RECEIVE 25% OFF PUBLISHED ANTIBODIES WITH CODE "PUB25"! Offer valid for US customers and available internationally through distributors.

TrkB Recombinant Antibody

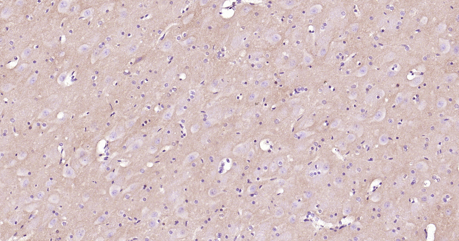
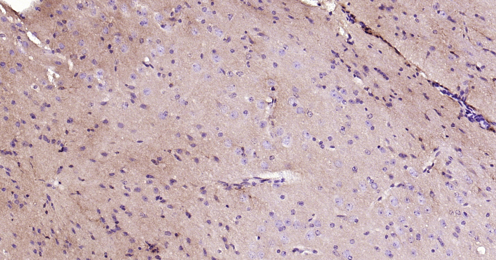
Applications

  • WB
  • IHC-P
  • IHC-F
  • IF(IHC-P)

Reactivity

  • Mouse
  • Rat
Overview
Catalog # bsm-61083r-TR
Product Name TrkB Recombinant Antibody
Applications WB, IHC-P, IHC-F, IF(IHC-P)
Reactivity Mouse, Rat
Specifications
Conjugation Unconjugated
Host Rabbit
Source KLH conjugated synthetic peptide derived from mouse NTRK2
Clonality Recombinant
Isotype IgG
Concentration Lot dependent
Purification Purified by Protein A.
Storage Buffer 0.01M TBS(pH7.4) with 1% BSA, 0.02% Proclin300 and 50% Glycerol.
Storage Condition Store at 4°C for up to 2 weeks. For long term storage, store at -20°C in small aliquots to prevent freeze-thaw cycles.
Target
Gene ID 4915
Swiss Prot Q16620
Subcellular location Cytoplasm, Cell membrane
Synonyms NTRK2; Tyrosine Receptor Kinase B; Tyrosine kinase,Pyk2; BDNF tropomyosine receptor kinase B; BDNF/NT 3 growth factors receptor; BDNF/NT-3 growth factors receptor; Brain derived neurotrophic factor receptor; GP145 TrkB; GP145-TrkB; GP145-TrkB/GP95-TrkB; GP95 TrkB; Neurotrophic tyrosine kinase receptor type 2; Neurotrophin receptor tyrosine kinase type 2; NTRK 2; Ntrk2; NTRK2_HUMAN; Obesity, hyperphagia, and developmental delay, included; RATTRKB1; Trk B; Trk-B; TrkB tyrosine kinase; TRKB1; tyrosine kinase receptor B; Tyrosine receptor kinase B.
Background Receptor tyrosine kinase involved in the development and the maturation of the central and the peripheral nervous systems through regulation of neuron survival, proliferation, migration, differentiation, and synapse formation and plasticity. Receptor for BDNF/brain-derived neurotrophic factor and NTF4/neurotrophin-4. Alternatively can also bind NTF3/neurotrophin-3 which is less efficient in activating the receptor but regulates neuron survival through NTRK2. Upon ligand-binding, undergoes homodimerization, autophosphorylation and activation. Recruits, phosphorylates and/or activates several downstream effectors including SHC1, FRS2, SH2B1, SH2B2 and PLCG1 that regulate distinct overlapping signaling cascades. Through SHC1, FRS2, SH2B1, SH2B2 activates the GRB2-Ras-MAPK cascade that regulates for instance neuronal differentiation including neurite outgrowth. Through the same effectors controls the Ras-PI3 kinase-AKT1 signaling cascade that mainly regulates growth and survival. Through PLCG1 and the downstream protein kinase C-regulated pathways controls synaptic plasticity. Thereby, plays a role in learning and memory by regulating both short term synaptic function and long-term potentiation. PLCG1 also leads to NF-Kappa-B activation and the transcription of genes involved in cell survival. Hence, it is able to suppress anoikis, the apoptosis resulting from loss of cell-matrix interactions. May also play a role in neutrophin-dependent calcium signaling in glial cells and mediate communication between neurons and glia.
Application Dilution
WB 1:500-2000
IHC-P IHC-P1:100-500
IHC-F IHC-F1:100-500
IF(IHC-P) IFIHC-P1:100-500