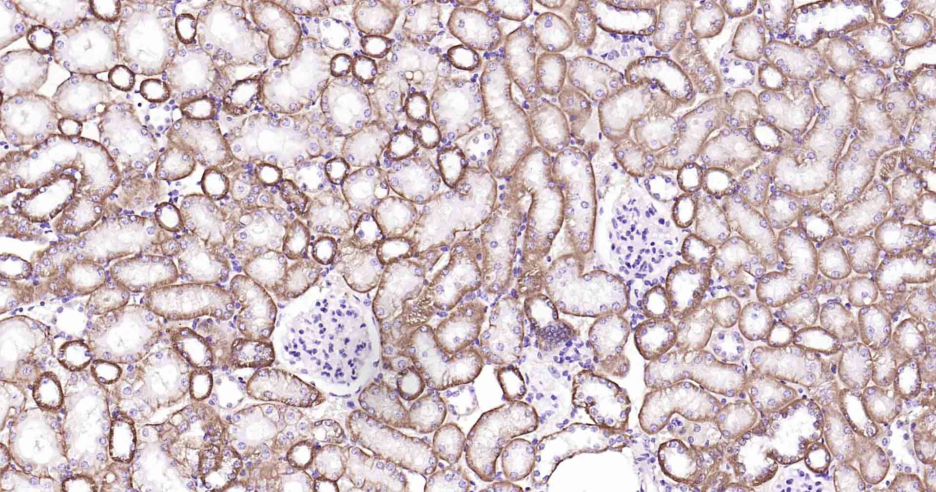
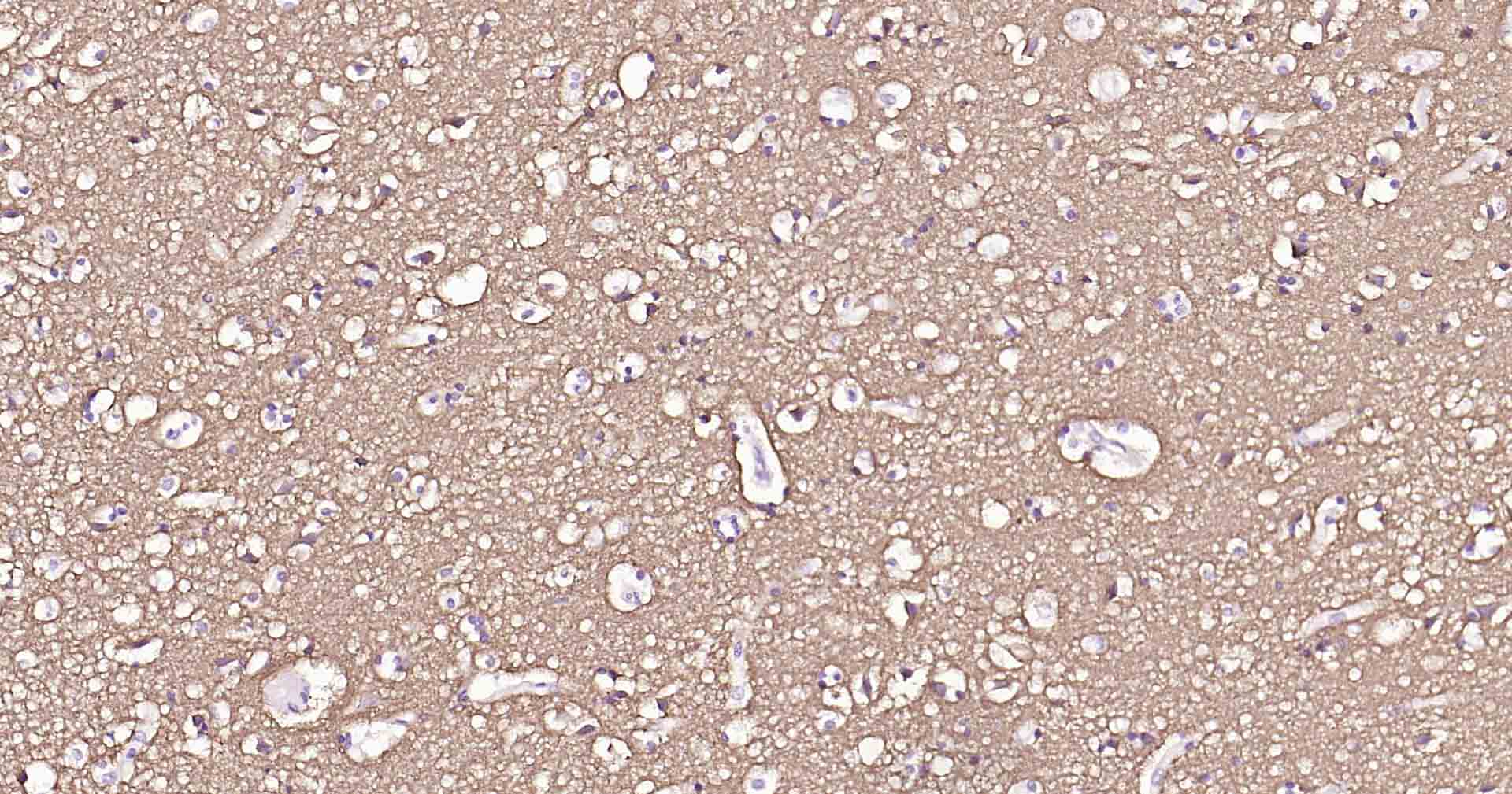
Applications

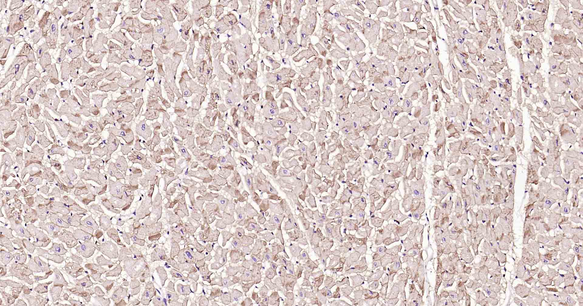
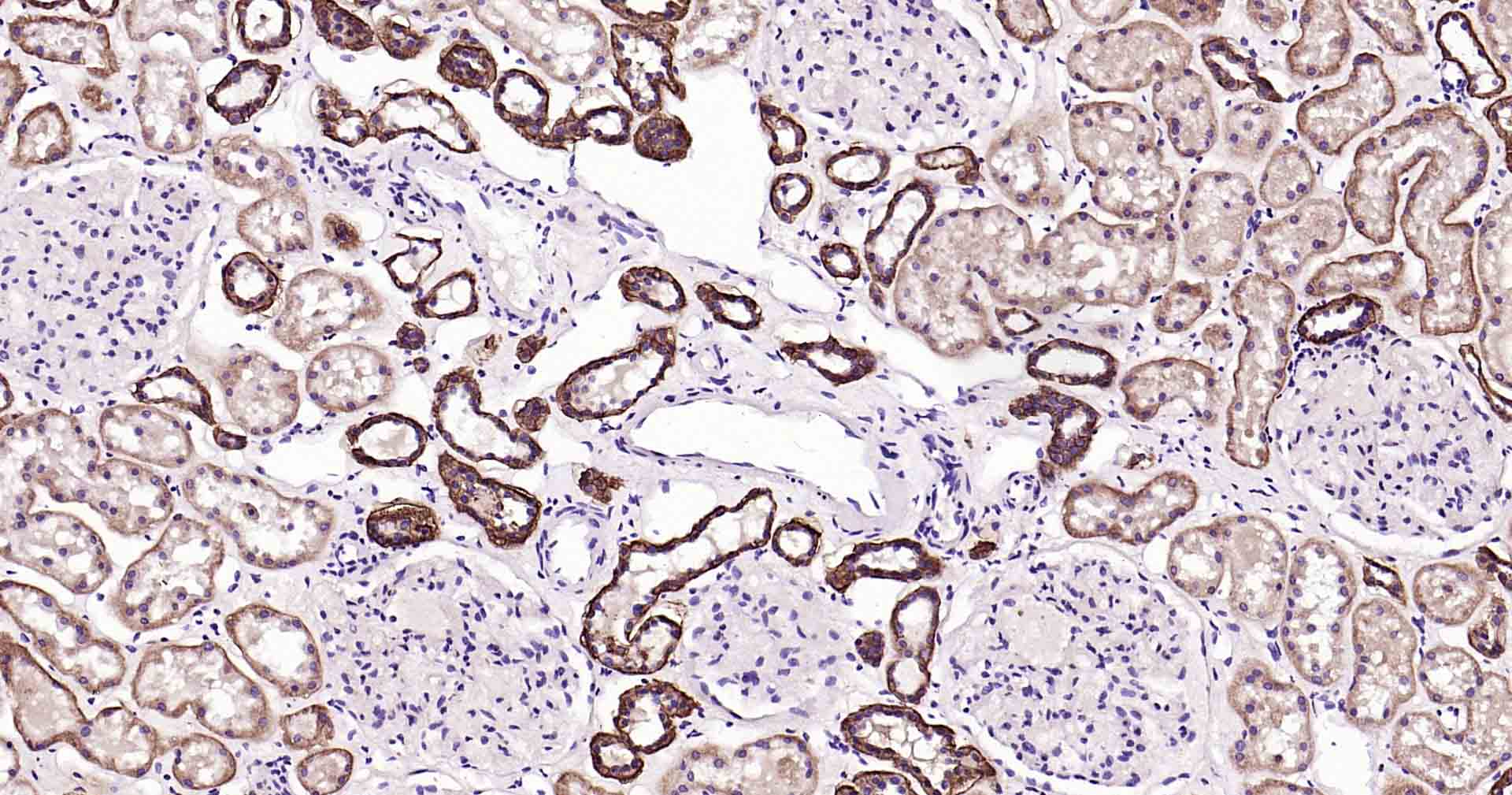
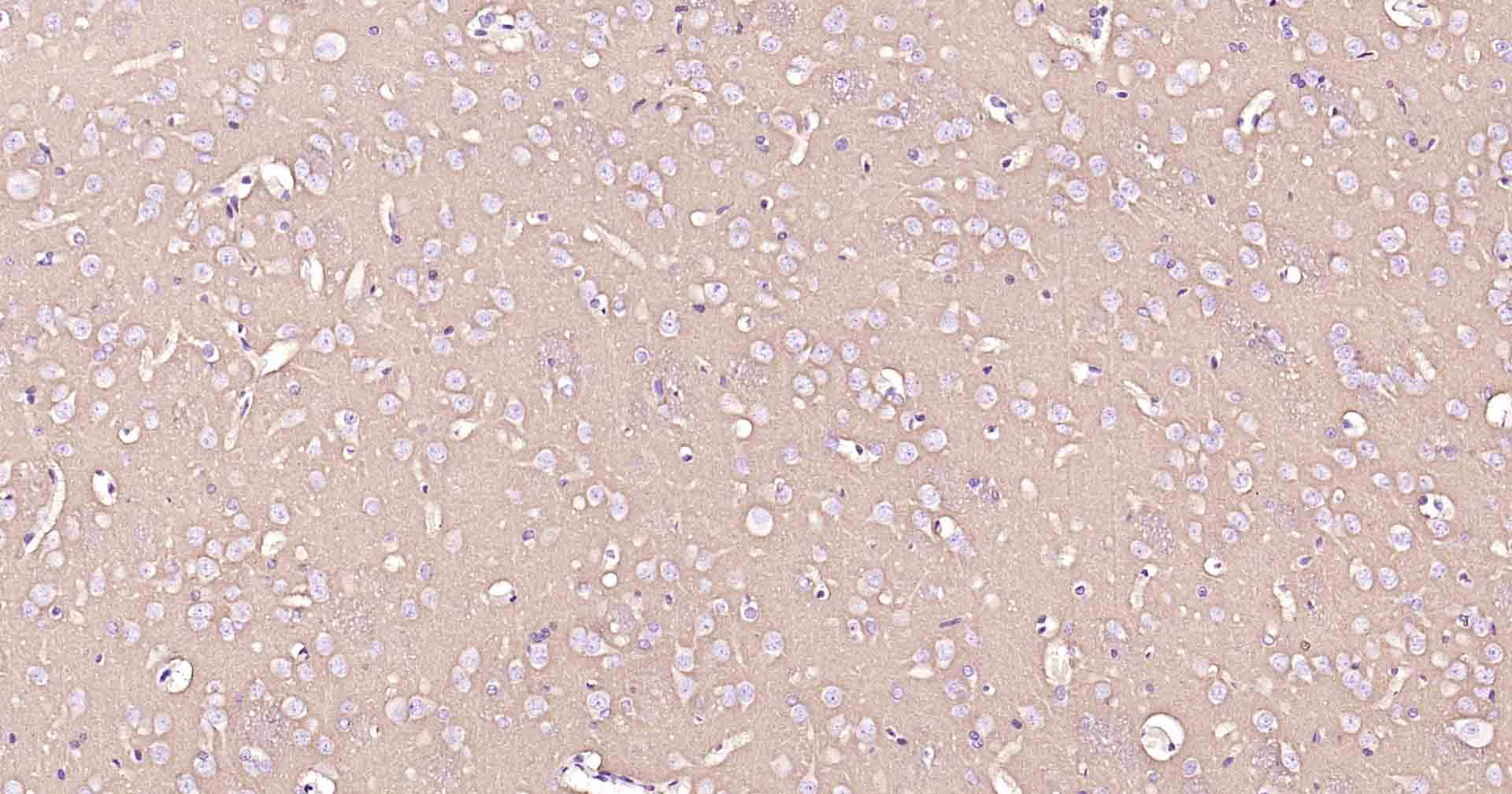
  • IHC-P
  • IHC-F
  • IF(IHC-P)

Reactivity

  • Human
  • Mouse
  • Rat
Overview
Catalog # bsm-61065r-100ul
Product Name ATP1B1 Recombinant Antibody
Applications IHC-P, IHC-F, IF(IHC-P)
Reactivity Human, Mouse, Rat
Specifications
Conjugation Unconjugated
Host Rabbit
Source KLH conjugated synthetic peptide derived from human ATP1B1
Clonality Recombinant
Isotype IgG
Concentration Lot dependent
Purification Purified by Protein A.
Storage Buffer 0.01M TBS(pH7.4) with 1% BSA, 0.02% Proclin300 and 50% Glycerol.
Storage Condition Store at 4°C for short term. Store at -20°C for long term. Avoid repeated freeze/thaw cycles.
Target
Gene ID 481
Swiss Prot P05026
Subcellular location Cell membrane
Synonyms beta 1 Sodium Potassium ATPase; Adenosinetriphosphatase; AT1B1_HUMAN; ATP 1B; ATP1B; ATP1B1; ATPase Na+/K+ transporting beta 1 polypeptide; Atpb 1; ATPBS; Beta 1 subunit of Na(+) K(+) ATPase; Na K ATPase beta 1 polypeptide; Na+/K+ ATPase beta 1 subunit; Sodium/potassium dependent ATPase beta 1 subunit; Sodium/potassium transporting ATPase beta 1 chain; Sodium/potassium transporting ATPase subunit beta 1; Sodium/potassium-dependent ATPase subunit beta-1; Sodium/potassium-transporting ATPase subunit beta-1.
Background This is the non-catalytic component of the active enzyme, which catalyzes the hydrolysis of ATP coupled with the exchange of Na(+) and K(+) ions across the plasma membrane. The beta subunit regulates, through assembly of alpha/beta heterodimers, the number of sodium pumps transported to the plasma membrane.
Involved in cell adhesion and establishing epithelial cell polarity.
Application Dilution
IHC-P 1:50-200
IHC-F IHC-F1:50-200
IF(IHC-P) IFIHC-P1:50-200